巨大前纵隔神经鞘瘤引起心脏压迫并同时发生颈椎病变引起脊髓压迫的罕见病例。

IF 1.5 4区 医学 Q3 CARDIAC & CARDIOVASCULAR SYSTEMS
Sajjaad H Samat, Bradley Ruehle, Emily Sheldon, Hisham Qandeel
{"title":"巨大前纵隔神经鞘瘤引起心脏压迫并同时发生颈椎病变引起脊髓压迫的罕见病例。","authors":"Sajjaad H Samat, Bradley Ruehle, Emily Sheldon, Hisham Qandeel","doi":"10.1186/s13019-025-03452-4","DOIUrl":null,"url":null,"abstract":"<p><p>Schwannoma is the most common neurogenic tumor in the posterior mediastinum, however it is rarely found in the anterior mediastinum (Mediastinum 4, 2020; Radiat Med 13(4):175-7). We report a large anterior mediastinal schwannoma causing cardiac compression along with a concurrent cervical spine lesion causing right-sided weakness. Current literature having only a few case reports describing an anterior location for this neoplasm and even rarer to have a concurrent symptomatic cervical lesion. We present this case to highlight this rare finding and increase awareness of this potential diagnosis.</p>","PeriodicalId":15201,"journal":{"name":"Journal of Cardiothoracic Surgery","volume":"20 1","pages":"257"},"PeriodicalIF":1.5000,"publicationDate":"2025-06-04","publicationTypes":"Journal Article","fieldsOfStudy":null,"isOpenAccess":false,"openAccessPdf":"https://www.ncbi.nlm.nih.gov/pmc/articles/PMC12135393/pdf/","citationCount":"0","resultStr":"{\"title\":\"Rare case of a massive anterior mediastinal schwannoma causing cardiac compression with concurrent cervical spine lesion causing spinal cord compression.\",\"authors\":\"Sajjaad H Samat, Bradley Ruehle, Emily Sheldon, Hisham Qandeel\",\"doi\":\"10.1186/s13019-025-03452-4\",\"DOIUrl\":null,\"url\":null,\"abstract\":\"<p><p>Schwannoma is the most common neurogenic tumor in the posterior mediastinum, however it is rarely found in the anterior mediastinum (Mediastinum 4, 2020; Radiat Med 13(4):175-7). We report a large anterior mediastinal schwannoma causing cardiac compression along with a concurrent cervical spine lesion causing right-sided weakness. Current literature having only a few case reports describing an anterior location for this neoplasm and even rarer to have a concurrent symptomatic cervical lesion. We present this case to highlight this rare finding and increase awareness of this potential diagnosis.</p>\",\"PeriodicalId\":15201,\"journal\":{\"name\":\"Journal of Cardiothoracic Surgery\",\"volume\":\"20 1\",\"pages\":\"257\"},\"PeriodicalIF\":1.5000,\"publicationDate\":\"2025-06-04\",\"publicationTypes\":\"Journal Article\",\"fieldsOfStudy\":null,\"isOpenAccess\":false,\"openAccessPdf\":\"https://www.ncbi.nlm.nih.gov/pmc/articles/PMC12135393/pdf/\",\"citationCount\":\"0\",\"resultStr\":null,\"platform\":\"Semanticscholar\",\"paperid\":null,\"PeriodicalName\":\"Journal of Cardiothoracic Surgery\",\"FirstCategoryId\":\"3\",\"ListUrlMain\":\"https://doi.org/10.1186/s13019-025-03452-4\",\"RegionNum\":4,\"RegionCategory\":\"医学\",\"ArticlePicture\":[],\"TitleCN\":null,\"AbstractTextCN\":null,\"PMCID\":null,\"EPubDate\":\"\",\"PubModel\":\"\",\"JCR\":\"Q3\",\"JCRName\":\"CARDIAC & CARDIOVASCULAR SYSTEMS\",\"Score\":null,\"Total\":0}","platform":"Semanticscholar","paperid":null,"PeriodicalName":"Journal of Cardiothoracic Surgery","FirstCategoryId":"3","ListUrlMain":"https://doi.org/10.1186/s13019-025-03452-4","RegionNum":4,"RegionCategory":"医学","ArticlePicture":[],"TitleCN":null,"AbstractTextCN":null,"PMCID":null,"EPubDate":"","PubModel":"","JCR":"Q3","JCRName":"CARDIAC & CARDIOVASCULAR SYSTEMS","Score":null,"Total":0}
引用次数: 0

