三维放疗、体积调节电弧治疗和质子束椎体-颅脊柱低剂量照射中心脏死亡率的相对风险和剂量学比较。

IF 2 4区 医学 Q2 BIOLOGY
Chonnipa Nantavithya, Anussara Prayongrat, Sornjarod Oonsiri, Kanjana Shotelersuk
{"title":"三维放疗、体积调节电弧治疗和质子束椎体-颅脊柱低剂量照射中心脏死亡率的相对风险和剂量学比较。","authors":"Chonnipa Nantavithya, Anussara Prayongrat, Sornjarod Oonsiri, Kanjana Shotelersuk","doi":"10.1093/jrr/rraf032","DOIUrl":null,"url":null,"abstract":"<p><p>We aimed to compare dose to organs at risk (OARs) and the excess relative risk (ERR) of cardiac mortality among three-dimensional conformal radiotherapy (3D-CRT), volume modulated arc therapy (VMAT) and proton beam therapy (PBT) in craniospinal irradiation (CSI). CSI plans of 3D-CRT, VMAT and PBT were generated. Vertebral body reduced dose (VBR)-CSI according to the International Society of Paediatric Oncology recommendation was used for VMAT and PBT. We delineated two sets of target volumes, i.e. target volume (TV) 1 for brain and thecal sac and TV2 for the vertebral body. Two sets of CSI dose, 23.4 and 36 Gy, were prescribed for TV1, and VBR doses, 18.4 and 20 Gy, were prescribed for TV2. For 3D-CRT, we prescribed a dose only to cover TV1. For VMAT and PBT, 23.4/18.4Gy and 36/20 Gy in 13 and 20 fractions were optimized. To evaluate the ERR of cardiac mortality compared with the normal population, we incorporate the mean heart dose with the linear model. In a total of eight patients, 48 treatment plans were generated (24 plans for each dose set). PBT showed the lowest mean dose to all OARs, i.e. heart, lung, liver, kidney, esophagus, oral cavity, thyroid and vertebral body. PBT showed significantly less ERR of cardiac mortality compared with 3D-CRT and VMAT for both 23.4 and 36 Gy prescriptions. With VBR-CSI, PBT reduced the mean dose to all OARs and significantly reduced the ERR of cardiac mortality compared with 3D-CRT and VMAT. The advantage of PBT was manifest, especially with high-dose CSI.</p>","PeriodicalId":16922,"journal":{"name":"Journal of Radiation Research","volume":" ","pages":"415-422"},"PeriodicalIF":2.0000,"publicationDate":"2025-07-22","publicationTypes":"Journal Article","fieldsOfStudy":null,"isOpenAccess":false,"openAccessPdf":"https://www.ncbi.nlm.nih.gov/pmc/articles/PMC12283519/pdf/","citationCount":"0","resultStr":"{\"title\":\"Relative risk of cardiac mortality and dosimetric comparison among three-dimensional radiotherapy, volume-modulated arc therapy and proton beam in vertebral-body reduced-dose craniospinal irradiation.\",\"authors\":\"Chonnipa Nantavithya, Anussara Prayongrat, Sornjarod Oonsiri, Kanjana Shotelersuk\",\"doi\":\"10.1093/jrr/rraf032\",\"DOIUrl\":null,\"url\":null,\"abstract\":\"<p><p>We aimed to compare dose to organs at risk (OARs) and the excess relative risk (ERR) of cardiac mortality among three-dimensional conformal radiotherapy (3D-CRT), volume modulated arc therapy (VMAT) and proton beam therapy (PBT) in craniospinal irradiation (CSI). CSI plans of 3D-CRT, VMAT and PBT were generated. Vertebral body reduced dose (VBR)-CSI according to the International Society of Paediatric Oncology recommendation was used for VMAT and PBT. We delineated two sets of target volumes, i.e. target volume (TV) 1 for brain and thecal sac and TV2 for the vertebral body. Two sets of CSI dose, 23.4 and 36 Gy, were prescribed for TV1, and VBR doses, 18.4 and 20 Gy, were prescribed for TV2. For 3D-CRT, we prescribed a dose only to cover TV1. For VMAT and PBT, 23.4/18.4Gy and 36/20 Gy in 13 and 20 fractions were optimized. To evaluate the ERR of cardiac mortality compared with the normal population, we incorporate the mean heart dose with the linear model. In a total of eight patients, 48 treatment plans were generated (24 plans for each dose set). PBT showed the lowest mean dose to all OARs, i.e. heart, lung, liver, kidney, esophagus, oral cavity, thyroid and vertebral body. PBT showed significantly less ERR of cardiac mortality compared with 3D-CRT and VMAT for both 23.4 and 36 Gy prescriptions. With VBR-CSI, PBT reduced the mean dose to all OARs and significantly reduced the ERR of cardiac mortality compared with 3D-CRT and VMAT. The advantage of PBT was manifest, especially with high-dose CSI.</p>\",\"PeriodicalId\":16922,\"journal\":{\"name\":\"Journal of Radiation Research\",\"volume\":\" \",\"pages\":\"415-422\"},\"PeriodicalIF\":2.0000,\"publicationDate\":\"2025-07-22\",\"publicationTypes\":\"Journal Article\",\"fieldsOfStudy\":null,\"isOpenAccess\":false,\"openAccessPdf\":\"https://www.ncbi.nlm.nih.gov/pmc/articles/PMC12283519/pdf/\",\"citationCount\":\"0\",\"resultStr\":null,\"platform\":\"Semanticscholar\",\"paperid\":null,\"PeriodicalName\":\"Journal of Radiation Research\",\"FirstCategoryId\":\"3\",\"ListUrlMain\":\"https://doi.org/10.1093/jrr/rraf032\",\"RegionNum\":4,\"RegionCategory\":\"医学\",\"ArticlePicture\":[],\"TitleCN\":null,\"AbstractTextCN\":null,\"PMCID\":null,\"EPubDate\":\"\",\"PubModel\":\"\",\"JCR\":\"Q2\",\"JCRName\":\"BIOLOGY\",\"Score\":null,\"Total\":0}","platform":"Semanticscholar","paperid":null,"PeriodicalName":"Journal of Radiation Research","FirstCategoryId":"3","ListUrlMain":"https://doi.org/10.1093/jrr/rraf032","RegionNum":4,"RegionCategory":"医学","ArticlePicture":[],"TitleCN":null,"AbstractTextCN":null,"PMCID":null,"EPubDate":"","PubModel":"","JCR":"Q2","JCRName":"BIOLOGY","Score":null,"Total":0}
引用次数: 0

