短暂性脑缺血发作患者多频带波动变化的百分比幅度:静息状态fMRI研究。

IF 3.7 4区 医学 Q2 Medicine
Neural Plasticity Pub Date : 2025-05-31 eCollection Date: 2025-01-01 DOI:10.1155/np/8110535
Xinyun Li, Wei Zou, Fengjia Ni, Kelin He, Yingying Gao, Zhiyong Zhao, Yulin Song, Ruijie Ma
{"title":"短暂性脑缺血发作患者多频带波动变化的百分比幅度:静息状态fMRI研究。","authors":"Xinyun Li, Wei Zou, Fengjia Ni, Kelin He, Yingying Gao, Zhiyong Zhao, Yulin Song, Ruijie Ma","doi":"10.1155/np/8110535","DOIUrl":null,"url":null,"abstract":"<p><p><b>Purpose:</b> This study aims to investigate functional abnormalities in transient ischemic attack (TIA) patients compared to healthy controls (HCs) using percent amplitude of fluctuation (PerAF) across multiple frequency bands derived from resting-state functional magnetic resonance imaging (rs-fMRI). <b>Methods:</b> We scanned 48 TIA patients and 41 HCs using rs-fMRI and high-resolution T1-weighted brain images. Both PerAF and modified PerAF (mPerAF) were utilized for comparative analysis across the typical frequency band (0.01-0.08 Hz) and two subfrequency bands: slow-4 (0.027-0.073 Hz) and slow-5 (0.01-0.027 Hz). Two-sample <i>t</i>-tests were conducted to assess group differences, with multiple comparisons correction using Gaussian random field (GRF) methods. <b>Results:</b> Compared to HCs, TIA patients exhibited significantly lower PerAF in the right inferior frontal triangular gyrus in both the typical and slow-5 bands. Additionally, reductions were observed in the right superior frontal medial gyrus in the slow-4 band and the left middle temporal gyrus in the slow-5 band. No significant differences were observed in mPerAF. <b>Conclusion:</b> These findings suggest a significant impact of TIA on multiple brain regions, with frequency-specific alterations in PerAF, providing novel insights into the underlying mechanisms of TIA.</p>","PeriodicalId":19122,"journal":{"name":"Neural Plasticity","volume":"2025 ","pages":"8110535"},"PeriodicalIF":3.7000,"publicationDate":"2025-05-31","publicationTypes":"Journal Article","fieldsOfStudy":null,"isOpenAccess":false,"openAccessPdf":"https://www.ncbi.nlm.nih.gov/pmc/articles/PMC12145219/pdf/","citationCount":"0","resultStr":"{\"title\":\"Percentage Amplitude of Fluctuation Alterations in Multiple Frequency Bands in Patients With Transient Ischemic Attack: A Resting-State fMRI Study.\",\"authors\":\"Xinyun Li, Wei Zou, Fengjia Ni, Kelin He, Yingying Gao, Zhiyong Zhao, Yulin Song, Ruijie Ma\",\"doi\":\"10.1155/np/8110535\",\"DOIUrl\":null,\"url\":null,\"abstract\":\"<p><p><b>Purpose:</b> This study aims to investigate functional abnormalities in transient ischemic attack (TIA) patients compared to healthy controls (HCs) using percent amplitude of fluctuation (PerAF) across multiple frequency bands derived from resting-state functional magnetic resonance imaging (rs-fMRI). <b>Methods:</b> We scanned 48 TIA patients and 41 HCs using rs-fMRI and high-resolution T1-weighted brain images. Both PerAF and modified PerAF (mPerAF) were utilized for comparative analysis across the typical frequency band (0.01-0.08 Hz) and two subfrequency bands: slow-4 (0.027-0.073 Hz) and slow-5 (0.01-0.027 Hz). Two-sample <i>t</i>-tests were conducted to assess group differences, with multiple comparisons correction using Gaussian random field (GRF) methods. <b>Results:</b> Compared to HCs, TIA patients exhibited significantly lower PerAF in the right inferior frontal triangular gyrus in both the typical and slow-5 bands. Additionally, reductions were observed in the right superior frontal medial gyrus in the slow-4 band and the left middle temporal gyrus in the slow-5 band. No significant differences were observed in mPerAF. <b>Conclusion:</b> These findings suggest a significant impact of TIA on multiple brain regions, with frequency-specific alterations in PerAF, providing novel insights into the underlying mechanisms of TIA.</p>\",\"PeriodicalId\":19122,\"journal\":{\"name\":\"Neural Plasticity\",\"volume\":\"2025 \",\"pages\":\"8110535\"},\"PeriodicalIF\":3.7000,\"publicationDate\":\"2025-05-31\",\"publicationTypes\":\"Journal Article\",\"fieldsOfStudy\":null,\"isOpenAccess\":false,\"openAccessPdf\":\"https://www.ncbi.nlm.nih.gov/pmc/articles/PMC12145219/pdf/\",\"citationCount\":\"0\",\"resultStr\":null,\"platform\":\"Semanticscholar\",\"paperid\":null,\"PeriodicalName\":\"Neural Plasticity\",\"FirstCategoryId\":\"3\",\"ListUrlMain\":\"https://doi.org/10.1155/np/8110535\",\"RegionNum\":4,\"RegionCategory\":\"医学\",\"ArticlePicture\":[],\"TitleCN\":null,\"AbstractTextCN\":null,\"PMCID\":null,\"EPubDate\":\"2025/1/1 0:00:00\",\"PubModel\":\"eCollection\",\"JCR\":\"Q2\",\"JCRName\":\"Medicine\",\"Score\":null,\"Total\":0}","platform":"Semanticscholar","paperid":null,"PeriodicalName":"Neural Plasticity","FirstCategoryId":"3","ListUrlMain":"https://doi.org/10.1155/np/8110535","RegionNum":4,"RegionCategory":"医学","ArticlePicture":[],"TitleCN":null,"AbstractTextCN":null,"PMCID":null,"EPubDate":"2025/1/1 0:00:00","PubModel":"eCollection","JCR":"Q2","JCRName":"Medicine","Score":null,"Total":0}
引用次数: 0

