头颈部滑膜肉瘤1例既往有淋巴瘤和甲状腺乳头状癌。

IF 2.9 Q1 PATHOLOGY
Mariano Lombardi, Daniela Lepanto, Eleonora Pisa, Valeria Midolo De Luca, Renato Lobrano, Simona Pessina, Chiara Zanetti, Marta Tagliabue, Elvio De Fiori, Fausto Maffini
{"title":"头颈部滑膜肉瘤1例既往有淋巴瘤和甲状腺乳头状癌。","authors":"Mariano Lombardi, Daniela Lepanto, Eleonora Pisa, Valeria Midolo De Luca, Renato Lobrano, Simona Pessina, Chiara Zanetti, Marta Tagliabue, Elvio De Fiori, Fausto Maffini","doi":"10.32074/1591-951X-1034","DOIUrl":null,"url":null,"abstract":"<p><p>Synovial sarcoma is a rare malignant mesenchymal neoplasm that rarely arises in the head and neck and thyroid lodge. Researchers have documented only few cases in the literature. We present the case of a young woman diagnosed with synovial sarcoma that originated in the thyroid region one year after a total thyroidectomy for a primary papillary carcinoma and eight years after chemo-radiotherapy for a lymphoma.</p>","PeriodicalId":45893,"journal":{"name":"PATHOLOGICA","volume":"117 2","pages":"131-135"},"PeriodicalIF":2.9000,"publicationDate":"2025-04-01","publicationTypes":"Journal Article","fieldsOfStudy":null,"isOpenAccess":false,"openAccessPdf":"https://www.ncbi.nlm.nih.gov/pmc/articles/PMC12142290/pdf/","citationCount":"0","resultStr":"{\"title\":\"Head and neck synovial sarcoma in a woman with previous lymphoma and papillary thyroid carcinoma.\",\"authors\":\"Mariano Lombardi, Daniela Lepanto, Eleonora Pisa, Valeria Midolo De Luca, Renato Lobrano, Simona Pessina, Chiara Zanetti, Marta Tagliabue, Elvio De Fiori, Fausto Maffini\",\"doi\":\"10.32074/1591-951X-1034\",\"DOIUrl\":null,\"url\":null,\"abstract\":\"<p><p>Synovial sarcoma is a rare malignant mesenchymal neoplasm that rarely arises in the head and neck and thyroid lodge. Researchers have documented only few cases in the literature. We present the case of a young woman diagnosed with synovial sarcoma that originated in the thyroid region one year after a total thyroidectomy for a primary papillary carcinoma and eight years after chemo-radiotherapy for a lymphoma.</p>\",\"PeriodicalId\":45893,\"journal\":{\"name\":\"PATHOLOGICA\",\"volume\":\"117 2\",\"pages\":\"131-135\"},\"PeriodicalIF\":2.9000,\"publicationDate\":\"2025-04-01\",\"publicationTypes\":\"Journal Article\",\"fieldsOfStudy\":null,\"isOpenAccess\":false,\"openAccessPdf\":\"https://www.ncbi.nlm.nih.gov/pmc/articles/PMC12142290/pdf/\",\"citationCount\":\"0\",\"resultStr\":null,\"platform\":\"Semanticscholar\",\"paperid\":null,\"PeriodicalName\":\"PATHOLOGICA\",\"FirstCategoryId\":\"1085\",\"ListUrlMain\":\"https://doi.org/10.32074/1591-951X-1034\",\"RegionNum\":0,\"RegionCategory\":null,\"ArticlePicture\":[],\"TitleCN\":null,\"AbstractTextCN\":null,\"PMCID\":null,\"EPubDate\":\"\",\"PubModel\":\"\",\"JCR\":\"Q1\",\"JCRName\":\"PATHOLOGY\",\"Score\":null,\"Total\":0}","platform":"Semanticscholar","paperid":null,"PeriodicalName":"PATHOLOGICA","FirstCategoryId":"1085","ListUrlMain":"https://doi.org/10.32074/1591-951X-1034","RegionNum":0,"RegionCategory":null,"ArticlePicture":[],"TitleCN":null,"AbstractTextCN":null,"PMCID":null,"EPubDate":"","PubModel":"","JCR":"Q1","JCRName":"PATHOLOGY","Score":null,"Total":0}
引用次数: 0

