骨骼肌减少症对消化性溃疡出血临床结果的影响:韩国回顾性单中心分析。

IF 2.3 Q3 GASTROENTEROLOGY & HEPATOLOGY
Clinical Endoscopy Pub Date : 2025-05-01 Epub Date: 2025-01-21 DOI:10.5946/ce.2024.209
Ji Hoon Yu, Hyun Tak Lee, Seok Ki Jang, Ah Young Lee, Jun-Young Seo
{"title":"骨骼肌减少症对消化性溃疡出血临床结果的影响:韩国回顾性单中心分析。","authors":"Ji Hoon Yu, Hyun Tak Lee, Seok Ki Jang, Ah Young Lee, Jun-Young Seo","doi":"10.5946/ce.2024.209","DOIUrl":null,"url":null,"abstract":"<p><strong>Background/aims: </strong>Peptic ulcer bleeding (PUB) is a major cause of nonvariceal gastrointestinal bleeding. As the older population increases, the prevalence of sarcopenia is also growing. Although sarcopenia influences the prognosis of various diseases, its association with clinical outcomes of PUB remains unknown. Therefore, this study aimed to explore this correlation.</p><p><strong>Methods: </strong>We retrospectively analyzed 2,050 patients who underwent esophagogastroduodenoscopy for suspected gastrointestinal bleeding between January 2014 and December 2021. Patients who underwent computed tomography scans were included for sarcopenia evaluation based on the psoas muscle index, defined as the total psoas area normalized by the square of the height of the patient. Sarcopenia was defined using specific cutoffs: ≤7.3 cm2/m2 and ≤5.1 cm2/m2 for men and women, respectively. The primary outcome measured was the 30-day mortality rate.</p><p><strong>Results: </strong>Out of 358 patients, 149 were diagnosed with sarcopenia. The 30-day mortality rate was significantly higher in patients with sarcopenia than in those without. Multivariate regression analysis revealed significant associations between sarcopenia, a high age, blood tests, and comorbidity score, and administration of inotropic agents with 30-day mortality.</p><p><strong>Conclusions: </strong>Our study showed that the presence of sarcopenia, elevated comorbidity scores, and use of inotropes were associated with higher 30-day mortality rates. Considering that sarcopenia may influence the clinical outcomes in patients with PUB, it is crucial to manage patients with sarcopenia with particular care.</p>","PeriodicalId":10351,"journal":{"name":"Clinical Endoscopy","volume":"58 3","pages":"425-437"},"PeriodicalIF":2.3000,"publicationDate":"2025-05-01","publicationTypes":"Journal Article","fieldsOfStudy":null,"isOpenAccess":false,"openAccessPdf":"https://www.ncbi.nlm.nih.gov/pmc/articles/PMC12138361/pdf/","citationCount":"0","resultStr":"{\"title\":\"Influence of sarcopenia on clinical outcomes in peptic ulcer bleeding: a retrospective single-center analysis in Korea.\",\"authors\":\"Ji Hoon Yu, Hyun Tak Lee, Seok Ki Jang, Ah Young Lee, Jun-Young Seo\",\"doi\":\"10.5946/ce.2024.209\",\"DOIUrl\":null,\"url\":null,\"abstract\":\"<p><strong>Background/aims: </strong>Peptic ulcer bleeding (PUB) is a major cause of nonvariceal gastrointestinal bleeding. As the older population increases, the prevalence of sarcopenia is also growing. Although sarcopenia influences the prognosis of various diseases, its association with clinical outcomes of PUB remains unknown. Therefore, this study aimed to explore this correlation.</p><p><strong>Methods: </strong>We retrospectively analyzed 2,050 patients who underwent esophagogastroduodenoscopy for suspected gastrointestinal bleeding between January 2014 and December 2021. Patients who underwent computed tomography scans were included for sarcopenia evaluation based on the psoas muscle index, defined as the total psoas area normalized by the square of the height of the patient. Sarcopenia was defined using specific cutoffs: ≤7.3 cm2/m2 and ≤5.1 cm2/m2 for men and women, respectively. The primary outcome measured was the 30-day mortality rate.</p><p><strong>Results: </strong>Out of 358 patients, 149 were diagnosed with sarcopenia. The 30-day mortality rate was significantly higher in patients with sarcopenia than in those without. Multivariate regression analysis revealed significant associations between sarcopenia, a high age, blood tests, and comorbidity score, and administration of inotropic agents with 30-day mortality.</p><p><strong>Conclusions: </strong>Our study showed that the presence of sarcopenia, elevated comorbidity scores, and use of inotropes were associated with higher 30-day mortality rates. Considering that sarcopenia may influence the clinical outcomes in patients with PUB, it is crucial to manage patients with sarcopenia with particular care.</p>\",\"PeriodicalId\":10351,\"journal\":{\"name\":\"Clinical Endoscopy\",\"volume\":\"58 3\",\"pages\":\"425-437\"},\"PeriodicalIF\":2.3000,\"publicationDate\":\"2025-05-01\",\"publicationTypes\":\"Journal Article\",\"fieldsOfStudy\":null,\"isOpenAccess\":false,\"openAccessPdf\":\"https://www.ncbi.nlm.nih.gov/pmc/articles/PMC12138361/pdf/\",\"citationCount\":\"0\",\"resultStr\":null,\"platform\":\"Semanticscholar\",\"paperid\":null,\"PeriodicalName\":\"Clinical Endoscopy\",\"FirstCategoryId\":\"1085\",\"ListUrlMain\":\"https://doi.org/10.5946/ce.2024.209\",\"RegionNum\":0,\"RegionCategory\":null,\"ArticlePicture\":[],\"TitleCN\":null,\"AbstractTextCN\":null,\"PMCID\":null,\"EPubDate\":\"2025/1/21 0:00:00\",\"PubModel\":\"Epub\",\"JCR\":\"Q3\",\"JCRName\":\"GASTROENTEROLOGY & HEPATOLOGY\",\"Score\":null,\"Total\":0}","platform":"Semanticscholar","paperid":null,"PeriodicalName":"Clinical Endoscopy","FirstCategoryId":"1085","ListUrlMain":"https://doi.org/10.5946/ce.2024.209","RegionNum":0,"RegionCategory":null,"ArticlePicture":[],"TitleCN":null,"AbstractTextCN":null,"PMCID":null,"EPubDate":"2025/1/21 0:00:00","PubModel":"Epub","JCR":"Q3","JCRName":"GASTROENTEROLOGY & HEPATOLOGY","Score":null,"Total":0}
引用次数: 0

