无视差全景x线成像联合微创钢板固定术治疗肱骨近端骨折。

IF 2.3 Q2 ORTHOPEDICS
Wen-Jing Cheng, Jing-Shun Lu, Zhou-Shan Tao, Jia-Bing Xie, Min Yang
{"title":"无视差全景x线成像联合微创钢板固定术治疗肱骨近端骨折。","authors":"Wen-Jing Cheng, Jing-Shun Lu, Zhou-Shan Tao, Jia-Bing Xie, Min Yang","doi":"10.5312/wjo.v16.i5.102916","DOIUrl":null,"url":null,"abstract":"<p><strong>Background: </strong>The objective of this study was to evaluate the use of combined parallax-free panoramic X-ray imaging during surgery by enabling the mobile C-arm with minimally invasive plate osteosynthesis (MIPO) in the management of proximal humeral shaft fractures.</p><p><strong>Aim: </strong>To evaluate parallax-free panoramic X-ray images during surgery.</p><p><strong>Methods: </strong>A retrospective series of 17 proximal humeral shaft fractures were treated using combined parallax-free panoramic X-ray imaging during surgery by enabling the mobile C-arm with MIPO. The operating time and radiation exposure time were recorded, and early postoperative physical therapy and partial weight bearing were encouraged. Patients were followed at regular intervals and evaluated radiographically and clinically.</p><p><strong>Results: </strong>The mean operating time and radiation time were 73 (range, 49-95) minutes and 57 (range: 36-98) seconds, respectively. No complications occurred during the operation. All fractures healed at an average of 16.9 (range: 15-23) weeks. The average Constant-Murley score for all the patients was 89.5 (range: 75-100) points. None of the patients showed symptoms of vascular or nerve damage or wound infection. Three months after the operation, none of the patients developed subacromial impingement syndrome. No loosening or fracture of the implants occurred. The frontal and lateral radiographs showed good alignment.</p><p><strong>Conclusion: </strong>We consider that MIPO with combined parallax-free panoramic X-ray imaging during surgery is an efficient method for treating proximal humeral shaft fractures, and could significantly reduce operative morbidity as well as lower the rate of intra- and postoperative complications.</p>","PeriodicalId":47843,"journal":{"name":"World Journal of Orthopedics","volume":"16 5","pages":"102916"},"PeriodicalIF":2.3000,"publicationDate":"2025-05-18","publicationTypes":"Journal Article","fieldsOfStudy":null,"isOpenAccess":false,"openAccessPdf":"https://www.ncbi.nlm.nih.gov/pmc/articles/PMC12146976/pdf/","citationCount":"0","resultStr":"{\"title\":\"Parallax-free panoramic X-ray imaging combined with minimally invasive plate osteosynthesis for treating proximal humeral shaft fractures.\",\"authors\":\"Wen-Jing Cheng, Jing-Shun Lu, Zhou-Shan Tao, Jia-Bing Xie, Min Yang\",\"doi\":\"10.5312/wjo.v16.i5.102916\",\"DOIUrl\":null,\"url\":null,\"abstract\":\"<p><strong>Background: </strong>The objective of this study was to evaluate the use of combined parallax-free panoramic X-ray imaging during surgery by enabling the mobile C-arm with minimally invasive plate osteosynthesis (MIPO) in the management of proximal humeral shaft fractures.</p><p><strong>Aim: </strong>To evaluate parallax-free panoramic X-ray images during surgery.</p><p><strong>Methods: </strong>A retrospective series of 17 proximal humeral shaft fractures were treated using combined parallax-free panoramic X-ray imaging during surgery by enabling the mobile C-arm with MIPO. The operating time and radiation exposure time were recorded, and early postoperative physical therapy and partial weight bearing were encouraged. Patients were followed at regular intervals and evaluated radiographically and clinically.</p><p><strong>Results: </strong>The mean operating time and radiation time were 73 (range, 49-95) minutes and 57 (range: 36-98) seconds, respectively. No complications occurred during the operation. All fractures healed at an average of 16.9 (range: 15-23) weeks. The average Constant-Murley score for all the patients was 89.5 (range: 75-100) points. None of the patients showed symptoms of vascular or nerve damage or wound infection. Three months after the operation, none of the patients developed subacromial impingement syndrome. No loosening or fracture of the implants occurred. The frontal and lateral radiographs showed good alignment.</p><p><strong>Conclusion: </strong>We consider that MIPO with combined parallax-free panoramic X-ray imaging during surgery is an efficient method for treating proximal humeral shaft fractures, and could significantly reduce operative morbidity as well as lower the rate of intra- and postoperative complications.</p>\",\"PeriodicalId\":47843,\"journal\":{\"name\":\"World Journal of Orthopedics\",\"volume\":\"16 5\",\"pages\":\"102916\"},\"PeriodicalIF\":2.3000,\"publicationDate\":\"2025-05-18\",\"publicationTypes\":\"Journal Article\",\"fieldsOfStudy\":null,\"isOpenAccess\":false,\"openAccessPdf\":\"https://www.ncbi.nlm.nih.gov/pmc/articles/PMC12146976/pdf/\",\"citationCount\":\"0\",\"resultStr\":null,\"platform\":\"Semanticscholar\",\"paperid\":null,\"PeriodicalName\":\"World Journal of Orthopedics\",\"FirstCategoryId\":\"1085\",\"ListUrlMain\":\"https://doi.org/10.5312/wjo.v16.i5.102916\",\"RegionNum\":0,\"RegionCategory\":null,\"ArticlePicture\":[],\"TitleCN\":null,\"AbstractTextCN\":null,\"PMCID\":null,\"EPubDate\":\"\",\"PubModel\":\"\",\"JCR\":\"Q2\",\"JCRName\":\"ORTHOPEDICS\",\"Score\":null,\"Total\":0}","platform":"Semanticscholar","paperid":null,"PeriodicalName":"World Journal of Orthopedics","FirstCategoryId":"1085","ListUrlMain":"https://doi.org/10.5312/wjo.v16.i5.102916","RegionNum":0,"RegionCategory":null,"ArticlePicture":[],"TitleCN":null,"AbstractTextCN":null,"PMCID":null,"EPubDate":"","PubModel":"","JCR":"Q2","JCRName":"ORTHOPEDICS","Score":null,"Total":0}
引用次数: 0

