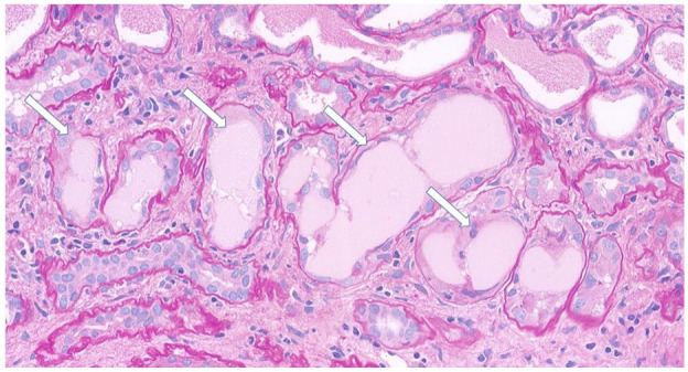
结外边缘区淋巴瘤表现为铸型肾病引起的急性肾损伤1例。

IF 1.5 Q3 UROLOGY & NEPHROLOGY
Canadian Journal of Kidney Health and Disease Pub Date : 2025-06-05 eCollection Date: 2025-01-01 DOI:10.1177/20543581251338434
Naphasorn Naruemon, Piriyaporn Iamsai, Piyapong Ounpanyo, Boonyarit Cheunsuchon, Thanawat Vongchaiudomchoke
{"title":"结外边缘区淋巴瘤表现为铸型肾病引起的急性肾损伤1例。","authors":"Naphasorn Naruemon, Piriyaporn Iamsai, Piyapong Ounpanyo, Boonyarit Cheunsuchon, Thanawat Vongchaiudomchoke","doi":"10.1177/20543581251338434","DOIUrl":null,"url":null,"abstract":"<p><p>Acute kidney injury (AKI) in non-Hodgkin lymphoma has diverse etiologies. We report a case in which AKI due to light chain cast nephropathy was the initial manifestation of extranodal marginal zone lymphoma, occurring without systemic symptoms. A 64-year-old male presented with severe AKI without other symptoms. His physical examination and renal ultrasound were unremarkable. Renal biopsy revealed light chain cast nephropathy, and a subsequent bone marrow biopsy confirmed marginal zone lymphoma. The patient received R-CHOP chemotherapy (rituximab, cyclophosphamide, doxorubicin, vincristine, and prednisolone) for a total of six cycles. The patient had a partial response to lymphoma. However, his renal function did not improve, and ultimately he progressed to end-stage kidney disease, requiring maintenance hemodialysis. This case highlights extranodal marginal zone lymphoma presenting as AKI, emphasizing its unique renal-limited manifestation in the absence of systemic symptoms and the critical role of renal biopsy in diagnosing unexplained AKI.</p>","PeriodicalId":9426,"journal":{"name":"Canadian Journal of Kidney Health and Disease","volume":"12 ","pages":"20543581251338434"},"PeriodicalIF":1.5000,"publicationDate":"2025-06-05","publicationTypes":"Journal Article","fieldsOfStudy":null,"isOpenAccess":false,"openAccessPdf":"https://www.ncbi.nlm.nih.gov/pmc/articles/PMC12141795/pdf/","citationCount":"0","resultStr":"{\"title\":\"Extranodal Marginal Zone Lymphoma Presenting as Acute Kidney Injury due to Cast Nephropathy: A Case Report.\",\"authors\":\"Naphasorn Naruemon, Piriyaporn Iamsai, Piyapong Ounpanyo, Boonyarit Cheunsuchon, Thanawat Vongchaiudomchoke\",\"doi\":\"10.1177/20543581251338434\",\"DOIUrl\":null,\"url\":null,\"abstract\":\"<p><p>Acute kidney injury (AKI) in non-Hodgkin lymphoma has diverse etiologies. We report a case in which AKI due to light chain cast nephropathy was the initial manifestation of extranodal marginal zone lymphoma, occurring without systemic symptoms. A 64-year-old male presented with severe AKI without other symptoms. His physical examination and renal ultrasound were unremarkable. Renal biopsy revealed light chain cast nephropathy, and a subsequent bone marrow biopsy confirmed marginal zone lymphoma. The patient received R-CHOP chemotherapy (rituximab, cyclophosphamide, doxorubicin, vincristine, and prednisolone) for a total of six cycles. The patient had a partial response to lymphoma. However, his renal function did not improve, and ultimately he progressed to end-stage kidney disease, requiring maintenance hemodialysis. This case highlights extranodal marginal zone lymphoma presenting as AKI, emphasizing its unique renal-limited manifestation in the absence of systemic symptoms and the critical role of renal biopsy in diagnosing unexplained AKI.</p>\",\"PeriodicalId\":9426,\"journal\":{\"name\":\"Canadian Journal of Kidney Health and Disease\",\"volume\":\"12 \",\"pages\":\"20543581251338434\"},\"PeriodicalIF\":1.5000,\"publicationDate\":\"2025-06-05\",\"publicationTypes\":\"Journal Article\",\"fieldsOfStudy\":null,\"isOpenAccess\":false,\"openAccessPdf\":\"https://www.ncbi.nlm.nih.gov/pmc/articles/PMC12141795/pdf/\",\"citationCount\":\"0\",\"resultStr\":null,\"platform\":\"Semanticscholar\",\"paperid\":null,\"PeriodicalName\":\"Canadian Journal of Kidney Health and Disease\",\"FirstCategoryId\":\"1085\",\"ListUrlMain\":\"https://doi.org/10.1177/20543581251338434\",\"RegionNum\":0,\"RegionCategory\":null,\"ArticlePicture\":[],\"TitleCN\":null,\"AbstractTextCN\":null,\"PMCID\":null,\"EPubDate\":\"2025/1/1 0:00:00\",\"PubModel\":\"eCollection\",\"JCR\":\"Q3\",\"JCRName\":\"UROLOGY & NEPHROLOGY\",\"Score\":null,\"Total\":0}","platform":"Semanticscholar","paperid":null,"PeriodicalName":"Canadian Journal of Kidney Health and Disease","FirstCategoryId":"1085","ListUrlMain":"https://doi.org/10.1177/20543581251338434","RegionNum":0,"RegionCategory":null,"ArticlePicture":[],"TitleCN":null,"AbstractTextCN":null,"PMCID":null,"EPubDate":"2025/1/1 0:00:00","PubModel":"eCollection","JCR":"Q3","JCRName":"UROLOGY & NEPHROLOGY","Score":null,"Total":0}
引用次数: 0