摘要

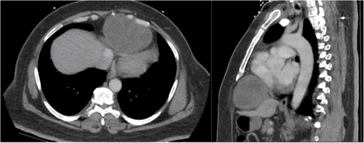
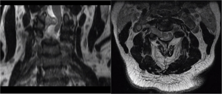
神经鞘瘤是后纵隔最常见的神经源性肿瘤,但在前纵隔很少发现(mediastinum 4,2020;中华放射医学杂志13(4):175-7。我们报告一个大的前纵隔神经鞘瘤引起心脏压迫,同时颈椎病变引起右侧无力。目前文献中只有少数病例报告描述了这种肿瘤的前位,更罕见的是同时有症状性宫颈病变。我们提出这个病例是为了强调这种罕见的发现,并提高对这种潜在诊断的认识。
本文章由计算机程序翻译,如有差异,请以英文原文为准。

Rare case of a massive anterior mediastinal schwannoma causing cardiac compression with concurrent cervical spine lesion causing spinal cord compression.

Rare case of a massive anterior mediastinal schwannoma causing cardiac compression with concurrent cervical spine lesion causing spinal cord compression.

Rare case of a massive anterior mediastinal schwannoma causing cardiac compression with concurrent cervical spine lesion causing spinal cord compression.

Rare case of a massive anterior mediastinal schwannoma causing cardiac compression with concurrent cervical spine lesion causing spinal cord compression.

Schwannoma is the most common neurogenic tumor in the posterior mediastinum, however it is rarely found in the anterior mediastinum (Mediastinum 4, 2020; Radiat Med 13(4):175-7). We report a large anterior mediastinal schwannoma causing cardiac compression along with a concurrent cervical spine lesion causing right-sided weakness. Current literature having only a few case reports describing an anterior location for this neoplasm and even rarer to have a concurrent symptomatic cervical lesion. We present this case to highlight this rare finding and increase awareness of this potential diagnosis.

求助全文
通过发布文献求助,成功后即可免费获取论文全文。 去求助
来源期刊
Journal of Cardiothoracic Surgery
Journal of Cardiothoracic Surgery 医学-心血管系统
CiteScore
2.50
自引率
6.20%
发文量
286
审稿时长
4-8 weeks
期刊介绍: Journal of Cardiothoracic Surgery is an open access journal that encompasses all aspects of research in the field of Cardiology, and Cardiothoracic and Vascular Surgery. The journal publishes original scientific research documenting clinical and experimental advances in cardiac, vascular and thoracic surgery, and related fields. Topics of interest include surgical techniques, survival rates, surgical complications and their outcomes; along with basic sciences, pediatric conditions, transplantations and clinical trials. Journal of Cardiothoracic Surgery is of interest to cardiothoracic and vascular surgeons, cardiothoracic anaesthesiologists, cardiologists, chest physicians, and allied health professionals.
×
引用
GB/T 7714-2015
复制
MLA
复制
APA
复制
导出至
BibTeX EndNote RefMan NoteFirst NoteExpress
×
提示
您的信息不完整,为了账户安全,请先补充。
现在去补充
×
提示
您因"违规操作"
具体请查看互助需知
我知道了
×
提示
确定
请完成安全验证×
copy
已复制链接
快去分享给好友吧!
我知道了
右上角分享
点击右上角分享
0
联系我们:info@booksci.cn Book学术提供免费学术资源搜索服务,方便国内外学者检索中英文文献。致力于提供最便捷和优质的服务体验。 Copyright © 2023 布克学术 All rights reserved.
京ICP备2023020795号-1
ghs 京公网安备 11010802042870号
Book学术文献互助
Book学术文献互助群
群 号:604180095
Book学术官方微信