肾嗜酸性空泡性肿瘤可有远处转移:一个组织分子病例研究。

IF 2.9 Q1 PATHOLOGY
Yang Liu, Luting Zhou, Xianwei Yang, Jing Xie, Fei Yuan, Haimin Xu, Chaofu Wang, Xiaoqun Yang
{"title":"肾嗜酸性空泡性肿瘤可有远处转移:一个组织分子病例研究。","authors":"Yang Liu, Luting Zhou, Xianwei Yang, Jing Xie, Fei Yuan, Haimin Xu, Chaofu Wang, Xiaoqun Yang","doi":"10.32074/1591-951X-1122","DOIUrl":null,"url":null,"abstract":"<p><p>Eosinophilic vacuolated tumor (EVT) is an emerging renal entity and further studies are required to characterize this neoplasm. EVT is considered generally indolent because metastasis or death from the disease has never been reported. Herein, we report the first case of EVT with mediastinal lymph node metastasis to validate its at least borderline behavior. Based on the morphological features, we additionally used a large panel of immunohistochemical antibodies and next-generation sequencing (NGS) to confirm the diagnosis of EVT and exclude other renal entities. This case report highlights the notion that EVT can exhibit mediastinal lymph node metastasis and patients with EVT need to be closely followed.</p>","PeriodicalId":45893,"journal":{"name":"PATHOLOGICA","volume":"117 2","pages":"162-164"},"PeriodicalIF":2.9000,"publicationDate":"2025-04-01","publicationTypes":"Journal Article","fieldsOfStudy":null,"isOpenAccess":false,"openAccessPdf":"https://www.ncbi.nlm.nih.gov/pmc/articles/PMC12142300/pdf/","citationCount":"0","resultStr":"{\"title\":\"Eosinophilic vacuolated tumor of the kidney can have distant metastasis: a histo-molecular case study.\",\"authors\":\"Yang Liu, Luting Zhou, Xianwei Yang, Jing Xie, Fei Yuan, Haimin Xu, Chaofu Wang, Xiaoqun Yang\",\"doi\":\"10.32074/1591-951X-1122\",\"DOIUrl\":null,\"url\":null,\"abstract\":\"<p><p>Eosinophilic vacuolated tumor (EVT) is an emerging renal entity and further studies are required to characterize this neoplasm. EVT is considered generally indolent because metastasis or death from the disease has never been reported. Herein, we report the first case of EVT with mediastinal lymph node metastasis to validate its at least borderline behavior. Based on the morphological features, we additionally used a large panel of immunohistochemical antibodies and next-generation sequencing (NGS) to confirm the diagnosis of EVT and exclude other renal entities. This case report highlights the notion that EVT can exhibit mediastinal lymph node metastasis and patients with EVT need to be closely followed.</p>\",\"PeriodicalId\":45893,\"journal\":{\"name\":\"PATHOLOGICA\",\"volume\":\"117 2\",\"pages\":\"162-164\"},\"PeriodicalIF\":2.9000,\"publicationDate\":\"2025-04-01\",\"publicationTypes\":\"Journal Article\",\"fieldsOfStudy\":null,\"isOpenAccess\":false,\"openAccessPdf\":\"https://www.ncbi.nlm.nih.gov/pmc/articles/PMC12142300/pdf/\",\"citationCount\":\"0\",\"resultStr\":null,\"platform\":\"Semanticscholar\",\"paperid\":null,\"PeriodicalName\":\"PATHOLOGICA\",\"FirstCategoryId\":\"1085\",\"ListUrlMain\":\"https://doi.org/10.32074/1591-951X-1122\",\"RegionNum\":0,\"RegionCategory\":null,\"ArticlePicture\":[],\"TitleCN\":null,\"AbstractTextCN\":null,\"PMCID\":null,\"EPubDate\":\"\",\"PubModel\":\"\",\"JCR\":\"Q1\",\"JCRName\":\"PATHOLOGY\",\"Score\":null,\"Total\":0}","platform":"Semanticscholar","paperid":null,"PeriodicalName":"PATHOLOGICA","FirstCategoryId":"1085","ListUrlMain":"https://doi.org/10.32074/1591-951X-1122","RegionNum":0,"RegionCategory":null,"ArticlePicture":[],"TitleCN":null,"AbstractTextCN":null,"PMCID":null,"EPubDate":"","PubModel":"","JCR":"Q1","JCRName":"PATHOLOGY","Score":null,"Total":0}
引用次数: 0

摘要

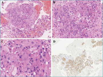
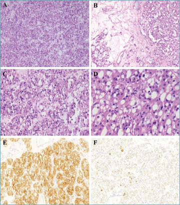
嗜酸性空泡性肿瘤(EVT)是一种新兴的肾脏实体,需要进一步的研究来确定这种肿瘤的特征。EVT通常被认为是惰性的,因为从未报道过该病的转移或死亡。在此,我们报告第一例EVT合并纵隔淋巴结转移,以验证其至少边缘性行为。基于形态学特征,我们还使用了大量免疫组织化学抗体和下一代测序(NGS)来确认EVT的诊断并排除其他肾脏实体。本病例报告强调了EVT可表现为纵隔淋巴结转移的概念,EVT患者需要密切随访。
本文章由计算机程序翻译,如有差异,请以英文原文为准。

Eosinophilic vacuolated tumor of the kidney can have distant metastasis: a histo-molecular case study.

Eosinophilic vacuolated tumor of the kidney can have distant metastasis: a histo-molecular case study.

Eosinophilic vacuolated tumor of the kidney can have distant metastasis: a histo-molecular case study.

Eosinophilic vacuolated tumor (EVT) is an emerging renal entity and further studies are required to characterize this neoplasm. EVT is considered generally indolent because metastasis or death from the disease has never been reported. Herein, we report the first case of EVT with mediastinal lymph node metastasis to validate its at least borderline behavior. Based on the morphological features, we additionally used a large panel of immunohistochemical antibodies and next-generation sequencing (NGS) to confirm the diagnosis of EVT and exclude other renal entities. This case report highlights the notion that EVT can exhibit mediastinal lymph node metastasis and patients with EVT need to be closely followed.

求助全文
通过发布文献求助,成功后即可免费获取论文全文。 去求助
来源期刊
PATHOLOGICA
PATHOLOGICA PATHOLOGY-
CiteScore
5.90
自引率
5.70%
发文量
108
×
引用
GB/T 7714-2015
复制
MLA
复制
APA
复制
导出至
BibTeX EndNote RefMan NoteFirst NoteExpress
×
提示
您的信息不完整,为了账户安全,请先补充。
现在去补充
×
提示
您因"违规操作"
具体请查看互助需知
我知道了
×
提示
确定
请完成安全验证×
copy
已复制链接
快去分享给好友吧!
我知道了
右上角分享
点击右上角分享
0
联系我们:info@booksci.cn Book学术提供免费学术资源搜索服务,方便国内外学者检索中英文文献。致力于提供最便捷和优质的服务体验。 Copyright © 2023 布克学术 All rights reserved.
京ICP备2023020795号-1
ghs 京公网安备 11010802042870号
Book学术文献互助
Book学术文献互助群
群 号:604180095
Book学术官方微信