摘要

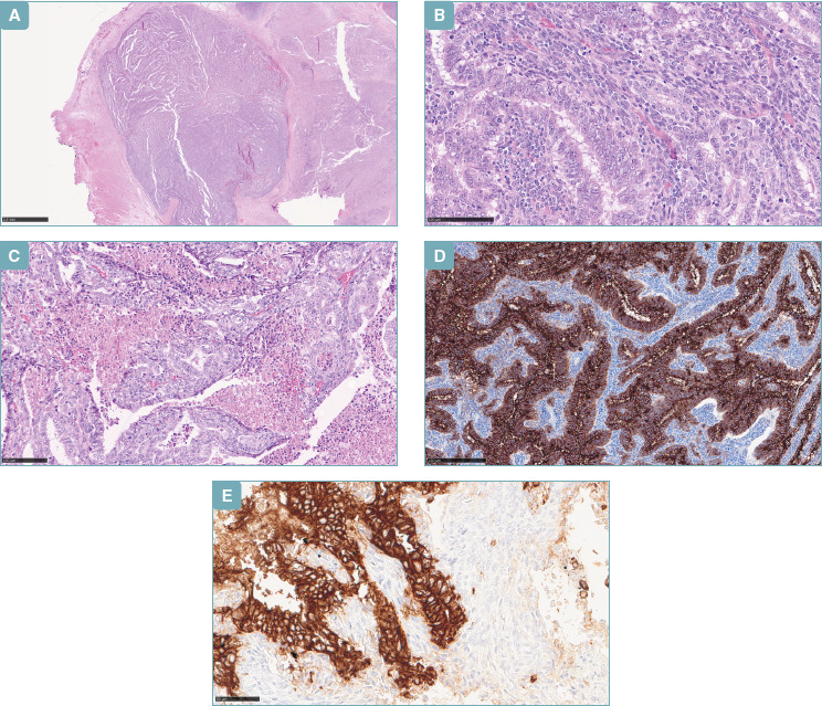
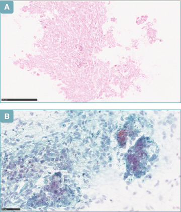
滑膜肉瘤是一种罕见的恶性间质肿瘤,很少发生在头颈部和甲状腺部位。研究人员在文献中只记录了少数病例。我们提出一个病例的年轻女性诊断为滑膜肉瘤起源于甲状腺区域,一年后全甲状腺切除术的原发性乳头状癌和化疗后八年的淋巴瘤。
本文章由计算机程序翻译,如有差异,请以英文原文为准。

Head and neck synovial sarcoma in a woman with previous lymphoma and papillary thyroid carcinoma.

Head and neck synovial sarcoma in a woman with previous lymphoma and papillary thyroid carcinoma.

Head and neck synovial sarcoma in a woman with previous lymphoma and papillary thyroid carcinoma.

Head and neck synovial sarcoma in a woman with previous lymphoma and papillary thyroid carcinoma.

Synovial sarcoma is a rare malignant mesenchymal neoplasm that rarely arises in the head and neck and thyroid lodge. Researchers have documented only few cases in the literature. We present the case of a young woman diagnosed with synovial sarcoma that originated in the thyroid region one year after a total thyroidectomy for a primary papillary carcinoma and eight years after chemo-radiotherapy for a lymphoma.

求助全文
通过发布文献求助,成功后即可免费获取论文全文。 去求助
来源期刊
PATHOLOGICA
PATHOLOGICA PATHOLOGY-
CiteScore
5.90
自引率
5.70%
发文量
108
×
引用
GB/T 7714-2015
复制
MLA
复制
APA
复制
导出至
BibTeX EndNote RefMan NoteFirst NoteExpress
×
提示
您的信息不完整,为了账户安全,请先补充。
现在去补充
×
提示
您因"违规操作"
具体请查看互助需知
我知道了
×
提示
确定
请完成安全验证×
copy
已复制链接
快去分享给好友吧!
我知道了
右上角分享
点击右上角分享
0
联系我们:info@booksci.cn Book学术提供免费学术资源搜索服务,方便国内外学者检索中英文文献。致力于提供最便捷和优质的服务体验。 Copyright © 2023 布克学术 All rights reserved.
京ICP备2023020795号-1
ghs 京公网安备 11010802042870号
Book学术文献互助
Book学术文献互助群
群 号:604180095
Book学术官方微信