解码心律:左心耳血流在房性心动过速诊断中的附加价值。

IF 1 Q4 CARDIAC & CARDIOVASCULAR SYSTEMS
Journal of Cardiovascular Echography Pub Date : 2025-01-01 Epub Date: 2025-04-30 DOI:10.4103/jcecho.jcecho_70_24
Amir Aker, Yuval Avidan, Nissan Ben Dov, Salim Adawi
{"title":"解码心律:左心耳血流在房性心动过速诊断中的附加价值。","authors":"Amir Aker, Yuval Avidan, Nissan Ben Dov, Salim Adawi","doi":"10.4103/jcecho.jcecho_70_24","DOIUrl":null,"url":null,"abstract":"<p><strong>Background: </strong>The diagnosis of atrial tachyarrhythmias might be challenging at times. Assessing Doppler flow patterns of the left atrial appendage (LAA) using echocardiography, mainly transesophageal echocardiography, represents a valuable tool for establishing the diagnosis of atrial tachyarrhythmias, especially when the diagnosis remains unclear.</p><p><strong>Result: </strong>Despite its effectiveness and simplicity, this technique is often underused in routine clinical practice.</p><p><strong>Conclusion: </strong>This paper aims to underscore the effectiveness of using LAA flow in conjunction with electrocardiograms for diagnosing atrial tachyarrhythmias in complex cases, particularly atrial flutter, and to encourage physicians to adopt this approach to better identify patients at risk for the recurrence of atrial tachyarrhythmias and LAA thrombus formation.</p>","PeriodicalId":15191,"journal":{"name":"Journal of Cardiovascular Echography","volume":"35 1","pages":"19-22"},"PeriodicalIF":1.0000,"publicationDate":"2025-01-01","publicationTypes":"Journal Article","fieldsOfStudy":null,"isOpenAccess":false,"openAccessPdf":"https://www.ncbi.nlm.nih.gov/pmc/articles/PMC12129279/pdf/","citationCount":"0","resultStr":"{\"title\":\"Decoding the Rhythm: The Additive Value of Left Atrial Appendage Flow in the Diagnosis of Atrial Tachyarrhythmias.\",\"authors\":\"Amir Aker, Yuval Avidan, Nissan Ben Dov, Salim Adawi\",\"doi\":\"10.4103/jcecho.jcecho_70_24\",\"DOIUrl\":null,\"url\":null,\"abstract\":\"<p><strong>Background: </strong>The diagnosis of atrial tachyarrhythmias might be challenging at times. Assessing Doppler flow patterns of the left atrial appendage (LAA) using echocardiography, mainly transesophageal echocardiography, represents a valuable tool for establishing the diagnosis of atrial tachyarrhythmias, especially when the diagnosis remains unclear.</p><p><strong>Result: </strong>Despite its effectiveness and simplicity, this technique is often underused in routine clinical practice.</p><p><strong>Conclusion: </strong>This paper aims to underscore the effectiveness of using LAA flow in conjunction with electrocardiograms for diagnosing atrial tachyarrhythmias in complex cases, particularly atrial flutter, and to encourage physicians to adopt this approach to better identify patients at risk for the recurrence of atrial tachyarrhythmias and LAA thrombus formation.</p>\",\"PeriodicalId\":15191,\"journal\":{\"name\":\"Journal of Cardiovascular Echography\",\"volume\":\"35 1\",\"pages\":\"19-22\"},\"PeriodicalIF\":1.0000,\"publicationDate\":\"2025-01-01\",\"publicationTypes\":\"Journal Article\",\"fieldsOfStudy\":null,\"isOpenAccess\":false,\"openAccessPdf\":\"https://www.ncbi.nlm.nih.gov/pmc/articles/PMC12129279/pdf/\",\"citationCount\":\"0\",\"resultStr\":null,\"platform\":\"Semanticscholar\",\"paperid\":null,\"PeriodicalName\":\"Journal of Cardiovascular Echography\",\"FirstCategoryId\":\"1085\",\"ListUrlMain\":\"https://doi.org/10.4103/jcecho.jcecho_70_24\",\"RegionNum\":0,\"RegionCategory\":null,\"ArticlePicture\":[],\"TitleCN\":null,\"AbstractTextCN\":null,\"PMCID\":null,\"EPubDate\":\"2025/4/30 0:00:00\",\"PubModel\":\"Epub\",\"JCR\":\"Q4\",\"JCRName\":\"CARDIAC & CARDIOVASCULAR SYSTEMS\",\"Score\":null,\"Total\":0}","platform":"Semanticscholar","paperid":null,"PeriodicalName":"Journal of Cardiovascular Echography","FirstCategoryId":"1085","ListUrlMain":"https://doi.org/10.4103/jcecho.jcecho_70_24","RegionNum":0,"RegionCategory":null,"ArticlePicture":[],"TitleCN":null,"AbstractTextCN":null,"PMCID":null,"EPubDate":"2025/4/30 0:00:00","PubModel":"Epub","JCR":"Q4","JCRName":"CARDIAC & CARDIOVASCULAR SYSTEMS","Score":null,"Total":0}
引用次数: 0

