胎儿巨细胞病毒相关脑室内出血:一种罕见的产前并发症。

IF 0.6 Q4 PEDIATRICS
AJP Reports Pub Date : 2025-06-11 eCollection Date: 2025-04-01 DOI:10.1055/a-2619-2338
Vincent D Tang, Jennifer Heibig, Joanne N Quiñones Rivera, Albert P Sarno, Meredith Rochon
{"title":"胎儿巨细胞病毒相关脑室内出血:一种罕见的产前并发症。","authors":"Vincent D Tang, Jennifer Heibig, Joanne N Quiñones Rivera, Albert P Sarno, Meredith Rochon","doi":"10.1055/a-2619-2338","DOIUrl":null,"url":null,"abstract":"<p><p>Intraventricular hemorrhage (IVH) is an uncommon manifestation of congenital cytomegalovirus (CMV) infection. We report a case of primary CMV infection associated with preterm labor as well as fetal anemia, thrombocytopenia, and IVH. The finding of unexplained IVH on ultrasound provided an indication for testing of congenital infection. Our case indicates the need for detailed sonographic imaging in pregnancies complicated by preterm labor, as the integration of ultrasound diagnosis can significantly impact management and improve perinatal outcomes.</p>","PeriodicalId":7645,"journal":{"name":"AJP Reports","volume":"15 2","pages":"e89-e93"},"PeriodicalIF":0.6000,"publicationDate":"2025-06-11","publicationTypes":"Journal Article","fieldsOfStudy":null,"isOpenAccess":false,"openAccessPdf":"https://www.ncbi.nlm.nih.gov/pmc/articles/PMC12158573/pdf/","citationCount":"0","resultStr":"{\"title\":\"Fetal Cytomegalovirus Associated Intraventricular Hemorrhage: A Rare Prenatal Complication.\",\"authors\":\"Vincent D Tang, Jennifer Heibig, Joanne N Quiñones Rivera, Albert P Sarno, Meredith Rochon\",\"doi\":\"10.1055/a-2619-2338\",\"DOIUrl\":null,\"url\":null,\"abstract\":\"<p><p>Intraventricular hemorrhage (IVH) is an uncommon manifestation of congenital cytomegalovirus (CMV) infection. We report a case of primary CMV infection associated with preterm labor as well as fetal anemia, thrombocytopenia, and IVH. The finding of unexplained IVH on ultrasound provided an indication for testing of congenital infection. Our case indicates the need for detailed sonographic imaging in pregnancies complicated by preterm labor, as the integration of ultrasound diagnosis can significantly impact management and improve perinatal outcomes.</p>\",\"PeriodicalId\":7645,\"journal\":{\"name\":\"AJP Reports\",\"volume\":\"15 2\",\"pages\":\"e89-e93\"},\"PeriodicalIF\":0.6000,\"publicationDate\":\"2025-06-11\",\"publicationTypes\":\"Journal Article\",\"fieldsOfStudy\":null,\"isOpenAccess\":false,\"openAccessPdf\":\"https://www.ncbi.nlm.nih.gov/pmc/articles/PMC12158573/pdf/\",\"citationCount\":\"0\",\"resultStr\":null,\"platform\":\"Semanticscholar\",\"paperid\":null,\"PeriodicalName\":\"AJP Reports\",\"FirstCategoryId\":\"1085\",\"ListUrlMain\":\"https://doi.org/10.1055/a-2619-2338\",\"RegionNum\":0,\"RegionCategory\":null,\"ArticlePicture\":[],\"TitleCN\":null,\"AbstractTextCN\":null,\"PMCID\":null,\"EPubDate\":\"2025/4/1 0:00:00\",\"PubModel\":\"eCollection\",\"JCR\":\"Q4\",\"JCRName\":\"PEDIATRICS\",\"Score\":null,\"Total\":0}","platform":"Semanticscholar","paperid":null,"PeriodicalName":"AJP Reports","FirstCategoryId":"1085","ListUrlMain":"https://doi.org/10.1055/a-2619-2338","RegionNum":0,"RegionCategory":null,"ArticlePicture":[],"TitleCN":null,"AbstractTextCN":null,"PMCID":null,"EPubDate":"2025/4/1 0:00:00","PubModel":"eCollection","JCR":"Q4","JCRName":"PEDIATRICS","Score":null,"Total":0}
引用次数: 0

