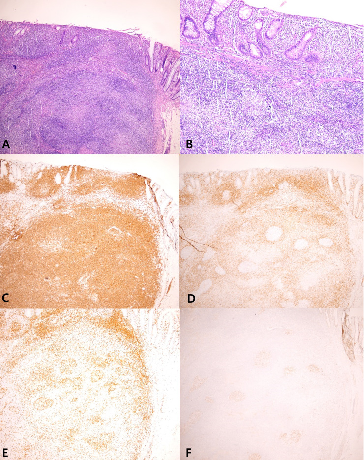
12毫米大小的直肠上皮下肿瘤:不常见,但你必须知道。

IF 2.3 Q3 GASTROENTEROLOGY & HEPATOLOGY
Clinical Endoscopy Pub Date : 2025-05-01 Epub Date: 2025-04-30 DOI:10.5946/ce.2025.068
Seong-Jung Kim, Jun Lee
{"title":"12毫米大小的直肠上皮下肿瘤:不常见,但你必须知道。","authors":"Seong-Jung Kim, Jun Lee","doi":"10.5946/ce.2025.068","DOIUrl":null,"url":null,"abstract":"","PeriodicalId":10351,"journal":{"name":"Clinical Endoscopy","volume":"58 3","pages":"485-487"},"PeriodicalIF":2.3000,"publicationDate":"2025-05-01","publicationTypes":"Journal Article","fieldsOfStudy":null,"isOpenAccess":false,"openAccessPdf":"https://www.ncbi.nlm.nih.gov/pmc/articles/PMC12138364/pdf/","citationCount":"0","resultStr":"{\"title\":\"A 12 mm-sized rectal subepithelial tumor: uncommon, but one you must know.\",\"authors\":\"Seong-Jung Kim, Jun Lee\",\"doi\":\"10.5946/ce.2025.068\",\"DOIUrl\":null,\"url\":null,\"abstract\":\"\",\"PeriodicalId\":10351,\"journal\":{\"name\":\"Clinical Endoscopy\",\"volume\":\"58 3\",\"pages\":\"485-487\"},\"PeriodicalIF\":2.3000,\"publicationDate\":\"2025-05-01\",\"publicationTypes\":\"Journal Article\",\"fieldsOfStudy\":null,\"isOpenAccess\":false,\"openAccessPdf\":\"https://www.ncbi.nlm.nih.gov/pmc/articles/PMC12138364/pdf/\",\"citationCount\":\"0\",\"resultStr\":null,\"platform\":\"Semanticscholar\",\"paperid\":null,\"PeriodicalName\":\"Clinical Endoscopy\",\"FirstCategoryId\":\"1085\",\"ListUrlMain\":\"https://doi.org/10.5946/ce.2025.068\",\"RegionNum\":0,\"RegionCategory\":null,\"ArticlePicture\":[],\"TitleCN\":null,\"AbstractTextCN\":null,\"PMCID\":null,\"EPubDate\":\"2025/4/30 0:00:00\",\"PubModel\":\"Epub\",\"JCR\":\"Q3\",\"JCRName\":\"GASTROENTEROLOGY & HEPATOLOGY\",\"Score\":null,\"Total\":0}","platform":"Semanticscholar","paperid":null,"PeriodicalName":"Clinical Endoscopy","FirstCategoryId":"1085","ListUrlMain":"https://doi.org/10.5946/ce.2025.068","RegionNum":0,"RegionCategory":null,"ArticlePicture":[],"TitleCN":null,"AbstractTextCN":null,"PMCID":null,"EPubDate":"2025/4/30 0:00:00","PubModel":"Epub","JCR":"Q3","JCRName":"GASTROENTEROLOGY & HEPATOLOGY","Score":null,"Total":0}
引用次数: 0

摘要

本文章由计算机程序翻译,如有差异,请以英文原文为准。

A 12 mm-sized rectal subepithelial tumor: uncommon, but one you must know.

A 12 mm-sized rectal subepithelial tumor: uncommon, but one you must know.

A 12 mm-sized rectal subepithelial tumor: uncommon, but one you must know.
求助全文
通过发布文献求助,成功后即可免费获取论文全文。 去求助
来源期刊
Clinical Endoscopy
Clinical Endoscopy GASTROENTEROLOGY & HEPATOLOGY-
CiteScore
4.40
自引率
8.00%
发文量
95
审稿时长
26 weeks
×
引用
GB/T 7714-2015
复制
MLA
复制
APA
复制
导出至
BibTeX EndNote RefMan NoteFirst NoteExpress
×
提示
您的信息不完整,为了账户安全,请先补充。
现在去补充
×
提示
您因"违规操作"
具体请查看互助需知
我知道了
×
提示
确定
请完成安全验证×
copy
已复制链接
快去分享给好友吧!
我知道了
右上角分享
点击右上角分享
0
联系我们:info@booksci.cn Book学术提供免费学术资源搜索服务,方便国内外学者检索中英文文献。致力于提供最便捷和优质的服务体验。 Copyright © 2023 布克学术 All rights reserved.
京ICP备2023020795号-1
ghs 京公网安备 11010802042870号
Book学术文献互助
Book学术文献互助群
群 号:604180095
Book学术官方微信