儿童眼内肿块房水活检排除视网膜母细胞瘤。

IF 0.6 Q4 OPHTHALMOLOGY
Case Reports in Ophthalmology Pub Date : 2025-04-21 eCollection Date: 2025-01-01 DOI:10.1159/000545924
Andrew J Nelson, Susanna Park, Marvin D Nelson, Jesse L Berry
{"title":"儿童眼内肿块房水活检排除视网膜母细胞瘤。","authors":"Andrew J Nelson, Susanna Park, Marvin D Nelson, Jesse L Berry","doi":"10.1159/000545924","DOIUrl":null,"url":null,"abstract":"<p><strong>Introduction: </strong>Intraocular masses in children may present diagnostic dilemmas when clinical examination and imaging are insufficient to diagnose or exclude retinoblastoma. Furthermore, direct biopsy is contraindicated because of the risk of tumor seeding in retinoblastoma. Recent research has shown that aqueous humor biopsy is a safe method of obtaining cell-free DNA which can be used to diagnose retinoblastoma with high sensitivity and specificity, which provides a significant benefit in cases when the diagnosis is otherwise unclear.</p><p><strong>Case presentation: </strong>An 11-month-old female presented with poor visual behavior since birth and an intraocular mass in the left eye. Examination under anesthesia revealed a detached retina rolled into a stalk attached to the optic nerve in the right eye and a white retrolental mass with perfused vessels in the left eye. Magnetic resonance imaging demonstrated a heterogeneous mass filling the left globe with diffusion restriction and contract enhancement. Aqueous humor liquid biopsy was performed in both eyes with low DNA yield and no mutations associated with retinoblastoma were identified. The patient was observed with no interval change in examination for 6 months.</p><p><strong>Conclusion: </strong>Aqueous humor liquid biopsy can be used to exclude a diagnosis of retinoblastoma in cases of pediatric intraocular mass with uncertain diagnosis.</p>","PeriodicalId":9635,"journal":{"name":"Case Reports in Ophthalmology","volume":"16 1","pages":"366-371"},"PeriodicalIF":0.6000,"publicationDate":"2025-04-21","publicationTypes":"Journal Article","fieldsOfStudy":null,"isOpenAccess":false,"openAccessPdf":"https://www.ncbi.nlm.nih.gov/pmc/articles/PMC12136566/pdf/","citationCount":"0","resultStr":"{\"title\":\"Aqueous Humor Liquid Biopsy to Exclude Retinoblastoma for a Child with an Intraocular Mass.\",\"authors\":\"Andrew J Nelson, Susanna Park, Marvin D Nelson, Jesse L Berry\",\"doi\":\"10.1159/000545924\",\"DOIUrl\":null,\"url\":null,\"abstract\":\"<p><strong>Introduction: </strong>Intraocular masses in children may present diagnostic dilemmas when clinical examination and imaging are insufficient to diagnose or exclude retinoblastoma. Furthermore, direct biopsy is contraindicated because of the risk of tumor seeding in retinoblastoma. Recent research has shown that aqueous humor biopsy is a safe method of obtaining cell-free DNA which can be used to diagnose retinoblastoma with high sensitivity and specificity, which provides a significant benefit in cases when the diagnosis is otherwise unclear.</p><p><strong>Case presentation: </strong>An 11-month-old female presented with poor visual behavior since birth and an intraocular mass in the left eye. Examination under anesthesia revealed a detached retina rolled into a stalk attached to the optic nerve in the right eye and a white retrolental mass with perfused vessels in the left eye. Magnetic resonance imaging demonstrated a heterogeneous mass filling the left globe with diffusion restriction and contract enhancement. Aqueous humor liquid biopsy was performed in both eyes with low DNA yield and no mutations associated with retinoblastoma were identified. The patient was observed with no interval change in examination for 6 months.</p><p><strong>Conclusion: </strong>Aqueous humor liquid biopsy can be used to exclude a diagnosis of retinoblastoma in cases of pediatric intraocular mass with uncertain diagnosis.</p>\",\"PeriodicalId\":9635,\"journal\":{\"name\":\"Case Reports in Ophthalmology\",\"volume\":\"16 1\",\"pages\":\"366-371\"},\"PeriodicalIF\":0.6000,\"publicationDate\":\"2025-04-21\",\"publicationTypes\":\"Journal Article\",\"fieldsOfStudy\":null,\"isOpenAccess\":false,\"openAccessPdf\":\"https://www.ncbi.nlm.nih.gov/pmc/articles/PMC12136566/pdf/\",\"citationCount\":\"0\",\"resultStr\":null,\"platform\":\"Semanticscholar\",\"paperid\":null,\"PeriodicalName\":\"Case Reports in Ophthalmology\",\"FirstCategoryId\":\"1085\",\"ListUrlMain\":\"https://doi.org/10.1159/000545924\",\"RegionNum\":0,\"RegionCategory\":null,\"ArticlePicture\":[],\"TitleCN\":null,\"AbstractTextCN\":null,\"PMCID\":null,\"EPubDate\":\"2025/1/1 0:00:00\",\"PubModel\":\"eCollection\",\"JCR\":\"Q4\",\"JCRName\":\"OPHTHALMOLOGY\",\"Score\":null,\"Total\":0}","platform":"Semanticscholar","paperid":null,"PeriodicalName":"Case Reports in Ophthalmology","FirstCategoryId":"1085","ListUrlMain":"https://doi.org/10.1159/000545924","RegionNum":0,"RegionCategory":null,"ArticlePicture":[],"TitleCN":null,"AbstractTextCN":null,"PMCID":null,"EPubDate":"2025/1/1 0:00:00","PubModel":"eCollection","JCR":"Q4","JCRName":"OPHTHALMOLOGY","Score":null,"Total":0}
引用次数: 0

