胆囊内异位胰腺组织:一个罕见位置的不寻常实体报告。

Q3 Medicine
Iranian Journal of Pathology Pub Date : 2025-01-01 Epub Date: 2025-03-10 DOI:10.30699/ijp.2025.2019770.3244
Mukta Pujani, Aparna Khandelwal, Kanika Singh, Meenu Pujani, Cherry Bansal
{"title":"胆囊内异位胰腺组织:一个罕见位置的不寻常实体报告。","authors":"Mukta Pujani, Aparna Khandelwal, Kanika Singh, Meenu Pujani, Cherry Bansal","doi":"10.30699/ijp.2025.2019770.3244","DOIUrl":null,"url":null,"abstract":"<p><strong>Background & objective: </strong>Heterotopic pancreas (HP) or ectopic pancreas is the occurrence of pancreatic tissue in an atypical location with absence of any neurovascular or anatomic connection with the normal pancreas. In an autopsy series, the incidence of this embryologic anomaly is 0.55% to 13.7% of patients. Gallbladder is an extremely rare site for ectopic pancreatic tissue with approximately 40 documented cases.</p><p><strong>Case presentation: </strong>We hereby report a case of incidental discovery of ectopic pancreatic tissue in the excised gallbladder from a 27-year-old female who presented with nausea, vomiting, and abdominal pain intermittently. The gallbladder lumen was filled with biliary sludge containing a single gallstone. Histopathology revealed chronic cholecystitis along with a tiny focus of ectopic pancreatic tissue comprising only pancreatic acini.</p><p><strong>Conclusion: </strong>This case highlights that histopathology should be mandatory for all excised gallbladder specimens and that this entity should be considered among the differentials for nodular/polypoidal gallbladder lesions. Although the cases where the ectopic pancreas is discovered incidentally do not have much clinical significance, this may prevent the patient from undergoing more aggressive treatment reserved for conditions like pancreatitis or malignancy in cases where the ectopic pancreas mimics a malignancy.</p>","PeriodicalId":38900,"journal":{"name":"Iranian Journal of Pathology","volume":"20 2","pages":"231-234"},"PeriodicalIF":0.0000,"publicationDate":"2025-01-01","publicationTypes":"Journal Article","fieldsOfStudy":null,"isOpenAccess":false,"openAccessPdf":"https://www.ncbi.nlm.nih.gov/pmc/articles/PMC12142016/pdf/","citationCount":"0","resultStr":"{\"title\":\"Heterotopic Pancreatic Tissue in Gallbladder: A Report of an Unusual Entity at an Extremely Rare Location.\",\"authors\":\"Mukta Pujani, Aparna Khandelwal, Kanika Singh, Meenu Pujani, Cherry Bansal\",\"doi\":\"10.30699/ijp.2025.2019770.3244\",\"DOIUrl\":null,\"url\":null,\"abstract\":\"<p><strong>Background & objective: </strong>Heterotopic pancreas (HP) or ectopic pancreas is the occurrence of pancreatic tissue in an atypical location with absence of any neurovascular or anatomic connection with the normal pancreas. In an autopsy series, the incidence of this embryologic anomaly is 0.55% to 13.7% of patients. Gallbladder is an extremely rare site for ectopic pancreatic tissue with approximately 40 documented cases.</p><p><strong>Case presentation: </strong>We hereby report a case of incidental discovery of ectopic pancreatic tissue in the excised gallbladder from a 27-year-old female who presented with nausea, vomiting, and abdominal pain intermittently. The gallbladder lumen was filled with biliary sludge containing a single gallstone. Histopathology revealed chronic cholecystitis along with a tiny focus of ectopic pancreatic tissue comprising only pancreatic acini.</p><p><strong>Conclusion: </strong>This case highlights that histopathology should be mandatory for all excised gallbladder specimens and that this entity should be considered among the differentials for nodular/polypoidal gallbladder lesions. Although the cases where the ectopic pancreas is discovered incidentally do not have much clinical significance, this may prevent the patient from undergoing more aggressive treatment reserved for conditions like pancreatitis or malignancy in cases where the ectopic pancreas mimics a malignancy.</p>\",\"PeriodicalId\":38900,\"journal\":{\"name\":\"Iranian Journal of Pathology\",\"volume\":\"20 2\",\"pages\":\"231-234\"},\"PeriodicalIF\":0.0000,\"publicationDate\":\"2025-01-01\",\"publicationTypes\":\"Journal Article\",\"fieldsOfStudy\":null,\"isOpenAccess\":false,\"openAccessPdf\":\"https://www.ncbi.nlm.nih.gov/pmc/articles/PMC12142016/pdf/\",\"citationCount\":\"0\",\"resultStr\":null,\"platform\":\"Semanticscholar\",\"paperid\":null,\"PeriodicalName\":\"Iranian Journal of Pathology\",\"FirstCategoryId\":\"1085\",\"ListUrlMain\":\"https://doi.org/10.30699/ijp.2025.2019770.3244\",\"RegionNum\":0,\"RegionCategory\":null,\"ArticlePicture\":[],\"TitleCN\":null,\"AbstractTextCN\":null,\"PMCID\":null,\"EPubDate\":\"2025/3/10 0:00:00\",\"PubModel\":\"Epub\",\"JCR\":\"Q3\",\"JCRName\":\"Medicine\",\"Score\":null,\"Total\":0}","platform":"Semanticscholar","paperid":null,"PeriodicalName":"Iranian Journal of Pathology","FirstCategoryId":"1085","ListUrlMain":"https://doi.org/10.30699/ijp.2025.2019770.3244","RegionNum":0,"RegionCategory":null,"ArticlePicture":[],"TitleCN":null,"AbstractTextCN":null,"PMCID":null,"EPubDate":"2025/3/10 0:00:00","PubModel":"Epub","JCR":"Q3","JCRName":"Medicine","Score":null,"Total":0}
引用次数: 0

