支气管肺泡灌洗与经支气管肺活检诊断疑似肺部疾病的一致性:一项单中心研究

IF 3.1 4区 医学 Q2 PATHOLOGY
Cytojournal Pub Date : 2025-04-09 eCollection Date: 2025-01-01 DOI:10.25259/Cytojournal_205_2024
Komson Wannasai, Sarawut Kongkarnka, Nirush Lertprasertsuke, Phichayut Phinyo, Chindanai Namwong, Tanapol Yaowarat, Phurinut Suwatwiriyapong, Pongsapat Vacharothone, Sansern Chankasemporn, Wiyada Dankai, Sayanan Chowsilpa
{"title":"支气管肺泡灌洗与经支气管肺活检诊断疑似肺部疾病的一致性:一项单中心研究","authors":"Komson Wannasai, Sarawut Kongkarnka, Nirush Lertprasertsuke, Phichayut Phinyo, Chindanai Namwong, Tanapol Yaowarat, Phurinut Suwatwiriyapong, Pongsapat Vacharothone, Sansern Chankasemporn, Wiyada Dankai, Sayanan Chowsilpa","doi":"10.25259/Cytojournal_205_2024","DOIUrl":null,"url":null,"abstract":"<p><strong>Objective: </strong>This study investigates the diagnostic concordance between bronchoalveolar lavage (BAL) cytology and the histologic analysis of transbronchial lung biopsy (TBLB) specimens in patients with suspected pulmonary diseases to highlight the strengths and limitations of these complementary diagnostic tools.</p><p><strong>Material and methods: </strong>We conducted a comprehensive retrospective cross-sectional analysis on patients suspected of pulmonary diseases who underwent both BAL and TBLB from 2018 to 2022. We assessed diagnostic agreement using kappa statistics and calculated the overall concordance rates. The analysis was stratified based on malignant versus infectious etiologies to elucidate performance differences between the two methods.</p><p><strong>Results: </strong>Our study included a cohort of 189 patients, comprising 104 individuals with suspected malignancy and 85 with suspected infections. Among the malignancy group, BAL yielded positive results for cancer in 49 patients, whereas TBLB confirmed malignancy in 64 patients, demonstrating an overall agreement of 70.19% (kappa = 0.52, 95% confidence interval [CI]: 0.38-0.66). Conversely, within the infectious cohort, BAL identified micro-organisms in only five patients, while TBLB diagnosed infection in 22 patients, achieving an overall agreement of 77.65% (kappa = 0.29, 95% CI: 0.17-0.41).</p><p><strong>Conclusion: </strong>Our findings underscore the critical role of BAL cytology in the diagnosis of pulmonary carcinoma and infectious processes while also revealing its limitations in detecting interstitial lung diseases. The TBLB procedure emerges as an indispensable technique for accurate histopathological evaluation in lung cancer diagnostics. The integration of BAL and TBLB not only enhances diagnostic yield but also provides a more comprehensive understanding of pulmonary pathologies. Notably, we found moderate agreement between BAL and TBLB in neoplastic cases and fair agreement in non-neoplastic conditions, suggesting a nuanced interplay between these methodologies that could inform clinical practice and improve patient outcomes. This study advocates a combined approach in diagnostic frameworks to optimize the management of patients with suspected pulmonary diseases, paving the way for more precise and effective diagnoses in the field of cytology.</p>","PeriodicalId":49082,"journal":{"name":"Cytojournal","volume":"22 ","pages":"43"},"PeriodicalIF":3.1000,"publicationDate":"2025-04-09","publicationTypes":"Journal Article","fieldsOfStudy":null,"isOpenAccess":false,"openAccessPdf":"https://www.ncbi.nlm.nih.gov/pmc/articles/PMC12134853/pdf/","citationCount":"0","resultStr":"{\"title\":\"Diagnostic agreement between bronchoalveolar lavage and transbronchial lung biopsy in patients with suspected pulmonary diseases: A single-center study.\",\"authors\":\"Komson Wannasai, Sarawut Kongkarnka, Nirush Lertprasertsuke, Phichayut Phinyo, Chindanai Namwong, Tanapol Yaowarat, Phurinut Suwatwiriyapong, Pongsapat Vacharothone, Sansern Chankasemporn, Wiyada Dankai, Sayanan Chowsilpa\",\"doi\":\"10.25259/Cytojournal_205_2024\",\"DOIUrl\":null,\"url\":null,\"abstract\":\"<p><strong>Objective: </strong>This study investigates the diagnostic concordance between bronchoalveolar lavage (BAL) cytology and the histologic analysis of transbronchial lung biopsy (TBLB) specimens in patients with suspected pulmonary diseases to highlight the strengths and limitations of these complementary diagnostic tools.</p><p><strong>Material and methods: </strong>We conducted a comprehensive retrospective cross-sectional analysis on patients suspected of pulmonary diseases who underwent both BAL and TBLB from 2018 to 2022. We assessed diagnostic agreement using kappa statistics and calculated the overall concordance rates. The analysis was stratified based on malignant versus infectious etiologies to elucidate performance differences between the two methods.</p><p><strong>Results: </strong>Our study included a cohort of 189 patients, comprising 104 individuals with suspected malignancy and 85 with suspected infections. Among the malignancy group, BAL yielded positive results for cancer in 49 patients, whereas TBLB confirmed malignancy in 64 patients, demonstrating an overall agreement of 70.19% (kappa = 0.52, 95% confidence interval [CI]: 0.38-0.66). Conversely, within the infectious cohort, BAL identified micro-organisms in only five patients, while TBLB diagnosed infection in 22 patients, achieving an overall agreement of 77.65% (kappa = 0.29, 95% CI: 0.17-0.41).</p><p><strong>Conclusion: </strong>Our findings underscore the critical role of BAL cytology in the diagnosis of pulmonary carcinoma and infectious processes while also revealing its limitations in detecting interstitial lung diseases. The TBLB procedure emerges as an indispensable technique for accurate histopathological evaluation in lung cancer diagnostics. The integration of BAL and TBLB not only enhances diagnostic yield but also provides a more comprehensive understanding of pulmonary pathologies. Notably, we found moderate agreement between BAL and TBLB in neoplastic cases and fair agreement in non-neoplastic conditions, suggesting a nuanced interplay between these methodologies that could inform clinical practice and improve patient outcomes. This study advocates a combined approach in diagnostic frameworks to optimize the management of patients with suspected pulmonary diseases, paving the way for more precise and effective diagnoses in the field of cytology.</p>\",\"PeriodicalId\":49082,\"journal\":{\"name\":\"Cytojournal\",\"volume\":\"22 \",\"pages\":\"43\"},\"PeriodicalIF\":3.1000,\"publicationDate\":\"2025-04-09\",\"publicationTypes\":\"Journal Article\",\"fieldsOfStudy\":null,\"isOpenAccess\":false,\"openAccessPdf\":\"https://www.ncbi.nlm.nih.gov/pmc/articles/PMC12134853/pdf/\",\"citationCount\":\"0\",\"resultStr\":null,\"platform\":\"Semanticscholar\",\"paperid\":null,\"PeriodicalName\":\"Cytojournal\",\"FirstCategoryId\":\"3\",\"ListUrlMain\":\"https://doi.org/10.25259/Cytojournal_205_2024\",\"RegionNum\":4,\"RegionCategory\":\"医学\",\"ArticlePicture\":[],\"TitleCN\":null,\"AbstractTextCN\":null,\"PMCID\":null,\"EPubDate\":\"2025/1/1 0:00:00\",\"PubModel\":\"eCollection\",\"JCR\":\"Q2\",\"JCRName\":\"PATHOLOGY\",\"Score\":null,\"Total\":0}","platform":"Semanticscholar","paperid":null,"PeriodicalName":"Cytojournal","FirstCategoryId":"3","ListUrlMain":"https://doi.org/10.25259/Cytojournal_205_2024","RegionNum":4,"RegionCategory":"医学","ArticlePicture":[],"TitleCN":null,"AbstractTextCN":null,"PMCID":null,"EPubDate":"2025/1/1 0:00:00","PubModel":"eCollection","JCR":"Q2","JCRName":"PATHOLOGY","Score":null,"Total":0}
引用次数: 0

