多巴胺通过刺激发育中的大鼠视网膜的电活动来减弱乙醇诱导的神经元凋亡。

IF 1.6 4区 医学 Q2 MEDICINE, GENERAL & INTERNAL
Open Medicine Pub Date : 2025-06-05 eCollection Date: 2025-01-01 DOI:10.1515/med-2025-1205
Junde Han, Shuli Ge, Kan Zhang, Jijian Zheng, Jing Dong
{"title":"多巴胺通过刺激发育中的大鼠视网膜的电活动来减弱乙醇诱导的神经元凋亡。","authors":"Junde Han, Shuli Ge, Kan Zhang, Jijian Zheng, Jing Dong","doi":"10.1515/med-2025-1205","DOIUrl":null,"url":null,"abstract":"<p><strong>Background: </strong>Prenatal alcohol exposure causes fetal alcohol spectrum disorders (FASD), primarily through alcohol-induced apoptosis. This study explores the link between ethanol-induced neuronal apoptosis and neural network electrical activity in developing rat retinal ganglion cells, and examines dopamine's protective effects and influence on this activity.</p><p><strong>Methods: </strong>The study employed a combination of immunohistochemical techniques, terminal deoxynucleotidyl transferase dUTP nick-end labeling assay, and electrophysiological recordings to assess neuronal apoptosis and neural network activity in the developing rat retinal ganglion cell layer. Ethanol exposure was administered to model prenatal alcohol exposure, and dopamine was applied to evaluate its protective effects.</p><p><strong>Results: </strong>Ethanol exposure was found to disrupt the spatiotemporal properties of synchronized spontaneous neural network electrical activity and partially induce neuronal apoptosis. Conversely, dopamine treatment increased the frequency of neural network electrical activity and attenuated ethanol-induced apoptosis.</p><p><strong>Conclusion: </strong>The findings suggest that ethanol disrupts neural network activity and induces apoptosis in the developing nervous system, while dopamine exerts a protective effect by modulating neural network activity and reducing apoptosis. These results contribute to understanding the mechanisms underlying FASD and offer potential therapeutic avenues for prevention and treatment.</p>","PeriodicalId":19715,"journal":{"name":"Open Medicine","volume":"20 1","pages":"20251205"},"PeriodicalIF":1.6000,"publicationDate":"2025-06-05","publicationTypes":"Journal Article","fieldsOfStudy":null,"isOpenAccess":false,"openAccessPdf":"https://www.ncbi.nlm.nih.gov/pmc/articles/PMC12144908/pdf/","citationCount":"0","resultStr":"{\"title\":\"Dopamine attenuates ethanol-induced neuronal apoptosis by stimulating electrical activity in the developing rat retina.\",\"authors\":\"Junde Han, Shuli Ge, Kan Zhang, Jijian Zheng, Jing Dong\",\"doi\":\"10.1515/med-2025-1205\",\"DOIUrl\":null,\"url\":null,\"abstract\":\"<p><strong>Background: </strong>Prenatal alcohol exposure causes fetal alcohol spectrum disorders (FASD), primarily through alcohol-induced apoptosis. This study explores the link between ethanol-induced neuronal apoptosis and neural network electrical activity in developing rat retinal ganglion cells, and examines dopamine's protective effects and influence on this activity.</p><p><strong>Methods: </strong>The study employed a combination of immunohistochemical techniques, terminal deoxynucleotidyl transferase dUTP nick-end labeling assay, and electrophysiological recordings to assess neuronal apoptosis and neural network activity in the developing rat retinal ganglion cell layer. Ethanol exposure was administered to model prenatal alcohol exposure, and dopamine was applied to evaluate its protective effects.</p><p><strong>Results: </strong>Ethanol exposure was found to disrupt the spatiotemporal properties of synchronized spontaneous neural network electrical activity and partially induce neuronal apoptosis. Conversely, dopamine treatment increased the frequency of neural network electrical activity and attenuated ethanol-induced apoptosis.</p><p><strong>Conclusion: </strong>The findings suggest that ethanol disrupts neural network activity and induces apoptosis in the developing nervous system, while dopamine exerts a protective effect by modulating neural network activity and reducing apoptosis. These results contribute to understanding the mechanisms underlying FASD and offer potential therapeutic avenues for prevention and treatment.</p>\",\"PeriodicalId\":19715,\"journal\":{\"name\":\"Open Medicine\",\"volume\":\"20 1\",\"pages\":\"20251205\"},\"PeriodicalIF\":1.6000,\"publicationDate\":\"2025-06-05\",\"publicationTypes\":\"Journal Article\",\"fieldsOfStudy\":null,\"isOpenAccess\":false,\"openAccessPdf\":\"https://www.ncbi.nlm.nih.gov/pmc/articles/PMC12144908/pdf/\",\"citationCount\":\"0\",\"resultStr\":null,\"platform\":\"Semanticscholar\",\"paperid\":null,\"PeriodicalName\":\"Open Medicine\",\"FirstCategoryId\":\"3\",\"ListUrlMain\":\"https://doi.org/10.1515/med-2025-1205\",\"RegionNum\":4,\"RegionCategory\":\"医学\",\"ArticlePicture\":[],\"TitleCN\":null,\"AbstractTextCN\":null,\"PMCID\":null,\"EPubDate\":\"2025/1/1 0:00:00\",\"PubModel\":\"eCollection\",\"JCR\":\"Q2\",\"JCRName\":\"MEDICINE, GENERAL & INTERNAL\",\"Score\":null,\"Total\":0}","platform":"Semanticscholar","paperid":null,"PeriodicalName":"Open Medicine","FirstCategoryId":"3","ListUrlMain":"https://doi.org/10.1515/med-2025-1205","RegionNum":4,"RegionCategory":"医学","ArticlePicture":[],"TitleCN":null,"AbstractTextCN":null,"PMCID":null,"EPubDate":"2025/1/1 0:00:00","PubModel":"eCollection","JCR":"Q2","JCRName":"MEDICINE, GENERAL & INTERNAL","Score":null,"Total":0}
引用次数: 0

