成功分阶段的手术治疗闭锁与尿道直肠瘘的雄性小猫。

IF 0.7 Q3 VETERINARY SCIENCES
Journal of Feline Medicine and Surgery Open Reports Pub Date : 2025-06-05 eCollection Date: 2025-01-01 DOI:10.1177/20551169251337835
Nithida Boonwittaya, Wutti Bunjerdsuwan, Piyathip Choochalermporn
{"title":"成功分阶段的手术治疗闭锁与尿道直肠瘘的雄性小猫。","authors":"Nithida Boonwittaya, Wutti Bunjerdsuwan, Piyathip Choochalermporn","doi":"10.1177/20551169251337835","DOIUrl":null,"url":null,"abstract":"<p><strong>Case summary: </strong>A 2-month-old male British Shorthair cat was referred with suspected atresia ani. Physical examination revealed an imperforate anus and dribbling of faecal discharge through the penis. Radiographic findings, along with a retrograde urethrogram, confirmed the diagnosis of type II atresia ani with a urethrorectal fistula. Surgical anoplasty was performed and the patient recovered well. At 8 months of age, surgical treatment for the congenital urethrorectal fistula was carried out via a single perineal approach, including fistulectomy and castration through the same incision. Postoperative short-term outcomes were excellent, with normal defecation and urination.</p><p><strong>Relevance and novel information: </strong>Atresia ani is a rare congenital anomaly, particularly in male cats. Despite advancements in surgical techniques, this case represents the first successful staged surgical management of urethrorectal fistula with type II atresia ani in a male kitten, potentially influencing future surgical approaches for similar congenital anomalies.</p>","PeriodicalId":36588,"journal":{"name":"Journal of Feline Medicine and Surgery Open Reports","volume":"11 1","pages":"20551169251337835"},"PeriodicalIF":0.7000,"publicationDate":"2025-06-05","publicationTypes":"Journal Article","fieldsOfStudy":null,"isOpenAccess":false,"openAccessPdf":"https://www.ncbi.nlm.nih.gov/pmc/articles/PMC12144339/pdf/","citationCount":"0","resultStr":"{\"title\":\"Successful staged surgical management of atresia ani with urethrorectal fistula in a male kitten.\",\"authors\":\"Nithida Boonwittaya, Wutti Bunjerdsuwan, Piyathip Choochalermporn\",\"doi\":\"10.1177/20551169251337835\",\"DOIUrl\":null,\"url\":null,\"abstract\":\"<p><strong>Case summary: </strong>A 2-month-old male British Shorthair cat was referred with suspected atresia ani. Physical examination revealed an imperforate anus and dribbling of faecal discharge through the penis. Radiographic findings, along with a retrograde urethrogram, confirmed the diagnosis of type II atresia ani with a urethrorectal fistula. Surgical anoplasty was performed and the patient recovered well. At 8 months of age, surgical treatment for the congenital urethrorectal fistula was carried out via a single perineal approach, including fistulectomy and castration through the same incision. Postoperative short-term outcomes were excellent, with normal defecation and urination.</p><p><strong>Relevance and novel information: </strong>Atresia ani is a rare congenital anomaly, particularly in male cats. Despite advancements in surgical techniques, this case represents the first successful staged surgical management of urethrorectal fistula with type II atresia ani in a male kitten, potentially influencing future surgical approaches for similar congenital anomalies.</p>\",\"PeriodicalId\":36588,\"journal\":{\"name\":\"Journal of Feline Medicine and Surgery Open Reports\",\"volume\":\"11 1\",\"pages\":\"20551169251337835\"},\"PeriodicalIF\":0.7000,\"publicationDate\":\"2025-06-05\",\"publicationTypes\":\"Journal Article\",\"fieldsOfStudy\":null,\"isOpenAccess\":false,\"openAccessPdf\":\"https://www.ncbi.nlm.nih.gov/pmc/articles/PMC12144339/pdf/\",\"citationCount\":\"0\",\"resultStr\":null,\"platform\":\"Semanticscholar\",\"paperid\":null,\"PeriodicalName\":\"Journal of Feline Medicine and Surgery Open Reports\",\"FirstCategoryId\":\"1085\",\"ListUrlMain\":\"https://doi.org/10.1177/20551169251337835\",\"RegionNum\":0,\"RegionCategory\":null,\"ArticlePicture\":[],\"TitleCN\":null,\"AbstractTextCN\":null,\"PMCID\":null,\"EPubDate\":\"2025/1/1 0:00:00\",\"PubModel\":\"eCollection\",\"JCR\":\"Q3\",\"JCRName\":\"VETERINARY SCIENCES\",\"Score\":null,\"Total\":0}","platform":"Semanticscholar","paperid":null,"PeriodicalName":"Journal of Feline Medicine and Surgery Open Reports","FirstCategoryId":"1085","ListUrlMain":"https://doi.org/10.1177/20551169251337835","RegionNum":0,"RegionCategory":null,"ArticlePicture":[],"TitleCN":null,"AbstractTextCN":null,"PMCID":null,"EPubDate":"2025/1/1 0:00:00","PubModel":"eCollection","JCR":"Q3","JCRName":"VETERINARY SCIENCES","Score":null,"Total":0}
引用次数: 0

