味觉类器官的长期培养和形态成熟增强了仿生生物传感器的味觉识别能力。

IF 9.9 1区 工程技术 Q1 INSTRUMENTS & INSTRUMENTATION
Shuge Liu, Yating Chen, Yuqi Chen, Yuxuan Yuan, Minggao Liu, Zhiyao Wang, Wei Chen, Liping Du, Chunsheng Wu
{"title":"味觉类器官的长期培养和形态成熟增强了仿生生物传感器的味觉识别能力。","authors":"Shuge Liu, Yating Chen, Yuqi Chen, Yuxuan Yuan, Minggao Liu, Zhiyao Wang, Wei Chen, Liping Du, Chunsheng Wu","doi":"10.1038/s41378-025-00978-4","DOIUrl":null,"url":null,"abstract":"<p><p>Taste is a multifaceted sensory experience that involves various human senses related to food and is a key indicator of food quality. A biomimetic taste-based biosensor, which utilizes taste bud organoids as sensitive elements, is able to simulate the real responses of taste transduction in vitro. Taste bud organoids are three-dimensional structures created from taste stem/progenitor cells, integrated with transducers to develop the biosensor. In this research, organoids derived from mouse taste epithelium were employed as the sensitive element, while a microelectrode array (MEA) device served as the transduction element to create the biosensor. Following exposure to sour, sweet, bitter, and salty stimuli, one specific channel was chosen, and the average discharge rates were calculated as 6.5 ± 2.29 Hz, 7.25 ± 3.77 Hz, 3.33 ± 2.62 Hz, and 4.6 ± 2.42 Hz, respectively. Statistical analysis indicated that, apart from the sour taste, the frequency and amplitude of the other three taste stimuli showed significant increases. Principal component analysis (PCA) demonstrated the ability to identify and differentiate various tastes during taste conduction monitoring. Additionally, it was observed that on day 14, the taste bud organoids exhibited aggregation and fusion, leading to the formation of typical taste bud structures, indicating their maturation. This research offers a theoretical foundation and a valuable tool for effective and objective taste detection in vitro.</p>","PeriodicalId":18560,"journal":{"name":"Microsystems & Nanoengineering","volume":"11 1","pages":"120"},"PeriodicalIF":9.9000,"publicationDate":"2025-06-11","publicationTypes":"Journal Article","fieldsOfStudy":null,"isOpenAccess":false,"openAccessPdf":"https://www.ncbi.nlm.nih.gov/pmc/articles/PMC12152158/pdf/","citationCount":"0","resultStr":"{\"title\":\"Long-term culture and morphological maturation of taste organoids enhance taste discrimination in a biomimetic biosensor.\",\"authors\":\"Shuge Liu, Yating Chen, Yuqi Chen, Yuxuan Yuan, Minggao Liu, Zhiyao Wang, Wei Chen, Liping Du, Chunsheng Wu\",\"doi\":\"10.1038/s41378-025-00978-4\",\"DOIUrl\":null,\"url\":null,\"abstract\":\"<p><p>Taste is a multifaceted sensory experience that involves various human senses related to food and is a key indicator of food quality. A biomimetic taste-based biosensor, which utilizes taste bud organoids as sensitive elements, is able to simulate the real responses of taste transduction in vitro. Taste bud organoids are three-dimensional structures created from taste stem/progenitor cells, integrated with transducers to develop the biosensor. In this research, organoids derived from mouse taste epithelium were employed as the sensitive element, while a microelectrode array (MEA) device served as the transduction element to create the biosensor. Following exposure to sour, sweet, bitter, and salty stimuli, one specific channel was chosen, and the average discharge rates were calculated as 6.5 ± 2.29 Hz, 7.25 ± 3.77 Hz, 3.33 ± 2.62 Hz, and 4.6 ± 2.42 Hz, respectively. Statistical analysis indicated that, apart from the sour taste, the frequency and amplitude of the other three taste stimuli showed significant increases. Principal component analysis (PCA) demonstrated the ability to identify and differentiate various tastes during taste conduction monitoring. Additionally, it was observed that on day 14, the taste bud organoids exhibited aggregation and fusion, leading to the formation of typical taste bud structures, indicating their maturation. This research offers a theoretical foundation and a valuable tool for effective and objective taste detection in vitro.</p>\",\"PeriodicalId\":18560,\"journal\":{\"name\":\"Microsystems & Nanoengineering\",\"volume\":\"11 1\",\"pages\":\"120\"},\"PeriodicalIF\":9.9000,\"publicationDate\":\"2025-06-11\",\"publicationTypes\":\"Journal Article\",\"fieldsOfStudy\":null,\"isOpenAccess\":false,\"openAccessPdf\":\"https://www.ncbi.nlm.nih.gov/pmc/articles/PMC12152158/pdf/\",\"citationCount\":\"0\",\"resultStr\":null,\"platform\":\"Semanticscholar\",\"paperid\":null,\"PeriodicalName\":\"Microsystems & Nanoengineering\",\"FirstCategoryId\":\"5\",\"ListUrlMain\":\"https://doi.org/10.1038/s41378-025-00978-4\",\"RegionNum\":1,\"RegionCategory\":\"工程技术\",\"ArticlePicture\":[],\"TitleCN\":null,\"AbstractTextCN\":null,\"PMCID\":null,\"EPubDate\":\"\",\"PubModel\":\"\",\"JCR\":\"Q1\",\"JCRName\":\"INSTRUMENTS & INSTRUMENTATION\",\"Score\":null,\"Total\":0}","platform":"Semanticscholar","paperid":null,"PeriodicalName":"Microsystems & Nanoengineering","FirstCategoryId":"5","ListUrlMain":"https://doi.org/10.1038/s41378-025-00978-4","RegionNum":1,"RegionCategory":"工程技术","ArticlePicture":[],"TitleCN":null,"AbstractTextCN":null,"PMCID":null,"EPubDate":"","PubModel":"","JCR":"Q1","JCRName":"INSTRUMENTS & INSTRUMENTATION","Score":null,"Total":0}
引用次数: 0

