成年期先天性肺气道畸形伴肺动静脉畸形1例。

IF 0.7 Q4 SURGERY
Surgical Case Reports Pub Date : 2025-01-01 Epub Date: 2025-06-03 DOI:10.70352/scrj.cr.25-0176
Takehiro Suzuki, Naohiro Kobayashi, Yohei Yatagai, Shinsuke Kitazawa, Hideo Ichimura, Yukio Sato
{"title":"成年期先天性肺气道畸形伴肺动静脉畸形1例。","authors":"Takehiro Suzuki, Naohiro Kobayashi, Yohei Yatagai, Shinsuke Kitazawa, Hideo Ichimura, Yukio Sato","doi":"10.70352/scrj.cr.25-0176","DOIUrl":null,"url":null,"abstract":"<p><strong>Introduction: </strong>Congenital pulmonary airway malformation (CPAM) is a congenital condition rarely detected in adults because most cases of CPAM are found through prenatal testing or through testing for recurrent pneumonia or lung abscesses in childhood. Pulmonary arteriovenous malformation (PAVM) is an abnormal vascular connection between the pulmonary arteries and veins, which is often related to hereditary hemorrhagic telangiectasia, but can also be induced by infections, trauma, or thoracic surgery. Herein, we report an adult case of coexisting CPAM and PAVM.</p><p><strong>Case presentation: </strong>The patient was a 26-year-old woman. A medical checkup chest X-ray showed abnormalities. The patient had no past medical history, including of bleeding tendency or repeated pneumonia, and no familial history of CPAM and PAVM. A chest CT revealed multiple lung cysts (maximum diameter of 40 mm) in the left lower lobe of the lung, and congenital pulmonary cysts were suspected. The chest CT also showed two PAVMs (vessel diameters of 6 mm and 4 mm) in the same left lower lobe. Serum tests were positive for <i>Aspergillus</i>-specific antibodies and β-D-glucan, and pulmonary aspergillosis was diagnosed. An antifungal agent (itraconazole) was administered. However, consolidations had developed 9 months after, and the antifungal agent was changed to voriconazole. Then, the consolidations diminished slightly but nevertheless remained, and one of the PAVMs increased in diameter from 6 mm to 10 mm. A left lower lobectomy under thoracoscopy was performed owing to the uncontrolled infection and the risk of complications with PAVMs. The pathological diagnosis of the pulmonary cysts was CPAM type 1. The patient had no symptoms or complications after the surgery.</p><p><strong>Conclusions: </strong>Cases of CPAM with PAVM are rare, especially in adults. CPAM often leads to pulmonary infection, and the pulmonary infection is known to be one of the causes of PAVM. In our case, <i>Aspergillus</i> might have infected the pulmonary cysts and affected the enlargement of the vascular diameter of PAVM. If CPAM and PAVM are present simultaneously, surgical treatment should be considered to prevent complications associated with CPAM and PAVM.</p>","PeriodicalId":22096,"journal":{"name":"Surgical Case Reports","volume":"11 1","pages":""},"PeriodicalIF":0.7000,"publicationDate":"2025-01-01","publicationTypes":"Journal Article","fieldsOfStudy":null,"isOpenAccess":false,"openAccessPdf":"https://www.ncbi.nlm.nih.gov/pmc/articles/PMC12145924/pdf/","citationCount":"0","resultStr":"{\"title\":\"Congenital Pulmonary Airway Malformation with Pulmonary Arteriovenous Malformation in Adulthood: A Case Report.\",\"authors\":\"Takehiro Suzuki, Naohiro Kobayashi, Yohei Yatagai, Shinsuke Kitazawa, Hideo Ichimura, Yukio Sato\",\"doi\":\"10.70352/scrj.cr.25-0176\",\"DOIUrl\":null,\"url\":null,\"abstract\":\"<p><strong>Introduction: </strong>Congenital pulmonary airway malformation (CPAM) is a congenital condition rarely detected in adults because most cases of CPAM are found through prenatal testing or through testing for recurrent pneumonia or lung abscesses in childhood. Pulmonary arteriovenous malformation (PAVM) is an abnormal vascular connection between the pulmonary arteries and veins, which is often related to hereditary hemorrhagic telangiectasia, but can also be induced by infections, trauma, or thoracic surgery. Herein, we report an adult case of coexisting CPAM and PAVM.</p><p><strong>Case presentation: </strong>The patient was a 26-year-old woman. A medical checkup chest X-ray showed abnormalities. The patient had no past medical history, including of bleeding tendency or repeated pneumonia, and no familial history of CPAM and PAVM. A chest CT revealed multiple lung cysts (maximum diameter of 40 mm) in the left lower lobe of the lung, and congenital pulmonary cysts were suspected. The chest CT also showed two PAVMs (vessel diameters of 6 mm and 4 mm) in the same left lower lobe. Serum tests were positive for <i>Aspergillus</i>-specific antibodies and β-D-glucan, and pulmonary aspergillosis was diagnosed. An antifungal agent (itraconazole) was administered. However, consolidations had developed 9 months after, and the antifungal agent was changed to voriconazole. Then, the consolidations diminished slightly but nevertheless remained, and one of the PAVMs increased in diameter from 6 mm to 10 mm. A left lower lobectomy under thoracoscopy was performed owing to the uncontrolled infection and the risk of complications with PAVMs. The pathological diagnosis of the pulmonary cysts was CPAM type 1. The patient had no symptoms or complications after the surgery.</p><p><strong>Conclusions: </strong>Cases of CPAM with PAVM are rare, especially in adults. CPAM often leads to pulmonary infection, and the pulmonary infection is known to be one of the causes of PAVM. In our case, <i>Aspergillus</i> might have infected the pulmonary cysts and affected the enlargement of the vascular diameter of PAVM. If CPAM and PAVM are present simultaneously, surgical treatment should be considered to prevent complications associated with CPAM and PAVM.</p>\",\"PeriodicalId\":22096,\"journal\":{\"name\":\"Surgical Case Reports\",\"volume\":\"11 1\",\"pages\":\"\"},\"PeriodicalIF\":0.7000,\"publicationDate\":\"2025-01-01\",\"publicationTypes\":\"Journal Article\",\"fieldsOfStudy\":null,\"isOpenAccess\":false,\"openAccessPdf\":\"https://www.ncbi.nlm.nih.gov/pmc/articles/PMC12145924/pdf/\",\"citationCount\":\"0\",\"resultStr\":null,\"platform\":\"Semanticscholar\",\"paperid\":null,\"PeriodicalName\":\"Surgical Case Reports\",\"FirstCategoryId\":\"1085\",\"ListUrlMain\":\"https://doi.org/10.70352/scrj.cr.25-0176\",\"RegionNum\":0,\"RegionCategory\":null,\"ArticlePicture\":[],\"TitleCN\":null,\"AbstractTextCN\":null,\"PMCID\":null,\"EPubDate\":\"2025/6/3 0:00:00\",\"PubModel\":\"Epub\",\"JCR\":\"Q4\",\"JCRName\":\"SURGERY\",\"Score\":null,\"Total\":0}","platform":"Semanticscholar","paperid":null,"PeriodicalName":"Surgical Case Reports","FirstCategoryId":"1085","ListUrlMain":"https://doi.org/10.70352/scrj.cr.25-0176","RegionNum":0,"RegionCategory":null,"ArticlePicture":[],"TitleCN":null,"AbstractTextCN":null,"PMCID":null,"EPubDate":"2025/6/3 0:00:00","PubModel":"Epub","JCR":"Q4","JCRName":"SURGERY","Score":null,"Total":0}
引用次数: 0

