颈、颅动脉异常解剖变异与手术利益:病例报告。

IF 1 Q4 PERIPHERAL VASCULAR DISEASE
Jornal Vascular Brasileiro Pub Date : 2025-05-30 eCollection Date: 2025-01-01 DOI:10.1590/1677-5449.202400482
Monique Boukobza, Jean-Pierre Laissy
{"title":"颈、颅动脉异常解剖变异与手术利益:病例报告。","authors":"Monique Boukobza, Jean-Pierre Laissy","doi":"10.1590/1677-5449.202400482","DOIUrl":null,"url":null,"abstract":"<p><p>We report an exceptional case of a large right persistent proatlantal artery (PPPA), defined as a \"mixed\" type, because it originated as in Type 2 from the external carotid artery and courses as in Type1, i.e. over the vertebral artery groove of the posterior arch of C1, entering the skull via the foramen magnum, without passing through the transverse foramen of any of the cervical vertebra. This \"mixed\" PPPA was associated first with an azygos anterior cerebral artery and second with a left common carotid artery arising from the brachiocephalic trunk. The right occipital artery arose from the PPPA. In addition, an aneurysm arose from the kinked right cervical internal carotid artery. This case illustrated an association not reported previously, making treatment of the concomitant aneurysm challenging. Moreover, understanding of persistent carotid-vertebral anastomosis is essential to enable evaluation and management before performing endovascular treatment, especially in cases of basilar thrombectomy and for posterior circulation strokes.</p>","PeriodicalId":14814,"journal":{"name":"Jornal Vascular Brasileiro","volume":"24 ","pages":"e20240048"},"PeriodicalIF":1.0000,"publicationDate":"2025-05-30","publicationTypes":"Journal Article","fieldsOfStudy":null,"isOpenAccess":false,"openAccessPdf":"https://www.ncbi.nlm.nih.gov/pmc/articles/PMC12143225/pdf/","citationCount":"0","resultStr":"{\"title\":\"Unusual anatomical variations of cervical and cranial arteries with surgical interest: case report.\",\"authors\":\"Monique Boukobza, Jean-Pierre Laissy\",\"doi\":\"10.1590/1677-5449.202400482\",\"DOIUrl\":null,\"url\":null,\"abstract\":\"<p><p>We report an exceptional case of a large right persistent proatlantal artery (PPPA), defined as a \\\"mixed\\\" type, because it originated as in Type 2 from the external carotid artery and courses as in Type1, i.e. over the vertebral artery groove of the posterior arch of C1, entering the skull via the foramen magnum, without passing through the transverse foramen of any of the cervical vertebra. This \\\"mixed\\\" PPPA was associated first with an azygos anterior cerebral artery and second with a left common carotid artery arising from the brachiocephalic trunk. The right occipital artery arose from the PPPA. In addition, an aneurysm arose from the kinked right cervical internal carotid artery. This case illustrated an association not reported previously, making treatment of the concomitant aneurysm challenging. Moreover, understanding of persistent carotid-vertebral anastomosis is essential to enable evaluation and management before performing endovascular treatment, especially in cases of basilar thrombectomy and for posterior circulation strokes.</p>\",\"PeriodicalId\":14814,\"journal\":{\"name\":\"Jornal Vascular Brasileiro\",\"volume\":\"24 \",\"pages\":\"e20240048\"},\"PeriodicalIF\":1.0000,\"publicationDate\":\"2025-05-30\",\"publicationTypes\":\"Journal Article\",\"fieldsOfStudy\":null,\"isOpenAccess\":false,\"openAccessPdf\":\"https://www.ncbi.nlm.nih.gov/pmc/articles/PMC12143225/pdf/\",\"citationCount\":\"0\",\"resultStr\":null,\"platform\":\"Semanticscholar\",\"paperid\":null,\"PeriodicalName\":\"Jornal Vascular Brasileiro\",\"FirstCategoryId\":\"1085\",\"ListUrlMain\":\"https://doi.org/10.1590/1677-5449.202400482\",\"RegionNum\":0,\"RegionCategory\":null,\"ArticlePicture\":[],\"TitleCN\":null,\"AbstractTextCN\":null,\"PMCID\":null,\"EPubDate\":\"2025/1/1 0:00:00\",\"PubModel\":\"eCollection\",\"JCR\":\"Q4\",\"JCRName\":\"PERIPHERAL VASCULAR DISEASE\",\"Score\":null,\"Total\":0}","platform":"Semanticscholar","paperid":null,"PeriodicalName":"Jornal Vascular Brasileiro","FirstCategoryId":"1085","ListUrlMain":"https://doi.org/10.1590/1677-5449.202400482","RegionNum":0,"RegionCategory":null,"ArticlePicture":[],"TitleCN":null,"AbstractTextCN":null,"PMCID":null,"EPubDate":"2025/1/1 0:00:00","PubModel":"eCollection","JCR":"Q4","JCRName":"PERIPHERAL VASCULAR DISEASE","Score":null,"Total":0}
引用次数: 0

