GRN过表达对人牙周细胞增殖和成骨能力的影响。

IF 2.3
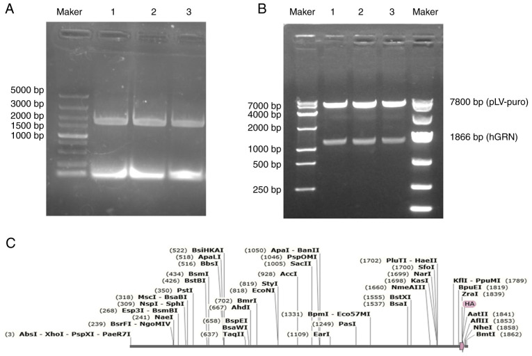
Experimental and therapeutic medicine Pub Date : 2024-12-17 eCollection Date: 2025-02-01 DOI:10.3892/etm.2024.12783
Xuanxuan Yao, Ruoshan Qin, Ziwei Cui, Dengqi He, Xiaorong Sun, Yuefeng Sun, Xiangyi He
{"title":"GRN过表达对人牙周细胞增殖和成骨能力的影响。","authors":"Xuanxuan Yao, Ruoshan Qin, Ziwei Cui, Dengqi He, Xiaorong Sun, Yuefeng Sun, Xiangyi He","doi":"10.3892/etm.2024.12783","DOIUrl":null,"url":null,"abstract":"<p><p>A human periodontal ligament cell line stably overexpressing the granulin precursor gene (<i>GRN</i>) was established through lentiviral mediation to explore the effects of <i>GRN</i> on the proliferation and osteogenic capacity of human periodontal ligament cells (hPDLCs). In the present study, a homologous recombinant lentiviral plasmid, pLV-GRN, was constructed and transfected into the hPDLCs. The expression levels of <i>GRN</i> and progranulin were assessed using reverse transcription-quantitative (RT-q)PCR and western blotting and the effect of <i>GRN</i> on the proliferative capacity was determined using the MTT assay. The osteogenic capacity of human periodontal cells overexpressing <i>GRN</i> was evaluated. The results showed that successful construction and transfection of the homologous recombinant lentiviral plasmid pLV-GRN led to the development of a stable periodontal cell line overexpressing <i>GRN</i>. The MTT assay results revealed an enhanced proliferative capacity in the pLV-GRN group compared with that in the hPDLCs and pLV-puro groups (P<0.05). Alizarin red staining and alkaline phosphatase (ALP) activity assays indicated a significantly increased osteogenic capacity in the pLV-GRN group compared with the hPDLCs and pLV-puro groups (P<0.01). RT-qPCR demonstrated strong expression of the osteogenic genes ALP, runt-related transcription factor 2 (Runx2) and osteopontin (OPN) in the periodontal cells of the pLV-GRN group (P<0.05), whereas western blotting results corroborated the high expression of the osteogenic genes Runx-2 and OPN in the periodontal cells of the pLV-GRN group (P<0.05). In summary, the overexpression of <i>GRN</i> significantly enhanced the proliferation and osteogenic capacity of hPDLCs. These findings provide an experimental foundation for periodontal tissue regeneration.</p>","PeriodicalId":94002,"journal":{"name":"Experimental and therapeutic medicine","volume":"29 2","pages":"33"},"PeriodicalIF":2.3000,"publicationDate":"2024-12-17","publicationTypes":"Journal Article","fieldsOfStudy":null,"isOpenAccess":false,"openAccessPdf":"https://www.ncbi.nlm.nih.gov/pmc/articles/PMC12141987/pdf/","citationCount":"0","resultStr":"{\"title\":\"Effect of overexpression of <i>GRN</i> on the proliferation and osteogenic capacity of human periodontal cells.\",\"authors\":\"Xuanxuan Yao, Ruoshan Qin, Ziwei Cui, Dengqi He, Xiaorong Sun, Yuefeng Sun, Xiangyi He\",\"doi\":\"10.3892/etm.2024.12783\",\"DOIUrl\":null,\"url\":null,\"abstract\":\"<p><p>A human periodontal ligament cell line stably overexpressing the granulin precursor gene (<i>GRN</i>) was established through lentiviral mediation to explore the effects of <i>GRN</i> on the proliferation and osteogenic capacity of human periodontal ligament cells (hPDLCs). In the present study, a homologous recombinant lentiviral plasmid, pLV-GRN, was constructed and transfected into the hPDLCs. The expression levels of <i>GRN</i> and progranulin were assessed using reverse transcription-quantitative (RT-q)PCR and western blotting and the effect of <i>GRN</i> on the proliferative capacity was determined using the MTT assay. The osteogenic capacity of human periodontal cells overexpressing <i>GRN</i> was evaluated. The results showed that successful construction and transfection of the homologous recombinant lentiviral plasmid pLV-GRN led to the development of a stable periodontal cell line overexpressing <i>GRN</i>. The MTT assay results revealed an enhanced proliferative capacity in the pLV-GRN group compared with that in the hPDLCs and pLV-puro groups (P<0.05). Alizarin red staining and alkaline phosphatase (ALP) activity assays indicated a significantly increased osteogenic capacity in the pLV-GRN group compared with the hPDLCs and pLV-puro groups (P<0.01). RT-qPCR demonstrated strong expression of the osteogenic genes ALP, runt-related transcription factor 2 (Runx2) and osteopontin (OPN) in the periodontal cells of the pLV-GRN group (P<0.05), whereas western blotting results corroborated the high expression of the osteogenic genes Runx-2 and OPN in the periodontal cells of the pLV-GRN group (P<0.05). In summary, the overexpression of <i>GRN</i> significantly enhanced the proliferation and osteogenic capacity of hPDLCs. These findings provide an experimental foundation for periodontal tissue regeneration.</p>\",\"PeriodicalId\":94002,\"journal\":{\"name\":\"Experimental and therapeutic medicine\",\"volume\":\"29 2\",\"pages\":\"33\"},\"PeriodicalIF\":2.3000,\"publicationDate\":\"2024-12-17\",\"publicationTypes\":\"Journal Article\",\"fieldsOfStudy\":null,\"isOpenAccess\":false,\"openAccessPdf\":\"https://www.ncbi.nlm.nih.gov/pmc/articles/PMC12141987/pdf/\",\"citationCount\":\"0\",\"resultStr\":null,\"platform\":\"Semanticscholar\",\"paperid\":null,\"PeriodicalName\":\"Experimental and therapeutic medicine\",\"FirstCategoryId\":\"1085\",\"ListUrlMain\":\"https://doi.org/10.3892/etm.2024.12783\",\"RegionNum\":0,\"RegionCategory\":null,\"ArticlePicture\":[],\"TitleCN\":null,\"AbstractTextCN\":null,\"PMCID\":null,\"EPubDate\":\"2025/2/1 0:00:00\",\"PubModel\":\"eCollection\",\"JCR\":\"\",\"JCRName\":\"\",\"Score\":null,\"Total\":0}","platform":"Semanticscholar","paperid":null,"PeriodicalName":"Experimental and therapeutic medicine","FirstCategoryId":"1085","ListUrlMain":"https://doi.org/10.3892/etm.2024.12783","RegionNum":0,"RegionCategory":null,"ArticlePicture":[],"TitleCN":null,"AbstractTextCN":null,"PMCID":null,"EPubDate":"2025/2/1 0:00:00","PubModel":"eCollection","JCR":"","JCRName":"","Score":null,"Total":0}
引用次数: 0