摘要

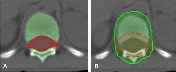
我们的目的是比较三维适形放疗(3D-CRT)、体积调节电弧治疗(VMAT)和质子束治疗(PBT)在颅脊髓照射(CSI)中的剂量对危险器官(OARs)和心脏死亡率的相对风险(ERR)。生成3D-CRT、VMAT和PBT的CSI计划。VMAT和PBT采用国际儿科肿瘤学会推荐的椎体减剂量(VBR)-CSI。我们划定了两组靶体积,即靶体积(TV) 1用于脑和鞘囊,TV2用于椎体。TV1组采用23.4 Gy和36 Gy两组CSI剂量,TV2组采用18.4 Gy和20 Gy两组VBR剂量。对于3D-CRT,我们只规定了覆盖TV1的剂量。VMAT和PBT在13和20个馏分中分别优化为23.4/18.4Gy和36/20 Gy。为了评估与正常人群相比心脏死亡率的ERR,我们将平均心脏剂量与线性模型结合起来。8例患者共产生48个治疗方案(每个剂量集24个方案)。PBT对心脏、肺、肝、肾、食道、口腔、甲状腺和椎体的平均剂量最低。与3D-CRT和VMAT相比,PBT在23.4 Gy和36 Gy处方中的心脏死亡率ERR均显着降低。与3D-CRT和VMAT相比,PBT降低了所有OARs的平均剂量,并显著降低了心脏死亡率的ERR。PBT的优势是明显的,特别是在高剂量的CSI。
本文章由计算机程序翻译,如有差异,请以英文原文为准。

Relative risk of cardiac mortality and dosimetric comparison among three-dimensional radiotherapy, volume-modulated arc therapy and proton beam in vertebral-body reduced-dose craniospinal irradiation.