摘要

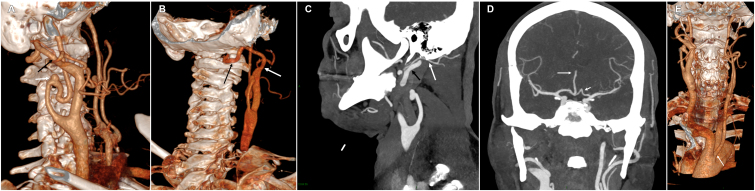
我们报告一例例外的大的右侧持续性寰前动脉(PPPA),定义为“混合”型,因为它起源于颈外动脉,如2型和1型一样,即在C1后弓的椎动脉槽上,通过枕骨大孔进入颅骨,而不经过任何颈椎的横孔。这种“混合型”PPPA首先与奇侧大脑前动脉有关,其次与起源于头臂干的左侧颈总动脉有关。右枕动脉起源于PPPA。此外,右颈内颈动脉扭结处出现动脉瘤。本病例说明了一种先前未报道的关联,使得治疗伴发动脉瘤具有挑战性。此外,了解持续性颈动脉-椎体吻合对于在进行血管内治疗之前进行评估和管理至关重要,特别是在基底动脉血栓切除术和后循环中风的情况下。
本文章由计算机程序翻译,如有差异,请以英文原文为准。

Unusual anatomical variations of cervical and cranial arteries with surgical interest: case report.

Unusual anatomical variations of cervical and cranial arteries with surgical interest: case report.

We report an exceptional case of a large right persistent proatlantal artery (PPPA), defined as a "mixed" type, because it originated as in Type 2 from the external carotid artery and courses as in Type1, i.e. over the vertebral artery groove of the posterior arch of C1, entering the skull via the foramen magnum, without passing through the transverse foramen of any of the cervical vertebra. This "mixed" PPPA was associated first with an azygos anterior cerebral artery and second with a left common carotid artery arising from the brachiocephalic trunk. The right occipital artery arose from the PPPA. In addition, an aneurysm arose from the kinked right cervical internal carotid artery. This case illustrated an association not reported previously, making treatment of the concomitant aneurysm challenging. Moreover, understanding of persistent carotid-vertebral anastomosis is essential to enable evaluation and management before performing endovascular treatment, especially in cases of basilar thrombectomy and for posterior circulation strokes.

求助全文
通过发布文献求助,成功后即可免费获取论文全文。 去求助
来源期刊
Jornal Vascular Brasileiro
Jornal Vascular Brasileiro Medicine-Cardiology and Cardiovascular Medicine
CiteScore
1.20
自引率
0.00%
发文量
57
审稿时长
20 weeks
期刊介绍: The Jornal Vascular Brasileiro is editated and published quaterly to select and disseminate high-quality scientific contents concerning original research, novel surgical and diagnostic techniques, and clinical observations in the field of vascular surgery, angiology, and endovascular surgery. Its abbreviated title is J. Vasc. Bras., which should be used in bibliographies, footnotes and bibliographical references and strips.
×
引用
GB/T 7714-2015
复制
MLA
复制
APA
复制
导出至
BibTeX EndNote RefMan NoteFirst NoteExpress
×
提示
您的信息不完整,为了账户安全,请先补充。
现在去补充
×
提示
您因"违规操作"
具体请查看互助需知
我知道了
×
提示
确定
请完成安全验证×
copy
已复制链接
快去分享给好友吧!
我知道了
右上角分享
点击右上角分享
0
联系我们:info@booksci.cn Book学术提供免费学术资源搜索服务,方便国内外学者检索中英文文献。致力于提供最便捷和优质的服务体验。 Copyright © 2023 布克学术 All rights reserved.
京ICP备2023020795号-1
ghs 京公网安备 11010802042870号
Book学术文献互助
Book学术文献互助群
群 号:604180095
Book学术官方微信