经封闭下腔静脉的中心静脉表面内外置管术。

Q2 Medicine
Methodist DeBakey cardiovascular journal Pub Date : 2025-06-02 eCollection Date: 2025-01-01 DOI:10.14797/mdcvj.1602
Rishik Puppala, Pallavi Gorantla, Bright Benfor, Eric Peden
{"title":"经封闭下腔静脉的中心静脉表面内外置管术。","authors":"Rishik Puppala, Pallavi Gorantla, Bright Benfor, Eric Peden","doi":"10.14797/mdcvj.1602","DOIUrl":null,"url":null,"abstract":"<p><p>This case describes the use of the Surfacer® Inside-Out Access Catheter System (SIO) from Merit Medical in an occluded inferior vena cava. The procedure typically utilizes right femoral vein access with contraindications of acute iliocaval thrombosis due to possible embolization. After history and imaging studies, the occlusion was determined to be chronic in this case, and a decision was made to employ the SIO procedure using an indwelling catheter. This case demonstrates the use of the SIO procedure in certain settings in patients with central venous occlusions who have exhausted all other options.</p>","PeriodicalId":39207,"journal":{"name":"Methodist DeBakey cardiovascular journal","volume":"21 1","pages":"63-67"},"PeriodicalIF":0.0000,"publicationDate":"2025-06-02","publicationTypes":"Journal Article","fieldsOfStudy":null,"isOpenAccess":false,"openAccessPdf":"https://www.ncbi.nlm.nih.gov/pmc/articles/PMC12143251/pdf/","citationCount":"0","resultStr":"{\"title\":\"Surfacer Inside-Out Central Venous Catheterization Through an Occluded Inferior Vena Cava.\",\"authors\":\"Rishik Puppala, Pallavi Gorantla, Bright Benfor, Eric Peden\",\"doi\":\"10.14797/mdcvj.1602\",\"DOIUrl\":null,\"url\":null,\"abstract\":\"<p><p>This case describes the use of the Surfacer® Inside-Out Access Catheter System (SIO) from Merit Medical in an occluded inferior vena cava. The procedure typically utilizes right femoral vein access with contraindications of acute iliocaval thrombosis due to possible embolization. After history and imaging studies, the occlusion was determined to be chronic in this case, and a decision was made to employ the SIO procedure using an indwelling catheter. This case demonstrates the use of the SIO procedure in certain settings in patients with central venous occlusions who have exhausted all other options.</p>\",\"PeriodicalId\":39207,\"journal\":{\"name\":\"Methodist DeBakey cardiovascular journal\",\"volume\":\"21 1\",\"pages\":\"63-67\"},\"PeriodicalIF\":0.0000,\"publicationDate\":\"2025-06-02\",\"publicationTypes\":\"Journal Article\",\"fieldsOfStudy\":null,\"isOpenAccess\":false,\"openAccessPdf\":\"https://www.ncbi.nlm.nih.gov/pmc/articles/PMC12143251/pdf/\",\"citationCount\":\"0\",\"resultStr\":null,\"platform\":\"Semanticscholar\",\"paperid\":null,\"PeriodicalName\":\"Methodist DeBakey cardiovascular journal\",\"FirstCategoryId\":\"1085\",\"ListUrlMain\":\"https://doi.org/10.14797/mdcvj.1602\",\"RegionNum\":0,\"RegionCategory\":null,\"ArticlePicture\":[],\"TitleCN\":null,\"AbstractTextCN\":null,\"PMCID\":null,\"EPubDate\":\"2025/1/1 0:00:00\",\"PubModel\":\"eCollection\",\"JCR\":\"Q2\",\"JCRName\":\"Medicine\",\"Score\":null,\"Total\":0}","platform":"Semanticscholar","paperid":null,"PeriodicalName":"Methodist DeBakey cardiovascular journal","FirstCategoryId":"1085","ListUrlMain":"https://doi.org/10.14797/mdcvj.1602","RegionNum":0,"RegionCategory":null,"ArticlePicture":[],"TitleCN":null,"AbstractTextCN":null,"PMCID":null,"EPubDate":"2025/1/1 0:00:00","PubModel":"eCollection","JCR":"Q2","JCRName":"Medicine","Score":null,"Total":0}
引用次数: 0

摘要

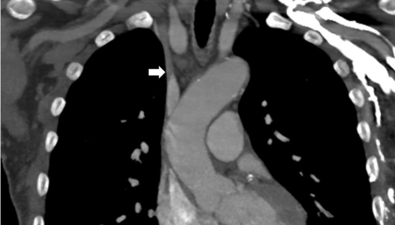
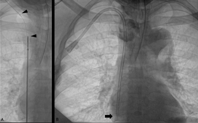
本病例描述了Merit Medical在闭塞的下腔静脉中使用Surfacer®Inside-Out Access Catheter System (SIO)。该手术通常采用右股静脉入路,有急性髂腔血栓形成的禁忌症,因为可能发生栓塞。在病史和影像学检查后,确定该病例的闭塞是慢性的,并决定使用留置导管进行SIO手术。本病例展示了SIO手术在已用尽所有其他选择的中心静脉闭塞患者的某些情况下的应用。
本文章由计算机程序翻译,如有差异,请以英文原文为准。

Surfacer Inside-Out Central Venous Catheterization Through an Occluded Inferior Vena Cava.

Surfacer Inside-Out Central Venous Catheterization Through an Occluded Inferior Vena Cava.

Surfacer Inside-Out Central Venous Catheterization Through an Occluded Inferior Vena Cava.

Surfacer Inside-Out Central Venous Catheterization Through an Occluded Inferior Vena Cava.

This case describes the use of the Surfacer® Inside-Out Access Catheter System (SIO) from Merit Medical in an occluded inferior vena cava. The procedure typically utilizes right femoral vein access with contraindications of acute iliocaval thrombosis due to possible embolization. After history and imaging studies, the occlusion was determined to be chronic in this case, and a decision was made to employ the SIO procedure using an indwelling catheter. This case demonstrates the use of the SIO procedure in certain settings in patients with central venous occlusions who have exhausted all other options.

求助全文
通过发布文献求助,成功后即可免费获取论文全文。 去求助
来源期刊
CiteScore
2.30
自引率
0.00%
发文量
65
×
引用
GB/T 7714-2015
复制
MLA
复制
APA
复制
导出至
BibTeX EndNote RefMan NoteFirst NoteExpress
×
提示
您的信息不完整,为了账户安全,请先补充。
现在去补充
×
提示
您因"违规操作"
具体请查看互助需知
我知道了
×
提示
确定
请完成安全验证×
copy
已复制链接
快去分享给好友吧!
我知道了
右上角分享
点击右上角分享
0
联系我们:info@booksci.cn Book学术提供免费学术资源搜索服务,方便国内外学者检索中英文文献。致力于提供最便捷和优质的服务体验。 Copyright © 2023 布克学术 All rights reserved.
京ICP备2023020795号-1
ghs 京公网安备 11010802042870号
Book学术文献互助
Book学术文献互助群
群 号:604180095
Book学术官方微信