摘要

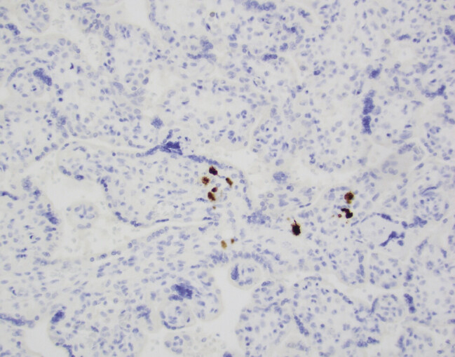
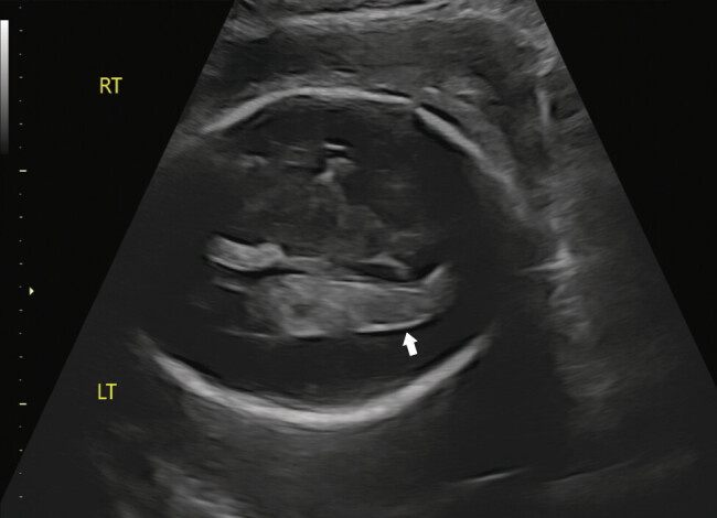
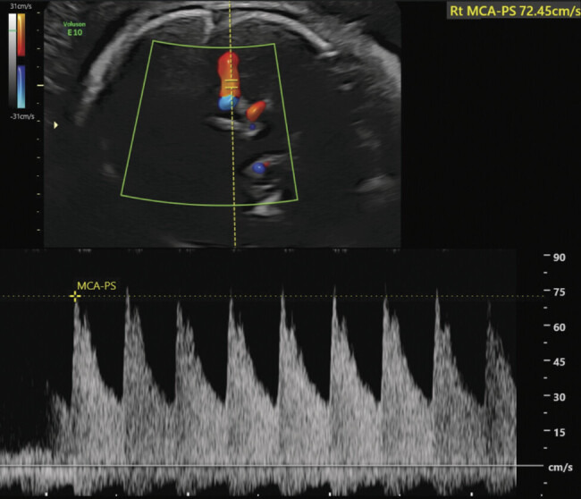
脑室内出血(IVH)是先天性巨细胞病毒(CMV)感染的罕见表现。我们报告一例原发性巨细胞病毒感染与早产以及胎儿贫血、血小板减少症和IVH相关。超声检查发现原因不明的IVH为先天性感染的检查提供了指示。我们的病例表明,在妊娠合并早产时需要详细的超声成像,因为超声诊断的整合可以显著影响管理并改善围产期结局。
本文章由计算机程序翻译,如有差异,请以英文原文为准。

Fetal Cytomegalovirus Associated Intraventricular Hemorrhage: A Rare Prenatal Complication.

Fetal Cytomegalovirus Associated Intraventricular Hemorrhage: A Rare Prenatal Complication.

Fetal Cytomegalovirus Associated Intraventricular Hemorrhage: A Rare Prenatal Complication.

Fetal Cytomegalovirus Associated Intraventricular Hemorrhage: A Rare Prenatal Complication.

Intraventricular hemorrhage (IVH) is an uncommon manifestation of congenital cytomegalovirus (CMV) infection. We report a case of primary CMV infection associated with preterm labor as well as fetal anemia, thrombocytopenia, and IVH. The finding of unexplained IVH on ultrasound provided an indication for testing of congenital infection. Our case indicates the need for detailed sonographic imaging in pregnancies complicated by preterm labor, as the integration of ultrasound diagnosis can significantly impact management and improve perinatal outcomes.

求助全文
通过发布文献求助,成功后即可免费获取论文全文。 去求助
来源期刊
AJP Reports
AJP Reports PEDIATRICS-
CiteScore
2.20
自引率
0.00%
发文量
30
审稿时长
12 weeks
×
引用
GB/T 7714-2015
复制
MLA
复制
APA
复制
导出至
BibTeX EndNote RefMan NoteFirst NoteExpress
×
提示
您的信息不完整,为了账户安全,请先补充。
现在去补充
×
提示
您因"违规操作"
具体请查看互助需知
我知道了
×
提示
确定
请完成安全验证×
copy
已复制链接
快去分享给好友吧!
我知道了
右上角分享
点击右上角分享
0
联系我们:info@booksci.cn Book学术提供免费学术资源搜索服务,方便国内外学者检索中英文文献。致力于提供最便捷和优质的服务体验。 Copyright © 2023 布克学术 All rights reserved.
京ICP备2023020795号-1
ghs 京公网安备 11010802042870号
Book学术文献互助
Book学术文献互助群
群 号:604180095
Book学术官方微信