乳腺大的非典型小叶周围血管瘤:可能误诊为血管肉瘤。

IF 2.3 3区 医学 Q2 PATHOLOGY
Yani Wei, Min Li, Hongjun Li, Anjia Han, Huijuan Shi
{"title":"乳腺大的非典型小叶周围血管瘤:可能误诊为血管肉瘤。","authors":"Yani Wei, Min Li, Hongjun Li, Anjia Han, Huijuan Shi","doi":"10.1186/s13000-025-01668-5","DOIUrl":null,"url":null,"abstract":"<p><strong>Background: </strong>Atypical perilobular hemangioma (APH) of the breast is a rare type of tumor. This tumor is often small, measuring no more than 2 mm in diameter, difficult to detect or palpate, and has a good prognosis.</p><p><strong>Case presentation: </strong>We report a unique case of APH in a 47-year-old female patient, which was 12 mm in diameter and characterized by tumor cell atypia. To date, six cases of APH have been reported in the literature, including the present case. The mean age of the APH patients was 49.5 years (range: 39-75 years). The majority of APHs (4/6) in the breast were initially diagnosed as angiosarcoma. The tumor in our study presented diagnostic challenges as an atypical APH due to its substantial size (12 mm), the presence of indistinct borders in certain regions, an extensive growth pattern, the hobnail appearance of endothelial cells, and the mitotic count.</p><p><strong>Conclusion: </strong>In this study, we present this case to help with proper diagnosis and treatment of the tumor, to emphasize additional characteristics of APH, to summarize the clinicopathological features of this tumor as documented in the literature, and to enhance the understanding of this tumor type, particularly the differentiation between APH and low-grade angiosarcoma.</p><p><strong>Clinical trial number: </strong>Not applicable.</p>","PeriodicalId":11237,"journal":{"name":"Diagnostic Pathology","volume":"20 1","pages":"72"},"PeriodicalIF":2.3000,"publicationDate":"2025-06-07","publicationTypes":"Journal Article","fieldsOfStudy":null,"isOpenAccess":false,"openAccessPdf":"https://www.ncbi.nlm.nih.gov/pmc/articles/PMC12144682/pdf/","citationCount":"0","resultStr":"{\"title\":\"Large atypical perilobular hemangioma in the breast: a potential misdiagnosis as angiosarcoma.\",\"authors\":\"Yani Wei, Min Li, Hongjun Li, Anjia Han, Huijuan Shi\",\"doi\":\"10.1186/s13000-025-01668-5\",\"DOIUrl\":null,\"url\":null,\"abstract\":\"<p><strong>Background: </strong>Atypical perilobular hemangioma (APH) of the breast is a rare type of tumor. This tumor is often small, measuring no more than 2 mm in diameter, difficult to detect or palpate, and has a good prognosis.</p><p><strong>Case presentation: </strong>We report a unique case of APH in a 47-year-old female patient, which was 12 mm in diameter and characterized by tumor cell atypia. To date, six cases of APH have been reported in the literature, including the present case. The mean age of the APH patients was 49.5 years (range: 39-75 years). The majority of APHs (4/6) in the breast were initially diagnosed as angiosarcoma. The tumor in our study presented diagnostic challenges as an atypical APH due to its substantial size (12 mm), the presence of indistinct borders in certain regions, an extensive growth pattern, the hobnail appearance of endothelial cells, and the mitotic count.</p><p><strong>Conclusion: </strong>In this study, we present this case to help with proper diagnosis and treatment of the tumor, to emphasize additional characteristics of APH, to summarize the clinicopathological features of this tumor as documented in the literature, and to enhance the understanding of this tumor type, particularly the differentiation between APH and low-grade angiosarcoma.</p><p><strong>Clinical trial number: </strong>Not applicable.</p>\",\"PeriodicalId\":11237,\"journal\":{\"name\":\"Diagnostic Pathology\",\"volume\":\"20 1\",\"pages\":\"72\"},\"PeriodicalIF\":2.3000,\"publicationDate\":\"2025-06-07\",\"publicationTypes\":\"Journal Article\",\"fieldsOfStudy\":null,\"isOpenAccess\":false,\"openAccessPdf\":\"https://www.ncbi.nlm.nih.gov/pmc/articles/PMC12144682/pdf/\",\"citationCount\":\"0\",\"resultStr\":null,\"platform\":\"Semanticscholar\",\"paperid\":null,\"PeriodicalName\":\"Diagnostic Pathology\",\"FirstCategoryId\":\"3\",\"ListUrlMain\":\"https://doi.org/10.1186/s13000-025-01668-5\",\"RegionNum\":3,\"RegionCategory\":\"医学\",\"ArticlePicture\":[],\"TitleCN\":null,\"AbstractTextCN\":null,\"PMCID\":null,\"EPubDate\":\"\",\"PubModel\":\"\",\"JCR\":\"Q2\",\"JCRName\":\"PATHOLOGY\",\"Score\":null,\"Total\":0}","platform":"Semanticscholar","paperid":null,"PeriodicalName":"Diagnostic Pathology","FirstCategoryId":"3","ListUrlMain":"https://doi.org/10.1186/s13000-025-01668-5","RegionNum":3,"RegionCategory":"医学","ArticlePicture":[],"TitleCN":null,"AbstractTextCN":null,"PMCID":null,"EPubDate":"","PubModel":"","JCR":"Q2","JCRName":"PATHOLOGY","Score":null,"Total":0}
引用次数: 0

