航空飞行员结石性胆囊炎合并肝外胆管病变3例临床体会及航空医学分析。

IF 0.6 Q4 GASTROENTEROLOGY & HEPATOLOGY
Case Reports in Gastroenterology Pub Date : 2025-06-09 eCollection Date: 2025-01-01 DOI:10.1159/000546233
Wen-Bing Li, Zeng Xue, Wei Shi, Lu-Bing Wang, Xiao-Jun He, Cheng Wang, Gang Zhao, Ling-Hong Kong, Meng Pu, Cheng-Li Liu, Ya-Lin Kong
{"title":"航空飞行员结石性胆囊炎合并肝外胆管病变3例临床体会及航空医学分析。","authors":"Wen-Bing Li, Zeng Xue, Wei Shi, Lu-Bing Wang, Xiao-Jun He, Cheng Wang, Gang Zhao, Ling-Hong Kong, Meng Pu, Cheng-Li Liu, Ya-Lin Kong","doi":"10.1159/000546233","DOIUrl":null,"url":null,"abstract":"<p><strong>Introduction: </strong>For aviation personnel, calculous cholecystitis often requires surgical treatment because of the potential risks to flight safety whether symptomatic or asymptomatic. Although much effort has been put on the precaution of gallstone formation, the incidence of long-term post-cholecystectomy syndrome (PCS) seems more apparent in the limited number of cases undergoing cholecystectomy. The purpose of article was to elucidate the possible mechanism of gallstone formation and the development of long-term PCS caused by variations of bile duct, as well as choice of surgical treatments, just in this particular group of aviation personnel.</p><p><strong>Case presentation: </strong>Seven aviation pilots who underwent laparoscopic cholecystectomy in recent 5 years were reviewed, and 3 cases who developed long-term PCS because of variations of bile duct were presented. Variations of bile duct included existence of accessory extrahepatic bile, absence of common bile duct, and absence of cystic duct. Long-term PCS was characterized as epigastric dull pain and diarrhea or sparse stool, and became aggravated when resuming trainings of flight stimulations. Dietary adjustment and oral antispasmodic or cholagogic drug therapy, combined with relieving apprehensions after surgery, helped them recover well and resume flight.</p><p><strong>Conclusion: </strong>Variation of bile duct may be an important potential risk for gallstone formation and development of long-term PCS with the cause of probable decrement of bile drainage under the physiological environment of aviation.</p>","PeriodicalId":9614,"journal":{"name":"Case Reports in Gastroenterology","volume":"19 1","pages":"412-422"},"PeriodicalIF":0.6000,"publicationDate":"2025-06-09","publicationTypes":"Journal Article","fieldsOfStudy":null,"isOpenAccess":false,"openAccessPdf":"https://www.ncbi.nlm.nih.gov/pmc/articles/PMC12148319/pdf/","citationCount":"0","resultStr":"{\"title\":\"Calculus Cholecystitis Complicated with Variations of Extrahepatic Bile Duct: Clinical Experience and Aeromedical Analysis of 3 Cases in Aviation Pilots.\",\"authors\":\"Wen-Bing Li, Zeng Xue, Wei Shi, Lu-Bing Wang, Xiao-Jun He, Cheng Wang, Gang Zhao, Ling-Hong Kong, Meng Pu, Cheng-Li Liu, Ya-Lin Kong\",\"doi\":\"10.1159/000546233\",\"DOIUrl\":null,\"url\":null,\"abstract\":\"<p><strong>Introduction: </strong>For aviation personnel, calculous cholecystitis often requires surgical treatment because of the potential risks to flight safety whether symptomatic or asymptomatic. Although much effort has been put on the precaution of gallstone formation, the incidence of long-term post-cholecystectomy syndrome (PCS) seems more apparent in the limited number of cases undergoing cholecystectomy. The purpose of article was to elucidate the possible mechanism of gallstone formation and the development of long-term PCS caused by variations of bile duct, as well as choice of surgical treatments, just in this particular group of aviation personnel.</p><p><strong>Case presentation: </strong>Seven aviation pilots who underwent laparoscopic cholecystectomy in recent 5 years were reviewed, and 3 cases who developed long-term PCS because of variations of bile duct were presented. Variations of bile duct included existence of accessory extrahepatic bile, absence of common bile duct, and absence of cystic duct. Long-term PCS was characterized as epigastric dull pain and diarrhea or sparse stool, and became aggravated when resuming trainings of flight stimulations. Dietary adjustment and oral antispasmodic or cholagogic drug therapy, combined with relieving apprehensions after surgery, helped them recover well and resume flight.</p><p><strong>Conclusion: </strong>Variation of bile duct may be an important potential risk for gallstone formation and development of long-term PCS with the cause of probable decrement of bile drainage under the physiological environment of aviation.</p>\",\"PeriodicalId\":9614,\"journal\":{\"name\":\"Case Reports in Gastroenterology\",\"volume\":\"19 1\",\"pages\":\"412-422\"},\"PeriodicalIF\":0.6000,\"publicationDate\":\"2025-06-09\",\"publicationTypes\":\"Journal Article\",\"fieldsOfStudy\":null,\"isOpenAccess\":false,\"openAccessPdf\":\"https://www.ncbi.nlm.nih.gov/pmc/articles/PMC12148319/pdf/\",\"citationCount\":\"0\",\"resultStr\":null,\"platform\":\"Semanticscholar\",\"paperid\":null,\"PeriodicalName\":\"Case Reports in Gastroenterology\",\"FirstCategoryId\":\"1085\",\"ListUrlMain\":\"https://doi.org/10.1159/000546233\",\"RegionNum\":0,\"RegionCategory\":null,\"ArticlePicture\":[],\"TitleCN\":null,\"AbstractTextCN\":null,\"PMCID\":null,\"EPubDate\":\"2025/1/1 0:00:00\",\"PubModel\":\"eCollection\",\"JCR\":\"Q4\",\"JCRName\":\"GASTROENTEROLOGY & HEPATOLOGY\",\"Score\":null,\"Total\":0}","platform":"Semanticscholar","paperid":null,"PeriodicalName":"Case Reports in Gastroenterology","FirstCategoryId":"1085","ListUrlMain":"https://doi.org/10.1159/000546233","RegionNum":0,"RegionCategory":null,"ArticlePicture":[],"TitleCN":null,"AbstractTextCN":null,"PMCID":null,"EPubDate":"2025/1/1 0:00:00","PubModel":"eCollection","JCR":"Q4","JCRName":"GASTROENTEROLOGY & HEPATOLOGY","Score":null,"Total":0}
引用次数: 0