摘要

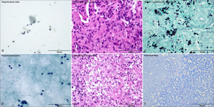
目的:本研究探讨支气管肺泡灌洗(BAL)细胞学与经支气管肺活检(TBLB)标本的组织学分析在疑似肺部疾病患者诊断中的一致性,以突出这两种互补诊断工具的优势和局限性。材料与方法:我们对2018 - 2022年同时行BAL和TBLB的疑似肺部疾病患者进行了全面的回顾性横断面分析。我们使用kappa统计评估诊断一致性并计算总体一致性率。分析是基于恶性和感染性病因分层,以阐明两种方法之间的性能差异。结果:我们的研究纳入了189例患者,其中104例疑似恶性肿瘤,85例疑似感染。在恶性肿瘤组中,BAL阳性49例,TBLB阳性64例,总体一致性为70.19% (kappa = 0.52, 95%可信区间[CI]: 0.38-0.66)。相反,在感染队列中,BAL仅鉴定出5例患者的微生物,而TBLB诊断出22例患者的感染,总体一致性为77.65% (kappa = 0.29, 95% CI: 0.17-0.41)。结论:我们的研究结果强调了BAL细胞学在诊断肺癌和感染过程中的关键作用,同时也揭示了其在检测间质性肺疾病方面的局限性。在肺癌诊断中,TBLB是一种准确的组织病理学评估不可或缺的技术。BAL和TBLB的结合不仅提高了诊断率,而且提供了对肺部病理更全面的认识。值得注意的是,我们发现BAL和TBLB在肿瘤病例中有一定程度的一致性,而在非肿瘤病例中有相当程度的一致性,这表明这些方法之间存在微妙的相互作用,可以为临床实践提供信息并改善患者预后。本研究提倡在诊断框架中采用综合方法来优化对疑似肺部疾病患者的管理,为细胞学领域更精确和有效的诊断铺平道路。
本文章由计算机程序翻译,如有差异,请以英文原文为准。

