扩展的crb2相关疾病表型:同卵双胞胎的多系统受累和移植后并发症

IF 2.6 3区 医学 Q1 PEDIATRICS
Pediatric Nephrology Pub Date : 2025-10-01 Epub Date: 2025-06-03 DOI:10.1007/s00467-025-06827-w
Moran Plonsky Toder, Shirley Pollack, Rami Tibi, Irina Libinson-Zebegret, Renata Yakubov, Israel Eisenstein, Mika Shapira Rootman, Daniella Magen
{"title":"扩展的crb2相关疾病表型:同卵双胞胎的多系统受累和移植后并发症","authors":"Moran Plonsky Toder, Shirley Pollack, Rami Tibi, Irina Libinson-Zebegret, Renata Yakubov, Israel Eisenstein, Mika Shapira Rootman, Daniella Magen","doi":"10.1007/s00467-025-06827-w","DOIUrl":null,"url":null,"abstract":"<p><strong>Background: </strong>Congenital nephrotic syndrome (CNS) is a rare disorder caused by mutations in genes essential for podocyte function and glomerular slit diaphragm integrity, including CRB2 (Crumbs Cell Polarity Complex Component 2). CRB2 mutations are linked to focal segmental glomerulosclerosis and ventriculomegaly with cystic kidney disease, but their full phenotypic spectrum remains unclear. We describe the clinical course of monozygotic twins with a homozygous CRB2 mutation, highlighting severe complications following kidney transplantation.</p><p><strong>Methods: </strong>The twins, who were followed and managed throughout their clinical course, were diagnosed with CNS after prenatal suspicion of polycystic kidney disease. Initial exome sequencing was negative, but subsequent whole exome sequencing revealed a homozygous CRB2 variant.</p><p><strong>Results: </strong>Both twins presented with CNS, requiring intensive supportive care. Additional findings included cerebral heterotopia, cardiac involvement, and developmental delay. They both progressed to kidney failure, necessitating hemodialysis in early childhood. Post-transplant, the first twin succumbed to a systemic fungal infection, while the second developed complications linked to immune dysregulation, including post-transplant lymphoproliferative disease (PTLD), immune thrombocytopenic purpura (ITP), multiple viremias, and de novo donor-specific antibodies (DSA).</p><p><strong>Conclusions: </strong>This case expands the phenotypic spectrum of CRB2-related disease, highlights management challenges, and underscores the need for genetic re-analysis in rare diseases. Further research is required to understand CRB2-related mechanisms.</p>","PeriodicalId":19735,"journal":{"name":"Pediatric Nephrology","volume":" ","pages":"3093-3099"},"PeriodicalIF":2.6000,"publicationDate":"2025-10-01","publicationTypes":"Journal Article","fieldsOfStudy":null,"isOpenAccess":false,"openAccessPdf":"https://www.ncbi.nlm.nih.gov/pmc/articles/PMC12401768/pdf/","citationCount":"0","resultStr":"{\"title\":\"Expanded CRB2-related disease phenotype: multisystem involvement and post-transplant complications in monozygotic twins.\",\"authors\":\"Moran Plonsky Toder, Shirley Pollack, Rami Tibi, Irina Libinson-Zebegret, Renata Yakubov, Israel Eisenstein, Mika Shapira Rootman, Daniella Magen\",\"doi\":\"10.1007/s00467-025-06827-w\",\"DOIUrl\":null,\"url\":null,\"abstract\":\"<p><strong>Background: </strong>Congenital nephrotic syndrome (CNS) is a rare disorder caused by mutations in genes essential for podocyte function and glomerular slit diaphragm integrity, including CRB2 (Crumbs Cell Polarity Complex Component 2). CRB2 mutations are linked to focal segmental glomerulosclerosis and ventriculomegaly with cystic kidney disease, but their full phenotypic spectrum remains unclear. We describe the clinical course of monozygotic twins with a homozygous CRB2 mutation, highlighting severe complications following kidney transplantation.</p><p><strong>Methods: </strong>The twins, who were followed and managed throughout their clinical course, were diagnosed with CNS after prenatal suspicion of polycystic kidney disease. Initial exome sequencing was negative, but subsequent whole exome sequencing revealed a homozygous CRB2 variant.</p><p><strong>Results: </strong>Both twins presented with CNS, requiring intensive supportive care. Additional findings included cerebral heterotopia, cardiac involvement, and developmental delay. They both progressed to kidney failure, necessitating hemodialysis in early childhood. Post-transplant, the first twin succumbed to a systemic fungal infection, while the second developed complications linked to immune dysregulation, including post-transplant lymphoproliferative disease (PTLD), immune thrombocytopenic purpura (ITP), multiple viremias, and de novo donor-specific antibodies (DSA).</p><p><strong>Conclusions: </strong>This case expands the phenotypic spectrum of CRB2-related disease, highlights management challenges, and underscores the need for genetic re-analysis in rare diseases. Further research is required to understand CRB2-related mechanisms.</p>\",\"PeriodicalId\":19735,\"journal\":{\"name\":\"Pediatric Nephrology\",\"volume\":\" \",\"pages\":\"3093-3099\"},\"PeriodicalIF\":2.6000,\"publicationDate\":\"2025-10-01\",\"publicationTypes\":\"Journal Article\",\"fieldsOfStudy\":null,\"isOpenAccess\":false,\"openAccessPdf\":\"https://www.ncbi.nlm.nih.gov/pmc/articles/PMC12401768/pdf/\",\"citationCount\":\"0\",\"resultStr\":null,\"platform\":\"Semanticscholar\",\"paperid\":null,\"PeriodicalName\":\"Pediatric Nephrology\",\"FirstCategoryId\":\"3\",\"ListUrlMain\":\"https://doi.org/10.1007/s00467-025-06827-w\",\"RegionNum\":3,\"RegionCategory\":\"医学\",\"ArticlePicture\":[],\"TitleCN\":null,\"AbstractTextCN\":null,\"PMCID\":null,\"EPubDate\":\"2025/6/3 0:00:00\",\"PubModel\":\"Epub\",\"JCR\":\"Q1\",\"JCRName\":\"PEDIATRICS\",\"Score\":null,\"Total\":0}","platform":"Semanticscholar","paperid":null,"PeriodicalName":"Pediatric Nephrology","FirstCategoryId":"3","ListUrlMain":"https://doi.org/10.1007/s00467-025-06827-w","RegionNum":3,"RegionCategory":"医学","ArticlePicture":[],"TitleCN":null,"AbstractTextCN":null,"PMCID":null,"EPubDate":"2025/6/3 0:00:00","PubModel":"Epub","JCR":"Q1","JCRName":"PEDIATRICS","Score":null,"Total":0}
引用次数: 0

