基于CT特征图预测IA期肺腺癌肺间隙扩散。

IF 3.5 2区 医学 Q2 ONCOLOGY
Bin Luo, Han Yang, Ningbo Fan, Pengfei Duan, Zhesheng Wen, Peng Lin
{"title":"基于CT特征图预测IA期肺腺癌肺间隙扩散。","authors":"Bin Luo, Han Yang, Ningbo Fan, Pengfei Duan, Zhesheng Wen, Peng Lin","doi":"10.1186/s40644-025-00893-x","DOIUrl":null,"url":null,"abstract":"<p><strong>Objectives: </strong>This research aimed to examine the relationships between clinicopathological characteristics and the occurrence of Spread Through Air Spaces (STAS) in patients with stage IA lung adenocarcinoma (LUAD) and to develop a preoperative prediction model.</p><p><strong>Methods: </strong>Data from 1,375 patients with stage IA LUAD at Sun Yat-sen University Cancer Center were analyzed. Propensity score matching (PSM) was employed to match 141 STAS-positive patients with 282 STAS-negative patients. Both univariate and multivariate logistic regression analyses were performed to determine independent variables among 16 clinicopathological and 13 CT imaging characteristics. A nomogram prediction model was developed and evaluated via receiver operating characteristic (ROC) and decision curve analyses (DCAs).</p><p><strong>Results: </strong>Multivariate analysis identified several independent risk factors. Irregular nodule shape (OR = 1.817, 95% CI: 1.106-2.986, p = 0.018), irregular margin (OR = 2.050, 95% CI: 1.218-3.449, p = 0.007), lobulation (OR = 2.235, 95% CI: 1.336-3.739, p = 0.002), and vascular convergence (OR = 5.032, 95% CI: 2.050-12.349, p < 0.001) were significantly associated with an increased risk of STAS. Compared with a consolidation tumor ratio (CTR) = 0% (reference), a CTR of 75-100% (OR = 7.086, 95% CI: 2.542-19.750, p < 0.001) and a CTR = 100% (OR = 11.502, 95% CI: 4.752-27.840, p < 0.001) were significantly associated with an increased risk of STAS. The nomogram was developed and internally validated, demonstrating good predictive accuracy (AUC = 0.812, 95% CI: 0.761-0.863) and favorable clinical utility, with a sensitivity of 69.5% and a specificity of 80.2%.</p><p><strong>Conclusion: </strong>The nomogram reliably predicts STAS preoperatively and may assist in guiding surgical decision-making.</p>","PeriodicalId":9548,"journal":{"name":"Cancer Imaging","volume":"25 1","pages":"72"},"PeriodicalIF":3.5000,"publicationDate":"2025-06-11","publicationTypes":"Journal Article","fieldsOfStudy":null,"isOpenAccess":false,"openAccessPdf":"https://www.ncbi.nlm.nih.gov/pmc/articles/PMC12160125/pdf/","citationCount":"0","resultStr":"{\"title\":\"CT feature-based nomogram for predicting tumor spread through air spaces in stage IA lung adenocarcinoma.\",\"authors\":\"Bin Luo, Han Yang, Ningbo Fan, Pengfei Duan, Zhesheng Wen, Peng Lin\",\"doi\":\"10.1186/s40644-025-00893-x\",\"DOIUrl\":null,\"url\":null,\"abstract\":\"<p><strong>Objectives: </strong>This research aimed to examine the relationships between clinicopathological characteristics and the occurrence of Spread Through Air Spaces (STAS) in patients with stage IA lung adenocarcinoma (LUAD) and to develop a preoperative prediction model.</p><p><strong>Methods: </strong>Data from 1,375 patients with stage IA LUAD at Sun Yat-sen University Cancer Center were analyzed. Propensity score matching (PSM) was employed to match 141 STAS-positive patients with 282 STAS-negative patients. Both univariate and multivariate logistic regression analyses were performed to determine independent variables among 16 clinicopathological and 13 CT imaging characteristics. A nomogram prediction model was developed and evaluated via receiver operating characteristic (ROC) and decision curve analyses (DCAs).</p><p><strong>Results: </strong>Multivariate analysis identified several independent risk factors. Irregular nodule shape (OR = 1.817, 95% CI: 1.106-2.986, p = 0.018), irregular margin (OR = 2.050, 95% CI: 1.218-3.449, p = 0.007), lobulation (OR = 2.235, 95% CI: 1.336-3.739, p = 0.002), and vascular convergence (OR = 5.032, 95% CI: 2.050-12.349, p < 0.001) were significantly associated with an increased risk of STAS. Compared with a consolidation tumor ratio (CTR) = 0% (reference), a CTR of 75-100% (OR = 7.086, 95% CI: 2.542-19.750, p < 0.001) and a CTR = 100% (OR = 11.502, 95% CI: 4.752-27.840, p < 0.001) were significantly associated with an increased risk of STAS. The nomogram was developed and internally validated, demonstrating good predictive accuracy (AUC = 0.812, 95% CI: 0.761-0.863) and favorable clinical utility, with a sensitivity of 69.5% and a specificity of 80.2%.</p><p><strong>Conclusion: </strong>The nomogram reliably predicts STAS preoperatively and may assist in guiding surgical decision-making.</p>\",\"PeriodicalId\":9548,\"journal\":{\"name\":\"Cancer Imaging\",\"volume\":\"25 1\",\"pages\":\"72\"},\"PeriodicalIF\":3.5000,\"publicationDate\":\"2025-06-11\",\"publicationTypes\":\"Journal Article\",\"fieldsOfStudy\":null,\"isOpenAccess\":false,\"openAccessPdf\":\"https://www.ncbi.nlm.nih.gov/pmc/articles/PMC12160125/pdf/\",\"citationCount\":\"0\",\"resultStr\":null,\"platform\":\"Semanticscholar\",\"paperid\":null,\"PeriodicalName\":\"Cancer Imaging\",\"FirstCategoryId\":\"3\",\"ListUrlMain\":\"https://doi.org/10.1186/s40644-025-00893-x\",\"RegionNum\":2,\"RegionCategory\":\"医学\",\"ArticlePicture\":[],\"TitleCN\":null,\"AbstractTextCN\":null,\"PMCID\":null,\"EPubDate\":\"\",\"PubModel\":\"\",\"JCR\":\"Q2\",\"JCRName\":\"ONCOLOGY\",\"Score\":null,\"Total\":0}","platform":"Semanticscholar","paperid":null,"PeriodicalName":"Cancer Imaging","FirstCategoryId":"3","ListUrlMain":"https://doi.org/10.1186/s40644-025-00893-x","RegionNum":2,"RegionCategory":"医学","ArticlePicture":[],"TitleCN":null,"AbstractTextCN":null,"PMCID":null,"EPubDate":"","PubModel":"","JCR":"Q2","JCRName":"ONCOLOGY","Score":null,"Total":0}
引用次数: 0