摘要

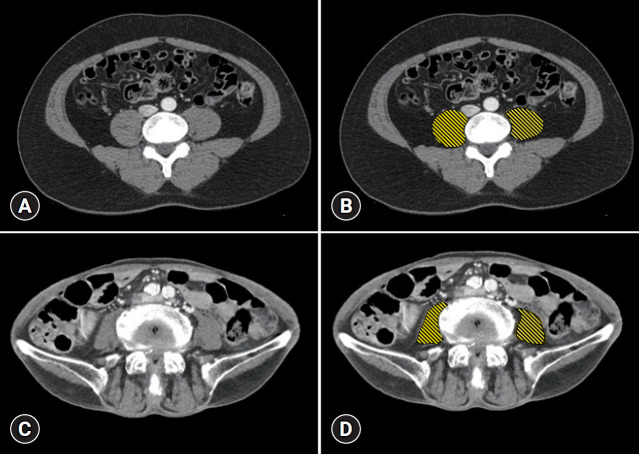
背景/目的:消化性溃疡出血(PUB)是非静脉曲张性胃肠道出血的主要原因。随着老年人口的增加,肌肉减少症的患病率也在上升。尽管肌少症影响多种疾病的预后,但其与PUB临床结果的关系尚不清楚。因此,本研究旨在探讨这种相关性。方法:回顾性分析2014年1月至2021年12月期间因疑似胃肠道出血接受食管胃十二指肠镜检查的2050例患者。接受计算机断层扫描的患者根据腰肌指数进行肌肉减少症评估,腰肌指数定义为腰肌总面积经患者身高的平方归一化。肌少症的定义使用特定的截止值:男性和女性分别≤7.3 cm2/m2和≤5.1 cm2/m2。测量的主要结果是30天死亡率。结果:358例患者中,149例诊断为肌肉减少症。肌肉减少症患者的30天死亡率明显高于非肌肉减少症患者。多变量回归分析显示,肌肉减少症、高年龄、血液检查和合并症评分与肌力药物治疗与30天死亡率之间存在显著关联。结论:我们的研究表明,肌肉减少症的存在、升高的合并症评分和使用肌力药物与较高的30天死亡率相关。考虑到肌少症可能会影响PUB患者的临床结果,因此对肌少症患者进行特别护理是至关重要的。
本文章由计算机程序翻译,如有差异,请以英文原文为准。