摘要

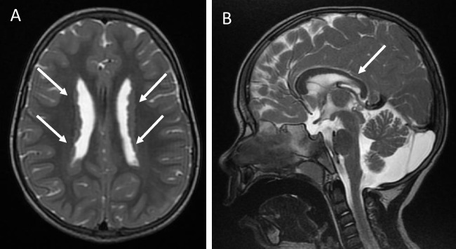
背景:先天性肾病综合征(CNS)是一种罕见的疾病,由足细胞功能和肾小球狭缝隔膜完整性所必需的基因突变引起,包括CRB2(碎屑细胞极性复合物组分2)。CRB2突变与局灶节段性肾小球硬化和囊性肾病伴心室肿大有关,但其完整表型谱尚不清楚。我们描述了纯合子CRB2突变的同卵双胞胎的临床过程,突出了肾移植后的严重并发症。方法:对产前怀疑多囊肾病后诊断为CNS的双胞胎进行随访和全程管理。最初的外显子组测序结果为阴性,但随后的全外显子组测序显示为纯合子CRB2变体。结果:两名双胞胎均出现中枢神经系统,需要加强支持治疗。其他发现包括脑异位、心脏受累和发育迟缓。他们都发展为肾衰竭,需要在儿童早期进行血液透析。移植后,第一个双胞胎死于全身性真菌感染,而第二个双胞胎则出现了与免疫失调相关的并发症,包括移植后淋巴细胞增生性疾病(PTLD)、免疫性血小板减少性紫癜(ITP)、多种病毒血症和新生供体特异性抗体(DSA)。结论:本病例扩大了crb2相关疾病的表型谱,突出了管理方面的挑战,并强调了对罕见病进行基因重新分析的必要性。crb2的相关机制有待进一步研究。
本文章由计算机程序翻译,如有差异,请以英文原文为准。

