评估乳头状甲状腺癌及其变异:甲状腺小叶切除术和完全甲状腺切除术的多灶性-一项单三级中心回顾性研究。

IF 2.9 Q1 PATHOLOGY
Carmine Bruno, Pietro Tralongo, Federica Vegni, Angela Feraco, Qianqian Zhang, Belen Padial-Urtueta, Angela Carlino, Alfredo Pontecorvi, Guido Fadda, Marco Raffaelli, Luigi Maria Larocca, Liron Pantanowitz, Esther Diana Rossi
{"title":"评估乳头状甲状腺癌及其变异:甲状腺小叶切除术和完全甲状腺切除术的多灶性-一项单三级中心回顾性研究。","authors":"Carmine Bruno, Pietro Tralongo, Federica Vegni, Angela Feraco, Qianqian Zhang, Belen Padial-Urtueta, Angela Carlino, Alfredo Pontecorvi, Guido Fadda, Marco Raffaelli, Luigi Maria Larocca, Liron Pantanowitz, Esther Diana Rossi","doi":"10.32074/1591-951X-1091","DOIUrl":null,"url":null,"abstract":"<p><strong>Aims: </strong>The American Thyroid Association (ATA) updated guidelines for the treatment of thyroid cancer, leading to a less aggressive approach depending on clinical-pathological features. As a result, the possibility to perform lobectomy versus total thyroidectomy has significantly increased. The majority of thyroid cancers are indolent with an excellent prognosis, while only 15% of patients with well-differentiated carcinoma, including papillary thyroid carcinoma (PTC), have locally advanced thyroid cancer (LATC) at diagnosis. We reviewed our practice in treating thyroid carcinoma over the last decade.</p><p><strong>Methods: </strong>From January 2010 to December 2020, 1057 patients with uninodular benign and malignant thyroid lesions were reviewed.</p><p><strong>Results: </strong>Among these cases, 77% were women with a median age of 49.3 years. The series involved 307 malignant diagnoses (29.05%) including 196 (61.6%) classic PTC and 38 (12%) aggressive variants of PTC, mostly tall cell variant (30 cases, 9.4%). Among malignant cases, multifocality was microscopically documented in 84 cases (26.4%). Using the ATA distribution of risk, there were 239 cases in the low risk and 68 in the intermediate risk categories. Second surgery was assessed in a total of 150 cases, showing 42 cases with additional thyroid cancer foci in the other lobe (26 single vs 16 multiple foci). Ten cases had metastatic perithyroidal lymph nodes.</p><p><strong>Conclusion: </strong>Our data could be the basis for performing a longitudinal study in order to establish which risk factors can predict bilateral involvement and to suggest a tailored surgical approach.</p>","PeriodicalId":45893,"journal":{"name":"PATHOLOGICA","volume":"117 2","pages":"111-120"},"PeriodicalIF":2.9000,"publicationDate":"2025-04-01","publicationTypes":"Journal Article","fieldsOfStudy":null,"isOpenAccess":false,"openAccessPdf":"https://www.ncbi.nlm.nih.gov/pmc/articles/PMC12142297/pdf/","citationCount":"0","resultStr":"{\"title\":\"Evaluation of papillary thryoid carcinoma and its variants: multifocality in thyroid lobectomy and completion thyroidectomy - a single tertiary center retrospective study.\",\"authors\":\"Carmine Bruno, Pietro Tralongo, Federica Vegni, Angela Feraco, Qianqian Zhang, Belen Padial-Urtueta, Angela Carlino, Alfredo Pontecorvi, Guido Fadda, Marco Raffaelli, Luigi Maria Larocca, Liron Pantanowitz, Esther Diana Rossi\",\"doi\":\"10.32074/1591-951X-1091\",\"DOIUrl\":null,\"url\":null,\"abstract\":\"<p><strong>Aims: </strong>The American Thyroid Association (ATA) updated guidelines for the treatment of thyroid cancer, leading to a less aggressive approach depending on clinical-pathological features. As a result, the possibility to perform lobectomy versus total thyroidectomy has significantly increased. The majority of thyroid cancers are indolent with an excellent prognosis, while only 15% of patients with well-differentiated carcinoma, including papillary thyroid carcinoma (PTC), have locally advanced thyroid cancer (LATC) at diagnosis. We reviewed our practice in treating thyroid carcinoma over the last decade.</p><p><strong>Methods: </strong>From January 2010 to December 2020, 1057 patients with uninodular benign and malignant thyroid lesions were reviewed.</p><p><strong>Results: </strong>Among these cases, 77% were women with a median age of 49.3 years. The series involved 307 malignant diagnoses (29.05%) including 196 (61.6%) classic PTC and 38 (12%) aggressive variants of PTC, mostly tall cell variant (30 cases, 9.4%). Among malignant cases, multifocality was microscopically documented in 84 cases (26.4%). Using the ATA distribution of risk, there were 239 cases in the low risk and 68 in the intermediate risk categories. Second surgery was assessed in a total of 150 cases, showing 42 cases with additional thyroid cancer foci in the other lobe (26 single vs 16 multiple foci). Ten cases had metastatic perithyroidal lymph nodes.</p><p><strong>Conclusion: </strong>Our data could be the basis for performing a longitudinal study in order to establish which risk factors can predict bilateral involvement and to suggest a tailored surgical approach.</p>\",\"PeriodicalId\":45893,\"journal\":{\"name\":\"PATHOLOGICA\",\"volume\":\"117 2\",\"pages\":\"111-120\"},\"PeriodicalIF\":2.9000,\"publicationDate\":\"2025-04-01\",\"publicationTypes\":\"Journal Article\",\"fieldsOfStudy\":null,\"isOpenAccess\":false,\"openAccessPdf\":\"https://www.ncbi.nlm.nih.gov/pmc/articles/PMC12142297/pdf/\",\"citationCount\":\"0\",\"resultStr\":null,\"platform\":\"Semanticscholar\",\"paperid\":null,\"PeriodicalName\":\"PATHOLOGICA\",\"FirstCategoryId\":\"1085\",\"ListUrlMain\":\"https://doi.org/10.32074/1591-951X-1091\",\"RegionNum\":0,\"RegionCategory\":null,\"ArticlePicture\":[],\"TitleCN\":null,\"AbstractTextCN\":null,\"PMCID\":null,\"EPubDate\":\"\",\"PubModel\":\"\",\"JCR\":\"Q1\",\"JCRName\":\"PATHOLOGY\",\"Score\":null,\"Total\":0}","platform":"Semanticscholar","paperid":null,"PeriodicalName":"PATHOLOGICA","FirstCategoryId":"1085","ListUrlMain":"https://doi.org/10.32074/1591-951X-1091","RegionNum":0,"RegionCategory":null,"ArticlePicture":[],"TitleCN":null,"AbstractTextCN":null,"PMCID":null,"EPubDate":"","PubModel":"","JCR":"Q1","JCRName":"PATHOLOGY","Score":null,"Total":0}
引用次数: 0