摘要

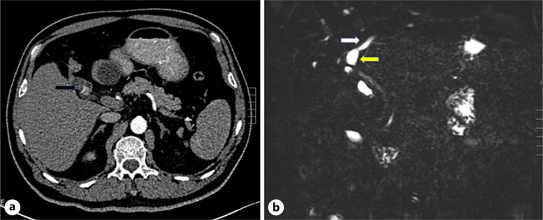
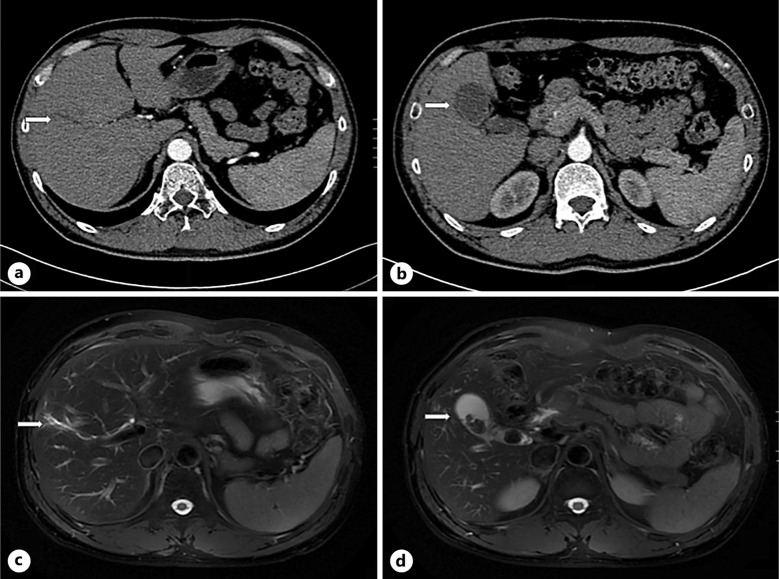
导言:对于航空人员来说,结石性胆囊炎无论有无症状都可能对飞行安全造成潜在的风险,往往需要手术治疗。尽管人们在预防胆囊结石的形成方面做了很多努力,但在有限的胆囊切除术病例中,长期胆囊切除术后综合征(PCS)的发生率似乎更为明显。本文旨在探讨航空人员这一特殊人群胆石形成的可能机制、胆管变异引起的长期PCS的发展及手术治疗的选择。病例介绍:回顾了近5年来7例航空飞行员行腹腔镜胆囊切除术的病例,其中3例因胆管病变而发生长期PCS。胆管的变异包括存在副肝外胆管、没有总胆管和没有胆囊管。长期PCS表现为上腹钝痛、腹泻或稀便,恢复飞行刺激训练后病情加重。饮食调整和口服抗痉挛或胆道药物治疗,结合术后减轻忧虑,帮助他们恢复良好,恢复飞行。结论:在航空生理环境下,胆管变异可能是胆结石形成和发展为长期PCS的重要潜在危险因素,其原因可能是胆汁引流的减少。
本文章由计算机程序翻译,如有差异,请以英文原文为准。

