阿布替尼成功治疗脂质坏死性坏死1例。

IF 0.8 Q4 DERMATOLOGY
Case Reports in Dermatology Pub Date : 2025-04-26 eCollection Date: 2025-01-01 DOI:10.1159/000546134
Yuping Zhang, Yirong Li, Fengjiao Meng, Chen Li
{"title":"阿布替尼成功治疗脂质坏死性坏死1例。","authors":"Yuping Zhang, Yirong Li, Fengjiao Meng, Chen Li","doi":"10.1159/000546134","DOIUrl":null,"url":null,"abstract":"<p><strong>Introduction: </strong>Necrobiosis lipoidica (NL) is a rare granulomatous disease with no standardized treatment guidelines.</p><p><strong>Case presentation: </strong>We present a case of a patient who experienced ulcerative NL of the left leg for 5 years, during which traditional treatments proved ineffective. The patient was administered oral abrocitinib at a dosage of 100 mg per day. After 2 weeks of treatment, the patient's skin lesions ceased exuding and began to show improvement. By the 10-week mark, the patient's symptoms had significantly improved, with the ulcer healing and no new lesions appearing. No adverse events were reported during the 4-month follow-up period.</p><p><strong>Conclusion: </strong>Abrocitinib may represent a rapid and safe treatment option for patients with refractory localized NL. Further studies are warranted to confirm these findings and evaluate long-term efficacy.</p>","PeriodicalId":9619,"journal":{"name":"Case Reports in Dermatology","volume":"17 1","pages":"181-184"},"PeriodicalIF":0.8000,"publicationDate":"2025-04-26","publicationTypes":"Journal Article","fieldsOfStudy":null,"isOpenAccess":false,"openAccessPdf":"https://www.ncbi.nlm.nih.gov/pmc/articles/PMC12140610/pdf/","citationCount":"0","resultStr":"{\"title\":\"Successful Treatment of Necrobiosis Lipoidica with Abrocitinib: A Case Report.\",\"authors\":\"Yuping Zhang, Yirong Li, Fengjiao Meng, Chen Li\",\"doi\":\"10.1159/000546134\",\"DOIUrl\":null,\"url\":null,\"abstract\":\"<p><strong>Introduction: </strong>Necrobiosis lipoidica (NL) is a rare granulomatous disease with no standardized treatment guidelines.</p><p><strong>Case presentation: </strong>We present a case of a patient who experienced ulcerative NL of the left leg for 5 years, during which traditional treatments proved ineffective. The patient was administered oral abrocitinib at a dosage of 100 mg per day. After 2 weeks of treatment, the patient's skin lesions ceased exuding and began to show improvement. By the 10-week mark, the patient's symptoms had significantly improved, with the ulcer healing and no new lesions appearing. No adverse events were reported during the 4-month follow-up period.</p><p><strong>Conclusion: </strong>Abrocitinib may represent a rapid and safe treatment option for patients with refractory localized NL. Further studies are warranted to confirm these findings and evaluate long-term efficacy.</p>\",\"PeriodicalId\":9619,\"journal\":{\"name\":\"Case Reports in Dermatology\",\"volume\":\"17 1\",\"pages\":\"181-184\"},\"PeriodicalIF\":0.8000,\"publicationDate\":\"2025-04-26\",\"publicationTypes\":\"Journal Article\",\"fieldsOfStudy\":null,\"isOpenAccess\":false,\"openAccessPdf\":\"https://www.ncbi.nlm.nih.gov/pmc/articles/PMC12140610/pdf/\",\"citationCount\":\"0\",\"resultStr\":null,\"platform\":\"Semanticscholar\",\"paperid\":null,\"PeriodicalName\":\"Case Reports in Dermatology\",\"FirstCategoryId\":\"1085\",\"ListUrlMain\":\"https://doi.org/10.1159/000546134\",\"RegionNum\":0,\"RegionCategory\":null,\"ArticlePicture\":[],\"TitleCN\":null,\"AbstractTextCN\":null,\"PMCID\":null,\"EPubDate\":\"2025/1/1 0:00:00\",\"PubModel\":\"eCollection\",\"JCR\":\"Q4\",\"JCRName\":\"DERMATOLOGY\",\"Score\":null,\"Total\":0}","platform":"Semanticscholar","paperid":null,"PeriodicalName":"Case Reports in Dermatology","FirstCategoryId":"1085","ListUrlMain":"https://doi.org/10.1159/000546134","RegionNum":0,"RegionCategory":null,"ArticlePicture":[],"TitleCN":null,"AbstractTextCN":null,"PMCID":null,"EPubDate":"2025/1/1 0:00:00","PubModel":"eCollection","JCR":"Q4","JCRName":"DERMATOLOGY","Score":null,"Total":0}
引用次数: 0

