多中心Castleman病伴淋巴结和皮肤累及的18F-FDG PET/CT

IF 1.1 Q4 RADIOLOGY, NUCLEAR MEDICINE & MEDICAL IMAGING
Merve Yücel, Tarık Şengöz, Nilay Şen Türk
{"title":"多中心Castleman病伴淋巴结和皮肤累及的18F-FDG PET/CT","authors":"Merve Yücel, Tarık Şengöz, Nilay Şen Türk","doi":"10.4274/mirt.galenos.2024.80388","DOIUrl":null,"url":null,"abstract":"<p><p>Herein, we describe a rare case of multicentric Castleman disease with multiple lymph node and skin involvement. Ultrasonography of a 38-year-old patient with weakness and fever revealed multiple lymphadenopathies in both inguinal regions. Diagnosed via lymph node biopsy was Castleman's disease, a plasma cell variant. He was diagnosed with prurigo nodularis, lymphocytic vasculitis, and stasis dermatitis in the biopsies of skin lesions located in different regions. <sup>18</sup>F-fluorodeoxyglucose positron emission tomography/computed tomography showed multiple hypermetabolic lymph nodes in the axilla, abdomen, pelvis, and both popliteal areas, multiple hypermetabolic skin thickenings, and skin lesions in both arms, legs, and feet.</p>","PeriodicalId":44681,"journal":{"name":"Molecular Imaging and Radionuclide Therapy","volume":"34 2","pages":"135-138"},"PeriodicalIF":1.1000,"publicationDate":"2025-06-03","publicationTypes":"Journal Article","fieldsOfStudy":null,"isOpenAccess":false,"openAccessPdf":"https://www.ncbi.nlm.nih.gov/pmc/articles/PMC12134962/pdf/","citationCount":"0","resultStr":"{\"title\":\"<sup>18</sup>F-FDG PET/CT of a Multicentric Castleman Disease with Lymph Node and Skin Involvement.\",\"authors\":\"Merve Yücel, Tarık Şengöz, Nilay Şen Türk\",\"doi\":\"10.4274/mirt.galenos.2024.80388\",\"DOIUrl\":null,\"url\":null,\"abstract\":\"<p><p>Herein, we describe a rare case of multicentric Castleman disease with multiple lymph node and skin involvement. Ultrasonography of a 38-year-old patient with weakness and fever revealed multiple lymphadenopathies in both inguinal regions. Diagnosed via lymph node biopsy was Castleman's disease, a plasma cell variant. He was diagnosed with prurigo nodularis, lymphocytic vasculitis, and stasis dermatitis in the biopsies of skin lesions located in different regions. <sup>18</sup>F-fluorodeoxyglucose positron emission tomography/computed tomography showed multiple hypermetabolic lymph nodes in the axilla, abdomen, pelvis, and both popliteal areas, multiple hypermetabolic skin thickenings, and skin lesions in both arms, legs, and feet.</p>\",\"PeriodicalId\":44681,\"journal\":{\"name\":\"Molecular Imaging and Radionuclide Therapy\",\"volume\":\"34 2\",\"pages\":\"135-138\"},\"PeriodicalIF\":1.1000,\"publicationDate\":\"2025-06-03\",\"publicationTypes\":\"Journal Article\",\"fieldsOfStudy\":null,\"isOpenAccess\":false,\"openAccessPdf\":\"https://www.ncbi.nlm.nih.gov/pmc/articles/PMC12134962/pdf/\",\"citationCount\":\"0\",\"resultStr\":null,\"platform\":\"Semanticscholar\",\"paperid\":null,\"PeriodicalName\":\"Molecular Imaging and Radionuclide Therapy\",\"FirstCategoryId\":\"1085\",\"ListUrlMain\":\"https://doi.org/10.4274/mirt.galenos.2024.80388\",\"RegionNum\":0,\"RegionCategory\":null,\"ArticlePicture\":[],\"TitleCN\":null,\"AbstractTextCN\":null,\"PMCID\":null,\"EPubDate\":\"\",\"PubModel\":\"\",\"JCR\":\"Q4\",\"JCRName\":\"RADIOLOGY, NUCLEAR MEDICINE & MEDICAL IMAGING\",\"Score\":null,\"Total\":0}","platform":"Semanticscholar","paperid":null,"PeriodicalName":"Molecular Imaging and Radionuclide Therapy","FirstCategoryId":"1085","ListUrlMain":"https://doi.org/10.4274/mirt.galenos.2024.80388","RegionNum":0,"RegionCategory":null,"ArticlePicture":[],"TitleCN":null,"AbstractTextCN":null,"PMCID":null,"EPubDate":"","PubModel":"","JCR":"Q4","JCRName":"RADIOLOGY, NUCLEAR MEDICINE & MEDICAL IMAGING","Score":null,"Total":0}
引用次数: 0

