一种极为罕见的异常:显露肾静脉源性平滑肌肉瘤。

IF 0.5 Q4 SURGERY
Case Reports in Surgery Pub Date : 2025-06-02 eCollection Date: 2025-01-01 DOI:10.1155/cris/1335881
Jihane El Hamzaoui, Ali Kada, Imane El Messaoudi, Fouad Zouaidia, Hamza Sekkat, Youness Bakali, Mouna Mhamdi Alaoui, Farid Sabbah, Abdelmalek Hrora, Mohammed Raiss
{"title":"一种极为罕见的异常:显露肾静脉源性平滑肌肉瘤。","authors":"Jihane El Hamzaoui, Ali Kada, Imane El Messaoudi, Fouad Zouaidia, Hamza Sekkat, Youness Bakali, Mouna Mhamdi Alaoui, Farid Sabbah, Abdelmalek Hrora, Mohammed Raiss","doi":"10.1155/cris/1335881","DOIUrl":null,"url":null,"abstract":"<p><p><b>Introduction:</b> Angiogenic leiomyosarcoma (LMS), a soft tissue sarcoma, primarily occurs in the inferior vena cava (IVC) in over 50% of cases, with renal vein LMSs being exceedingly rare. We present a case of primary LMS of the left renal vein. <b>Case Report:</b> A 73-year-old woman with a history of hypertension and prior left colon adenocarcinoma presented with intermittent left flank pain. Imaging revealed a large left latero-aortic mass. Exploratory laparotomy confirmed a multinodular tumor around the left renal hilum, necessitating en bloc resection with left nephrectomy. Pathological examination identified it as a grade 2 LMS. The patient recovered well postoperatively with no complications. <b>Discussion:</b> LMSs, especially of vascular origin, are rare and aggressive malignancies. Despite their insidious presentation, they predominantly manifest in women, typically adults, and often on the left side. Diagnosis is challenging due to nonspecific symptoms and imaging findings. Surgical resection remains the cornerstone of treatment, with complete resection offering better outcomes. Prognosis is poor, particularly with larger tumors, partial resection, and high-grade lesions. Adjuvant therapy's efficacy is uncertain. <b>Conclusion:</b> LMS of the renal vein is a rare entity with challenging diagnosis and management. Radical surgical resection remains the mainstay, but prognosis is guarded, especially in high-risk cases. Further research is needed to optimize treatment strategies for this rare malignancy.</p>","PeriodicalId":9600,"journal":{"name":"Case Reports in Surgery","volume":"2025 ","pages":"1335881"},"PeriodicalIF":0.5000,"publicationDate":"2025-06-02","publicationTypes":"Journal Article","fieldsOfStudy":null,"isOpenAccess":false,"openAccessPdf":"https://www.ncbi.nlm.nih.gov/pmc/articles/PMC12149478/pdf/","citationCount":"0","resultStr":"{\"title\":\"An Extremely Rare Anomaly: Unveiling Renal Vein-Originated Leiomyosarcoma.\",\"authors\":\"Jihane El Hamzaoui, Ali Kada, Imane El Messaoudi, Fouad Zouaidia, Hamza Sekkat, Youness Bakali, Mouna Mhamdi Alaoui, Farid Sabbah, Abdelmalek Hrora, Mohammed Raiss\",\"doi\":\"10.1155/cris/1335881\",\"DOIUrl\":null,\"url\":null,\"abstract\":\"<p><p><b>Introduction:</b> Angiogenic leiomyosarcoma (LMS), a soft tissue sarcoma, primarily occurs in the inferior vena cava (IVC) in over 50% of cases, with renal vein LMSs being exceedingly rare. We present a case of primary LMS of the left renal vein. <b>Case Report:</b> A 73-year-old woman with a history of hypertension and prior left colon adenocarcinoma presented with intermittent left flank pain. Imaging revealed a large left latero-aortic mass. Exploratory laparotomy confirmed a multinodular tumor around the left renal hilum, necessitating en bloc resection with left nephrectomy. Pathological examination identified it as a grade 2 LMS. The patient recovered well postoperatively with no complications. <b>Discussion:</b> LMSs, especially of vascular origin, are rare and aggressive malignancies. Despite their insidious presentation, they predominantly manifest in women, typically adults, and often on the left side. Diagnosis is challenging due to nonspecific symptoms and imaging findings. Surgical resection remains the cornerstone of treatment, with complete resection offering better outcomes. Prognosis is poor, particularly with larger tumors, partial resection, and high-grade lesions. Adjuvant therapy's efficacy is uncertain. <b>Conclusion:</b> LMS of the renal vein is a rare entity with challenging diagnosis and management. Radical surgical resection remains the mainstay, but prognosis is guarded, especially in high-risk cases. Further research is needed to optimize treatment strategies for this rare malignancy.</p>\",\"PeriodicalId\":9600,\"journal\":{\"name\":\"Case Reports in Surgery\",\"volume\":\"2025 \",\"pages\":\"1335881\"},\"PeriodicalIF\":0.5000,\"publicationDate\":\"2025-06-02\",\"publicationTypes\":\"Journal Article\",\"fieldsOfStudy\":null,\"isOpenAccess\":false,\"openAccessPdf\":\"https://www.ncbi.nlm.nih.gov/pmc/articles/PMC12149478/pdf/\",\"citationCount\":\"0\",\"resultStr\":null,\"platform\":\"Semanticscholar\",\"paperid\":null,\"PeriodicalName\":\"Case Reports in Surgery\",\"FirstCategoryId\":\"1085\",\"ListUrlMain\":\"https://doi.org/10.1155/cris/1335881\",\"RegionNum\":0,\"RegionCategory\":null,\"ArticlePicture\":[],\"TitleCN\":null,\"AbstractTextCN\":null,\"PMCID\":null,\"EPubDate\":\"2025/1/1 0:00:00\",\"PubModel\":\"eCollection\",\"JCR\":\"Q4\",\"JCRName\":\"SURGERY\",\"Score\":null,\"Total\":0}","platform":"Semanticscholar","paperid":null,"PeriodicalName":"Case Reports in Surgery","FirstCategoryId":"1085","ListUrlMain":"https://doi.org/10.1155/cris/1335881","RegionNum":0,"RegionCategory":null,"ArticlePicture":[],"TitleCN":null,"AbstractTextCN":null,"PMCID":null,"EPubDate":"2025/1/1 0:00:00","PubModel":"eCollection","JCR":"Q4","JCRName":"SURGERY","Score":null,"Total":0}
引用次数: 0

