68Ga-DOTA TOC PET-CT显示脑膜瘤伴骨浸润的分子研究进展。

IF 1.1 Q4 RADIOLOGY, NUCLEAR MEDICINE & MEDICAL IMAGING
Sharjeel Usmani, Anjali Jain, Khulood Al Riyami, Syed Furqan Hashmi, Jamsari Khalid, Subhash Kheruka
{"title":"68Ga-DOTA TOC PET-CT显示脑膜瘤伴骨浸润的分子研究进展。","authors":"Sharjeel Usmani, Anjali Jain, Khulood Al Riyami, Syed Furqan Hashmi, Jamsari Khalid, Subhash Kheruka","doi":"10.4274/mirt.galenos.2024.99267","DOIUrl":null,"url":null,"abstract":"<p><p>Meningiomas express the somatostatin receptor (SSTR). The utilization of SSTR ligands, specifically Gallium-68 (<sup>68</sup>Ga) isotope, a radioactive isotope (<sup>68</sup>Ga)-DOTA-labeled peptides, has demonstrated exceptional diagnostic precision for the detection of meningiomas, primarily due to the absence of normal brain and bone activity. We report a case of a 48-year-old woman with sphenoid wing meningioma who underwent <sup>68</sup>Ga-DOTA TOC positron emission tomography (PET) for tumor delineation. <sup>68</sup>Ga-DOTA TOC PET shows SSTR-avid meningioma in the right sphenoid/anterior temporal region with significant hyperostosis with high expression of SSTR in the bone. <sup>68</sup>Ga-DOTA TOC uptake in the hyperostosis signifies bone infiltration rather than reactive changes. <sup>68</sup>Ga-DOTA PET provides a better assessment of osseous involvement and provides additional information in terms of meningioma extent and planning for further management.</p>","PeriodicalId":44681,"journal":{"name":"Molecular Imaging and Radionuclide Therapy","volume":"34 2","pages":"152-155"},"PeriodicalIF":1.1000,"publicationDate":"2025-06-03","publicationTypes":"Journal Article","fieldsOfStudy":null,"isOpenAccess":false,"openAccessPdf":"https://www.ncbi.nlm.nih.gov/pmc/articles/PMC12134966/pdf/","citationCount":"0","resultStr":"{\"title\":\"Molecular Perspectives on Meningioma with Osseous Infiltration Revealed by <sup>68</sup>Ga-DOTA TOC PET-CT.\",\"authors\":\"Sharjeel Usmani, Anjali Jain, Khulood Al Riyami, Syed Furqan Hashmi, Jamsari Khalid, Subhash Kheruka\",\"doi\":\"10.4274/mirt.galenos.2024.99267\",\"DOIUrl\":null,\"url\":null,\"abstract\":\"<p><p>Meningiomas express the somatostatin receptor (SSTR). The utilization of SSTR ligands, specifically Gallium-68 (<sup>68</sup>Ga) isotope, a radioactive isotope (<sup>68</sup>Ga)-DOTA-labeled peptides, has demonstrated exceptional diagnostic precision for the detection of meningiomas, primarily due to the absence of normal brain and bone activity. We report a case of a 48-year-old woman with sphenoid wing meningioma who underwent <sup>68</sup>Ga-DOTA TOC positron emission tomography (PET) for tumor delineation. <sup>68</sup>Ga-DOTA TOC PET shows SSTR-avid meningioma in the right sphenoid/anterior temporal region with significant hyperostosis with high expression of SSTR in the bone. <sup>68</sup>Ga-DOTA TOC uptake in the hyperostosis signifies bone infiltration rather than reactive changes. <sup>68</sup>Ga-DOTA PET provides a better assessment of osseous involvement and provides additional information in terms of meningioma extent and planning for further management.</p>\",\"PeriodicalId\":44681,\"journal\":{\"name\":\"Molecular Imaging and Radionuclide Therapy\",\"volume\":\"34 2\",\"pages\":\"152-155\"},\"PeriodicalIF\":1.1000,\"publicationDate\":\"2025-06-03\",\"publicationTypes\":\"Journal Article\",\"fieldsOfStudy\":null,\"isOpenAccess\":false,\"openAccessPdf\":\"https://www.ncbi.nlm.nih.gov/pmc/articles/PMC12134966/pdf/\",\"citationCount\":\"0\",\"resultStr\":null,\"platform\":\"Semanticscholar\",\"paperid\":null,\"PeriodicalName\":\"Molecular Imaging and Radionuclide Therapy\",\"FirstCategoryId\":\"1085\",\"ListUrlMain\":\"https://doi.org/10.4274/mirt.galenos.2024.99267\",\"RegionNum\":0,\"RegionCategory\":null,\"ArticlePicture\":[],\"TitleCN\":null,\"AbstractTextCN\":null,\"PMCID\":null,\"EPubDate\":\"\",\"PubModel\":\"\",\"JCR\":\"Q4\",\"JCRName\":\"RADIOLOGY, NUCLEAR MEDICINE & MEDICAL IMAGING\",\"Score\":null,\"Total\":0}","platform":"Semanticscholar","paperid":null,"PeriodicalName":"Molecular Imaging and Radionuclide Therapy","FirstCategoryId":"1085","ListUrlMain":"https://doi.org/10.4274/mirt.galenos.2024.99267","RegionNum":0,"RegionCategory":null,"ArticlePicture":[],"TitleCN":null,"AbstractTextCN":null,"PMCID":null,"EPubDate":"","PubModel":"","JCR":"Q4","JCRName":"RADIOLOGY, NUCLEAR MEDICINE & MEDICAL IMAGING","Score":null,"Total":0}
引用次数: 0