摘要

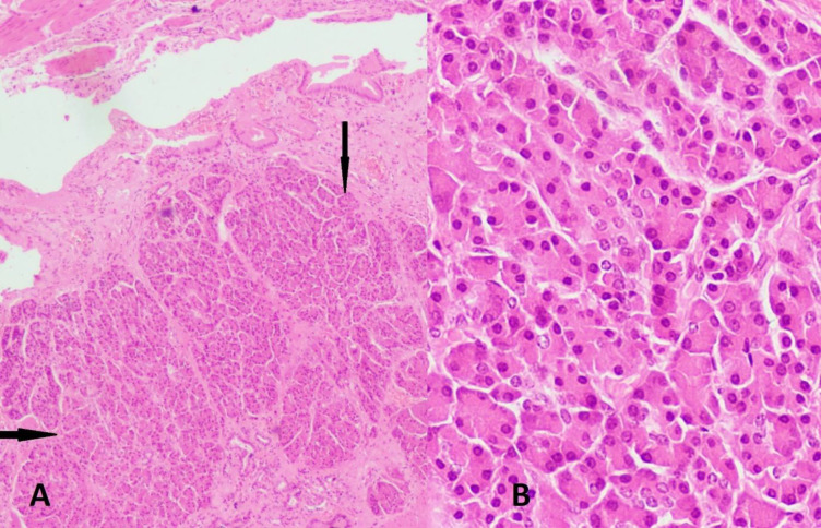
背景与目的:异位胰腺(HP)或异位胰腺是指胰腺组织发生在非典型位置,与正常胰腺没有任何神经血管或解剖联系。在尸检系列中,这种胚胎学异常的发生率为0.55%至13.7%的患者。胆囊是一个极为罕见的胰脏组织异位的部位,大约有40例记录在案。病例介绍:我们在此报告一个27岁的女性患者,在切除的胆囊中偶然发现异位胰腺组织,她表现为恶心、呕吐和间歇性腹痛。胆囊腔内充满含有单个胆结石的胆道污泥。组织病理学显示慢性胆囊炎伴一小块异位胰腺组织,仅包括胰腺腺泡。结论:本病例强调,对所有切除胆囊标本进行组织病理学检查是必须的,该实体应被视为结节/息肉样胆囊病变的鉴别指标之一。虽然偶然发现异位胰腺的病例没有太大的临床意义,但这可能会阻止患者接受更积极的治疗,这些治疗保留在异位胰腺类似恶性肿瘤的情况下,如胰腺炎或恶性肿瘤。
本文章由计算机程序翻译,如有差异,请以英文原文为准。

Heterotopic Pancreatic Tissue in Gallbladder: A Report of an Unusual Entity at an Extremely Rare Location.

Heterotopic Pancreatic Tissue in Gallbladder: A Report of an Unusual Entity at an Extremely Rare Location.

Background & objective: Heterotopic pancreas (HP) or ectopic pancreas is the occurrence of pancreatic tissue in an atypical location with absence of any neurovascular or anatomic connection with the normal pancreas. In an autopsy series, the incidence of this embryologic anomaly is 0.55% to 13.7% of patients. Gallbladder is an extremely rare site for ectopic pancreatic tissue with approximately 40 documented cases.

Case presentation: We hereby report a case of incidental discovery of ectopic pancreatic tissue in the excised gallbladder from a 27-year-old female who presented with nausea, vomiting, and abdominal pain intermittently. The gallbladder lumen was filled with biliary sludge containing a single gallstone. Histopathology revealed chronic cholecystitis along with a tiny focus of ectopic pancreatic tissue comprising only pancreatic acini.

Conclusion: This case highlights that histopathology should be mandatory for all excised gallbladder specimens and that this entity should be considered among the differentials for nodular/polypoidal gallbladder lesions. Although the cases where the ectopic pancreas is discovered incidentally do not have much clinical significance, this may prevent the patient from undergoing more aggressive treatment reserved for conditions like pancreatitis or malignancy in cases where the ectopic pancreas mimics a malignancy.

求助全文
通过发布文献求助,成功后即可免费获取论文全文。 去求助
来源期刊
Iranian Journal of Pathology
Iranian Journal of Pathology Medicine-Pathology and Forensic Medicine
CiteScore
2.00
自引率
0.00%
发文量
99
审稿时长
20 weeks
×
引用
GB/T 7714-2015
复制
MLA
复制
APA
复制
导出至
BibTeX EndNote RefMan NoteFirst NoteExpress
×
提示
您的信息不完整,为了账户安全,请先补充。
现在去补充
×
提示
您因"违规操作"
具体请查看互助需知
我知道了
×
提示
确定
请完成安全验证×
copy
已复制链接
快去分享给好友吧!
我知道了
右上角分享
点击右上角分享
0
联系我们:info@booksci.cn Book学术提供免费学术资源搜索服务,方便国内外学者检索中英文文献。致力于提供最便捷和优质的服务体验。 Copyright © 2023 布克学术 All rights reserved.
京ICP备2023020795号-1
ghs 京公网安备 11010802042870号
Book学术文献互助
Book学术文献互助群
群 号:604180095
Book学术官方微信