Diagnostic agreement between bronchoalveolar lavage and transbronchial lung biopsy in patients with suspected pulmonary diseases: A single-center study.

Diagnostic agreement between bronchoalveolar lavage and transbronchial lung biopsy in patients with suspected pulmonary diseases: A single-center study.

Diagnostic agreement between bronchoalveolar lavage and transbronchial lung biopsy in patients with suspected pulmonary diseases: A single-center study.

Objective: This study investigates the diagnostic concordance between bronchoalveolar lavage (BAL) cytology and the histologic analysis of transbronchial lung biopsy (TBLB) specimens in patients with suspected pulmonary diseases to highlight the strengths and limitations of these complementary diagnostic tools.

Material and methods: We conducted a comprehensive retrospective cross-sectional analysis on patients suspected of pulmonary diseases who underwent both BAL and TBLB from 2018 to 2022. We assessed diagnostic agreement using kappa statistics and calculated the overall concordance rates. The analysis was stratified based on malignant versus infectious etiologies to elucidate performance differences between the two methods.

Results: Our study included a cohort of 189 patients, comprising 104 individuals with suspected malignancy and 85 with suspected infections. Among the malignancy group, BAL yielded positive results for cancer in 49 patients, whereas TBLB confirmed malignancy in 64 patients, demonstrating an overall agreement of 70.19% (kappa = 0.52, 95% confidence interval [CI]: 0.38-0.66). Conversely, within the infectious cohort, BAL identified micro-organisms in only five patients, while TBLB diagnosed infection in 22 patients, achieving an overall agreement of 77.65% (kappa = 0.29, 95% CI: 0.17-0.41).

Conclusion: Our findings underscore the critical role of BAL cytology in the diagnosis of pulmonary carcinoma and infectious processes while also revealing its limitations in detecting interstitial lung diseases. The TBLB procedure emerges as an indispensable technique for accurate histopathological evaluation in lung cancer diagnostics. The integration of BAL and TBLB not only enhances diagnostic yield but also provides a more comprehensive understanding of pulmonary pathologies. Notably, we found moderate agreement between BAL and TBLB in neoplastic cases and fair agreement in non-neoplastic conditions, suggesting a nuanced interplay between these methodologies that could inform clinical practice and improve patient outcomes. This study advocates a combined approach in diagnostic frameworks to optimize the management of patients with suspected pulmonary diseases, paving the way for more precise and effective diagnoses in the field of cytology.

求助全文
通过发布文献求助,成功后即可免费获取论文全文。 去求助
来源期刊
Cytojournal
Cytojournal PATHOLOGY-
CiteScore
2.20
自引率
42.10%
发文量
56
审稿时长
>12 weeks
期刊介绍: The CytoJournal is an open-access peer-reviewed journal committed to publishing high-quality articles in the field of Diagnostic Cytopathology including Molecular aspects. The journal is owned by the Cytopathology Foundation and published by the Scientific Scholar.
×
引用
GB/T 7714-2015
复制
MLA
复制
APA
复制
导出至
BibTeX EndNote RefMan NoteFirst NoteExpress
×
提示
您的信息不完整,为了账户安全,请先补充。
现在去补充
×
提示
您因"违规操作"
具体请查看互助需知
我知道了
×
提示
确定
请完成安全验证×
copy
已复制链接
快去分享给好友吧!
我知道了
右上角分享
点击右上角分享
0
联系我们:info@booksci.cn Book学术提供免费学术资源搜索服务,方便国内外学者检索中英文文献。致力于提供最便捷和优质的服务体验。 Copyright © 2023 布克学术 All rights reserved.
京ICP备2023020795号-1
ghs 京公网安备 11010802042870号
Book学术文献互助
Book学术文献互助群
群 号:604180095
Book学术官方微信