摘要

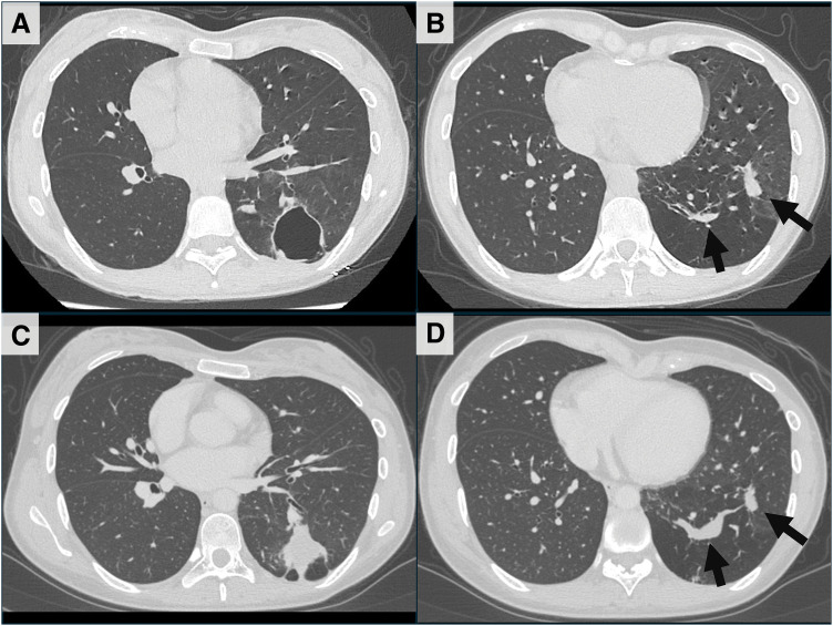
简介:先天性肺气道畸形(CPAM)是一种很少在成人中发现的先天性疾病,因为大多数CPAM病例是通过产前检查或通过儿童复发性肺炎或肺脓肿检查发现的。肺动脉动静脉畸形(Pulmonary arteriovenous malformation, PAVM)是肺动脉和肺静脉之间的异常血管连接,通常与遗传性出血性毛细血管扩张有关,但也可由感染、创伤或胸外科手术引起。在此,我们报告一个成人病例并存的CPAM和PAVM。病例介绍:患者为26岁女性。体检胸部x光显示异常。既往无出血倾向、反复肺炎等病史,无CPAM、PAVM家族史。胸部CT示左肺下叶多发肺囊肿(最大直径40mm),怀疑先天性肺囊肿。胸部CT显示同一左下肺叶2个pavm(血管直径分别为6mm和4mm)。血清曲霉特异性抗体和β- d -葡聚糖阳性,诊断为肺曲霉病。给予抗真菌药伊曲康唑。但9个月后出现固连,改为伏立康唑。然后,固结稍微减少,但仍然存在,其中一个pavm的直径从6 mm增加到10 mm。由于感染不受控制和pavm并发症的风险,我们在胸腔镜下进行了左下肺叶切除术。肺囊肿病理诊断为CPAM 1型。患者术后无任何症状或并发症。结论:CPAM合并PAVM少见,尤其是成人。CPAM常导致肺部感染,肺部感染是引起PAVM的原因之一。在我们的病例中,曲霉菌可能感染了肺囊肿并影响了PAVM血管直径的扩大。如果同时存在CPAM和PAVM,应考虑手术治疗,以防止CPAM和PAVM相关的并发症。
本文章由计算机程序翻译,如有差异,请以英文原文为准。

