牡荆素-4″- o -葡萄糖苷通过抑制内质网应激减轻对乙酰氨基酚所致小鼠急性肝损伤。

Q2 Medicine
Fan Dong, Shanglei Lai, Jiannan Qiu, Xiaobing Dou
{"title":"牡荆素-4″- o -葡萄糖苷通过抑制内质网应激减轻对乙酰氨基酚所致小鼠急性肝损伤。","authors":"Fan Dong, Shanglei Lai, Jiannan Qiu, Xiaobing Dou","doi":"10.3724/zdxbyxb-2024-0381","DOIUrl":null,"url":null,"abstract":"<p><strong>Objectives: </strong>To explore the protective effect of vitexin-4 ″-<i>O</i>-glucoside (VOG) against acetaminophen-induced acute liver injury in mice and its underlying mechanism.</p><p><strong>Methods: </strong>C57BL/6 mice were randomly divided into 4 groups: normal control group, model control group, low-dose group of VOG (30 mg/kg), and high-dose group of VOG (60 mg/kg). Acute liver injury was induced by intraperitoneal injection of acetaminophen (500 mg/kg). VOG was administrated by gavage 2 h before acetaminophen treatment in VOG groups. The protective effect of VOG against acute liver injury was evaluated by detecting alanine transaminase (ALT), aspartate transaminase (AST) levels and hematoxylin and eosin staining. The malondialdehyde (MDA) content, superoxide dismutase (SOD) and catalase (CAT) activity in liver were detected to evaluate the hepatic oxidative stress. The expression levels of tumor necrosis factor (TNF)-α, <i>Il</i>-<i>1β</i>, and <i>Il</i>-<i>6</i> in liver were detected by quantitative reverse transcription polymerase chain reaction (qRT-PCR). The expression levels of phosphorylated c-jun <i>N</i>-terminal kinase (JNK)/JNK, phosphorylated p38/p38, inositol-requiring enzyme 1 alpha (IRE-1α), X-box binding protein 1s (XBP1s), and glucose-regulated protein 78 (GRP78) in liver were detected by Western blotting. An endoplasmic reticulum stress model was established in AML-12 cells using tunicamycin. Cell viability was assessed using the CCK-8 assay, and the degree of cell damage was detected by lactate dehydrogenase (LDH) assay. The gene expression levels of <i>Ire</i>-<i>1α</i>, <i>Xbp1s</i>, and <i>Grp78</i> in the cells were detected using qRT-PCR.</p><p><strong>Results: </strong>In the animal experiments, compared with the model control group, VOG significantly improved plasma ALT and AST levels, liver MDA content, as well as SOD and CAT activities. VOG also reduced the expression levels of <i>Tnf</i>-<i>α</i>, <i>Il</i>-<i>1β</i>, and <i>Il</i>-<i>6</i> in the liver, and improved protein phosphorylation levels of JNK and p38, as well as the protein expression levels of IRE-1α, XBP1s, and GRP78. In cell experiments, VOG pretreatment enhanced cell viability, reduced LDH release and decreased the mRNA expression of <i>Ire</i>-<i>1α</i>, <i>Xbp1s</i>, and <i>Grp78</i>.</p><p><strong>Conclusions: </strong>VOG can suppress inflammation and oxidative stress, and alleviate acetaminophen-induced acute liver injury in mice by suppressing endoplasmic reticulum stress and modulating the MAPK signaling pathway.</p>","PeriodicalId":24007,"journal":{"name":"Zhejiang da xue xue bao. Yi xue ban = Journal of Zhejiang University. Medical sciences","volume":" ","pages":"307-317"},"PeriodicalIF":0.0000,"publicationDate":"2025-05-25","publicationTypes":"Journal Article","fieldsOfStudy":null,"isOpenAccess":false,"openAccessPdf":"https://www.ncbi.nlm.nih.gov/pmc/articles/PMC12176540/pdf/","citationCount":"0","resultStr":"{\"title\":\"[Vitexin-4 ″-<i>O</i>-glucoside alleviates acetaminophen-induced acute liver injury].\",\"authors\":\"Fan Dong, Shanglei Lai, Jiannan Qiu, Xiaobing Dou\",\"doi\":\"10.3724/zdxbyxb-2024-0381\",\"DOIUrl\":null,\"url\":null,\"abstract\":\"<p><strong>Objectives: </strong>To explore the protective effect of vitexin-4 ″-<i>O</i>-glucoside (VOG) against acetaminophen-induced acute liver injury in mice and its underlying mechanism.