手指血管内乳头状内皮增生(马松瘤):1例报告及文献复习。

IF 0.6 Q4 SURGERY
Case Reports in Plastic Surgery and Hand Surgery Pub Date : 2025-06-05 eCollection Date: 2025-01-01 DOI:10.1080/23320885.2025.2513066
Malak Alsaif, Khalid Alosaimi, Turki Alhassan, Anas Alyamani, Mohammed Alfawzan
{"title":"手指血管内乳头状内皮增生(马松瘤):1例报告及文献复习。","authors":"Malak Alsaif, Khalid Alosaimi, Turki Alhassan, Anas Alyamani, Mohammed Alfawzan","doi":"10.1080/23320885.2025.2513066","DOIUrl":null,"url":null,"abstract":"<p><p>Masson's tumor, or intravascular papillary endothelial hyperplasia (IPEH), is a rare benign vascular lesion that can mimic other soft-tissue tumors. We present a case of a 33-year-old woman with a painful digital mass. Excision confirmed IPEH. Literature review identified eight similar cases, highlighting its rarity and diagnostic challenge.</p>","PeriodicalId":42421,"journal":{"name":"Case Reports in Plastic Surgery and Hand Surgery","volume":"12 1","pages":"2513066"},"PeriodicalIF":0.6000,"publicationDate":"2025-06-05","publicationTypes":"Journal Article","fieldsOfStudy":null,"isOpenAccess":false,"openAccessPdf":"https://www.ncbi.nlm.nih.gov/pmc/articles/PMC12143009/pdf/","citationCount":"0","resultStr":"{\"title\":\"Intravascular papillary endothelial hyperplasia (Masson's tumor) of the finger: a case report and review of the literature.\",\"authors\":\"Malak Alsaif, Khalid Alosaimi, Turki Alhassan, Anas Alyamani, Mohammed Alfawzan\",\"doi\":\"10.1080/23320885.2025.2513066\",\"DOIUrl\":null,\"url\":null,\"abstract\":\"<p><p>Masson's tumor, or intravascular papillary endothelial hyperplasia (IPEH), is a rare benign vascular lesion that can mimic other soft-tissue tumors. We present a case of a 33-year-old woman with a painful digital mass. Excision confirmed IPEH. Literature review identified eight similar cases, highlighting its rarity and diagnostic challenge.</p>\",\"PeriodicalId\":42421,\"journal\":{\"name\":\"Case Reports in Plastic Surgery and Hand Surgery\",\"volume\":\"12 1\",\"pages\":\"2513066\"},\"PeriodicalIF\":0.6000,\"publicationDate\":\"2025-06-05\",\"publicationTypes\":\"Journal Article\",\"fieldsOfStudy\":null,\"isOpenAccess\":false,\"openAccessPdf\":\"https://www.ncbi.nlm.nih.gov/pmc/articles/PMC12143009/pdf/\",\"citationCount\":\"0\",\"resultStr\":null,\"platform\":\"Semanticscholar\",\"paperid\":null,\"PeriodicalName\":\"Case Reports in Plastic Surgery and Hand Surgery\",\"FirstCategoryId\":\"1085\",\"ListUrlMain\":\"https://doi.org/10.1080/23320885.2025.2513066\",\"RegionNum\":0,\"RegionCategory\":null,\"ArticlePicture\":[],\"TitleCN\":null,\"AbstractTextCN\":null,\"PMCID\":null,\"EPubDate\":\"2025/1/1 0:00:00\",\"PubModel\":\"eCollection\",\"JCR\":\"Q4\",\"JCRName\":\"SURGERY\",\"Score\":null,\"Total\":0}","platform":"Semanticscholar","paperid":null,"PeriodicalName":"Case Reports in Plastic Surgery and Hand Surgery","FirstCategoryId":"1085","ListUrlMain":"https://doi.org/10.1080/23320885.2025.2513066","RegionNum":0,"RegionCategory":null,"ArticlePicture":[],"TitleCN":null,"AbstractTextCN":null,"PMCID":null,"EPubDate":"2025/1/1 0:00:00","PubModel":"eCollection","JCR":"Q4","JCRName":"SURGERY","Score":null,"Total":0}
引用次数: 0

摘要

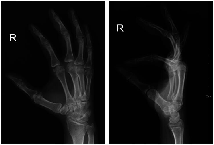
马松瘤,或血管内乳头状内皮增生(IPEH),是一种罕见的良性血管病变,可以模仿其他软组织肿瘤。我们报告一个33岁女性的病例,她有一个疼痛的数字肿块。手术证实IPEH。文献回顾确定了8例类似病例,突出了其罕见性和诊断挑战。
本文章由计算机程序翻译,如有差异,请以英文原文为准。

Intravascular papillary endothelial hyperplasia (Masson's tumor) of the finger: a case report and review of the literature.

Intravascular papillary endothelial hyperplasia (Masson's tumor) of the finger: a case report and review of the literature.

Intravascular papillary endothelial hyperplasia (Masson's tumor) of the finger: a case report and review of the literature.

Intravascular papillary endothelial hyperplasia (Masson's tumor) of the finger: a case report and review of the literature.

Masson's tumor, or intravascular papillary endothelial hyperplasia (IPEH), is a rare benign vascular lesion that can mimic other soft-tissue tumors. We present a case of a 33-year-old woman with a painful digital mass. Excision confirmed IPEH. Literature review identified eight similar cases, highlighting its rarity and diagnostic challenge.

求助全文
通过发布文献求助,成功后即可免费获取论文全文。 去求助
来源期刊
CiteScore
0.60
自引率
0.00%
发文量
40
×
引用
GB/T 7714-2015
复制
MLA
复制
APA
复制
导出至
BibTeX EndNote RefMan NoteFirst NoteExpress
×
提示
您的信息不完整,为了账户安全,请先补充。
现在去补充
×
提示
您因"违规操作"
具体请查看互助需知
我知道了
×
提示
确定
请完成安全验证×
copy
已复制链接
快去分享给好友吧!
我知道了
右上角分享
点击右上角分享
0
联系我们:info@booksci.cn Book学术提供免费学术资源搜索服务,方便国内外学者检索中英文文献。致力于提供最便捷和优质的服务体验。 Copyright © 2023 布克学术 All rights reserved.
京ICP备2023020795号-1
ghs 京公网安备 11010802042870号
Book学术文献互助
Book学术文献互助群
群 号:604180095
Book学术官方微信