摘要

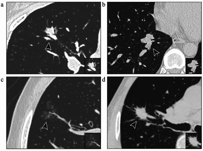
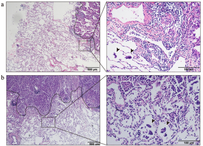
目的:本研究旨在探讨IA期肺腺癌(LUAD)患者的临床病理特征与间隙扩散(STAS)发生的关系,并建立术前预测模型。方法:对中山大学肿瘤中心1375例IA期LUAD患者的资料进行分析。采用倾向评分匹配(PSM)对141例stas阳性患者与282例stas阴性患者进行匹配。采用单因素和多因素logistic回归分析确定16个临床病理和13个CT影像学特征的自变量。建立了nomogram预测模型,并通过受试者工作特征(ROC)和决策曲线分析(DCAs)进行评估。结果:多因素分析确定了几个独立的危险因素。结节形状不规则(OR = 1.817, 95% CI: 1.106 ~ 2.986, p = 0.018),边缘不规则(OR = 2.050, 95% CI: 1.218 ~ 3.449, p = 0.007),分叶化(OR = 2.235, 95% CI: 1.336 ~ 3.739, p = 0.002),血管收敛(OR = 5.032, 95% CI: 2.050 ~ 12.349, p)结论:nomogram术前预测STAS可靠,有助于指导手术决策。
本文章由计算机程序翻译,如有差异,请以英文原文为准。

CT feature-based nomogram for predicting tumor spread through air spaces in stage IA lung adenocarcinoma.