</p><p><strong>Methods: </strong>C57BL/6 mice were randomly divided into 4 groups: normal control group, model control group, low-dose group of VOG (30 mg/kg), and high-dose group of VOG (60 mg/kg). Acute liver injury was induced by intraperitoneal injection of acetaminophen (500 mg/kg). VOG was administrated by gavage 2 h before acetaminophen treatment in VOG groups. The protective effect of VOG against acute liver injury was evaluated by detecting alanine transaminase (ALT), aspartate transaminase (AST) levels and hematoxylin and eosin staining. The malondialdehyde (MDA) content, superoxide dismutase (SOD) and catalase (CAT) activity in liver were detected to evaluate the hepatic oxidative stress. The expression levels of tumor necrosis factor (TNF)-α, <i>Il</i>-<i>1β</i>, and <i>Il</i>-<i>6</i> in liver were detected by quantitative reverse transcription polymerase chain reaction (qRT-PCR). The expression levels of phosphorylated c-jun <i>N</i>-terminal kinase (JNK)/JNK, phosphorylated p38/p38, inositol-requiring enzyme 1 alpha (IRE-1α), X-box binding protein 1s (XBP1s), and glucose-regulated protein 78 (GRP78) in liver were detected by Western blotting. An endoplasmic reticulum stress model was established in AML-12 cells using tunicamycin. Cell viability was assessed using the CCK-8 assay, and the degree of cell damage was detected by lactate dehydrogenase (LDH) assay. The gene expression levels of <i>Ire</i>-<i>1α</i>, <i>Xbp1s</i>, and <i>Grp78</i> in the cells were detected using qRT-PCR.</p><p><strong>Results: </strong>In the animal experiments, compared with the model control group, VOG significantly improved plasma ALT and AST levels, liver MDA content, as well as SOD and CAT activities. VOG also reduced the expression levels of <i>Tnf</i>-<i>α</i>, <i>Il</i>-<i>1β</i>, and <i>Il</i>-<i>6</i> in the liver, and improved protein phosphorylation levels of JNK and p38, as well as the protein expression levels of IRE-1α, XBP1s, and GRP78. In cell experiments, VOG pretreatment enhanced cell viability, reduced LDH release and decreased the mRNA expression of <i>Ire</i>-<i>1α</i>, <i>Xbp1s</i>, and <i>Grp78</i>.</p><p><strong>Conclusions: </strong>VOG can suppress inflammation and oxidative stress, and alleviate acetaminophen-induced acute liver injury in mice by suppressing endoplasmic reticulum stress and modulating the MAPK signaling pathway.</p>\",\"PeriodicalId\":24007,\"journal\":{\"name\":\"Zhejiang da xue xue bao. Yi xue ban = Journal of Zhejiang University. Medical sciences\",\"volume\":\" \",\"pages\":\"307-317\"},\"PeriodicalIF\":0.0000,\"publicationDate\":\"2025-05-25\",\"publicationTypes\":\"Journal Article\",\"fieldsOfStudy\":null,\"isOpenAccess\":false,\"openAccessPdf\":\"https://www.ncbi.nlm.nih.gov/pmc/articles/PMC12176540/pdf/\",\"citationCount\":\"0\",\"resultStr\":null,\"platform\":\"Semanticscholar\",\"paperid\":null,\"PeriodicalName\":\"Zhejiang da xue xue bao. Yi xue ban = Journal of Zhejiang University. Medical sciences\",\"FirstCategoryId\":\"1085\",\"ListUrlMain\":\"https://doi.org/10.3724/zdxbyxb-2024-0381\",\"RegionNum\":0,\"RegionCategory\":null,\"ArticlePicture\":[],\"TitleCN\":null,\"AbstractTextCN\":null,\"PMCID\":null,\"EPubDate\":\"\",\"PubModel\":\"\",\"JCR\":\"Q2\",\"JCRName\":\"Medicine\",\"Score\":null,\"Total\":0}","platform":"Semanticscholar","paperid":null,"PeriodicalName":"Zhejiang da xue xue bao. Yi xue ban = Journal of Zhejiang University. Medical sciences","FirstCategoryId":"1085","ListUrlMain":"https://doi.org/10.3724/zdxbyxb-2024-0381","RegionNum":0,"RegionCategory":null,"ArticlePicture":[],"TitleCN":null,"AbstractTextCN":null,"PMCID":null,"EPubDate":"","PubModel":"","JCR":"Q2","JCRName":"Medicine","Score":null,"Total":0}
引用次数: 0