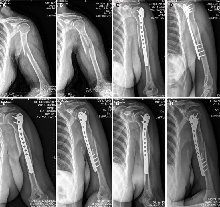
摘要

背景:本研究的目的是评估在手术中使用联合无视差全景x线成像,使移动c臂微创钢板内固定(MIPO)在肱骨近端骨折的治疗中发挥作用。目的:评价手术中无视差全景x线图像。方法:回顾性分析17例肱骨近端骨折患者,术中应用联合无视差全景x线显像,使移动c臂与MIPO结合。记录手术时间和放疗时间,术后早期进行物理治疗和部分负重。定期随访患者,并进行影像学和临床评估。结果:平均手术时间73分钟(范围49 ~ 95),平均放疗时间57秒(范围36 ~ 98)。术中无并发症发生。所有骨折愈合时间平均为16.9周(范围:15-23周)。所有患者的平均Constant-Murley评分为89.5分(范围:75-100分)。所有患者均无血管或神经损伤或伤口感染症状。术后3个月,无一例患者出现肩峰下撞击综合征。种植体未发生松动或骨折。正位片和侧位片显示对齐良好。结论:术中联合无视差x线全景显像MIPO是治疗肱骨近端骨折的有效方法,可显著降低手术发病率,降低术中及术后并发症发生率。
本文章由计算机程序翻译,如有差异,请以英文原文为准。

Parallax-free panoramic X-ray imaging combined with minimally invasive plate osteosynthesis for treating proximal humeral shaft fractures.

Parallax-free panoramic X-ray imaging combined with minimally invasive plate osteosynthesis for treating proximal humeral shaft fractures.

Parallax-free panoramic X-ray imaging combined with minimally invasive plate osteosynthesis for treating proximal humeral shaft fractures.

Background: The objective of this study was to evaluate the use of combined parallax-free panoramic X-ray imaging during surgery by enabling the mobile C-arm with minimally invasive plate osteosynthesis (MIPO) in the management of proximal humeral shaft fractures.

Aim: To evaluate parallax-free panoramic X-ray images during surgery.

Methods: A retrospective series of 17 proximal humeral shaft fractures were treated using combined parallax-free panoramic X-ray imaging during surgery by enabling the mobile C-arm with MIPO. The operating time and radiation exposure time were recorded, and early postoperative physical therapy and partial weight bearing were encouraged. Patients were followed at regular intervals and evaluated radiographically and clinically.

Results: The mean operating time and radiation time were 73 (range, 49-95) minutes and 57 (range: 36-98) seconds, respectively. No complications occurred during the operation. All fractures healed at an average of 16.9 (range: 15-23) weeks. The average Constant-Murley score for all the patients was 89.5 (range: 75-100) points. None of the patients showed symptoms of vascular or nerve damage or wound infection. Three months after the operation, none of the patients developed subacromial impingement syndrome. No loosening or fracture of the implants occurred. The frontal and lateral radiographs showed good alignment.

Conclusion: We consider that MIPO with combined parallax-free panoramic X-ray imaging during surgery is an efficient method for treating proximal humeral shaft fractures, and could significantly reduce operative morbidity as well as lower the rate of intra- and postoperative complications.

求助全文
通过发布文献求助,成功后即可免费获取论文全文。 去求助
来源期刊
CiteScore
3.10
自引率
0.00%
发文量
814
×
引用
GB/T 7714-2015
复制
MLA
复制
APA
复制
导出至
BibTeX EndNote RefMan NoteFirst NoteExpress
×
提示
您的信息不完整,为了账户安全,请先补充。
现在去补充
×
提示
您因"违规操作"
具体请查看互助需知
我知道了
×
提示
确定
请完成安全验证×
copy
已复制链接
快去分享给好友吧!
我知道了
右上角分享
点击右上角分享
0
联系我们:info@booksci.cn Book学术提供免费学术资源搜索服务,方便国内外学者检索中英文文献。致力于提供最便捷和优质的服务体验。 Copyright © 2023 布克学术 All rights reserved.
京ICP备2023020795号-1
ghs 京公网安备 11010802042870号
Book学术文献互助
Book学术文献互助群
群 号:604180095
Book学术官方微信