Expanded CRB2-related disease phenotype: multisystem involvement and post-transplant complications in monozygotic twins.

Expanded CRB2-related disease phenotype: multisystem involvement and post-transplant complications in monozygotic twins.

Expanded CRB2-related disease phenotype: multisystem involvement and post-transplant complications in monozygotic twins.

Expanded CRB2-related disease phenotype: multisystem involvement and post-transplant complications in monozygotic twins.

Background: Congenital nephrotic syndrome (CNS) is a rare disorder caused by mutations in genes essential for podocyte function and glomerular slit diaphragm integrity, including CRB2 (Crumbs Cell Polarity Complex Component 2). CRB2 mutations are linked to focal segmental glomerulosclerosis and ventriculomegaly with cystic kidney disease, but their full phenotypic spectrum remains unclear. We describe the clinical course of monozygotic twins with a homozygous CRB2 mutation, highlighting severe complications following kidney transplantation.

Methods: The twins, who were followed and managed throughout their clinical course, were diagnosed with CNS after prenatal suspicion of polycystic kidney disease. Initial exome sequencing was negative, but subsequent whole exome sequencing revealed a homozygous CRB2 variant.

Results: Both twins presented with CNS, requiring intensive supportive care. Additional findings included cerebral heterotopia, cardiac involvement, and developmental delay. They both progressed to kidney failure, necessitating hemodialysis in early childhood. Post-transplant, the first twin succumbed to a systemic fungal infection, while the second developed complications linked to immune dysregulation, including post-transplant lymphoproliferative disease (PTLD), immune thrombocytopenic purpura (ITP), multiple viremias, and de novo donor-specific antibodies (DSA).

Conclusions: This case expands the phenotypic spectrum of CRB2-related disease, highlights management challenges, and underscores the need for genetic re-analysis in rare diseases. Further research is required to understand CRB2-related mechanisms.

求助全文
通过发布文献求助,成功后即可免费获取论文全文。 去求助
来源期刊
Pediatric Nephrology
Pediatric Nephrology 医学-泌尿学与肾脏学
CiteScore
4.70
自引率
20.00%
发文量
465
审稿时长
1 months
期刊介绍: International Pediatric Nephrology Association Pediatric Nephrology publishes original clinical research related to acute and chronic diseases that affect renal function, blood pressure, and fluid and electrolyte disorders in children. Studies may involve medical, surgical, nutritional, physiologic, biochemical, genetic, pathologic or immunologic aspects of disease, imaging techniques or consequences of acute or chronic kidney disease. There are 12 issues per year that contain Editorial Commentaries, Reviews, Educational Reviews, Original Articles, Brief Reports, Rapid Communications, Clinical Quizzes, and Letters to the Editors.
×
引用
GB/T 7714-2015
复制
MLA
复制
APA
复制
导出至
BibTeX EndNote RefMan NoteFirst NoteExpress
×
提示
您的信息不完整,为了账户安全,请先补充。
现在去补充
×
提示
您因"违规操作"
具体请查看互助需知
我知道了
×
提示
确定
请完成安全验证×
copy
已复制链接
快去分享给好友吧!
我知道了
右上角分享
点击右上角分享
0
联系我们:info@booksci.cn Book学术提供免费学术资源搜索服务,方便国内外学者检索中英文文献。致力于提供最便捷和优质的服务体验。 Copyright © 2023 布克学术 All rights reserved.
京ICP备2023020795号-1
ghs 京公网安备 11010802042870号
Book学术文献互助
Book学术文献互助群
群 号:604180095
Book学术官方微信