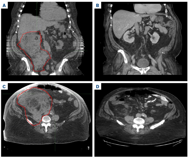
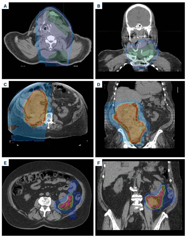
放射治疗治疗多发性骨髓瘤嵌合抗原受体t细胞治疗后孤立复发。

IF 7.9 1区 医学 Q1 HEMATOLOGY
Haematologica Pub Date : 2025-10-01 Epub Date: 2025-06-05 DOI:10.3324/haematol.2025.287358
Surbhi Srinivas, Lin L Zhu, Noopur Raje, Chirayu G Patel
{"title":"放射治疗治疗多发性骨髓瘤嵌合抗原受体t细胞治疗后孤立复发。","authors":"Surbhi Srinivas, Lin L Zhu, Noopur Raje, Chirayu G Patel","doi":"10.3324/haematol.2025.287358","DOIUrl":null,"url":null,"abstract":"","PeriodicalId":12964,"journal":{"name":"Haematologica","volume":" ","pages":"2543-2547"},"PeriodicalIF":7.9000,"publicationDate":"2025-10-01","publicationTypes":"Journal Article","fieldsOfStudy":null,"isOpenAccess":false,"openAccessPdf":"https://www.ncbi.nlm.nih.gov/pmc/articles/PMC12485353/pdf/","citationCount":"0","resultStr":"{\"title\":\"Radiation therapy to manage isolated relapse after chimeric antigen receptor T-cell therapy in multiple myeloma.\",\"authors\":\"Surbhi Srinivas, Lin L Zhu, Noopur Raje, Chirayu G Patel\",\"doi\":\"10.3324/haematol.2025.287358\",\"DOIUrl\":null,\"url\":null,\"abstract\":\"\",\"PeriodicalId\":12964,\"journal\":{\"name\":\"Haematologica\",\"volume\":\" \",\"pages\":\"2543-2547\"},\"PeriodicalIF\":7.9000,\"publicationDate\":\"2025-10-01\",\"publicationTypes\":\"Journal Article\",\"fieldsOfStudy\":null,\"isOpenAccess\":false,\"openAccessPdf\":\"https://www.ncbi.nlm.nih.gov/pmc/articles/PMC12485353/pdf/\",\"citationCount\":\"0\",\"resultStr\":null,\"platform\":\"Semanticscholar\",\"paperid\":null,\"PeriodicalName\":\"Haematologica\",\"FirstCategoryId\":\"3\",\"ListUrlMain\":\"https://doi.org/10.3324/haematol.2025.287358\",\"RegionNum\":1,\"RegionCategory\":\"医学\",\"ArticlePicture\":[],\"TitleCN\":null,\"AbstractTextCN\":null,\"PMCID\":null,\"EPubDate\":\"2025/6/5 0:00:00\",\"PubModel\":\"Epub\",\"JCR\":\"Q1\",\"JCRName\":\"HEMATOLOGY\",\"Score\":null,\"Total\":0}","platform":"Semanticscholar","paperid":null,"PeriodicalName":"Haematologica","FirstCategoryId":"3","ListUrlMain":"https://doi.org/10.3324/haematol.2025.287358","RegionNum":1,"RegionCategory":"医学","ArticlePicture":[],"TitleCN":null,"AbstractTextCN":null,"PMCID":null,"EPubDate":"2025/6/5 0:00:00","PubModel":"Epub","JCR":"Q1","JCRName":"HEMATOLOGY","Score":null,"Total":0}
引用次数: 0

摘要

不可用。
本文章由计算机程序翻译,如有差异,请以英文原文为准。

Radiation therapy to manage isolated relapse after chimeric antigen receptor T-cell therapy in multiple myeloma.

Radiation therapy to manage isolated relapse after chimeric antigen receptor T-cell therapy in multiple myeloma.

Radiation therapy to manage isolated relapse after chimeric antigen receptor T-cell therapy in multiple myeloma.

Radiation therapy to manage isolated relapse after chimeric antigen receptor T-cell therapy in multiple myeloma.
求助全文
通过发布文献求助,成功后即可免费获取论文全文。 去求助
来源期刊
Haematologica
Haematologica 医学-血液学
CiteScore
14.10
自引率
2.00%
发文量
349
审稿时长
3-6 weeks
期刊介绍: Haematologica is a journal that publishes articles within the broad field of hematology. It reports on novel findings in basic, clinical, and translational research. Scope: The scope of the journal includes reporting novel research results that: Have a significant impact on understanding normal hematology or the development of hematological diseases. Are likely to bring important changes to the diagnosis or treatment of hematological diseases.
×
引用
GB/T 7714-2015
复制
MLA
复制
APA
复制
导出至
BibTeX EndNote RefMan NoteFirst NoteExpress
×
提示
您的信息不完整,为了账户安全,请先补充。
现在去补充
×
提示
您因"违规操作"
具体请查看互助需知
我知道了
×
提示
确定
请完成安全验证×
copy
已复制链接
快去分享给好友吧!
我知道了
右上角分享
点击右上角分享
0
联系我们:info@booksci.cn Book学术提供免费学术资源搜索服务,方便国内外学者检索中英文文献。致力于提供最便捷和优质的服务体验。 Copyright © 2023 布克学术 All rights reserved.
京ICP备2023020795号-1
ghs 京公网安备 11010802042870号
Book学术文献互助
Book学术文献互助群
群 号:604180095
Book学术官方微信