姜黄-清脉联合治疗克罗恩病1例

IF 0.6 Q4 GASTROENTEROLOGY & HEPATOLOGY
Case Reports in Gastroenterology Pub Date : 2025-06-11 eCollection Date: 2025-01-01 DOI:10.1159/000546012
Netanel Krugliak, Mark S Silverberg
{"title":"姜黄-清脉联合治疗克罗恩病1例","authors":"Netanel Krugliak, Mark S Silverberg","doi":"10.1159/000546012","DOIUrl":null,"url":null,"abstract":"<p><strong>Introduction: </strong>Curcumin and QingDai (QD, indigo) are two herbal extracts used in traditional medicine. A combination of curcumin with QD (CurQD) was reported to be effective in ulcerative colitis, but its effectiveness in Crohn's disease (CD) is unknown. We report on the use of CurQD for the treatment of CD.</p><p><strong>Case presentation: </strong>The patient was a 35-year-old male with colonic and perianal CD responsive to infliximab therapy, who had to discontinue therapy due to a concomitant cardiomyopathy diagnosis. After cessation of infliximab treatment, he experienced clinical and endoscopic relapse which responded to initiation of CurQD therapy with regained clinical and endoscopic remission.</p><p><strong>Conclusion: </strong>In summary, the present case report describes, for the first time, a possible benefit of CurQD nutraceutical in the induction and maintenance of remission in a Crohn's patient. However, more data, preferably from adequately powered randomized controlled trials, are needed to corroborate these observations.</p>","PeriodicalId":9614,"journal":{"name":"Case Reports in Gastroenterology","volume":"19 1","pages":"423-427"},"PeriodicalIF":0.6000,"publicationDate":"2025-06-11","publicationTypes":"Journal Article","fieldsOfStudy":null,"isOpenAccess":false,"openAccessPdf":"https://www.ncbi.nlm.nih.gov/pmc/articles/PMC12158414/pdf/","citationCount":"0","resultStr":"{\"title\":\"Curcumin-QingDai Combination as Treatment for Crohn's Disease: A Case Report.\",\"authors\":\"Netanel Krugliak, Mark S Silverberg\",\"doi\":\"10.1159/000546012\",\"DOIUrl\":null,\"url\":null,\"abstract\":\"<p><strong>Introduction: </strong>Curcumin and QingDai (QD, indigo) are two herbal extracts used in traditional medicine. A combination of curcumin with QD (CurQD) was reported to be effective in ulcerative colitis, but its effectiveness in Crohn's disease (CD) is unknown. We report on the use of CurQD for the treatment of CD.</p><p><strong>Case presentation: </strong>The patient was a 35-year-old male with colonic and perianal CD responsive to infliximab therapy, who had to discontinue therapy due to a concomitant cardiomyopathy diagnosis. After cessation of infliximab treatment, he experienced clinical and endoscopic relapse which responded to initiation of CurQD therapy with regained clinical and endoscopic remission.</p><p><strong>Conclusion: </strong>In summary, the present case report describes, for the first time, a possible benefit of CurQD nutraceutical in the induction and maintenance of remission in a Crohn's patient. However, more data, preferably from adequately powered randomized controlled trials, are needed to corroborate these observations.</p>\",\"PeriodicalId\":9614,\"journal\":{\"name\":\"Case Reports in Gastroenterology\",\"volume\":\"19 1\",\"pages\":\"423-427\"},\"PeriodicalIF\":0.6000,\"publicationDate\":\"2025-06-11\",\"publicationTypes\":\"Journal Article\",\"fieldsOfStudy\":null,\"isOpenAccess\":false,\"openAccessPdf\":\"https://www.ncbi.nlm.nih.gov/pmc/articles/PMC12158414/pdf/\",\"citationCount\":\"0\",\"resultStr\":null,\"platform\":\"Semanticscholar\",\"paperid\":null,\"PeriodicalName\":\"Case Reports in Gastroenterology\",\"FirstCategoryId\":\"1085\",\"ListUrlMain\":\"https://doi.org/10.1159/000546012\",\"RegionNum\":0,\"RegionCategory\":null,\"ArticlePicture\":[],\"TitleCN\":null,\"AbstractTextCN\":null,\"PMCID\":null,\"EPubDate\":\"2025/1/1 0:00:00\",\"PubModel\":\"eCollection\",\"JCR\":\"Q4\",\"JCRName\":\"GASTROENTEROLOGY & HEPATOLOGY\",\"Score\":null,\"Total\":0}","platform":"Semanticscholar","paperid":null,"PeriodicalName":"Case Reports in Gastroenterology","FirstCategoryId":"1085","ListUrlMain":"https://doi.org/10.1159/000546012","RegionNum":0,"RegionCategory":null,"ArticlePicture":[],"TitleCN":null,"AbstractTextCN":null,"PMCID":null,"EPubDate":"2025/1/1 0:00:00","PubModel":"eCollection","JCR":"Q4","JCRName":"GASTROENTEROLOGY & HEPATOLOGY","Score":null,"Total":0}
引用次数: 0