摘要

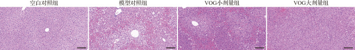
目的:探讨牡荆素-4″- o -葡萄糖苷(VOG)对对乙酰氨基酚所致小鼠急性肝损伤的保护作用及其机制。方法:将C57BL/6小鼠随机分为正常对照组、模型对照组、VOG低剂量组(30 mg/kg)、VOG高剂量组(60 mg/kg) 4组。腹腔注射对乙酰氨基酚(500mg /kg)致急性肝损伤。在对乙酰氨基酚治疗前2 h灌胃给予VOG。通过检测丙氨酸转氨酶(ALT)、azelaic转氨酶(AST)水平及苏木精、伊红染色评价VOG对急性肝损伤的保护作用。检测肝脏丙二醛(MDA)、过氧化氢酶(CAT)和超氧化物歧化酶(SOD)活性,评价肝脏氧化应激。采用定量反转录聚合酶链式反应(qRT-PCR)检测肝脏组织中肿瘤坏死因子(TNF)-α、IL-1β、IL-6的表达水平。Western blotting检测大鼠肝脏中磷酸化c-jun n端激酶(JNK)/JNK、p-p38/p38、肌醇需要酶1α (re -1α)、X-box结合蛋白1s (XBP1s)、葡萄糖调节蛋白78 (GRP78)的表达水平。用tunicamycin建立AML-12细胞内质网应激模型。采用CCK-8法评估细胞损伤水平,测定细胞上清液乳酸脱氢酶(LDH)水平。采用qRT-PCR检测细胞中IRE-1α、XBP1s和GRP78基因的表达水平。结果:动物实验中,与模型对照组相比,VOG显著提高了大鼠血浆ALT、AST水平、肝脏MDA水平和SOD、CAT活性。降低肝脏中TNF-α、IL-1β、IL-6的基因表达水平,提高JNK、p38蛋白磷酸化水平以及IRE-1α、XBP1s、GRP78蛋白表达水平。在细胞实验中,VOG预处理提高了细胞活力,减少了LDH的释放,显著降低了IRE-1α、XBP1s和GRP78 mRNA的表达水平。结论:VOG通过抑制炎症和氧化应激,调节JNK和p38蛋白磷酸化水平以及内质网应激相关蛋白的表达水平,减轻对乙酰氨基酚诱导的小鼠急性肝损伤。
本文章由计算机程序翻译,如有差异,请以英文原文为准。

[Vitexin-4 ″-<i>O</i>-glucoside alleviates acetaminophen-induced acute liver injury].

[Vitexin-4 ″-<i>O</i>-glucoside alleviates acetaminophen-induced acute liver injury].

[Vitexin-4 ″-<i>O</i>-glucoside alleviates acetaminophen-induced acute liver injury].

[Vitexin-4 ″-O-glucoside alleviates acetaminophen-induced acute liver injury].

Objectives: To explore the protective effect of vitexin-4 ″-O-glucoside (VOG) against acetaminophen-induced acute liver injury in mice and its underlying mechanism.

Methods: C57BL/6 mice were randomly divided into 4 groups: normal control group, model control group, low-dose group of VOG (30 mg/kg), and high-dose group of VOG (60 mg/kg). Acute liver injury was induced by intraperitoneal injection of acetaminophen (500 mg/kg). VOG was administrated by gavage 2 h before acetaminophen treatment in VOG groups. The protective effect of VOG against acute liver injury was evaluated by detecting alanine transaminase (ALT), aspartate transaminase (AST) levels and hematoxylin and eosin staining. The malondialdehyde (MDA) content, superoxide dismutase (SOD) and catalase (CAT) activity in liver were detected to evaluate the hepatic oxidative stress. The expression levels of tumor necrosis factor (TNF)-α, Il-, and Il-6 in liver were detected by quantitative reverse transcription polymerase chain reaction (qRT-PCR). The expression levels of phosphorylated c-jun N-terminal kinase (JNK)/JNK, phosphorylated p38/p38, inositol-requiring enzyme 1 alpha (IRE-1α), X-box binding protein 1s (XBP1s), and glucose-regulated protein 78 (GRP78) in liver were detected by Western blotting. An endoplasmic reticulum stress model was established in AML-12 cells using tunicamycin. Cell viability was assessed using the CCK-8 assay, and the degree of cell damage was detected by lactate dehydrogenase (LDH) assay. The gene expression levels of Ire-, Xbp1s, and Grp78 in the cells were detected using qRT-PCR.

Results: In the animal experiments, compared with the model control group, VOG significantly improved plasma ALT and AST levels, liver MDA content, as well as SOD and CAT activities. VOG also reduced the expression levels of Tnf-α, Il-, and Il-6 in the liver, and improved protein phosphorylation levels of JNK and p38, as well as the protein expression levels of IRE-1α, XBP1s, and GRP78. In cell experiments, VOG pretreatment enhanced cell viability, reduced LDH release and decreased the mRNA expression of Ire-, Xbp1s, and Grp78.

Conclusions: VOG can suppress inflammation and oxidative stress, and alleviate acetaminophen-induced acute liver injury in mice by suppressing endoplasmic reticulum stress and modulating the MAPK signaling pathway.

求助全文
通过发布文献求助,成功后即可免费获取论文全文。 去求助
来源期刊
CiteScore
3.80
自引率
0.00%
发文量
67
×
引用
GB/T 7714-2015
复制
MLA
复制
APA
复制
导出至
BibTeX EndNote RefMan NoteFirst NoteExpress
×
提示
您的信息不完整,为了账户安全,请先补充。
现在去补充
×
提示
您因"违规操作"
具体请查看互助需知
我知道了
×
提示
确定
请完成安全验证×
copy
已复制链接
快去分享给好友吧!
我知道了
右上角分享
点击右上角分享
0
联系我们:info@booksci.cn Book学术提供免费学术资源搜索服务,方便国内外学者检索中英文文献。致力于提供最便捷和优质的服务体验。 Copyright © 2023 布克学术 All rights reserved.
京ICP备2023020795号-1
ghs 京公网安备 11010802042870号
Book学术文献互助
Book学术文献互助群
群 号:604180095
Book学术官方微信