治疗抵抗糜烂在老年患者生殖器区域:鉴别诊断的挑战-一个病例报告。

IF 0.8 Q4 DERMATOLOGY
Case Reports in Dermatology Pub Date : 2025-04-28 eCollection Date: 2025-01-01 DOI:10.1159/000546135
Martin Gschnell, Iris Hennighausen, Can Alpagut, Julia Nadina Föhr, Jacqueline Kussini, Lisa Krönig
{"title":"治疗抵抗糜烂在老年患者生殖器区域:鉴别诊断的挑战-一个病例报告。","authors":"Martin Gschnell, Iris Hennighausen, Can Alpagut, Julia Nadina Föhr, Jacqueline Kussini, Lisa Krönig","doi":"10.1159/000546135","DOIUrl":null,"url":null,"abstract":"<p><strong>Introduction: </strong>Genital erosions occur in many dermatological conditions and can sometimes be difficult to classify, especially in older patients with multiple morbidities.</p><p><strong>Case presentation: </strong>We report the case of an 81-year-old patient with therapy-resistant genital erythema. Under topical antifungal therapy for a suspected diagnosis of Candida intrigue, the scrotal findings continued to progress, accompanied by genital erosions and new erosions on the nose and right knee. With evidence of IgG and C3 deposition on the basement membrane on direct immunofluorescence and subepidermal cleft formation on histology, a diagnosis of bullous pemphigoid with predominant genital involvement was made.</p><p><strong>Conclusion: </strong>In conclusion, this case study illustrates that skin biopsies should be taken in cases of therapy-resistant erythema with erosions in order to clarify the dignity and ultimately to be able to adapt the treatment. In addition, it is important to examine the entire integument, including the mucous membranes close to the skin, to avoid overlooking groundbreaking findings. Bullous pemphigoid is the most common blistering autoimmune skin disease and occurs mainly in older people. However, the classic picture of bulging blisters is not always present. Bullous pemphigoid may masquerade clinically as pruritic eczema, erythroderma, or erosions. Predominant genital involvement has only been described in a few case reports.</p>","PeriodicalId":9619,"journal":{"name":"Case Reports in Dermatology","volume":"17 1","pages":"191-195"},"PeriodicalIF":0.8000,"publicationDate":"2025-04-28","publicationTypes":"Journal Article","fieldsOfStudy":null,"isOpenAccess":false,"openAccessPdf":"https://www.ncbi.nlm.nih.gov/pmc/articles/PMC12148320/pdf/","citationCount":"0","resultStr":"{\"title\":\"Therapy-Resistant Erosions in the Genital Area of Elderly Patients: A Differential Diagnostic Challenge - A Case Report.\",\"authors\":\"Martin Gschnell, Iris Hennighausen, Can Alpagut, Julia Nadina Föhr, Jacqueline Kussini, Lisa Krönig\",\"doi\":\"10.1159/000546135\",\"DOIUrl\":null,\"url\":null,\"abstract\":\"<p><strong>Introduction: </strong>Genital erosions occur in many dermatological conditions and can sometimes be difficult to classify, especially in older patients with multiple morbidities.</p><p><strong>Case presentation: </strong>We report the case of an 81-year-old patient with therapy-resistant genital erythema. Under topical antifungal therapy for a suspected diagnosis of Candida intrigue, the scrotal findings continued to progress, accompanied by genital erosions and new erosions on the nose and right knee. With evidence of IgG and C3 deposition on the basement membrane on direct immunofluorescence and subepidermal cleft formation on histology, a diagnosis of bullous pemphigoid with predominant genital involvement was made.</p><p><strong>Conclusion: </strong>In conclusion, this case study illustrates that skin biopsies should be taken in cases of therapy-resistant erythema with erosions in order to clarify the dignity and ultimately to be able to adapt the treatment. In addition, it is important to examine the entire integument, including the mucous membranes close to the skin, to avoid overlooking groundbreaking findings. Bullous pemphigoid is the most common blistering autoimmune skin disease and occurs mainly in older people. However, the classic picture of bulging blisters is not always present. Bullous pemphigoid may masquerade clinically as pruritic eczema, erythroderma, or erosions. Predominant genital involvement has only been described in a few case reports.</p>\",\"PeriodicalId\":9619,\"journal\":{\"name\":\"Case Reports in Dermatology\",\"volume\":\"17 1\",\"pages\":\"191-195\"},\"PeriodicalIF\":0.8000,\"publicationDate\":\"2025-04-28\",\"publicationTypes\":\"Journal Article\",\"fieldsOfStudy\":null,\"isOpenAccess\":false,\"openAccessPdf\":\"https://www.ncbi.nlm.nih.gov/pmc/articles/PMC12148320/pdf/\",\"citationCount\":\"0\",\"resultStr\":null,\"platform\":\"Semanticscholar\",\"paperid\":null,\"PeriodicalName\":\"Case Reports in Dermatology\",\"FirstCategoryId\":\"1085\",\"ListUrlMain\":\"https://doi.org/10.1159/000546135\",\"RegionNum\":0,\"RegionCategory\":null,\"ArticlePicture\":[],\"TitleCN\":null,\"AbstractTextCN\":null,\"PMCID\":null,\"EPubDate\":\"2025/1/1 0:00:00\",\"PubModel\":\"eCollection\",\"JCR\":\"Q4\",\"JCRName\":\"DERMATOLOGY\",\"Score\":null,\"Total\":0}","platform":"Semanticscholar","paperid":null,"PeriodicalName":"Case Reports in Dermatology","FirstCategoryId":"1085","ListUrlMain":"https://doi.org/10.1159/000546135","RegionNum":0,"RegionCategory":null,"ArticlePicture":[],"TitleCN":null,"AbstractTextCN":null,"PMCID":null,"EPubDate":"2025/1/1 0:00:00","PubModel":"eCollection","JCR":"Q4","JCRName":"DERMATOLOGY","Score":null,"Total":0}
引用次数: 0

