一个棘手的鼻息肉。

IF 2.9 Q1 PATHOLOGY
PATHOLOGICA Pub Date : 2025-04-01 DOI:10.32074/1591-951X-783
Federica Filipello, Daniela Finocchiaro, Alessandro Vinciguerra, Sara Racca, Claudio Doglioni, Federica Pedica
{"title":"一个棘手的鼻息肉。","authors":"Federica Filipello, Daniela Finocchiaro, Alessandro Vinciguerra, Sara Racca, Claudio Doglioni, Federica Pedica","doi":"10.32074/1591-951X-783","DOIUrl":null,"url":null,"abstract":"<p><p>Leishmaniasis is an infectious disease caused by a protozoon of the genus Leishmania. It can manifest as cutaneous, mucosal, localized lymphadenitis forms or it can result as multiorgan involvement. In this article we present the case of a 59-year-old male with a polypoid mass attached to the septum at the right nasal cavity and symptoms as nasal congestion, hyposmia and anterior rhinorrhea. Histological sections of the mass showed oval-shaped inclusions in the cytoplasm of histiocytes suspicious for Leishmania amastigotes. The diagnosis was confirmed by detection of Leishmania complex DNA with polymerase chain reaction (PCR).</p>","PeriodicalId":45893,"journal":{"name":"PATHOLOGICA","volume":"117 2","pages":"153-155"},"PeriodicalIF":2.9000,"publicationDate":"2025-04-01","publicationTypes":"Journal Article","fieldsOfStudy":null,"isOpenAccess":false,"openAccessPdf":"https://www.ncbi.nlm.nih.gov/pmc/articles/PMC12142294/pdf/","citationCount":"0","resultStr":"{\"title\":\"A tricky nasal polyp.\",\"authors\":\"Federica Filipello, Daniela Finocchiaro, Alessandro Vinciguerra, Sara Racca, Claudio Doglioni, Federica Pedica\",\"doi\":\"10.32074/1591-951X-783\",\"DOIUrl\":null,\"url\":null,\"abstract\":\"<p><p>Leishmaniasis is an infectious disease caused by a protozoon of the genus Leishmania. It can manifest as cutaneous, mucosal, localized lymphadenitis forms or it can result as multiorgan involvement. In this article we present the case of a 59-year-old male with a polypoid mass attached to the septum at the right nasal cavity and symptoms as nasal congestion, hyposmia and anterior rhinorrhea. Histological sections of the mass showed oval-shaped inclusions in the cytoplasm of histiocytes suspicious for Leishmania amastigotes. The diagnosis was confirmed by detection of Leishmania complex DNA with polymerase chain reaction (PCR).</p>\",\"PeriodicalId\":45893,\"journal\":{\"name\":\"PATHOLOGICA\",\"volume\":\"117 2\",\"pages\":\"153-155\"},\"PeriodicalIF\":2.9000,\"publicationDate\":\"2025-04-01\",\"publicationTypes\":\"Journal Article\",\"fieldsOfStudy\":null,\"isOpenAccess\":false,\"openAccessPdf\":\"https://www.ncbi.nlm.nih.gov/pmc/articles/PMC12142294/pdf/\",\"citationCount\":\"0\",\"resultStr\":null,\"platform\":\"Semanticscholar\",\"paperid\":null,\"PeriodicalName\":\"PATHOLOGICA\",\"FirstCategoryId\":\"1085\",\"ListUrlMain\":\"https://doi.org/10.32074/1591-951X-783\",\"RegionNum\":0,\"RegionCategory\":null,\"ArticlePicture\":[],\"TitleCN\":null,\"AbstractTextCN\":null,\"PMCID\":null,\"EPubDate\":\"\",\"PubModel\":\"\",\"JCR\":\"Q1\",\"JCRName\":\"PATHOLOGY\",\"Score\":null,\"Total\":0}","platform":"Semanticscholar","paperid":null,"PeriodicalName":"PATHOLOGICA","FirstCategoryId":"1085","ListUrlMain":"https://doi.org/10.32074/1591-951X-783","RegionNum":0,"RegionCategory":null,"ArticlePicture":[],"TitleCN":null,"AbstractTextCN":null,"PMCID":null,"EPubDate":"","PubModel":"","JCR":"Q1","JCRName":"PATHOLOGY","Score":null,"Total":0}
引用次数: 0

摘要

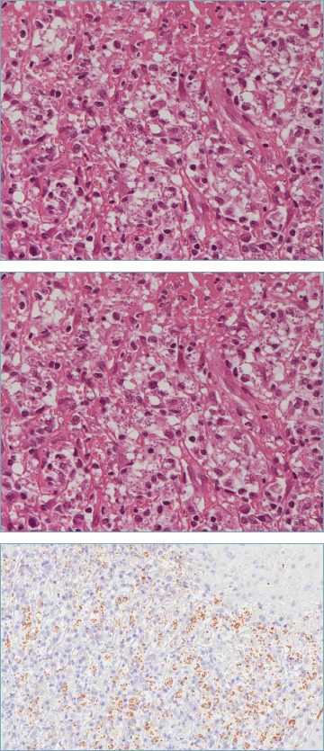
利什曼病是一种由利什曼属原虫引起的传染病。它可以表现为皮肤、粘膜、局部淋巴结炎形式,也可以导致多器官受累。在这篇文章中,我们提出一个59岁的男性病例,息肉样肿块附着在右鼻腔的鼻中隔,症状为鼻塞,低鼻血和前鼻漏。肿块的组织学切片显示,组织细胞的细胞质中有椭圆形的包涵体,怀疑为利什曼原虫。采用聚合酶链反应(PCR)检测利什曼原虫复合体DNA,证实诊断。
本文章由计算机程序翻译,如有差异,请以英文原文为准。

A tricky nasal polyp.

A tricky nasal polyp.

Leishmaniasis is an infectious disease caused by a protozoon of the genus Leishmania. It can manifest as cutaneous, mucosal, localized lymphadenitis forms or it can result as multiorgan involvement. In this article we present the case of a 59-year-old male with a polypoid mass attached to the septum at the right nasal cavity and symptoms as nasal congestion, hyposmia and anterior rhinorrhea. Histological sections of the mass showed oval-shaped inclusions in the cytoplasm of histiocytes suspicious for Leishmania amastigotes. The diagnosis was confirmed by detection of Leishmania complex DNA with polymerase chain reaction (PCR).

求助全文
通过发布文献求助,成功后即可免费获取论文全文。 去求助
来源期刊
PATHOLOGICA
PATHOLOGICA PATHOLOGY-
CiteScore
5.90
自引率
5.70%
发文量
108
×
引用
GB/T 7714-2015
复制
MLA
复制
APA
复制
导出至
BibTeX EndNote RefMan NoteFirst NoteExpress
×
提示
您的信息不完整,为了账户安全,请先补充。
现在去补充
×
提示
您因"违规操作"
具体请查看互助需知
我知道了
×
提示
确定
请完成安全验证×
copy
已复制链接
快去分享给好友吧!
我知道了
右上角分享
点击右上角分享
0
联系我们:info@booksci.cn Book学术提供免费学术资源搜索服务,方便国内外学者检索中英文文献。致力于提供最便捷和优质的服务体验。 Copyright © 2023 布克学术 All rights reserved.
京ICP备2023020795号-1
ghs 京公网安备 11010802042870号
Book学术文献互助
Book学术文献互助群
群 号:604180095
Book学术官方微信