β - RCS与ADSeal和AH +牙髓密封剂的细胞毒性和皮下组织反应的比较:体外/体内研究

IF 2.3 Q3 DENTISTRY, ORAL SURGERY & MEDICINE
Mehdi Dastorani, Mohammad Reza Babaie, Babak Farzaneh, Atousa Haghdoost
{"title":"β - RCS与ADSeal和AH +牙髓密封剂的细胞毒性和皮下组织反应的比较:体外/体内研究","authors":"Mehdi Dastorani, Mohammad Reza Babaie, Babak Farzaneh, Atousa Haghdoost","doi":"10.1007/s44445-025-00013-2","DOIUrl":null,"url":null,"abstract":"<p><p>Sealers are an important part of root canal obturation. Therefore, these materials must be biocompatible and non-toxic to the cells. This study compared the cytotoxicity and tissue response of Beta RCS, ADSeal, and AH Plus. In the in vitro phase, the cytotoxicity of Beta RCS, ADSeal, and AH Plus for human gingival fibroblasts (HGFs) was evaluated using the methyl thiazolyl tetrazolium (MTT) assay after 1, 3, and 7 days (non-toxic defined as > 90% viability). In the in vivo phase, polyethylene tubes containing the sealers (n = 54) and empty control tubes (n = 18) were implanted subcutaneously in 18 Sprague-Dawley rats (4 tubes per rat). The rats were sacrificed after 7, 21 and 42 days. Histological sections were then evaluated under an optical microscope for inflammation, vascular reaction, and fibrous tissue formation. Data were analyzed using the Kruskal-Wallis and Mann-Whitney tests (alpha = 0.05). The cytotoxicity of all three sealers significantly increased with time (P < 0.05). At days 3 and 7, the cytotoxicity of AH Plus was significantly higher than other sealers (P < 0.001). Beta RCS and ADSeal had no significant difference regarding cytotoxicity. At day 21, AH Plus showed significantly higher inflammation and fibrous tissue formation than the control group (P < 0.05). At day 21, tissue reaction around Beta RCS and AH Plus was significantly greater than around ADSeal (P < 0.05). AH Plus showed the highest cytotoxicity while Beta RCS and ADSeal equally had a cytotoxicity comparable to the control group. Both Beta RCS and AH Plus showed high tissue response. ADSeal showed the lowest cytotoxicity and tissue response.</p>","PeriodicalId":47246,"journal":{"name":"Saudi Dental Journal","volume":"37 4-6","pages":"13"},"PeriodicalIF":2.3000,"publicationDate":"2025-06-03","publicationTypes":"Journal Article","fieldsOfStudy":null,"isOpenAccess":false,"openAccessPdf":"https://www.ncbi.nlm.nih.gov/pmc/articles/PMC12129880/pdf/","citationCount":"0","resultStr":"{\"title\":\"Cytotoxicity and subcutaneous tissue response of beta RCS in comparison with ADSeal and AH plus endodontic sealers: in vitro/in vivo study.\",\"authors\":\"Mehdi Dastorani, Mohammad Reza Babaie, Babak Farzaneh, Atousa Haghdoost\",\"doi\":\"10.1007/s44445-025-00013-2\",\"DOIUrl\":null,\"url\":null,\"abstract\":\"<p><p>Sealers are an important part of root canal obturation. Therefore, these materials must be biocompatible and non-toxic to the cells. This study compared the cytotoxicity and tissue response of Beta RCS, ADSeal, and AH Plus. In the in vitro phase, the cytotoxicity of Beta RCS, ADSeal, and AH Plus for human gingival fibroblasts (HGFs) was evaluated using the methyl thiazolyl tetrazolium (MTT) assay after 1, 3, and 7 days (non-toxic defined as > 90% viability). In the in vivo phase, polyethylene tubes containing the sealers (n = 54) and empty control tubes (n = 18) were implanted subcutaneously in 18 Sprague-Dawley rats (4 tubes per rat). The rats were sacrificed after 7, 21 and 42 days. Histological sections were then evaluated under an optical microscope for inflammation, vascular reaction, and fibrous tissue formation. Data were analyzed using the Kruskal-Wallis and Mann-Whitney tests (alpha = 0.05). The cytotoxicity of all three sealers significantly increased with time (P < 0.05). At days 3 and 7, the cytotoxicity of AH Plus was significantly higher than other sealers (P < 0.001). Beta RCS and ADSeal had no significant difference regarding cytotoxicity. At day 21, AH Plus showed significantly higher inflammation and fibrous tissue formation than the control group (P < 0.05). At day 21, tissue reaction around Beta RCS and AH Plus was significantly greater than around ADSeal (P < 0.05). AH Plus showed the highest cytotoxicity while Beta RCS and ADSeal equally had a cytotoxicity comparable to the control group. Both Beta RCS and AH Plus showed high tissue response. ADSeal showed the lowest cytotoxicity and tissue response.</p>\",\"PeriodicalId\":47246,\"journal\":{\"name\":\"Saudi Dental Journal\",\"volume\":\"37 4-6\",\"pages\":\"13\"},\"PeriodicalIF\":2.3000,\"publicationDate\":\"2025-06-03\",\"publicationTypes\":\"Journal Article\",\"fieldsOfStudy\":null,\"isOpenAccess\":false,\"openAccessPdf\":\"https://www.ncbi.nlm.nih.gov/pmc/articles/PMC12129880/pdf/\",\"citationCount\":\"0\",\"resultStr\":null,\"platform\":\"Semanticscholar\",\"paperid\":null,\"PeriodicalName\":\"Saudi Dental Journal\",\"FirstCategoryId\":\"1085\",\"ListUrlMain\":\"https://doi.org/10.1007/s44445-025-00013-2\",\"RegionNum\":0,\"RegionCategory\":null,\"ArticlePicture\":[],\"TitleCN\":null,\"AbstractTextCN\":null,\"PMCID\":null,\"EPubDate\":\"\",\"PubModel\":\"\",\"JCR\":\"Q3\",\"JCRName\":\"DENTISTRY, ORAL SURGERY & MEDICINE\",\"Score\":null,\"Total\":0}","platform":"Semanticscholar","paperid":null,"PeriodicalName":"Saudi Dental Journal","FirstCategoryId":"1085","ListUrlMain":"https://doi.org/10.1007/s44445-025-00013-2","RegionNum":0,"RegionCategory":null,"ArticlePicture":[],"TitleCN":null,"AbstractTextCN":null,"PMCID":null,"EPubDate":"","PubModel":"","JCR":"Q3","JCRName":"DENTISTRY, ORAL SURGERY & MEDICINE","Score":null,"Total":0}
引用次数: 0