摘要

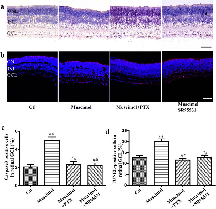
背景:产前酒精暴露导致胎儿酒精谱系障碍(FASD),主要是通过酒精诱导的细胞凋亡。本研究探讨了乙醇诱导的大鼠视网膜神经节细胞凋亡与神经网络电活动之间的联系,并研究了多巴胺对这种活动的保护作用和影响。方法:采用免疫组织化学技术、末端脱氧核苷酸转移酶dUTP镍端标记法和电生理记录相结合的方法,观察发育中的大鼠视网膜神经节细胞层神经元凋亡和神经网络活性。乙醇暴露用于模拟产前酒精暴露,多巴胺用于评估其保护作用。结果:乙醇暴露可破坏同步自发性神经网络电活动的时空特性,部分诱导神经元凋亡。相反,多巴胺处理增加了神经网络电活动的频率,并减弱了乙醇诱导的细胞凋亡。结论:乙醇可破坏神经网络活性,诱导发育中的神经系统凋亡,而多巴胺可通过调节神经网络活性,减少细胞凋亡发挥保护作用。这些结果有助于理解FASD的潜在机制,并为预防和治疗提供潜在的治疗途径。
本文章由计算机程序翻译,如有差异,请以英文原文为准。

Dopamine attenuates ethanol-induced neuronal apoptosis by stimulating electrical activity in the developing rat retina.

Dopamine attenuates ethanol-induced neuronal apoptosis by stimulating electrical activity in the developing rat retina.

Dopamine attenuates ethanol-induced neuronal apoptosis by stimulating electrical activity in the developing rat retina.

Dopamine attenuates ethanol-induced neuronal apoptosis by stimulating electrical activity in the developing rat retina.

Background: Prenatal alcohol exposure causes fetal alcohol spectrum disorders (FASD), primarily through alcohol-induced apoptosis. This study explores the link between ethanol-induced neuronal apoptosis and neural network electrical activity in developing rat retinal ganglion cells, and examines dopamine's protective effects and influence on this activity.

Methods: The study employed a combination of immunohistochemical techniques, terminal deoxynucleotidyl transferase dUTP nick-end labeling assay, and electrophysiological recordings to assess neuronal apoptosis and neural network activity in the developing rat retinal ganglion cell layer. Ethanol exposure was administered to model prenatal alcohol exposure, and dopamine was applied to evaluate its protective effects.

Results: Ethanol exposure was found to disrupt the spatiotemporal properties of synchronized spontaneous neural network electrical activity and partially induce neuronal apoptosis. Conversely, dopamine treatment increased the frequency of neural network electrical activity and attenuated ethanol-induced apoptosis.

Conclusion: The findings suggest that ethanol disrupts neural network activity and induces apoptosis in the developing nervous system, while dopamine exerts a protective effect by modulating neural network activity and reducing apoptosis. These results contribute to understanding the mechanisms underlying FASD and offer potential therapeutic avenues for prevention and treatment.

求助全文
通过发布文献求助,成功后即可免费获取论文全文。 去求助
来源期刊
Open Medicine
Open Medicine Medicine-General Medicine
CiteScore
3.00
自引率
0.00%
发文量
153
审稿时长
20 weeks
期刊介绍: Open Medicine is an open access journal that provides users with free, instant, and continued access to all content worldwide. The primary goal of the journal has always been a focus on maintaining the high quality of its published content. Its mission is to facilitate the exchange of ideas between medical science researchers from different countries. Papers connected to all fields of medicine and public health are welcomed. Open Medicine accepts submissions of research articles, reviews, case reports, letters to editor and book reviews.
×
引用
GB/T 7714-2015
复制
MLA
复制
APA
复制
导出至
BibTeX EndNote RefMan NoteFirst NoteExpress
×
提示
您的信息不完整,为了账户安全,请先补充。
现在去补充
×
提示
您因"违规操作"
具体请查看互助需知
我知道了
×
提示
确定
请完成安全验证×
copy
已复制链接
快去分享给好友吧!
我知道了
右上角分享
点击右上角分享
0
联系我们:info@booksci.cn Book学术提供免费学术资源搜索服务,方便国内外学者检索中英文文献。致力于提供最便捷和优质的服务体验。 Copyright © 2023 布克学术 All rights reserved.
京ICP备2023020795号-1
ghs 京公网安备 11010802042870号
Book学术文献互助
Book学术文献互助群
群 号:604180095
Book学术官方微信