摘要

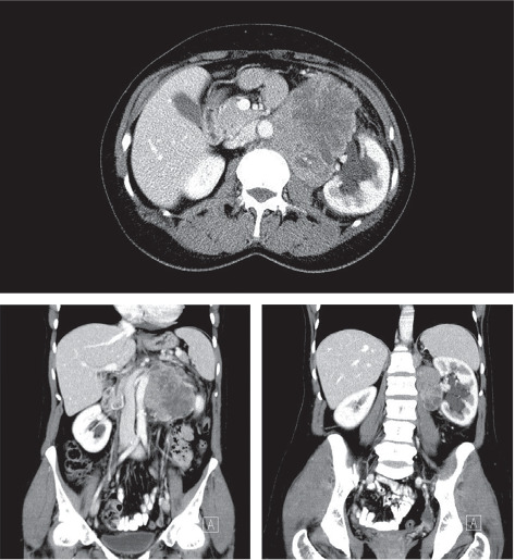
血管生成性平滑肌肉瘤(Angiogenic平滑肌肉瘤,LMS)是一种软组织肉瘤,主要发生在下腔静脉(IVC),超过50%的病例发生,肾静脉的LMS极为罕见。我们报告一例原发性左肾静脉LMS。病例报告:一名73岁女性,既往有高血压病史和左侧结肠腺癌,表现为间歇性左侧疼痛。影像学显示左侧主动脉外侧有一个大肿块。剖腹探查证实左肾门周围有多结节性肿瘤,需要行左肾全切除术。病理检查为2级LMS。患者术后恢复良好,无并发症。讨论:lms,尤其是血管源性lms,是一种罕见的侵袭性恶性肿瘤。尽管表现隐匿,但它们主要出现在女性身上,通常是成年人,而且经常出现在左侧。由于非特异性症状和影像学表现,诊断具有挑战性。手术切除仍然是治疗的基石,完全切除提供更好的结果。预后较差,特别是较大的肿瘤,部分切除和高度病变。辅助治疗的疗效尚不确定。结论:肾静脉LMS是一种罕见的疾病,诊断和治疗具有挑战性。根治性手术切除仍是主要治疗方法,但预后不佳,特别是在高危病例中。需要进一步的研究来优化这种罕见恶性肿瘤的治疗策略。
本文章由计算机程序翻译,如有差异,请以英文原文为准。