摘要

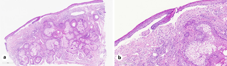
导读:生殖器糜烂发生在许多皮肤病中,有时很难分类,特别是在患有多种疾病的老年患者中。病例介绍:我们报告一例81岁患者治疗抵抗性生殖器红斑。在局部抗真菌治疗疑似假丝酵母阴谋诊断下,阴囊发现继续进展,伴有生殖器糜烂和鼻子和右膝盖的新糜烂。直接免疫荧光显示IgG和C3在基底膜上沉积,组织学显示表皮下裂形成,诊断为主要累及生殖器的大疱性类天疱疮。结论:总之,本病例研究表明,在治疗抵抗性红斑伴糜烂的情况下,应进行皮肤活检,以澄清尊严,最终能够适应治疗。此外,重要的是检查整个被膜,包括靠近皮肤的粘膜,以避免忽视突破性的发现。大疱性类天疱疮是最常见的自身免疫性皮肤病,主要发生在老年人身上。然而,典型的鼓鼓的水泡并不总是存在。大疱性类天疱疮在临床上可能表现为瘙痒性湿疹、红皮病或糜烂。仅在少数病例报告中描述了主要的生殖器受累。
本文章由计算机程序翻译,如有差异,请以英文原文为准。

Therapy-Resistant Erosions in the Genital Area of Elderly Patients: A Differential Diagnostic Challenge - A Case Report.

Therapy-Resistant Erosions in the Genital Area of Elderly Patients: A Differential Diagnostic Challenge - A Case Report.

Therapy-Resistant Erosions in the Genital Area of Elderly Patients: A Differential Diagnostic Challenge - A Case Report.

Therapy-Resistant Erosions in the Genital Area of Elderly Patients: A Differential Diagnostic Challenge - A Case Report.

Introduction: Genital erosions occur in many dermatological conditions and can sometimes be difficult to classify, especially in older patients with multiple morbidities.

Case presentation: We report the case of an 81-year-old patient with therapy-resistant genital erythema. Under topical antifungal therapy for a suspected diagnosis of Candida intrigue, the scrotal findings continued to progress, accompanied by genital erosions and new erosions on the nose and right knee. With evidence of IgG and C3 deposition on the basement membrane on direct immunofluorescence and subepidermal cleft formation on histology, a diagnosis of bullous pemphigoid with predominant genital involvement was made.

Conclusion: In conclusion, this case study illustrates that skin biopsies should be taken in cases of therapy-resistant erythema with erosions in order to clarify the dignity and ultimately to be able to adapt the treatment. In addition, it is important to examine the entire integument, including the mucous membranes close to the skin, to avoid overlooking groundbreaking findings. Bullous pemphigoid is the most common blistering autoimmune skin disease and occurs mainly in older people. However, the classic picture of bulging blisters is not always present. Bullous pemphigoid may masquerade clinically as pruritic eczema, erythroderma, or erosions. Predominant genital involvement has only been described in a few case reports.

求助全文
通过发布文献求助,成功后即可免费获取论文全文。 去求助
来源期刊
CiteScore
1.60
自引率
0.00%
发文量
57
审稿时长
9 weeks
×
引用
GB/T 7714-2015
复制
MLA
复制
APA
复制
导出至
BibTeX EndNote RefMan NoteFirst NoteExpress
×
提示
您的信息不完整,为了账户安全,请先补充。
现在去补充
×
提示
您因"违规操作"
具体请查看互助需知
我知道了
×
提示
确定
请完成安全验证×
copy
已复制链接
快去分享给好友吧!
我知道了
右上角分享
点击右上角分享
0
联系我们:info@booksci.cn Book学术提供免费学术资源搜索服务,方便国内外学者检索中英文文献。致力于提供最便捷和优质的服务体验。 Copyright © 2023 布克学术 All rights reserved.
京ICP备2023020795号-1
ghs 京公网安备 11010802042870号
Book学术文献互助
Book学术文献互助群
群 号:604180095
Book学术官方微信