Influence of sarcopenia on clinical outcomes in peptic ulcer bleeding: a retrospective single-center analysis in Korea.

Influence of sarcopenia on clinical outcomes in peptic ulcer bleeding: a retrospective single-center analysis in Korea.

Influence of sarcopenia on clinical outcomes in peptic ulcer bleeding: a retrospective single-center analysis in Korea.

Influence of sarcopenia on clinical outcomes in peptic ulcer bleeding: a retrospective single-center analysis in Korea.

Background/aims: Peptic ulcer bleeding (PUB) is a major cause of nonvariceal gastrointestinal bleeding. As the older population increases, the prevalence of sarcopenia is also growing. Although sarcopenia influences the prognosis of various diseases, its association with clinical outcomes of PUB remains unknown. Therefore, this study aimed to explore this correlation.

Methods: We retrospectively analyzed 2,050 patients who underwent esophagogastroduodenoscopy for suspected gastrointestinal bleeding between January 2014 and December 2021. Patients who underwent computed tomography scans were included for sarcopenia evaluation based on the psoas muscle index, defined as the total psoas area normalized by the square of the height of the patient. Sarcopenia was defined using specific cutoffs: ≤7.3 cm2/m2 and ≤5.1 cm2/m2 for men and women, respectively. The primary outcome measured was the 30-day mortality rate.

Results: Out of 358 patients, 149 were diagnosed with sarcopenia. The 30-day mortality rate was significantly higher in patients with sarcopenia than in those without. Multivariate regression analysis revealed significant associations between sarcopenia, a high age, blood tests, and comorbidity score, and administration of inotropic agents with 30-day mortality.

Conclusions: Our study showed that the presence of sarcopenia, elevated comorbidity scores, and use of inotropes were associated with higher 30-day mortality rates. Considering that sarcopenia may influence the clinical outcomes in patients with PUB, it is crucial to manage patients with sarcopenia with particular care.

求助全文
通过发布文献求助,成功后即可免费获取论文全文。 去求助
来源期刊
Clinical Endoscopy
Clinical Endoscopy GASTROENTEROLOGY & HEPATOLOGY-
CiteScore
4.40
自引率
8.00%
发文量
95
审稿时长
26 weeks
×
引用
GB/T 7714-2015
复制
MLA
复制
APA
复制
导出至
BibTeX EndNote RefMan NoteFirst NoteExpress
×
提示
您的信息不完整,为了账户安全,请先补充。
现在去补充
×
提示
您因"违规操作"
具体请查看互助需知
我知道了
×
提示
确定
请完成安全验证×
copy
已复制链接
快去分享给好友吧!
我知道了
右上角分享
点击右上角分享
0
联系我们:info@booksci.cn Book学术提供免费学术资源搜索服务,方便国内外学者检索中英文文献。致力于提供最便捷和优质的服务体验。 Copyright © 2023 布克学术 All rights reserved.
京ICP备2023020795号-1
ghs 京公网安备 11010802042870号
Book学术文献互助
Book学术文献互助群
群 号:604180095
Book学术官方微信