癌细胞性甲状腺癌在下颌髁的转移:一个特殊的定位。

Q2 Dentistry
Noemí Vieira-Sebe, Fernando Almeida-Parra, Álvaro Ranz-Colio, Esther Moreno-Moreno, Julio Acero-Sanz
{"title":"癌细胞性甲状腺癌在下颌髁的转移:一个特殊的定位。","authors":"Noemí Vieira-Sebe, Fernando Almeida-Parra, Álvaro Ranz-Colio, Esther Moreno-Moreno, Julio Acero-Sanz","doi":"10.4317/jced.62635","DOIUrl":null,"url":null,"abstract":"<p><strong>Introduction: </strong>Oncocytic thyroid carcinoma, previously known as Hürthle cell carcinoma, is a well-differentiated neoplasm accounting for 3-5% of malignant thyroid tumors. This type of carcinoma exhibits aggressive behavior with a propensity for lymphovascular invasion and distant metastases.</p><p><strong>Objective: </strong>To present an unusual clinical case of oncocytic thyroid carcinoma metastasis to the right mandibular condyle, highlighting its surgical management and clinical significance.</p><p><strong>Case report: </strong>An 86-year-old woman with a history of oncocytic thyroid carcinoma treated with total thyroidectomy and radioactive iodine in 2019. During follow-up, elevated thyroglobulin levels were detected, and a PET-CT scan revealed uptake in the right mandibular condyle. The lesion was confirmed by magnetic resonance imaging and surgical biopsy and was treated with a right condylectomy. Histopathological analysis revealed bone infiltration by oncocytic carcinoma. The patient had a favorable postoperative course, with undetectable serum thyroglobulin levels after surgery.</p><p><strong>Discussion: </strong>Bone metastases from oncocytic carcinoma are rare, with the lungs being the most common metastatic site. To our knowledge, this is the second reported case of mandibular metastasis and the first involving the mandibular condyle, underscoring the importance of radical surgical intervention and a multidisciplinary approach in such cases.</p><p><strong>Conclusions: </strong>This case highlights the aggressive nature of oncocytic thyroid carcinoma and the importance of early diagnosis and personalized treatment to improve the prognosis of bone metastases. <b>Key words:</b>Oncocytic thyroid carcinoma, bone metastases, mandible metastases.</p>","PeriodicalId":15376,"journal":{"name":"Journal of Clinical and Experimental Dentistry","volume":"17 5","pages":"e614-e618"},"PeriodicalIF":0.0000,"publicationDate":"2025-05-01","publicationTypes":"Journal Article","fieldsOfStudy":null,"isOpenAccess":false,"openAccessPdf":"https://www.ncbi.nlm.nih.gov/pmc/articles/PMC12142357/pdf/","citationCount":"0","resultStr":"{\"title\":\"Metastasis of oncocytic thyroid carcinoma in the mandibular condyle: An exceptional localization.\",\"authors\":\"Noemí Vieira-Sebe, Fernando Almeida-Parra, Álvaro Ranz-Colio, Esther Moreno-Moreno, Julio Acero-Sanz\",\"doi\":\"10.4317/jced.62635\",\"DOIUrl\":null,\"url\":null,\"abstract\":\"<p><strong>Introduction: </strong>Oncocytic thyroid carcinoma, previously known as Hürthle cell carcinoma, is a well-differentiated neoplasm accounting for 3-5% of malignant thyroid tumors. This type of carcinoma exhibits aggressive behavior with a propensity for lymphovascular invasion and distant metastases.</p><p><strong>Objective: </strong>To present an unusual clinical case of oncocytic thyroid carcinoma metastasis to the right mandibular condyle, highlighting its surgical management and clinical significance.</p><p><strong>Case report: </strong>An 86-year-old woman with a history of oncocytic thyroid carcinoma treated with total thyroidectomy and radioactive iodine in 2019. During follow-up, elevated thyroglobulin levels were detected, and a PET-CT scan revealed uptake in the right mandibular condyle. The lesion was confirmed by magnetic resonance imaging and surgical biopsy and was treated with a right condylectomy. Histopathological analysis revealed bone infiltration by oncocytic carcinoma. The patient had a favorable postoperative course, with undetectable serum thyroglobulin levels after surgery.</p><p><strong>Discussion: </strong>Bone metastases from oncocytic carcinoma are rare, with the lungs being the most common metastatic site. To our knowledge, this is the second reported case of mandibular metastasis and the first involving the mandibular condyle, underscoring the importance of radical surgical intervention and a multidisciplinary approach in such cases.</p><p><strong>Conclusions: </strong>This case highlights the aggressive nature of oncocytic thyroid carcinoma and the importance of early diagnosis and personalized treatment to improve the prognosis of bone metastases. <b>Key words:</b>Oncocytic thyroid carcinoma, bone metastases, mandible metastases.</p>\",\"PeriodicalId\":15376,\"journal\":{\"name\":\"Journal of Clinical and Experimental Dentistry\",\"volume\":\"17 5\",\"pages\":\"e614-e618\"},\"PeriodicalIF\":0.0000,\"publicationDate\":\"2025-05-01\",\"publicationTypes\":\"Journal Article\",\"fieldsOfStudy\":null,\"isOpenAccess\":false,\"openAccessPdf\":\"https://www.ncbi.nlm.nih.gov/pmc/articles/PMC12142357/pdf/\",\"citationCount\":\"0\",\"resultStr\":null,\"platform\":\"Semanticscholar\",\"paperid\":null,\"PeriodicalName\":\"Journal of Clinical and Experimental Dentistry\",\"FirstCategoryId\":\"1085\",\"ListUrlMain\":\"https://doi.org/10.4317/jced.62635\",\"RegionNum\":0,\"RegionCategory\":null,\"ArticlePicture\":[],\"TitleCN\":null,\"AbstractTextCN\":null,\"PMCID\":null,\"EPubDate\":\"\",\"PubModel\":\"\",\"JCR\":\"Q2\",\"JCRName\":\"Dentistry\",\"Score\":null,\"Total\":0}","platform":"Semanticscholar","paperid":null,"PeriodicalName":"Journal of Clinical and Experimental Dentistry","FirstCategoryId":"1085","ListUrlMain":"https://doi.org/10.4317/jced.62635","RegionNum":0,"RegionCategory":null,"ArticlePicture":[],"TitleCN":null,"AbstractTextCN":null,"PMCID":null,"EPubDate":"","PubModel":"","JCR":"Q2","JCRName":"Dentistry","Score":null,"Total":0}
引用次数: 0