Congenital Pulmonary Airway Malformation with Pulmonary Arteriovenous Malformation in Adulthood: A Case Report.

Congenital Pulmonary Airway Malformation with Pulmonary Arteriovenous Malformation in Adulthood: A Case Report.

Congenital Pulmonary Airway Malformation with Pulmonary Arteriovenous Malformation in Adulthood: A Case Report.

Introduction: Congenital pulmonary airway malformation (CPAM) is a congenital condition rarely detected in adults because most cases of CPAM are found through prenatal testing or through testing for recurrent pneumonia or lung abscesses in childhood. Pulmonary arteriovenous malformation (PAVM) is an abnormal vascular connection between the pulmonary arteries and veins, which is often related to hereditary hemorrhagic telangiectasia, but can also be induced by infections, trauma, or thoracic surgery. Herein, we report an adult case of coexisting CPAM and PAVM.

Case presentation: The patient was a 26-year-old woman. A medical checkup chest X-ray showed abnormalities. The patient had no past medical history, including of bleeding tendency or repeated pneumonia, and no familial history of CPAM and PAVM. A chest CT revealed multiple lung cysts (maximum diameter of 40 mm) in the left lower lobe of the lung, and congenital pulmonary cysts were suspected. The chest CT also showed two PAVMs (vessel diameters of 6 mm and 4 mm) in the same left lower lobe. Serum tests were positive for Aspergillus-specific antibodies and β-D-glucan, and pulmonary aspergillosis was diagnosed. An antifungal agent (itraconazole) was administered. However, consolidations had developed 9 months after, and the antifungal agent was changed to voriconazole. Then, the consolidations diminished slightly but nevertheless remained, and one of the PAVMs increased in diameter from 6 mm to 10 mm. A left lower lobectomy under thoracoscopy was performed owing to the uncontrolled infection and the risk of complications with PAVMs. The pathological diagnosis of the pulmonary cysts was CPAM type 1. The patient had no symptoms or complications after the surgery.

Conclusions: Cases of CPAM with PAVM are rare, especially in adults. CPAM often leads to pulmonary infection, and the pulmonary infection is known to be one of the causes of PAVM. In our case, Aspergillus might have infected the pulmonary cysts and affected the enlargement of the vascular diameter of PAVM. If CPAM and PAVM are present simultaneously, surgical treatment should be considered to prevent complications associated with CPAM and PAVM.

求助全文
通过发布文献求助,成功后即可免费获取论文全文。 去求助
来源期刊
自引率
0.00%
发文量
218
审稿时长
13 weeks
×
引用
GB/T 7714-2015
复制
MLA
复制
APA
复制
导出至
BibTeX EndNote RefMan NoteFirst NoteExpress
×
提示
您的信息不完整,为了账户安全,请先补充。
现在去补充
×
提示
您因"违规操作"
具体请查看互助需知
我知道了
×
提示
确定
请完成安全验证×
copy
已复制链接
快去分享给好友吧!
我知道了
右上角分享
点击右上角分享
0
联系我们:info@booksci.cn Book学术提供免费学术资源搜索服务,方便国内外学者检索中英文文献。致力于提供最便捷和优质的服务体验。 Copyright © 2023 布克学术 All rights reserved.
京ICP备2023020795号-1
ghs 京公网安备 11010802042870号
Book学术文献互助
Book学术文献互助群
群 号:604180095
Book学术官方微信