摘要

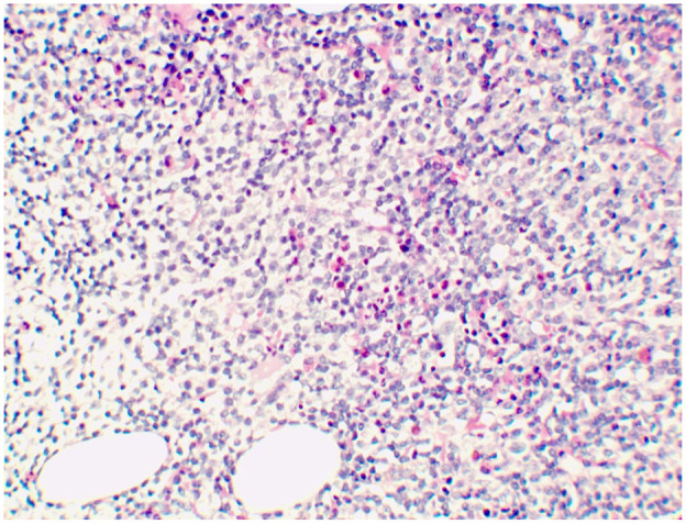
急性肾损伤(AKI)在非霍奇金淋巴瘤有多种病因。我们报告一例由轻链铸型肾病引起的AKI是结外边缘区淋巴瘤的初始表现,没有全身性症状。一名64岁男性,表现为严重AKI,无其他症状。体格检查及肾脏超声检查无明显异常。肾活检显示轻链铸型肾病,随后骨髓活检证实边缘区淋巴瘤。患者接受R-CHOP化疗(利妥昔单抗、环磷酰胺、阿霉素、长春新碱、强的松龙)共6个周期。病人对淋巴瘤有部分反应。然而,他的肾功能没有改善,最终发展为终末期肾病,需要维持血液透析。本病例强调结外边缘区淋巴瘤表现为AKI,强调其在没有全身性症状的情况下独特的肾脏局限性表现,以及肾活检在诊断不明原因AKI中的关键作用。
本文章由计算机程序翻译,如有差异,请以英文原文为准。