摘要

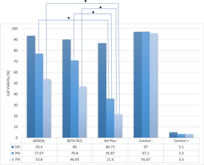
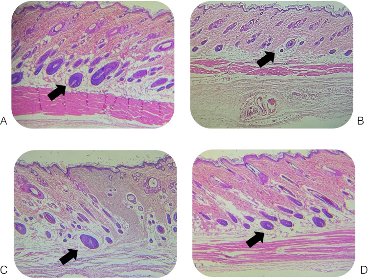
封闭器是根管封闭的重要组成部分。因此,这些材料必须具有生物相容性和对细胞无毒。本研究比较了β RCS、ADSeal和AH Plus的细胞毒性和组织反应。在体外阶段,使用甲基噻唑四氮唑(MTT)法评估β - RCS、ADSeal和AH Plus对人牙龈成纤维细胞(HGFs)的细胞毒性,时间分别为1、3和7天(无毒定义为> 90%存活率)。在体内阶段,在18只Sprague-Dawley大鼠(每只大鼠4根)皮下植入含有密封剂的聚乙烯管(n = 54)和空对照管(n = 18)。大鼠分别于第7、21、42天处死。然后在光学显微镜下评估组织切片的炎症、血管反应和纤维组织形成。数据分析采用Kruskal-Wallis检验和Mann-Whitney检验(α = 0.05)。3种封口剂的细胞毒性均随时间增加而显著升高(P
本文章由计算机程序翻译,如有差异,请以英文原文为准。

Cytotoxicity and subcutaneous tissue response of beta RCS in comparison with ADSeal and AH plus endodontic sealers: in vitro/in vivo study.