摘要

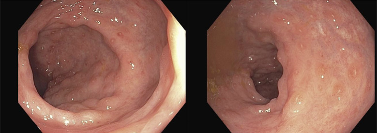
简介:姜黄素和青黛(QD,靛蓝)是传统医学中使用的两种草药提取物。据报道,姜黄素与QD (CurQD)联合治疗溃疡性结肠炎有效,但其对克罗恩病(CD)的有效性尚不清楚。病例介绍:患者为35岁男性,患有结肠和肛周CD,对英夫利昔单抗治疗有反应,由于并发心肌病诊断而不得不停止治疗。在停止英夫利昔单抗治疗后,他经历了临床和内镜下的复发,对开始CurQD治疗有反应,临床和内镜下恢复缓解。结论:总之,本病例报告首次描述了CurQD营养品在诱导和维持克罗恩病患者缓解方面的可能益处。然而,需要更多的数据,最好是来自足够有力的随机对照试验,来证实这些观察结果。
本文章由计算机程序翻译,如有差异,请以英文原文为准。

Curcumin-QingDai Combination as Treatment for Crohn's Disease: A Case Report.

Curcumin-QingDai Combination as Treatment for Crohn's Disease: A Case Report.

Curcumin-QingDai Combination as Treatment for Crohn's Disease: A Case Report.

Introduction: Curcumin and QingDai (QD, indigo) are two herbal extracts used in traditional medicine. A combination of curcumin with QD (CurQD) was reported to be effective in ulcerative colitis, but its effectiveness in Crohn's disease (CD) is unknown. We report on the use of CurQD for the treatment of CD.

Case presentation: The patient was a 35-year-old male with colonic and perianal CD responsive to infliximab therapy, who had to discontinue therapy due to a concomitant cardiomyopathy diagnosis. After cessation of infliximab treatment, he experienced clinical and endoscopic relapse which responded to initiation of CurQD therapy with regained clinical and endoscopic remission.

Conclusion: In summary, the present case report describes, for the first time, a possible benefit of CurQD nutraceutical in the induction and maintenance of remission in a Crohn's patient. However, more data, preferably from adequately powered randomized controlled trials, are needed to corroborate these observations.

求助全文
通过发布文献求助,成功后即可免费获取论文全文。 去求助
来源期刊
Case Reports in Gastroenterology
Case Reports in Gastroenterology Medicine-Gastroenterology
CiteScore
1.10
自引率
0.00%
发文量
99
审稿时长
7 weeks
期刊介绍:
×
引用
GB/T 7714-2015
复制
MLA
复制
APA
复制
导出至
BibTeX EndNote RefMan NoteFirst NoteExpress
×
提示
您的信息不完整,为了账户安全,请先补充。
现在去补充
×
提示
您因"违规操作"
具体请查看互助需知
我知道了
×
提示
确定
请完成安全验证×
copy
已复制链接
快去分享给好友吧!
我知道了
右上角分享
点击右上角分享
0
联系我们:info@booksci.cn Book学术提供免费学术资源搜索服务,方便国内外学者检索中英文文献。致力于提供最便捷和优质的服务体验。 Copyright © 2023 布克学术 All rights reserved.
京ICP备2023020795号-1
ghs 京公网安备 11010802042870号
Book学术文献互助
Book学术文献互助群
群 号:604180095
Book学术官方微信