具有强烈CD138表达的无色性浆细胞样黑色素瘤1例,模拟多发性骨髓瘤。

Q3 Medicine
Iranian Journal of Pathology Pub Date : 2025-01-01 Epub Date: 2025-03-10 DOI:10.30699/ijp.2025.2040460.3354
Ery Kus Dwianingsih, Yuni Artha Prabowo, Sofia Pranacipta, Shinta Andi Sarasati, Amri Wicaksono, Sekar Safitri, Eviana Norahmawati, Rahadyan Magetsari
{"title":"具有强烈CD138表达的无色性浆细胞样黑色素瘤1例,模拟多发性骨髓瘤。","authors":"Ery Kus Dwianingsih, Yuni Artha Prabowo, Sofia Pranacipta, Shinta Andi Sarasati, Amri Wicaksono, Sekar Safitri, Eviana Norahmawati, Rahadyan Magetsari","doi":"10.30699/ijp.2025.2040460.3354","DOIUrl":null,"url":null,"abstract":"<p><strong>Background & objective: </strong>Melanomas have diverse pathological features that mimic other tumors, such as lymphoma, sarcoma, and even poorly differentiated carcinoma. The most recently identified variant, the plasmacytoid variant, is an uncommon variant that can appear as a solitary tumor or a metastatic disease. Due to its rarity, the epidemiologic profile of this variant is not well characterized. This case report illustrates a diagnostic challenge of plasmacytoid cell mimicker, which is rarely found in daily practice.</p><p><strong>Case presentation: </strong>A 49-year-old man presented with multiple subcutaneous soft tissue nodules in the thoracic area and multiple pathological fractures in the left distal humerus and distal ulna. Clinical and radiological findings were suggestive of metastatic bone disease with differential diagnosis of multiple myeloma. Fine needle aspiration biopsy and histopathological findings were suggestive of multiple myeloma with differential diagnoses of metastatic carcinoma, rhabdomyosarcoma, and amelanotic melanoma. Thus, immunostaining for CD138, CK, desmin, vimentin, S-100, and HMB45 were requested and the results were compatible with the final diagnosis of amelanotic plasma melanoma.</p><p><strong>Conclusion: </strong>It is crucial to consider melanoma as one of the differential diagnoses of a tumor with plasmacytoid feature and CD138 positive staining as it can mimic multiple myeloma as demonstrated in this case report.</p>","PeriodicalId":38900,"journal":{"name":"Iranian Journal of Pathology","volume":"20 2","pages":"225-230"},"PeriodicalIF":0.0000,"publicationDate":"2025-01-01","publicationTypes":"Journal Article","fieldsOfStudy":null,"isOpenAccess":false,"openAccessPdf":"https://www.ncbi.nlm.nih.gov/pmc/articles/PMC12142013/pdf/","citationCount":"0","resultStr":"{\"title\":\"A Case of Amelanotic Plasmacytoid Melanoma with Strong CD138 Expression, Mimicking Multiple Myeloma - A Case Report.\",\"authors\":\"Ery Kus Dwianingsih, Yuni Artha Prabowo, Sofia Pranacipta, Shinta Andi Sarasati, Amri Wicaksono, Sekar Safitri, Eviana Norahmawati, Rahadyan Magetsari\",\"doi\":\"10.30699/ijp.2025.2040460.3354\",\"DOIUrl\":null,\"url\":null,\"abstract\":\"<p><strong>Background & objective: </strong>Melanomas have diverse pathological features that mimic other tumors, such as lymphoma, sarcoma, and even poorly differentiated carcinoma. The most recently identified variant, the plasmacytoid variant, is an uncommon variant that can appear as a solitary tumor or a metastatic disease. Due to its rarity, the epidemiologic profile of this variant is not well characterized. This case report illustrates a diagnostic challenge of plasmacytoid cell mimicker, which is rarely found in daily practice.</p><p><strong>Case presentation: </strong>A 49-year-old man presented with multiple subcutaneous soft tissue nodules in the thoracic area and multiple pathological fractures in the left distal humerus and distal ulna. Clinical and radiological findings were suggestive of metastatic bone disease with differential diagnosis of multiple myeloma. Fine needle aspiration biopsy and histopathological findings were suggestive of multiple myeloma with differential diagnoses of metastatic carcinoma, rhabdomyosarcoma, and amelanotic melanoma. Thus, immunostaining for CD138, CK, desmin, vimentin, S-100, and HMB45 were requested and the results were compatible with the final diagnosis of amelanotic plasma melanoma.</p><p><strong>Conclusion: </strong>It is crucial to consider melanoma as one of the differential diagnoses of a tumor with plasmacytoid feature and CD138 positive staining as it can mimic multiple myeloma as demonstrated in this case report.</p>\",\"PeriodicalId\":38900,\"journal\":{\"name\":\"Iranian Journal of Pathology\",\"volume\":\"20 2\",\"pages\":\"225-230\"},\"PeriodicalIF\":0.0000,\"publicationDate\":\"2025-01-01\",\"publicationTypes\":\"Journal Article\",\"fieldsOfStudy\":null,\"isOpenAccess\":false,\"openAccessPdf\":\"https://www.ncbi.nlm.nih.gov/pmc/articles/PMC12142013/pdf/\",\"citationCount\":\"0\",\"resultStr\":null,\"platform\":\"Semanticscholar\",\"paperid\":null,\"PeriodicalName\":\"Iranian Journal of Pathology\",\"FirstCategoryId\":\"1085\",\"ListUrlMain\":\"https://doi.org/10.30699/ijp.2025.2040460.3354\",\"RegionNum\":0,\"RegionCategory\":null,\"ArticlePicture\":[],\"TitleCN\":null,\"AbstractTextCN\":null,\"PMCID\":null,\"EPubDate\":\"2025/3/10 0:00:00\",\"PubModel\":\"Epub\",\"JCR\":\"Q3\",\"JCRName\":\"Medicine\",\"Score\":null,\"Total\":0}","platform":"Semanticscholar","paperid":null,"PeriodicalName":"Iranian Journal of Pathology","FirstCategoryId":"1085","ListUrlMain":"https://doi.org/10.30699/ijp.2025.2040460.3354","RegionNum":0,"RegionCategory":null,"ArticlePicture":[],"TitleCN":null,"AbstractTextCN":null,"PMCID":null,"EPubDate":"2025/3/10 0:00:00","PubModel":"Epub","JCR":"Q3","JCRName":"Medicine","Score":null,"Total":0}
引用次数: 0

