孤立的髂动脉瘤和扩张的左心室:一箭双雕?

IF 1 Q4 CARDIAC & CARDIOVASCULAR SYSTEMS
Journal of Cardiovascular Echography Pub Date : 2025-01-01 Epub Date: 2025-04-30 DOI:10.4103/jcecho.jcecho_52_24
Giovanni Cimmino, Adriano Caputo, Paolo Golino, Francesco Natale, Francesco S Loffredo
{"title":"孤立的髂动脉瘤和扩张的左心室:一箭双雕?","authors":"Giovanni Cimmino, Adriano Caputo, Paolo Golino, Francesco Natale, Francesco S Loffredo","doi":"10.4103/jcecho.jcecho_52_24","DOIUrl":null,"url":null,"abstract":"<p><p><i>Strongyloides stercoralis</i> is a nematode commonly known as roundworm. Humans are the primary host for the parasite and are infected when bare skin is exposed to contaminated soil. Once in the skin of the human host, the larvae migrate to the heart through the blood and then to the alveoli of the lungs, subsequently ending up in the trachea where the larvae are coughed up and swallowed. Clinically, this infection may be asymptomatic as well as present as an acute or chronic gastrointestinal discomfort, hyperinfection syndrome, or disseminated disease with the involvement of different organs. Myocarditis and vasculitis have been described. Here, we describe the case of a patient with a history of dilated cardiomyopathy and the novel finding of common iliac artery aneurysm in whose <i>Strongyloides</i> infection might be the trait d'union of these two conditions.</p>","PeriodicalId":15191,"journal":{"name":"Journal of Cardiovascular Echography","volume":"35 1","pages":"55-57"},"PeriodicalIF":1.0000,"publicationDate":"2025-01-01","publicationTypes":"Journal Article","fieldsOfStudy":null,"isOpenAccess":false,"openAccessPdf":"https://www.ncbi.nlm.nih.gov/pmc/articles/PMC12129272/pdf/","citationCount":"0","resultStr":"{\"title\":\"Isolated Common Iliac Aneurysm and Dilated Left Ventricle: Kill Two Birds with One Stone?\",\"authors\":\"Giovanni Cimmino, Adriano Caputo, Paolo Golino, Francesco Natale, Francesco S Loffredo\",\"doi\":\"10.4103/jcecho.jcecho_52_24\",\"DOIUrl\":null,\"url\":null,\"abstract\":\"<p><p><i>Strongyloides stercoralis</i> is a nematode commonly known as roundworm. Humans are the primary host for the parasite and are infected when bare skin is exposed to contaminated soil. Once in the skin of the human host, the larvae migrate to the heart through the blood and then to the alveoli of the lungs, subsequently ending up in the trachea where the larvae are coughed up and swallowed. Clinically, this infection may be asymptomatic as well as present as an acute or chronic gastrointestinal discomfort, hyperinfection syndrome, or disseminated disease with the involvement of different organs. Myocarditis and vasculitis have been described. Here, we describe the case of a patient with a history of dilated cardiomyopathy and the novel finding of common iliac artery aneurysm in whose <i>Strongyloides</i> infection might be the trait d'union of these two conditions.</p>\",\"PeriodicalId\":15191,\"journal\":{\"name\":\"Journal of Cardiovascular Echography\",\"volume\":\"35 1\",\"pages\":\"55-57\"},\"PeriodicalIF\":1.0000,\"publicationDate\":\"2025-01-01\",\"publicationTypes\":\"Journal Article\",\"fieldsOfStudy\":null,\"isOpenAccess\":false,\"openAccessPdf\":\"https://www.ncbi.nlm.nih.gov/pmc/articles/PMC12129272/pdf/\",\"citationCount\":\"0\",\"resultStr\":null,\"platform\":\"Semanticscholar\",\"paperid\":null,\"PeriodicalName\":\"Journal of Cardiovascular Echography\",\"FirstCategoryId\":\"1085\",\"ListUrlMain\":\"https://doi.org/10.4103/jcecho.jcecho_52_24\",\"RegionNum\":0,\"RegionCategory\":null,\"ArticlePicture\":[],\"TitleCN\":null,\"AbstractTextCN\":null,\"PMCID\":null,\"EPubDate\":\"2025/4/30 0:00:00\",\"PubModel\":\"Epub\",\"JCR\":\"Q4\",\"JCRName\":\"CARDIAC & CARDIOVASCULAR SYSTEMS\",\"Score\":null,\"Total\":0}","platform":"Semanticscholar","paperid":null,"PeriodicalName":"Journal of Cardiovascular Echography","FirstCategoryId":"1085","ListUrlMain":"https://doi.org/10.4103/jcecho.jcecho_52_24","RegionNum":0,"RegionCategory":null,"ArticlePicture":[],"TitleCN":null,"AbstractTextCN":null,"PMCID":null,"EPubDate":"2025/4/30 0:00:00","PubModel":"Epub","JCR":"Q4","JCRName":"CARDIAC & CARDIOVASCULAR SYSTEMS","Score":null,"Total":0}
引用次数: 0