摘要

甲状腺嗜瘤细胞癌,以前称为h rthle细胞癌,是一种分化良好的肿瘤,占甲状腺恶性肿瘤的3-5%。这种类型的癌表现出侵袭性行为,有淋巴血管侵袭和远处转移的倾向。目的:报告1例罕见的甲状腺嗜瘤性癌转移至右下颌髁的临床病例,强调其手术处理及临床意义。病例报告:一名86岁女性,有甲状腺癌病史,2019年行甲状腺全切除术和放射性碘治疗。随访期间,检测到甲状腺球蛋白水平升高,PET-CT扫描显示右侧下颌髁摄取。病变经磁共振成像和手术活检证实,并行右侧髁突切除术。组织病理学分析显示癌性骨浸润。患者术后病程良好,术后血清甲状腺球蛋白水平未检出。讨论:嗜瘤细胞癌骨转移是罕见的,肺是最常见的转移部位。据我们所知,这是第二例报道的下颌转移病例,第一例涉及下颌髁,强调了根治性手术干预和多学科方法在此类病例中的重要性。结论:本病例强调了甲状腺嗜瘤细胞癌的侵袭性,以及早期诊断和个性化治疗对改善骨转移预后的重要性。关键词:甲状腺嗜瘤细胞癌,骨转移,下颌骨转移。
本文章由计算机程序翻译,如有差异,请以英文原文为准。

Metastasis of oncocytic thyroid carcinoma in the mandibular condyle: An exceptional localization.