摘要

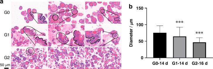
味觉是一种多方面的感官体验,涉及人类与食物有关的各种感官,是衡量食物质量的关键指标。以味蕾类器官为敏感元件的仿生味觉传感器能够在体外模拟真实的味觉转导反应。味蕾类器官是由味觉干/祖细胞形成的三维结构,与传感器结合开发生物传感器。本研究采用小鼠味觉上皮类器官作为敏感元件,微电极阵列(MEA)装置作为转导元件构建生物传感器。在酸、甜、苦和咸刺激下,选择一个特定通道,计算出平均放电速率分别为6.5±2.29 Hz、7.25±3.77 Hz、3.33±2.62 Hz和4.6±2.42 Hz。统计分析表明,除酸味外,其他三种味觉刺激的频率和幅度均显著增加。主成分分析(PCA)证明了在味觉传导监测中识别和区分不同味觉的能力。另外,观察到第14天,味蕾类器官出现聚集融合,形成典型的味蕾结构,表明其成熟。本研究为有效、客观的体外味觉检测提供了理论基础和有价值的工具。
本文章由计算机程序翻译,如有差异,请以英文原文为准。

Long-term culture and morphological maturation of taste organoids enhance taste discrimination in a biomimetic biosensor.

Long-term culture and morphological maturation of taste organoids enhance taste discrimination in a biomimetic biosensor.

Long-term culture and morphological maturation of taste organoids enhance taste discrimination in a biomimetic biosensor.

Long-term culture and morphological maturation of taste organoids enhance taste discrimination in a biomimetic biosensor.

Taste is a multifaceted sensory experience that involves various human senses related to food and is a key indicator of food quality. A biomimetic taste-based biosensor, which utilizes taste bud organoids as sensitive elements, is able to simulate the real responses of taste transduction in vitro. Taste bud organoids are three-dimensional structures created from taste stem/progenitor cells, integrated with transducers to develop the biosensor. In this research, organoids derived from mouse taste epithelium were employed as the sensitive element, while a microelectrode array (MEA) device served as the transduction element to create the biosensor. Following exposure to sour, sweet, bitter, and salty stimuli, one specific channel was chosen, and the average discharge rates were calculated as 6.5 ± 2.29 Hz, 7.25 ± 3.77 Hz, 3.33 ± 2.62 Hz, and 4.6 ± 2.42 Hz, respectively. Statistical analysis indicated that, apart from the sour taste, the frequency and amplitude of the other three taste stimuli showed significant increases. Principal component analysis (PCA) demonstrated the ability to identify and differentiate various tastes during taste conduction monitoring. Additionally, it was observed that on day 14, the taste bud organoids exhibited aggregation and fusion, leading to the formation of typical taste bud structures, indicating their maturation. This research offers a theoretical foundation and a valuable tool for effective and objective taste detection in vitro.

求助全文
通过发布文献求助,成功后即可免费获取论文全文。 去求助
来源期刊
Microsystems & Nanoengineering
Microsystems & Nanoengineering Materials Science-Materials Science (miscellaneous)
CiteScore
12.00
自引率
3.80%
发文量
123
审稿时长
20 weeks
期刊介绍: Microsystems & Nanoengineering is a comprehensive online journal that focuses on the field of Micro and Nano Electro Mechanical Systems (MEMS and NEMS). It provides a platform for researchers to share their original research findings and review articles in this area. The journal covers a wide range of topics, from fundamental research to practical applications. Published by Springer Nature, in collaboration with the Aerospace Information Research Institute, Chinese Academy of Sciences, and with the support of the State Key Laboratory of Transducer Technology, it is an esteemed publication in the field. As an open access journal, it offers free access to its content, allowing readers from around the world to benefit from the latest developments in MEMS and NEMS.
×
引用
GB/T 7714-2015
复制
MLA
复制
APA
复制
导出至
BibTeX EndNote RefMan NoteFirst NoteExpress
×
提示
您的信息不完整,为了账户安全,请先补充。
现在去补充
×
提示
您因"违规操作"
具体请查看互助需知
我知道了
×
提示
确定
请完成安全验证×
copy
已复制链接
快去分享给好友吧!
我知道了
右上角分享
点击右上角分享
0
联系我们:info@booksci.cn Book学术提供免费学术资源搜索服务,方便国内外学者检索中英文文献。致力于提供最便捷和优质的服务体验。 Copyright © 2023 布克学术 All rights reserved.
京ICP备2023020795号-1
ghs 京公网安备 11010802042870号
Book学术文献互助
Book学术文献互助群
群 号:604180095
Book学术官方微信