摘要

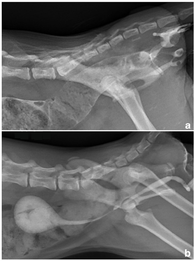
病例总结:一只2个月大的雄性英国短毛猫被怀疑患有肛门闭锁。体格检查发现肛门不穿孔,并有少量粪便通过阴茎排出。x线表现,连同逆行尿道造影,证实诊断为II型闭锁伴尿道直肠瘘。手术后患者恢复良好。8个月大时,先天性尿道直肠瘘经会阴单路手术治疗,包括经同一切口行瘘管切除术和去势。术后短期预后良好,排便和排尿正常。相关性和新信息:闭锁是一种罕见的先天性异常,特别是在公猫。尽管手术技术取得了进步,但该病例是首例成功分阶段手术治疗雄性小猫II型闭锁尿道直肠瘘的病例,可能影响未来类似先天性异常的手术入路。
本文章由计算机程序翻译,如有差异,请以英文原文为准。

Successful staged surgical management of atresia ani with urethrorectal fistula in a male kitten.

Successful staged surgical management of atresia ani with urethrorectal fistula in a male kitten.

Successful staged surgical management of atresia ani with urethrorectal fistula in a male kitten.

Successful staged surgical management of atresia ani with urethrorectal fistula in a male kitten.

Case summary: A 2-month-old male British Shorthair cat was referred with suspected atresia ani. Physical examination revealed an imperforate anus and dribbling of faecal discharge through the penis. Radiographic findings, along with a retrograde urethrogram, confirmed the diagnosis of type II atresia ani with a urethrorectal fistula. Surgical anoplasty was performed and the patient recovered well. At 8 months of age, surgical treatment for the congenital urethrorectal fistula was carried out via a single perineal approach, including fistulectomy and castration through the same incision. Postoperative short-term outcomes were excellent, with normal defecation and urination.

Relevance and novel information: Atresia ani is a rare congenital anomaly, particularly in male cats. Despite advancements in surgical techniques, this case represents the first successful staged surgical management of urethrorectal fistula with type II atresia ani in a male kitten, potentially influencing future surgical approaches for similar congenital anomalies.

求助全文
通过发布文献求助,成功后即可免费获取论文全文。 去求助
来源期刊
CiteScore
1.30
自引率
14.30%
发文量
57
审稿时长
15 weeks
×
引用
GB/T 7714-2015
复制
MLA
复制
APA
复制
导出至
BibTeX EndNote RefMan NoteFirst NoteExpress
×
提示
您的信息不完整,为了账户安全,请先补充。
现在去补充
×
提示
您因"违规操作"
具体请查看互助需知
我知道了
×
提示
确定
请完成安全验证×
copy
已复制链接
快去分享给好友吧!
我知道了
右上角分享
点击右上角分享
0
联系我们:info@booksci.cn Book学术提供免费学术资源搜索服务,方便国内外学者检索中英文文献。致力于提供最便捷和优质的服务体验。 Copyright © 2023 布克学术 All rights reserved.
京ICP备2023020795号-1
ghs 京公网安备 11010802042870号
Book学术文献互助
Book学术文献互助群
群 号:604180095
Book学术官方微信