摘要

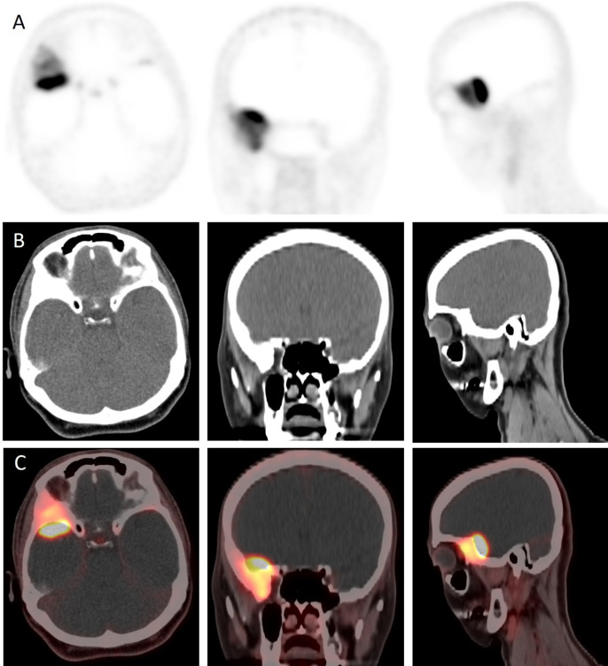
脑膜瘤表达生长抑素受体(SSTR)。利用SSTR配体,特别是镓-68 (68Ga)同位素,一种放射性同位素(68Ga)- dota标记的肽,在脑膜瘤的检测中表现出卓越的诊断精度,主要是由于缺乏正常的脑和骨活动。我们报告一例48岁女性蝶翼脑膜瘤,她接受了68Ga-DOTA TOC正电子发射断层扫描(PET)来描绘肿瘤。68Ga-DOTA TOC PET显示右侧蝶骨/颞前区SSTR阳性脑膜瘤,骨内SSTR高表达,骨质增生明显。骨质增生的68Ga-DOTA TOC摄取表明骨浸润而非反应性改变。68Ga-DOTA PET可以更好地评估骨受累情况,并提供关于脑膜瘤范围和进一步治疗计划的额外信息。
本文章由计算机程序翻译,如有差异,请以英文原文为准。

Molecular Perspectives on Meningioma with Osseous Infiltration Revealed by <sup>68</sup>Ga-DOTA TOC PET-CT.

Molecular Perspectives on Meningioma with Osseous Infiltration Revealed by <sup>68</sup>Ga-DOTA TOC PET-CT.

Molecular Perspectives on Meningioma with Osseous Infiltration Revealed by 68Ga-DOTA TOC PET-CT.

Meningiomas express the somatostatin receptor (SSTR). The utilization of SSTR ligands, specifically Gallium-68 (68Ga) isotope, a radioactive isotope (68Ga)-DOTA-labeled peptides, has demonstrated exceptional diagnostic precision for the detection of meningiomas, primarily due to the absence of normal brain and bone activity. We report a case of a 48-year-old woman with sphenoid wing meningioma who underwent 68Ga-DOTA TOC positron emission tomography (PET) for tumor delineation. 68Ga-DOTA TOC PET shows SSTR-avid meningioma in the right sphenoid/anterior temporal region with significant hyperostosis with high expression of SSTR in the bone. 68Ga-DOTA TOC uptake in the hyperostosis signifies bone infiltration rather than reactive changes. 68Ga-DOTA PET provides a better assessment of osseous involvement and provides additional information in terms of meningioma extent and planning for further management.

求助全文
通过发布文献求助,成功后即可免费获取论文全文。 去求助
来源期刊
Molecular Imaging and Radionuclide Therapy
Molecular Imaging and Radionuclide Therapy RADIOLOGY, NUCLEAR MEDICINE & MEDICAL IMAGING-
CiteScore
1.30
自引率
0.00%
发文量
50
期刊介绍: Molecular Imaging and Radionuclide Therapy (Mol Imaging Radionucl Ther, MIRT) is publishes original research articles, invited reviews, editorials, short communications, letters, consensus statements, guidelines and case reports with a literature review on the topic, in the field of molecular imaging, multimodality imaging, nuclear medicine, radionuclide therapy, radiopharmacy, medical physics, dosimetry and radiobiology.
×
引用
GB/T 7714-2015
复制
MLA
复制
APA
复制
导出至
BibTeX EndNote RefMan NoteFirst NoteExpress
×
提示
您的信息不完整,为了账户安全,请先补充。
现在去补充
×
提示
您因"违规操作"
具体请查看互助需知
我知道了
×
提示
确定
请完成安全验证×
copy
已复制链接
快去分享给好友吧!
我知道了
右上角分享
点击右上角分享
0
联系我们:info@booksci.cn Book学术提供免费学术资源搜索服务,方便国内外学者检索中英文文献。致力于提供最便捷和优质的服务体验。 Copyright © 2023 布克学术 All rights reserved.
京ICP备2023020795号-1
ghs 京公网安备 11010802042870号
Book学术文献互助
Book学术文献互助群
群 号:604180095
Book学术官方微信