Extranodal Marginal Zone Lymphoma Presenting as Acute Kidney Injury due to Cast Nephropathy: A Case Report.

Extranodal Marginal Zone Lymphoma Presenting as Acute Kidney Injury due to Cast Nephropathy: A Case Report.

Extranodal Marginal Zone Lymphoma Presenting as Acute Kidney Injury due to Cast Nephropathy: A Case Report.

Extranodal Marginal Zone Lymphoma Presenting as Acute Kidney Injury due to Cast Nephropathy: A Case Report.

Acute kidney injury (AKI) in non-Hodgkin lymphoma has diverse etiologies. We report a case in which AKI due to light chain cast nephropathy was the initial manifestation of extranodal marginal zone lymphoma, occurring without systemic symptoms. A 64-year-old male presented with severe AKI without other symptoms. His physical examination and renal ultrasound were unremarkable. Renal biopsy revealed light chain cast nephropathy, and a subsequent bone marrow biopsy confirmed marginal zone lymphoma. The patient received R-CHOP chemotherapy (rituximab, cyclophosphamide, doxorubicin, vincristine, and prednisolone) for a total of six cycles. The patient had a partial response to lymphoma. However, his renal function did not improve, and ultimately he progressed to end-stage kidney disease, requiring maintenance hemodialysis. This case highlights extranodal marginal zone lymphoma presenting as AKI, emphasizing its unique renal-limited manifestation in the absence of systemic symptoms and the critical role of renal biopsy in diagnosing unexplained AKI.

求助全文
通过发布文献求助,成功后即可免费获取论文全文。 去求助
来源期刊
CiteScore
3.00
自引率
5.90%
发文量
84
审稿时长
12 weeks
期刊介绍: Canadian Journal of Kidney Health and Disease, the official journal of the Canadian Society of Nephrology, is an open access, peer-reviewed online journal that encourages high quality submissions focused on clinical, translational and health services delivery research in the field of chronic kidney disease, dialysis, kidney transplantation and organ donation. Our mandate is to promote and advocate for kidney health as it impacts national and international communities. Basic science, translational studies and clinical studies will be peer reviewed and processed by an Editorial Board comprised of geographically diverse Canadian and international nephrologists, internists and allied health professionals; this Editorial Board is mandated to ensure highest quality publications.
×
引用
GB/T 7714-2015
复制
MLA
复制
APA
复制
导出至
BibTeX EndNote RefMan NoteFirst NoteExpress
×
提示
您的信息不完整,为了账户安全,请先补充。
现在去补充
×
提示
您因"违规操作"
具体请查看互助需知
我知道了
×
提示
确定
请完成安全验证×
copy
已复制链接
快去分享给好友吧!
我知道了
右上角分享
点击右上角分享
0
联系我们:info@booksci.cn Book学术提供免费学术资源搜索服务,方便国内外学者检索中英文文献。致力于提供最便捷和优质的服务体验。 Copyright © 2023 布克学术 All rights reserved.
京ICP备2023020795号-1
ghs 京公网安备 11010802042870号
Book学术文献互助
Book学术文献互助群
群 号:604180095
Book学术官方微信