摘要

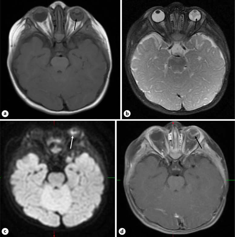
当临床检查和影像学不足以诊断或排除视网膜母细胞瘤时,儿童眼内肿块可能会出现诊断困境。此外,由于视网膜母细胞瘤存在肿瘤生长的风险,直接活检是禁忌的。最近的研究表明房水活检是一种获得无细胞DNA的安全方法,可用于诊断视网膜母细胞瘤,具有高灵敏度和特异性,这在诊断不明确的情况下提供了显着的益处。病例介绍:一名11个月大的女婴,自出生以来表现为视觉行为不良,左眼有眼内肿块。麻醉下检查发现右眼视网膜脱离,视网膜卷成茎状附着于视神经,左眼视网膜后可见白色肿块伴灌注血管。磁共振成像显示左侧球内有非均匀肿块,扩散受限,收缩增强。对双眼进行房水活检,DNA产率低,未发现与视网膜母细胞瘤相关的突变。观察患者6个月检查间隔无变化。结论:房水活检可用于诊断不明确的儿童眼内肿块排除视网膜母细胞瘤的诊断。
本文章由计算机程序翻译,如有差异,请以英文原文为准。

Aqueous Humor Liquid Biopsy to Exclude Retinoblastoma for a Child with an Intraocular Mass.

Aqueous Humor Liquid Biopsy to Exclude Retinoblastoma for a Child with an Intraocular Mass.

Aqueous Humor Liquid Biopsy to Exclude Retinoblastoma for a Child with an Intraocular Mass.

Aqueous Humor Liquid Biopsy to Exclude Retinoblastoma for a Child with an Intraocular Mass.

Introduction: Intraocular masses in children may present diagnostic dilemmas when clinical examination and imaging are insufficient to diagnose or exclude retinoblastoma. Furthermore, direct biopsy is contraindicated because of the risk of tumor seeding in retinoblastoma. Recent research has shown that aqueous humor biopsy is a safe method of obtaining cell-free DNA which can be used to diagnose retinoblastoma with high sensitivity and specificity, which provides a significant benefit in cases when the diagnosis is otherwise unclear.

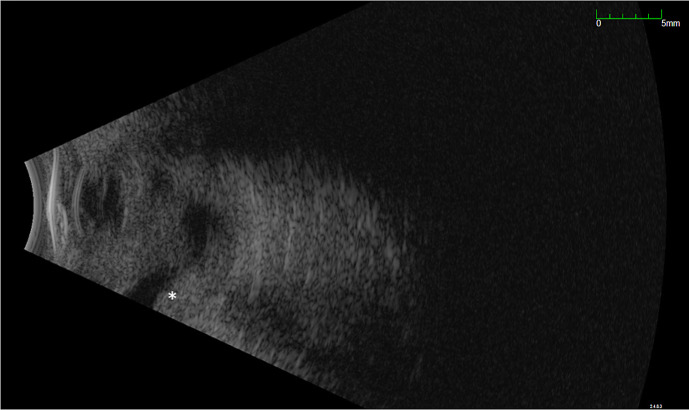
Case presentation: An 11-month-old female presented with poor visual behavior since birth and an intraocular mass in the left eye. Examination under anesthesia revealed a detached retina rolled into a stalk attached to the optic nerve in the right eye and a white retrolental mass with perfused vessels in the left eye. Magnetic resonance imaging demonstrated a heterogeneous mass filling the left globe with diffusion restriction and contract enhancement. Aqueous humor liquid biopsy was performed in both eyes with low DNA yield and no mutations associated with retinoblastoma were identified. The patient was observed with no interval change in examination for 6 months.

Conclusion: Aqueous humor liquid biopsy can be used to exclude a diagnosis of retinoblastoma in cases of pediatric intraocular mass with uncertain diagnosis.

求助全文
通过发布文献求助,成功后即可免费获取论文全文。 去求助
来源期刊
CiteScore
0.90
自引率
0.00%
发文量
129
审稿时长
12 weeks
期刊介绍: This peer-reviewed online-only journal publishes original case reports covering the entire spectrum of ophthalmology, including prevention, diagnosis, treatment, toxicities of therapy, supportive care, quality-of-life, and survivorship issues. The submission of negative results is strongly encouraged. The journal will also accept case reports dealing with the use of novel technologies, both in the arena of diagnosis and treatment. Supplementary material is welcomed. The intent of the journal is to provide clinicians and researchers with a tool to disseminate their personal experiences to a wider public as well as to review interesting cases encountered by colleagues all over the world. Universally used terms can be searched across the entire growing collection of case reports, further facilitating the retrieval of specific information. Following the open access principle, the entire contents can be retrieved at no charge, guaranteeing easy access to this valuable source of anecdotal information at all times.
×
引用
GB/T 7714-2015
复制
MLA
复制
APA
复制
导出至
BibTeX EndNote RefMan NoteFirst NoteExpress
×
提示
您的信息不完整,为了账户安全,请先补充。
现在去补充
×
提示
您因"违规操作"
具体请查看互助需知
我知道了
×
提示
确定
请完成安全验证×
copy
已复制链接
快去分享给好友吧!
我知道了
右上角分享
点击右上角分享
0
联系我们:info@booksci.cn Book学术提供免费学术资源搜索服务,方便国内外学者检索中英文文献。致力于提供最便捷和优质的服务体验。 Copyright © 2023 布克学术 All rights reserved.
京ICP备2023020795号-1
ghs 京公网安备 11010802042870号
Book学术文献互助
Book学术文献互助群
群 号:604180095
Book学术官方微信