Calculus Cholecystitis Complicated with Variations of Extrahepatic Bile Duct: Clinical Experience and Aeromedical Analysis of 3 Cases in Aviation Pilots.

Calculus Cholecystitis Complicated with Variations of Extrahepatic Bile Duct: Clinical Experience and Aeromedical Analysis of 3 Cases in Aviation Pilots.

Calculus Cholecystitis Complicated with Variations of Extrahepatic Bile Duct: Clinical Experience and Aeromedical Analysis of 3 Cases in Aviation Pilots.

Calculus Cholecystitis Complicated with Variations of Extrahepatic Bile Duct: Clinical Experience and Aeromedical Analysis of 3 Cases in Aviation Pilots.

Introduction: For aviation personnel, calculous cholecystitis often requires surgical treatment because of the potential risks to flight safety whether symptomatic or asymptomatic. Although much effort has been put on the precaution of gallstone formation, the incidence of long-term post-cholecystectomy syndrome (PCS) seems more apparent in the limited number of cases undergoing cholecystectomy. The purpose of article was to elucidate the possible mechanism of gallstone formation and the development of long-term PCS caused by variations of bile duct, as well as choice of surgical treatments, just in this particular group of aviation personnel.

Case presentation: Seven aviation pilots who underwent laparoscopic cholecystectomy in recent 5 years were reviewed, and 3 cases who developed long-term PCS because of variations of bile duct were presented. Variations of bile duct included existence of accessory extrahepatic bile, absence of common bile duct, and absence of cystic duct. Long-term PCS was characterized as epigastric dull pain and diarrhea or sparse stool, and became aggravated when resuming trainings of flight stimulations. Dietary adjustment and oral antispasmodic or cholagogic drug therapy, combined with relieving apprehensions after surgery, helped them recover well and resume flight.

Conclusion: Variation of bile duct may be an important potential risk for gallstone formation and development of long-term PCS with the cause of probable decrement of bile drainage under the physiological environment of aviation.

求助全文
通过发布文献求助,成功后即可免费获取论文全文。 去求助
来源期刊
Case Reports in Gastroenterology
Case Reports in Gastroenterology Medicine-Gastroenterology
CiteScore
1.10
自引率
0.00%
发文量
99
审稿时长
7 weeks
期刊介绍:
×
引用
GB/T 7714-2015
复制
MLA
复制
APA
复制
导出至
BibTeX EndNote RefMan NoteFirst NoteExpress
×
提示
您的信息不完整,为了账户安全,请先补充。
现在去补充
×
提示
您因"违规操作"
具体请查看互助需知
我知道了
×
提示
确定
请完成安全验证×
copy
已复制链接
快去分享给好友吧!
我知道了
右上角分享
点击右上角分享
0
联系我们:info@booksci.cn Book学术提供免费学术资源搜索服务,方便国内外学者检索中英文文献。致力于提供最便捷和优质的服务体验。 Copyright © 2023 布克学术 All rights reserved.
京ICP备2023020795号-1
ghs 京公网安备 11010802042870号
Book学术文献互助
Book学术文献互助群
群 号:604180095
Book学术官方微信