Relative risk of cardiac mortality and dosimetric comparison among three-dimensional radiotherapy, volume-modulated arc therapy and proton beam in vertebral-body reduced-dose craniospinal irradiation.

Relative risk of cardiac mortality and dosimetric comparison among three-dimensional radiotherapy, volume-modulated arc therapy and proton beam in vertebral-body reduced-dose craniospinal irradiation.

Relative risk of cardiac mortality and dosimetric comparison among three-dimensional radiotherapy, volume-modulated arc therapy and proton beam in vertebral-body reduced-dose craniospinal irradiation.

We aimed to compare dose to organs at risk (OARs) and the excess relative risk (ERR) of cardiac mortality among three-dimensional conformal radiotherapy (3D-CRT), volume modulated arc therapy (VMAT) and proton beam therapy (PBT) in craniospinal irradiation (CSI). CSI plans of 3D-CRT, VMAT and PBT were generated. Vertebral body reduced dose (VBR)-CSI according to the International Society of Paediatric Oncology recommendation was used for VMAT and PBT. We delineated two sets of target volumes, i.e. target volume (TV) 1 for brain and thecal sac and TV2 for the vertebral body. Two sets of CSI dose, 23.4 and 36 Gy, were prescribed for TV1, and VBR doses, 18.4 and 20 Gy, were prescribed for TV2. For 3D-CRT, we prescribed a dose only to cover TV1. For VMAT and PBT, 23.4/18.4Gy and 36/20 Gy in 13 and 20 fractions were optimized. To evaluate the ERR of cardiac mortality compared with the normal population, we incorporate the mean heart dose with the linear model. In a total of eight patients, 48 treatment plans were generated (24 plans for each dose set). PBT showed the lowest mean dose to all OARs, i.e. heart, lung, liver, kidney, esophagus, oral cavity, thyroid and vertebral body. PBT showed significantly less ERR of cardiac mortality compared with 3D-CRT and VMAT for both 23.4 and 36 Gy prescriptions. With VBR-CSI, PBT reduced the mean dose to all OARs and significantly reduced the ERR of cardiac mortality compared with 3D-CRT and VMAT. The advantage of PBT was manifest, especially with high-dose CSI.

求助全文
通过发布文献求助,成功后即可免费获取论文全文。 去求助
来源期刊
CiteScore
3.60
自引率
5.00%
发文量
86
审稿时长
4-8 weeks
期刊介绍: The Journal of Radiation Research (JRR) is an official journal of The Japanese Radiation Research Society (JRRS), and the Japanese Society for Radiation Oncology (JASTRO). Since its launch in 1960 as the official journal of the JRRS, the journal has published scientific articles in radiation science in biology, chemistry, physics, epidemiology, and environmental sciences. JRR broadened its scope to include oncology in 2009, when JASTRO partnered with the JRRS to publish the journal. Articles considered fall into two broad categories: Oncology & Medicine - including all aspects of research with patients that impacts on the treatment of cancer using radiation. Papers which cover related radiation therapies, radiation dosimetry, and those describing the basis for treatment methods including techniques, are also welcomed. Clinical case reports are not acceptable. Radiation Research - basic science studies of radiation effects on livings in the area of physics, chemistry, biology, epidemiology and environmental sciences. Please be advised that JRR does not accept any papers of pure physics or chemistry. The journal is bimonthly, and is edited and published by the JRR Editorial Committee.
×
引用
GB/T 7714-2015
复制
MLA
复制
APA
复制
导出至
BibTeX EndNote RefMan NoteFirst NoteExpress
×
提示
您的信息不完整,为了账户安全,请先补充。
现在去补充
×
提示
您因"违规操作"
具体请查看互助需知
我知道了
×
提示
确定
请完成安全验证×
copy
已复制链接
快去分享给好友吧!
我知道了
右上角分享
点击右上角分享
0
联系我们:info@booksci.cn Book学术提供免费学术资源搜索服务,方便国内外学者检索中英文文献。致力于提供最便捷和优质的服务体验。 Copyright © 2023 布克学术 All rights reserved.
京ICP备2023020795号-1
ghs 京公网安备 11010802042870号
Book学术文献互助
Book学术文献互助群
群 号:604180095
Book学术官方微信