摘要

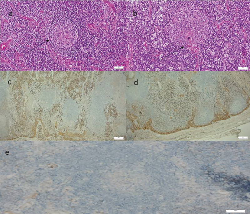
在此,我们描述一个罕见的病例多中心Castleman病多淋巴结和皮肤受累。38岁病人虚弱发热,超声检查显示双腹股沟区多发淋巴结病变。通过淋巴结活检诊断为Castleman病,一种浆细胞变异。在不同部位的皮肤病变活检中诊断为结节性痒疹、淋巴细胞性血管炎和瘀血性皮炎。18f -氟脱氧葡萄糖正电子发射断层扫描/计算机断层扫描显示腋窝、腹部、骨盆和双侧腘窝区域多发高代谢淋巴结,多发高代谢皮肤增厚,双臂、腿部和足部皮肤病变。
本文章由计算机程序翻译,如有差异,请以英文原文为准。

<sup>18</sup>F-FDG PET/CT of a Multicentric Castleman Disease with Lymph Node and Skin Involvement.

<sup>18</sup>F-FDG PET/CT of a Multicentric Castleman Disease with Lymph Node and Skin Involvement.

18F-FDG PET/CT of a Multicentric Castleman Disease with Lymph Node and Skin Involvement.

Herein, we describe a rare case of multicentric Castleman disease with multiple lymph node and skin involvement. Ultrasonography of a 38-year-old patient with weakness and fever revealed multiple lymphadenopathies in both inguinal regions. Diagnosed via lymph node biopsy was Castleman's disease, a plasma cell variant. He was diagnosed with prurigo nodularis, lymphocytic vasculitis, and stasis dermatitis in the biopsies of skin lesions located in different regions. 18F-fluorodeoxyglucose positron emission tomography/computed tomography showed multiple hypermetabolic lymph nodes in the axilla, abdomen, pelvis, and both popliteal areas, multiple hypermetabolic skin thickenings, and skin lesions in both arms, legs, and feet.

求助全文
通过发布文献求助,成功后即可免费获取论文全文。 去求助
来源期刊
Molecular Imaging and Radionuclide Therapy
Molecular Imaging and Radionuclide Therapy RADIOLOGY, NUCLEAR MEDICINE & MEDICAL IMAGING-
CiteScore
1.30
自引率
0.00%
发文量
50
期刊介绍: Molecular Imaging and Radionuclide Therapy (Mol Imaging Radionucl Ther, MIRT) is publishes original research articles, invited reviews, editorials, short communications, letters, consensus statements, guidelines and case reports with a literature review on the topic, in the field of molecular imaging, multimodality imaging, nuclear medicine, radionuclide therapy, radiopharmacy, medical physics, dosimetry and radiobiology.
×
引用
GB/T 7714-2015
复制
MLA
复制
APA
复制
导出至
BibTeX EndNote RefMan NoteFirst NoteExpress
×
提示
您的信息不完整,为了账户安全,请先补充。
现在去补充
×
提示
您因"违规操作"
具体请查看互助需知
我知道了
×
提示
确定
请完成安全验证×
copy
已复制链接
快去分享给好友吧!
我知道了
右上角分享
点击右上角分享
0
联系我们:info@booksci.cn Book学术提供免费学术资源搜索服务,方便国内外学者检索中英文文献。致力于提供最便捷和优质的服务体验。 Copyright © 2023 布克学术 All rights reserved.
京ICP备2023020795号-1
ghs 京公网安备 11010802042870号
Book学术文献互助
Book学术文献互助群
群 号:604180095
Book学术官方微信