摘要

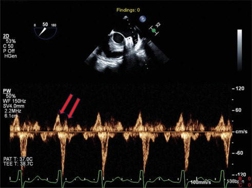
背景:房性心动过速的诊断有时可能具有挑战性。利用超声心动图(主要是经食管超声心动图)评估左心耳(LAA)的多普勒血流模式,是建立心房速性心律失常诊断的有价值的工具,特别是在诊断尚不明确的情况下。结果:该方法简便有效,但在临床实践中应用不足。结论:本文旨在强调结合LAA血流与心电图诊断复杂病例心房速性心律失常的有效性,特别是心房扑动,并鼓励医生采用这种方法更好地识别心房速性心律失常复发和LAA血栓形成的风险患者。
本文章由计算机程序翻译,如有差异,请以英文原文为准。

Decoding the Rhythm: The Additive Value of Left Atrial Appendage Flow in the Diagnosis of Atrial Tachyarrhythmias.

Decoding the Rhythm: The Additive Value of Left Atrial Appendage Flow in the Diagnosis of Atrial Tachyarrhythmias.

Decoding the Rhythm: The Additive Value of Left Atrial Appendage Flow in the Diagnosis of Atrial Tachyarrhythmias.

Decoding the Rhythm: The Additive Value of Left Atrial Appendage Flow in the Diagnosis of Atrial Tachyarrhythmias.

Background: The diagnosis of atrial tachyarrhythmias might be challenging at times. Assessing Doppler flow patterns of the left atrial appendage (LAA) using echocardiography, mainly transesophageal echocardiography, represents a valuable tool for establishing the diagnosis of atrial tachyarrhythmias, especially when the diagnosis remains unclear.

Result: Despite its effectiveness and simplicity, this technique is often underused in routine clinical practice.

Conclusion: This paper aims to underscore the effectiveness of using LAA flow in conjunction with electrocardiograms for diagnosing atrial tachyarrhythmias in complex cases, particularly atrial flutter, and to encourage physicians to adopt this approach to better identify patients at risk for the recurrence of atrial tachyarrhythmias and LAA thrombus formation.

求助全文
通过发布文献求助,成功后即可免费获取论文全文。 去求助
来源期刊
Journal of Cardiovascular Echography
Journal of Cardiovascular Echography CARDIAC & CARDIOVASCULAR SYSTEMS-
CiteScore
1.40
自引率
12.50%
发文量
27
×
引用
GB/T 7714-2015
复制
MLA
复制
APA
复制
导出至
BibTeX EndNote RefMan NoteFirst NoteExpress
×
提示
您的信息不完整,为了账户安全,请先补充。
现在去补充
×
提示
您因"违规操作"
具体请查看互助需知
我知道了
×
提示
确定
请完成安全验证×
copy
已复制链接
快去分享给好友吧!
我知道了
右上角分享
点击右上角分享
0
联系我们:info@booksci.cn Book学术提供免费学术资源搜索服务,方便国内外学者检索中英文文献。致力于提供最便捷和优质的服务体验。 Copyright © 2023 布克学术 All rights reserved.
京ICP备2023020795号-1
ghs 京公网安备 11010802042870号
Book学术文献互助
Book学术文献互助群
群 号:604180095
Book学术官方微信