Cytotoxicity and subcutaneous tissue response of beta RCS in comparison with ADSeal and AH plus endodontic sealers: in vitro/in vivo study.

Cytotoxicity and subcutaneous tissue response of beta RCS in comparison with ADSeal and AH plus endodontic sealers: in vitro/in vivo study.

Cytotoxicity and subcutaneous tissue response of beta RCS in comparison with ADSeal and AH plus endodontic sealers: in vitro/in vivo study.

Sealers are an important part of root canal obturation. Therefore, these materials must be biocompatible and non-toxic to the cells. This study compared the cytotoxicity and tissue response of Beta RCS, ADSeal, and AH Plus. In the in vitro phase, the cytotoxicity of Beta RCS, ADSeal, and AH Plus for human gingival fibroblasts (HGFs) was evaluated using the methyl thiazolyl tetrazolium (MTT) assay after 1, 3, and 7 days (non-toxic defined as > 90% viability). In the in vivo phase, polyethylene tubes containing the sealers (n = 54) and empty control tubes (n = 18) were implanted subcutaneously in 18 Sprague-Dawley rats (4 tubes per rat). The rats were sacrificed after 7, 21 and 42 days. Histological sections were then evaluated under an optical microscope for inflammation, vascular reaction, and fibrous tissue formation. Data were analyzed using the Kruskal-Wallis and Mann-Whitney tests (alpha = 0.05). The cytotoxicity of all three sealers significantly increased with time (P < 0.05). At days 3 and 7, the cytotoxicity of AH Plus was significantly higher than other sealers (P < 0.001). Beta RCS and ADSeal had no significant difference regarding cytotoxicity. At day 21, AH Plus showed significantly higher inflammation and fibrous tissue formation than the control group (P < 0.05). At day 21, tissue reaction around Beta RCS and AH Plus was significantly greater than around ADSeal (P < 0.05). AH Plus showed the highest cytotoxicity while Beta RCS and ADSeal equally had a cytotoxicity comparable to the control group. Both Beta RCS and AH Plus showed high tissue response. ADSeal showed the lowest cytotoxicity and tissue response.

求助全文
通过发布文献求助,成功后即可免费获取论文全文。 去求助
来源期刊
Saudi Dental Journal
Saudi Dental Journal DENTISTRY, ORAL SURGERY & MEDICINE-
CiteScore
3.60
自引率
0.00%
发文量
86
审稿时长
22 weeks
期刊介绍: Saudi Dental Journal is an English language, peer-reviewed scholarly publication in the area of dentistry. Saudi Dental Journal publishes original research and reviews on, but not limited to: • dental disease • clinical trials • dental equipment • new and experimental techniques • epidemiology and oral health • restorative dentistry • periodontology • endodontology • prosthodontics • paediatric dentistry • orthodontics and dental education Saudi Dental Journal is the official publication of the Saudi Dental Society and is published by King Saud University in collaboration with Elsevier and is edited by an international group of eminent researchers.
×
引用
GB/T 7714-2015
复制
MLA
复制
APA
复制
导出至
BibTeX EndNote RefMan NoteFirst NoteExpress
×
提示
您的信息不完整,为了账户安全,请先补充。
现在去补充
×
提示
您因"违规操作"
具体请查看互助需知
我知道了
×
提示
确定
请完成安全验证×
copy
已复制链接
快去分享给好友吧!
我知道了
右上角分享
点击右上角分享
0
联系我们:info@booksci.cn Book学术提供免费学术资源搜索服务,方便国内外学者检索中英文文献。致力于提供最便捷和优质的服务体验。 Copyright © 2023 布克学术 All rights reserved.
京ICP备2023020795号-1
ghs 京公网安备 11010802042870号
Book学术文献互助
Book学术文献互助群
群 号:604180095
Book学术官方微信