摘要

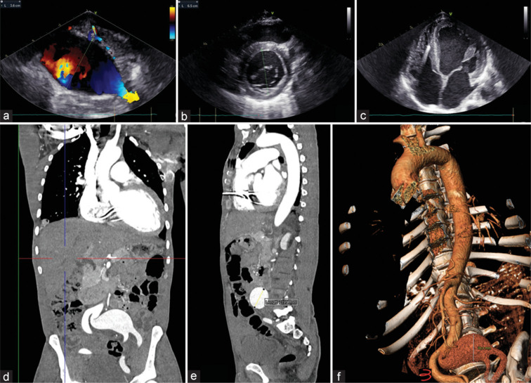
粪圆线虫是一种俗称蛔虫的线虫。人类是这种寄生虫的主要宿主,当裸露的皮肤暴露在被污染的土壤中时就会被感染。一旦进入人类宿主的皮肤,幼虫就会通过血液迁移到心脏,然后进入肺部的肺泡,最后进入气管,在那里幼虫被咳嗽和吞咽。临床上,这种感染可能无症状,也可能表现为急性或慢性胃肠道不适、过度感染综合征或累及不同器官的弥散性疾病。心肌炎和血管炎已被描述。在这里,我们描述的病例患者有扩张性心肌病和新发现的常见髂动脉瘤,其类圆线虫感染可能是这两种情况的结合特征。
本文章由计算机程序翻译,如有差异,请以英文原文为准。

Isolated Common Iliac Aneurysm and Dilated Left Ventricle: Kill Two Birds with One Stone?

Isolated Common Iliac Aneurysm and Dilated Left Ventricle: Kill Two Birds with One Stone?

Strongyloides stercoralis is a nematode commonly known as roundworm. Humans are the primary host for the parasite and are infected when bare skin is exposed to contaminated soil. Once in the skin of the human host, the larvae migrate to the heart through the blood and then to the alveoli of the lungs, subsequently ending up in the trachea where the larvae are coughed up and swallowed. Clinically, this infection may be asymptomatic as well as present as an acute or chronic gastrointestinal discomfort, hyperinfection syndrome, or disseminated disease with the involvement of different organs. Myocarditis and vasculitis have been described. Here, we describe the case of a patient with a history of dilated cardiomyopathy and the novel finding of common iliac artery aneurysm in whose Strongyloides infection might be the trait d'union of these two conditions.

求助全文
通过发布文献求助,成功后即可免费获取论文全文。 去求助
来源期刊
Journal of Cardiovascular Echography
Journal of Cardiovascular Echography CARDIAC & CARDIOVASCULAR SYSTEMS-
CiteScore
1.40
自引率
12.50%
发文量
27
×
引用
GB/T 7714-2015
复制
MLA
复制
APA
复制
导出至
BibTeX EndNote RefMan NoteFirst NoteExpress
×
提示
您的信息不完整,为了账户安全,请先补充。
现在去补充
×
提示
您因"违规操作"
具体请查看互助需知
我知道了
×
提示
确定
请完成安全验证×
copy
已复制链接
快去分享给好友吧!
我知道了
右上角分享
点击右上角分享
0
联系我们:info@booksci.cn Book学术提供免费学术资源搜索服务,方便国内外学者检索中英文文献。致力于提供最便捷和优质的服务体验。 Copyright © 2023 布克学术 All rights reserved.
京ICP备2023020795号-1
ghs 京公网安备 11010802042870号
Book学术文献互助
Book学术文献互助群
群 号:604180095
Book学术官方微信