Metastasis of oncocytic thyroid carcinoma in the mandibular condyle: An exceptional localization.

Metastasis of oncocytic thyroid carcinoma in the mandibular condyle: An exceptional localization.

Metastasis of oncocytic thyroid carcinoma in the mandibular condyle: An exceptional localization.

Introduction: Oncocytic thyroid carcinoma, previously known as Hürthle cell carcinoma, is a well-differentiated neoplasm accounting for 3-5% of malignant thyroid tumors. This type of carcinoma exhibits aggressive behavior with a propensity for lymphovascular invasion and distant metastases.

Objective: To present an unusual clinical case of oncocytic thyroid carcinoma metastasis to the right mandibular condyle, highlighting its surgical management and clinical significance.

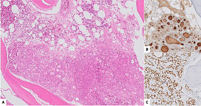
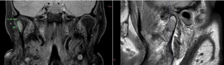
Case report: An 86-year-old woman with a history of oncocytic thyroid carcinoma treated with total thyroidectomy and radioactive iodine in 2019. During follow-up, elevated thyroglobulin levels were detected, and a PET-CT scan revealed uptake in the right mandibular condyle. The lesion was confirmed by magnetic resonance imaging and surgical biopsy and was treated with a right condylectomy. Histopathological analysis revealed bone infiltration by oncocytic carcinoma. The patient had a favorable postoperative course, with undetectable serum thyroglobulin levels after surgery.

Discussion: Bone metastases from oncocytic carcinoma are rare, with the lungs being the most common metastatic site. To our knowledge, this is the second reported case of mandibular metastasis and the first involving the mandibular condyle, underscoring the importance of radical surgical intervention and a multidisciplinary approach in such cases.

Conclusions: This case highlights the aggressive nature of oncocytic thyroid carcinoma and the importance of early diagnosis and personalized treatment to improve the prognosis of bone metastases. Key words:Oncocytic thyroid carcinoma, bone metastases, mandible metastases.

求助全文
通过发布文献求助,成功后即可免费获取论文全文。 去求助
来源期刊
CiteScore
2.70
自引率
0.00%
发文量
118
期刊介绍: Indexed in PUBMED, PubMed Central® (PMC) since 2012 and SCOPUSJournal of Clinical and Experimental Dentistry is an Open Access (free access on-line) - http://www.medicinaoral.com/odo/indice.htm. The aim of the Journal of Clinical and Experimental Dentistry is: - Periodontology - Community and Preventive Dentistry - Esthetic Dentistry - Biomaterials and Bioengineering in Dentistry - Operative Dentistry and Endodontics - Prosthetic Dentistry - Orthodontics - Oral Medicine and Pathology - Odontostomatology for the disabled or special patients - Oral Surgery
×
引用
GB/T 7714-2015
复制
MLA
复制
APA
复制
导出至
BibTeX EndNote RefMan NoteFirst NoteExpress
×
提示
您的信息不完整,为了账户安全,请先补充。
现在去补充
×
提示
您因"违规操作"
具体请查看互助需知
我知道了
×
提示
确定
请完成安全验证×
copy
已复制链接
快去分享给好友吧!
我知道了
右上角分享
点击右上角分享
0
联系我们:info@booksci.cn Book学术提供免费学术资源搜索服务,方便国内外学者检索中英文文献。致力于提供最便捷和优质的服务体验。 Copyright © 2023 布克学术 All rights reserved.
京ICP备2023020795号-1
ghs 京公网安备 11010802042870号
Book学术文献互助
Book学术文献互助群
群 号:604180095
Book学术官方微信