摘要

通过慢病毒介导建立稳定过表达granulin precursor基因(GRN)的人牙周韧带细胞系,探讨GRN对人牙周韧带细胞(hPDLCs)增殖和成骨能力的影响。本研究构建了同源重组慢病毒质粒pLV-GRN,并将其转染到hpdlc中。采用逆转录定量(RT-q)PCR和western blotting检测GRN和前颗粒蛋白的表达水平,MTT法检测GRN对细胞增殖能力的影响。研究了过表达GRN的人牙周细胞的成骨能力。结果表明,成功构建并转染同源重组慢病毒质粒pLV-GRN可培养出稳定的过表达GRN的牙周细胞系。MTT实验结果显示,与hpdlc和pLV-puro组相比,pLV-GRN组的增殖能力增强(PGRN显著增强hpdlc的增殖和成骨能力)。研究结果为牙周组织再生提供了实验基础。
本文章由计算机程序翻译,如有差异,请以英文原文为准。

Effect of overexpression of <i>GRN</i> on the proliferation and osteogenic capacity of human periodontal cells.

Effect of overexpression of <i>GRN</i> on the proliferation and osteogenic capacity of human periodontal cells.

Effect of overexpression of <i>GRN</i> on the proliferation and osteogenic capacity of human periodontal cells.

Effect of overexpression of GRN on the proliferation and osteogenic capacity of human periodontal cells.

A human periodontal ligament cell line stably overexpressing the granulin precursor gene (GRN) was established through lentiviral mediation to explore the effects of GRN on the proliferation and osteogenic capacity of human periodontal ligament cells (hPDLCs). In the present study, a homologous recombinant lentiviral plasmid, pLV-GRN, was constructed and transfected into the hPDLCs. The expression levels of GRN and progranulin were assessed using reverse transcription-quantitative (RT-q)PCR and western blotting and the effect of GRN on the proliferative capacity was determined using the MTT assay. The osteogenic capacity of human periodontal cells overexpressing GRN was evaluated. The results showed that successful construction and transfection of the homologous recombinant lentiviral plasmid pLV-GRN led to the development of a stable periodontal cell line overexpressing GRN. The MTT assay results revealed an enhanced proliferative capacity in the pLV-GRN group compared with that in the hPDLCs and pLV-puro groups (P<0.05). Alizarin red staining and alkaline phosphatase (ALP) activity assays indicated a significantly increased osteogenic capacity in the pLV-GRN group compared with the hPDLCs and pLV-puro groups (P<0.01). RT-qPCR demonstrated strong expression of the osteogenic genes ALP, runt-related transcription factor 2 (Runx2) and osteopontin (OPN) in the periodontal cells of the pLV-GRN group (P<0.05), whereas western blotting results corroborated the high expression of the osteogenic genes Runx-2 and OPN in the periodontal cells of the pLV-GRN group (P<0.05). In summary, the overexpression of GRN significantly enhanced the proliferation and osteogenic capacity of hPDLCs. These findings provide an experimental foundation for periodontal tissue regeneration.

求助全文
通过发布文献求助,成功后即可免费获取论文全文。 去求助
来源期刊
自引率
0.00%
发文量
0
×
引用
GB/T 7714-2015
复制
MLA
复制
APA
复制
导出至
BibTeX EndNote RefMan NoteFirst NoteExpress
×
提示
您的信息不完整,为了账户安全,请先补充。
现在去补充
×
提示
您因"违规操作"
具体请查看互助需知
我知道了
×
提示
确定
请完成安全验证×
copy
已复制链接
快去分享给好友吧!
我知道了
右上角分享
点击右上角分享
0
联系我们:info@booksci.cn Book学术提供免费学术资源搜索服务,方便国内外学者检索中英文文献。致力于提供最便捷和优质的服务体验。 Copyright © 2023 布克学术 All rights reserved.
京ICP备2023020795号-1
ghs 京公网安备 11010802042870号
Book学术文献互助
Book学术文献互助群
群 号:604180095
Book学术官方微信