摘要

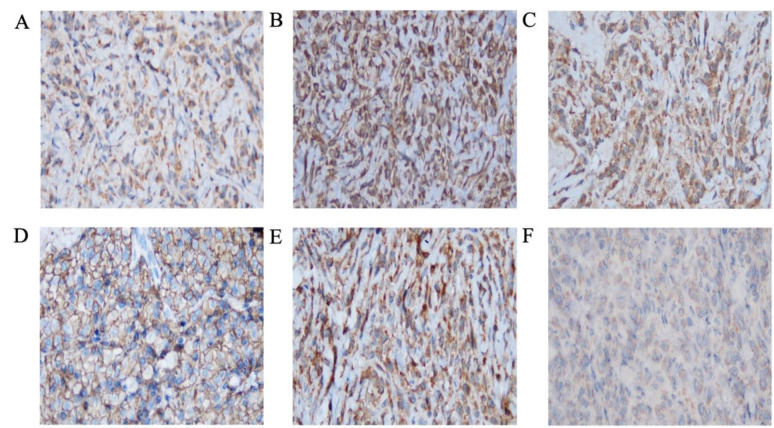
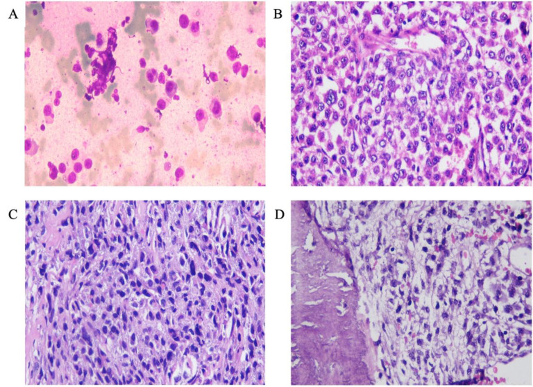
背景与目的:黑色素瘤具有与其他肿瘤相似的多种病理特征,如淋巴瘤、肉瘤,甚至低分化癌。最近发现的变体,浆细胞样变体,是一种不常见的变体,可以作为孤立的肿瘤或转移性疾病出现。由于其罕见性,该变异的流行病学特征尚未得到很好的描述。本病例报告说明了浆细胞样细胞模拟物的诊断挑战,这是在日常实践中很少发现。病例介绍:一名49岁男性,胸部区域出现多个皮下软组织结节,左侧肱骨远端和尺骨远端出现多处病理性骨折。临床和影像学表现提示转移性骨病与多发性骨髓瘤鉴别诊断。细针穿刺活检和组织病理学结果提示多发性骨髓瘤,鉴别诊断为转移性癌、横纹肌肉瘤和无色素黑色素瘤。因此,我们要求对CD138、CK、desmin、vimentin、S-100和HMB45进行免疫染色,结果与无色素血浆黑色素瘤的最终诊断一致。结论:本病例报告显示,黑色素瘤具有浆细胞样特征和CD138阳性染色,与多发性骨髓瘤相似,因此应将其作为鉴别诊断之一。
本文章由计算机程序翻译,如有差异,请以英文原文为准。