摘要

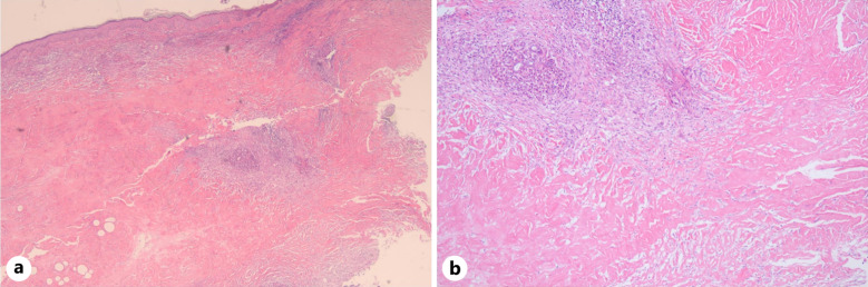
简介:脂质坏死性肉芽肿(NL)是一种罕见的肉芽肿性疾病,目前尚无标准化的治疗指南。病例介绍:我们报告了一例左腿溃疡性NL患者,经历了5年,在此期间传统治疗无效。患者口服阿布昔替尼,剂量为100mg /天。治疗2周后,患者皮肤病变停止渗出,开始好转。10周后,患者的症状明显改善,溃疡愈合,没有出现新的病变。4个月随访期间无不良事件发生。结论:对于难治性局部NL患者,Abrocitinib可能是一种快速、安全的治疗选择。需要进一步的研究来证实这些发现并评估长期疗效。
本文章由计算机程序翻译,如有差异,请以英文原文为准。

Successful Treatment of Necrobiosis Lipoidica with Abrocitinib: A Case Report.

Successful Treatment of Necrobiosis Lipoidica with Abrocitinib: A Case Report.

Successful Treatment of Necrobiosis Lipoidica with Abrocitinib: A Case Report.

Successful Treatment of Necrobiosis Lipoidica with Abrocitinib: A Case Report.

Introduction: Necrobiosis lipoidica (NL) is a rare granulomatous disease with no standardized treatment guidelines.

Case presentation: We present a case of a patient who experienced ulcerative NL of the left leg for 5 years, during which traditional treatments proved ineffective. The patient was administered oral abrocitinib at a dosage of 100 mg per day. After 2 weeks of treatment, the patient's skin lesions ceased exuding and began to show improvement. By the 10-week mark, the patient's symptoms had significantly improved, with the ulcer healing and no new lesions appearing. No adverse events were reported during the 4-month follow-up period.

Conclusion: Abrocitinib may represent a rapid and safe treatment option for patients with refractory localized NL. Further studies are warranted to confirm these findings and evaluate long-term efficacy.

求助全文
通过发布文献求助,成功后即可免费获取论文全文。 去求助
来源期刊
CiteScore
1.60
自引率
0.00%
发文量
57
审稿时长
9 weeks
×
引用
GB/T 7714-2015
复制
MLA
复制
APA
复制
导出至
BibTeX EndNote RefMan NoteFirst NoteExpress
×
提示
您的信息不完整,为了账户安全,请先补充。
现在去补充
×
提示
您因"违规操作"
具体请查看互助需知
我知道了
×
提示
确定
请完成安全验证×
copy
已复制链接
快去分享给好友吧!
我知道了
右上角分享
点击右上角分享
0
联系我们:info@booksci.cn Book学术提供免费学术资源搜索服务,方便国内外学者检索中英文文献。致力于提供最便捷和优质的服务体验。 Copyright © 2023 布克学术 All rights reserved.
京ICP备2023020795号-1
ghs 京公网安备 11010802042870号
Book学术文献互助
Book学术文献互助群
群 号:604180095
Book学术官方微信