摘要

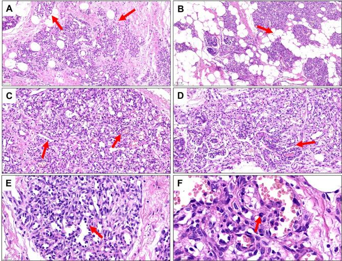
背景:乳腺非典型小叶周围血管瘤(APH)是一种罕见的肿瘤。这种肿瘤通常很小,直径不超过2mm,难以检测或触诊,预后良好。病例介绍:我们报告一例47岁女性患者的APH,其直径为12mm,以肿瘤细胞异型性为特征。迄今为止,文献中已报道了6例APH,包括本病例。APH患者平均年龄49.5岁(39 ~ 75岁)。大多数(4/6)乳腺aph最初诊断为血管肉瘤。在我们的研究中,由于其巨大的尺寸(12mm),某些区域边界模糊,广泛的生长模式,内皮细胞的鞋钉状外观和有丝分裂计数,肿瘤作为非典型APH提出了诊断挑战。结论:在本研究中,我们提出这个病例是为了帮助正确的诊断和治疗肿瘤,强调APH的其他特征,总结文献记载的该肿瘤的临床病理特征,提高对该肿瘤类型的认识,特别是APH与低级别血管肉瘤的鉴别。临床试验号:不适用。
本文章由计算机程序翻译,如有差异,请以英文原文为准。

Large atypical perilobular hemangioma in the breast: a potential misdiagnosis as angiosarcoma.

Large atypical perilobular hemangioma in the breast: a potential misdiagnosis as angiosarcoma.

Large atypical perilobular hemangioma in the breast: a potential misdiagnosis as angiosarcoma.

Large atypical perilobular hemangioma in the breast: a potential misdiagnosis as angiosarcoma.

Background: Atypical perilobular hemangioma (APH) of the breast is a rare type of tumor. This tumor is often small, measuring no more than 2 mm in diameter, difficult to detect or palpate, and has a good prognosis.

Case presentation: We report a unique case of APH in a 47-year-old female patient, which was 12 mm in diameter and characterized by tumor cell atypia. To date, six cases of APH have been reported in the literature, including the present case. The mean age of the APH patients was 49.5 years (range: 39-75 years). The majority of APHs (4/6) in the breast were initially diagnosed as angiosarcoma. The tumor in our study presented diagnostic challenges as an atypical APH due to its substantial size (12 mm), the presence of indistinct borders in certain regions, an extensive growth pattern, the hobnail appearance of endothelial cells, and the mitotic count.

Conclusion: In this study, we present this case to help with proper diagnosis and treatment of the tumor, to emphasize additional characteristics of APH, to summarize the clinicopathological features of this tumor as documented in the literature, and to enhance the understanding of this tumor type, particularly the differentiation between APH and low-grade angiosarcoma.

Clinical trial number: Not applicable.

求助全文
通过发布文献求助,成功后即可免费获取论文全文。 去求助
来源期刊
Diagnostic Pathology
Diagnostic Pathology 医学-病理学
CiteScore
4.60
自引率
0.00%
发文量
93
审稿时长
1 months
期刊介绍: Diagnostic Pathology is an open access, peer-reviewed, online journal that considers research in surgical and clinical pathology, immunology, and biology, with a special focus on cutting-edge approaches in diagnostic pathology and tissue-based therapy. The journal covers all aspects of surgical pathology, including classic diagnostic pathology, prognosis-related diagnosis (tumor stages, prognosis markers, such as MIB-percentage, hormone receptors, etc.), and therapy-related findings. The journal also focuses on the technological aspects of pathology, including molecular biology techniques, morphometry aspects (stereology, DNA analysis, syntactic structure analysis), communication aspects (telecommunication, virtual microscopy, virtual pathology institutions, etc.), and electronic education and quality assurance (for example interactive publication, on-line references with automated updating, etc.).
×
引用
GB/T 7714-2015
复制
MLA
复制
APA
复制
导出至
BibTeX EndNote RefMan NoteFirst NoteExpress
×
提示
您的信息不完整,为了账户安全,请先补充。
现在去补充
×
提示
您因"违规操作"
具体请查看互助需知
我知道了
×
提示
确定
请完成安全验证×
copy
已复制链接
快去分享给好友吧!
我知道了
右上角分享
点击右上角分享
0
联系我们:info@booksci.cn Book学术提供免费学术资源搜索服务,方便国内外学者检索中英文文献。致力于提供最便捷和优质的服务体验。 Copyright © 2023 布克学术 All rights reserved.
京ICP备2023020795号-1
ghs 京公网安备 11010802042870号
Book学术文献互助
Book学术文献互助群
群 号:604180095
Book学术官方微信