A Case of Amelanotic Plasmacytoid Melanoma with Strong CD138 Expression, Mimicking Multiple Myeloma - A Case Report.

A Case of Amelanotic Plasmacytoid Melanoma with Strong CD138 Expression, Mimicking Multiple Myeloma - A Case Report.

A Case of Amelanotic Plasmacytoid Melanoma with Strong CD138 Expression, Mimicking Multiple Myeloma - A Case Report.

A Case of Amelanotic Plasmacytoid Melanoma with Strong CD138 Expression, Mimicking Multiple Myeloma - A Case Report.

Background & objective: Melanomas have diverse pathological features that mimic other tumors, such as lymphoma, sarcoma, and even poorly differentiated carcinoma. The most recently identified variant, the plasmacytoid variant, is an uncommon variant that can appear as a solitary tumor or a metastatic disease. Due to its rarity, the epidemiologic profile of this variant is not well characterized. This case report illustrates a diagnostic challenge of plasmacytoid cell mimicker, which is rarely found in daily practice.

Case presentation: A 49-year-old man presented with multiple subcutaneous soft tissue nodules in the thoracic area and multiple pathological fractures in the left distal humerus and distal ulna. Clinical and radiological findings were suggestive of metastatic bone disease with differential diagnosis of multiple myeloma. Fine needle aspiration biopsy and histopathological findings were suggestive of multiple myeloma with differential diagnoses of metastatic carcinoma, rhabdomyosarcoma, and amelanotic melanoma. Thus, immunostaining for CD138, CK, desmin, vimentin, S-100, and HMB45 were requested and the results were compatible with the final diagnosis of amelanotic plasma melanoma.

Conclusion: It is crucial to consider melanoma as one of the differential diagnoses of a tumor with plasmacytoid feature and CD138 positive staining as it can mimic multiple myeloma as demonstrated in this case report.

求助全文
通过发布文献求助,成功后即可免费获取论文全文。 去求助
来源期刊
Iranian Journal of Pathology
Iranian Journal of Pathology Medicine-Pathology and Forensic Medicine
CiteScore
2.00
自引率
0.00%
发文量
99
审稿时长
20 weeks
×
引用
GB/T 7714-2015
复制
MLA
复制
APA
复制
导出至
BibTeX EndNote RefMan NoteFirst NoteExpress
×
提示
您的信息不完整,为了账户安全,请先补充。
现在去补充
×
提示
您因"违规操作"
具体请查看互助需知
我知道了
×
提示
确定
请完成安全验证×
copy
已复制链接
快去分享给好友吧!
我知道了
右上角分享
点击右上角分享
0
联系我们:info@booksci.cn Book学术提供免费学术资源搜索服务,方便国内外学者检索中英文文献。致力于提供最便捷和优质的服务体验。 Copyright © 2023 布克学术 All rights reserved.
京ICP备2023020795号-1
ghs 京公网安备 11010802042870号
Book学术文献互助
Book学术文献互助群
群 号:604180095
Book学术官方微信