摘要

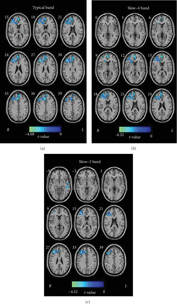
目的:本研究旨在利用静息状态功能磁共振成像(rs-fMRI)获得的多频段波动幅度百分比(PerAF)研究短暂性脑缺血发作(TIA)患者与健康对照(hc)的功能异常。方法:采用rs-fMRI和高分辨率t1加权脑图像对48例TIA患者和41例hc进行扫描。使用PerAF和改进PerAF (mPerAF)在典型频带(0.01-0.08 Hz)和两个子频带:slow-4 (0.027-0.073 Hz)和slow-5 (0.01-0.027 Hz)进行比较分析。采用双样本t检验评估组间差异,并采用高斯随机场(GRF)方法进行多重比较校正。结果:与hc相比,TIA患者在右侧额下三角回的典型和慢5波段的PerAF均明显降低。此外,在慢-4波段观察到右侧额上内侧回和左侧颞中回的减少。mPerAF无显著性差异。结论:这些发现表明TIA对多个大脑区域有显著影响,PerAF的频率特异性改变,为TIA的潜在机制提供了新的见解。
本文章由计算机程序翻译,如有差异,请以英文原文为准。

Percentage Amplitude of Fluctuation Alterations in Multiple Frequency Bands in Patients With Transient Ischemic Attack: A Resting-State fMRI Study.

Percentage Amplitude of Fluctuation Alterations in Multiple Frequency Bands in Patients With Transient Ischemic Attack: A Resting-State fMRI Study.

Purpose: This study aims to investigate functional abnormalities in transient ischemic attack (TIA) patients compared to healthy controls (HCs) using percent amplitude of fluctuation (PerAF) across multiple frequency bands derived from resting-state functional magnetic resonance imaging (rs-fMRI). Methods: We scanned 48 TIA patients and 41 HCs using rs-fMRI and high-resolution T1-weighted brain images. Both PerAF and modified PerAF (mPerAF) were utilized for comparative analysis across the typical frequency band (0.01-0.08 Hz) and two subfrequency bands: slow-4 (0.027-0.073 Hz) and slow-5 (0.01-0.027 Hz). Two-sample t-tests were conducted to assess group differences, with multiple comparisons correction using Gaussian random field (GRF) methods. Results: Compared to HCs, TIA patients exhibited significantly lower PerAF in the right inferior frontal triangular gyrus in both the typical and slow-5 bands. Additionally, reductions were observed in the right superior frontal medial gyrus in the slow-4 band and the left middle temporal gyrus in the slow-5 band. No significant differences were observed in mPerAF. Conclusion: These findings suggest a significant impact of TIA on multiple brain regions, with frequency-specific alterations in PerAF, providing novel insights into the underlying mechanisms of TIA.

求助全文
通过发布文献求助,成功后即可免费获取论文全文。 去求助
来源期刊
Neural Plasticity
Neural Plasticity Neuroscience-Neurology
CiteScore
5.70
自引率
0.00%
发文量
0
审稿时长
1 months
期刊介绍: Neural Plasticity is an international, interdisciplinary journal dedicated to the publication of articles related to all aspects of neural plasticity, with special emphasis on its functional significance as reflected in behavior and in psychopathology. Neural Plasticity publishes research and review articles from the entire range of relevant disciplines, including basic neuroscience, behavioral neuroscience, cognitive neuroscience, biological psychology, and biological psychiatry.
×
引用
GB/T 7714-2015
复制
MLA
复制
APA
复制
导出至
BibTeX EndNote RefMan NoteFirst NoteExpress
×
提示
您的信息不完整,为了账户安全,请先补充。
现在去补充
×
提示
您因"违规操作"
具体请查看互助需知
我知道了
×
提示
确定
请完成安全验证×
copy
已复制链接
快去分享给好友吧!
我知道了
右上角分享
点击右上角分享
0
联系我们:info@booksci.cn Book学术提供免费学术资源搜索服务,方便国内外学者检索中英文文献。致力于提供最便捷和优质的服务体验。 Copyright © 2023 布克学术 All rights reserved.
京ICP备2023020795号-1
ghs 京公网安备 11010802042870号
Book学术文献互助
Book学术文献互助群
群 号:604180095
Book学术官方微信