摘要

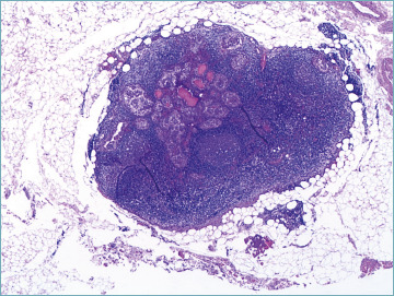
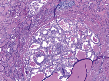
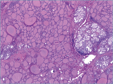
目的:美国甲状腺协会(ATA)更新了甲状腺癌治疗指南,根据临床病理特征采用了一种不那么激进的方法。因此,与全甲状腺切除术相比,行肺叶切除术的可能性显著增加。大多数甲状腺癌是惰性的,预后良好,而只有15%的高分化癌(包括乳头状甲状腺癌(PTC))患者在诊断时为局部晚期甲状腺癌(LATC)。我们回顾了过去十年来治疗甲状腺癌的实践。方法:对2010年1月至2020年12月1057例甲状腺单发良、恶性病变患者进行回顾性分析。结果:77%为女性,中位年龄49.3岁。307例恶性诊断(29.05%),其中经典PTC 196例(61.6%),侵袭性PTC 38例(12%),多为高细胞变异(30例,9.4%)。在恶性病例中,显微镜下发现84例(26.4%)为多灶性病变。采用ATA风险分布,低危239例,中危68例。第二次手术共对150例患者进行了评估,显示42例患者在另一侧肺叶有额外的甲状腺癌灶(26例单发灶vs 16例多发灶)。甲状腺周围淋巴结转移10例。结论:我们的数据可以作为进行纵向研究的基础,以确定哪些危险因素可以预测双侧受累,并建议量身定制的手术方法。
本文章由计算机程序翻译,如有差异,请以英文原文为准。

