紫癜性糠疹多发于神经性厌食症患者。

IF 1.3 Q2 DERMATOLOGY
Dermatology Reports Pub Date : 2025-08-22 Epub Date: 2025-01-20 DOI:10.4081/dr.2025.10053
Giulia Ciccarese, Antonio Guadagno, Astrid Herzum, Valentina Amicarelli, Francesco Drago
{"title":"紫癜性糠疹多发于神经性厌食症患者。","authors":"Giulia Ciccarese, Antonio Guadagno, Astrid Herzum, Valentina Amicarelli, Francesco Drago","doi":"10.4081/dr.2025.10053","DOIUrl":null,"url":null,"abstract":"<p><p>Pityriasis rosea (PR) is an exanthematous disease associated with the endogenous systemic reactivation of human herpesvirus (HHV)-6 and/or HHV-7. Variants of PR characterized by atypical lesion morphology, eruption course, and severe symptoms have already been described, but their prevalence is probably underestimated. We report herein two patients suffering from anorexia nervosa (AN) who developed a very rare form of purpuric PR. So far, no cases of PR in AN patients have been reported in the literature.</p>","PeriodicalId":11049,"journal":{"name":"Dermatology Reports","volume":" ","pages":""},"PeriodicalIF":1.3000,"publicationDate":"2025-08-22","publicationTypes":"Journal Article","fieldsOfStudy":null,"isOpenAccess":false,"openAccessPdf":"https://www.ncbi.nlm.nih.gov/pmc/articles/PMC12421530/pdf/","citationCount":"0","resultStr":"{\"title\":\"Purpuric pityriasis rosea in patients with anorexia nervosa.\",\"authors\":\"Giulia Ciccarese, Antonio Guadagno, Astrid Herzum, Valentina Amicarelli, Francesco Drago\",\"doi\":\"10.4081/dr.2025.10053\",\"DOIUrl\":null,\"url\":null,\"abstract\":\"<p><p>Pityriasis rosea (PR) is an exanthematous disease associated with the endogenous systemic reactivation of human herpesvirus (HHV)-6 and/or HHV-7. Variants of PR characterized by atypical lesion morphology, eruption course, and severe symptoms have already been described, but their prevalence is probably underestimated. We report herein two patients suffering from anorexia nervosa (AN) who developed a very rare form of purpuric PR. So far, no cases of PR in AN patients have been reported in the literature.</p>\",\"PeriodicalId\":11049,\"journal\":{\"name\":\"Dermatology Reports\",\"volume\":\" \",\"pages\":\"\"},\"PeriodicalIF\":1.3000,\"publicationDate\":\"2025-08-22\",\"publicationTypes\":\"Journal Article\",\"fieldsOfStudy\":null,\"isOpenAccess\":false,\"openAccessPdf\":\"https://www.ncbi.nlm.nih.gov/pmc/articles/PMC12421530/pdf/\",\"citationCount\":\"0\",\"resultStr\":null,\"platform\":\"Semanticscholar\",\"paperid\":null,\"PeriodicalName\":\"Dermatology Reports\",\"FirstCategoryId\":\"1085\",\"ListUrlMain\":\"https://doi.org/10.4081/dr.2025.10053\",\"RegionNum\":0,\"RegionCategory\":null,\"ArticlePicture\":[],\"TitleCN\":null,\"AbstractTextCN\":null,\"PMCID\":null,\"EPubDate\":\"2025/1/20 0:00:00\",\"PubModel\":\"Epub\",\"JCR\":\"Q2\",\"JCRName\":\"DERMATOLOGY\",\"Score\":null,\"Total\":0}","platform":"Semanticscholar","paperid":null,"PeriodicalName":"Dermatology Reports","FirstCategoryId":"1085","ListUrlMain":"https://doi.org/10.4081/dr.2025.10053","RegionNum":0,"RegionCategory":null,"ArticlePicture":[],"TitleCN":null,"AbstractTextCN":null,"PMCID":null,"EPubDate":"2025/1/20 0:00:00","PubModel":"Epub","JCR":"Q2","JCRName":"DERMATOLOGY","Score":null,"Total":0}
引用次数: 0

摘要

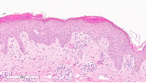
玫瑰糠疹(PR)是一种与人疱疹病毒(HHV)-6和/或HHV-7内源性全身再激活相关的疹性疾病。以非典型病变形态、爆发过程和严重症状为特征的PR变异已经被描述过,但其患病率可能被低估了。我们在此报告两例神经性厌食症(AN)患者发展为一种非常罕见的紫癜性PR。到目前为止,文献中尚未报道AN患者发生PR的病例。在AN中,受损的细胞介导的免疫可能有利于HHV- 6和/或HHV-7的内源性全身再激活,从而导致PR。此外,血管细胞粘附分子1、白细胞介素6和肿瘤坏死因子-α的水平升高已在AN患者中被证实,这可能是血管功能障碍增加的原因。
本文章由计算机程序翻译,如有差异,请以英文原文为准。

Purpuric pityriasis rosea in patients with anorexia nervosa.

Purpuric pityriasis rosea in patients with anorexia nervosa.

Purpuric pityriasis rosea in patients with anorexia nervosa.

Pityriasis rosea (PR) is an exanthematous disease associated with the endogenous systemic reactivation of human herpesvirus (HHV)-6 and/or HHV-7. Variants of PR characterized by atypical lesion morphology, eruption course, and severe symptoms have already been described, but their prevalence is probably underestimated. We report herein two patients suffering from anorexia nervosa (AN) who developed a very rare form of purpuric PR. So far, no cases of PR in AN patients have been reported in the literature.

求助全文
通过发布文献求助,成功后即可免费获取论文全文。 去求助
来源期刊
Dermatology Reports
Dermatology Reports DERMATOLOGY-
CiteScore
1.40
自引率
0.00%
发文量
74
审稿时长
10 weeks
×
引用
GB/T 7714-2015
复制
MLA
复制
APA
复制
导出至
BibTeX EndNote RefMan NoteFirst NoteExpress
×
提示
您的信息不完整,为了账户安全,请先补充。
现在去补充
×
提示
您因"违规操作"
具体请查看互助需知
我知道了
×
提示
确定
请完成安全验证×
copy
已复制链接
快去分享给好友吧!
我知道了
右上角分享
点击右上角分享
0
联系我们:info@booksci.cn Book学术提供免费学术资源搜索服务,方便国内外学者检索中英文文献。致力于提供最便捷和优质的服务体验。 Copyright © 2023 布克学术 All rights reserved.
京ICP备2023020795号-1
ghs 京公网安备 11010802042870号
Book学术文献互助
Book学术文献互助群
群 号:604180095
Book学术官方微信