An Extremely Rare Anomaly: Unveiling Renal Vein-Originated Leiomyosarcoma.

An Extremely Rare Anomaly: Unveiling Renal Vein-Originated Leiomyosarcoma.

An Extremely Rare Anomaly: Unveiling Renal Vein-Originated Leiomyosarcoma.

An Extremely Rare Anomaly: Unveiling Renal Vein-Originated Leiomyosarcoma.

Introduction: Angiogenic leiomyosarcoma (LMS), a soft tissue sarcoma, primarily occurs in the inferior vena cava (IVC) in over 50% of cases, with renal vein LMSs being exceedingly rare. We present a case of primary LMS of the left renal vein. Case Report: A 73-year-old woman with a history of hypertension and prior left colon adenocarcinoma presented with intermittent left flank pain. Imaging revealed a large left latero-aortic mass. Exploratory laparotomy confirmed a multinodular tumor around the left renal hilum, necessitating en bloc resection with left nephrectomy. Pathological examination identified it as a grade 2 LMS. The patient recovered well postoperatively with no complications. Discussion: LMSs, especially of vascular origin, are rare and aggressive malignancies. Despite their insidious presentation, they predominantly manifest in women, typically adults, and often on the left side. Diagnosis is challenging due to nonspecific symptoms and imaging findings. Surgical resection remains the cornerstone of treatment, with complete resection offering better outcomes. Prognosis is poor, particularly with larger tumors, partial resection, and high-grade lesions. Adjuvant therapy's efficacy is uncertain. Conclusion: LMS of the renal vein is a rare entity with challenging diagnosis and management. Radical surgical resection remains the mainstay, but prognosis is guarded, especially in high-risk cases. Further research is needed to optimize treatment strategies for this rare malignancy.

求助全文
通过发布文献求助,成功后即可免费获取论文全文。 去求助
来源期刊
自引率
0.00%
发文量
60
审稿时长
13 weeks
×
引用
GB/T 7714-2015
复制
MLA
复制
APA
复制
导出至
BibTeX EndNote RefMan NoteFirst NoteExpress
×
提示
您的信息不完整,为了账户安全,请先补充。
现在去补充
×
提示
您因"违规操作"
具体请查看互助需知
我知道了
×
提示
确定
请完成安全验证×
copy
已复制链接
快去分享给好友吧!
我知道了
右上角分享
点击右上角分享
0
联系我们:info@booksci.cn Book学术提供免费学术资源搜索服务,方便国内外学者检索中英文文献。致力于提供最便捷和优质的服务体验。 Copyright © 2023 布克学术 All rights reserved.
京ICP备2023020795号-1
ghs 京公网安备 11010802042870号
Book学术文献互助
Book学术文献互助群
群 号:604180095
Book学术官方微信