Evaluation of papillary thryoid carcinoma and its variants: multifocality in thyroid lobectomy and completion thyroidectomy - a single tertiary center retrospective study.

Evaluation of papillary thryoid carcinoma and its variants: multifocality in thyroid lobectomy and completion thyroidectomy - a single tertiary center retrospective study.

Evaluation of papillary thryoid carcinoma and its variants: multifocality in thyroid lobectomy and completion thyroidectomy - a single tertiary center retrospective study.

Evaluation of papillary thryoid carcinoma and its variants: multifocality in thyroid lobectomy and completion thyroidectomy - a single tertiary center retrospective study.

Aims: The American Thyroid Association (ATA) updated guidelines for the treatment of thyroid cancer, leading to a less aggressive approach depending on clinical-pathological features. As a result, the possibility to perform lobectomy versus total thyroidectomy has significantly increased. The majority of thyroid cancers are indolent with an excellent prognosis, while only 15% of patients with well-differentiated carcinoma, including papillary thyroid carcinoma (PTC), have locally advanced thyroid cancer (LATC) at diagnosis. We reviewed our practice in treating thyroid carcinoma over the last decade.

Methods: From January 2010 to December 2020, 1057 patients with uninodular benign and malignant thyroid lesions were reviewed.

Results: Among these cases, 77% were women with a median age of 49.3 years. The series involved 307 malignant diagnoses (29.05%) including 196 (61.6%) classic PTC and 38 (12%) aggressive variants of PTC, mostly tall cell variant (30 cases, 9.4%). Among malignant cases, multifocality was microscopically documented in 84 cases (26.4%). Using the ATA distribution of risk, there were 239 cases in the low risk and 68 in the intermediate risk categories. Second surgery was assessed in a total of 150 cases, showing 42 cases with additional thyroid cancer foci in the other lobe (26 single vs 16 multiple foci). Ten cases had metastatic perithyroidal lymph nodes.

Conclusion: Our data could be the basis for performing a longitudinal study in order to establish which risk factors can predict bilateral involvement and to suggest a tailored surgical approach.

求助全文
通过发布文献求助,成功后即可免费获取论文全文。 去求助
来源期刊
PATHOLOGICA
PATHOLOGICA PATHOLOGY-
CiteScore
5.90
自引率
5.70%
发文量
108
×
引用
GB/T 7714-2015
复制
MLA
复制
APA
复制
导出至
BibTeX EndNote RefMan NoteFirst NoteExpress
×
提示
您的信息不完整,为了账户安全,请先补充。
现在去补充
×
提示
您因"违规操作"
具体请查看互助需知
我知道了
×
提示
确定
请完成安全验证×
copy
已复制链接
快去分享给好友吧!
我知道了
右上角分享
点击右上角分享
0
联系我们:info@booksci.cn Book学术提供免费学术资源搜索服务,方便国内外学者检索中英文文献。致力于提供最便捷和优质的服务体验。 Copyright © 2023 布克学术 All rights reserved.
京ICP备2023020795号-1
ghs 京公网安备 11010802042870号
Book学术文献互助
Book学术文献互助群
群 号:604180095
Book学术官方微信