CT feature-based nomogram for predicting tumor spread through air spaces in stage IA lung adenocarcinoma.

CT feature-based nomogram for predicting tumor spread through air spaces in stage IA lung adenocarcinoma.

CT feature-based nomogram for predicting tumor spread through air spaces in stage IA lung adenocarcinoma.

Objectives: This research aimed to examine the relationships between clinicopathological characteristics and the occurrence of Spread Through Air Spaces (STAS) in patients with stage IA lung adenocarcinoma (LUAD) and to develop a preoperative prediction model.

Methods: Data from 1,375 patients with stage IA LUAD at Sun Yat-sen University Cancer Center were analyzed. Propensity score matching (PSM) was employed to match 141 STAS-positive patients with 282 STAS-negative patients. Both univariate and multivariate logistic regression analyses were performed to determine independent variables among 16 clinicopathological and 13 CT imaging characteristics. A nomogram prediction model was developed and evaluated via receiver operating characteristic (ROC) and decision curve analyses (DCAs).

Results: Multivariate analysis identified several independent risk factors. Irregular nodule shape (OR = 1.817, 95% CI: 1.106-2.986, p = 0.018), irregular margin (OR = 2.050, 95% CI: 1.218-3.449, p = 0.007), lobulation (OR = 2.235, 95% CI: 1.336-3.739, p = 0.002), and vascular convergence (OR = 5.032, 95% CI: 2.050-12.349, p < 0.001) were significantly associated with an increased risk of STAS. Compared with a consolidation tumor ratio (CTR) = 0% (reference), a CTR of 75-100% (OR = 7.086, 95% CI: 2.542-19.750, p < 0.001) and a CTR = 100% (OR = 11.502, 95% CI: 4.752-27.840, p < 0.001) were significantly associated with an increased risk of STAS. The nomogram was developed and internally validated, demonstrating good predictive accuracy (AUC = 0.812, 95% CI: 0.761-0.863) and favorable clinical utility, with a sensitivity of 69.5% and a specificity of 80.2%.

Conclusion: The nomogram reliably predicts STAS preoperatively and may assist in guiding surgical decision-making.

求助全文
通过发布文献求助,成功后即可免费获取论文全文。 去求助
来源期刊
Cancer Imaging
Cancer Imaging ONCOLOGY-RADIOLOGY, NUCLEAR MEDICINE & MEDICAL IMAGING
CiteScore
7.00
自引率
0.00%
发文量
66
审稿时长
>12 weeks
期刊介绍: Cancer Imaging is an open access, peer-reviewed journal publishing original articles, reviews and editorials written by expert international radiologists working in oncology. The journal encompasses CT, MR, PET, ultrasound, radionuclide and multimodal imaging in all kinds of malignant tumours, plus new developments, techniques and innovations. Topics of interest include: Breast Imaging Chest Complications of treatment Ear, Nose & Throat Gastrointestinal Hepatobiliary & Pancreatic Imaging biomarkers Interventional Lymphoma Measurement of tumour response Molecular functional imaging Musculoskeletal Neuro oncology Nuclear Medicine Paediatric.
×
引用
GB/T 7714-2015
复制
MLA
复制
APA
复制
导出至
BibTeX EndNote RefMan NoteFirst NoteExpress
×
提示
您的信息不完整,为了账户安全,请先补充。
现在去补充
×
提示
您因"违规操作"
具体请查看互助需知
我知道了
×
提示
确定
请完成安全验证×
copy
已复制链接
快去分享给好友吧!
我知道了
右上角分享
点击右上角分享
0
联系我们:info@booksci.cn Book学术提供免费学术资源搜索服务,方便国内外学者检索中英文文献。致力于提供最便捷和优质的服务体验。 Copyright © 2023 布克学术 All rights reserved.
京ICP备2023020795号-1
ghs 京公网安备 11010802042870号
Book学术文献互助
Book学术文献互助群
群 号:604180095
Book学术官方微信