肌萎缩性侧索硬化症患者的PET-MRI自身免疫性脑炎模式

IF 0.5 Q4 RADIOLOGY, NUCLEAR MEDICINE & MEDICAL IMAGING
Indian Journal of Nuclear Medicine Pub Date : 2025-01-01 Epub Date: 2025-05-16 DOI:10.4103/ijnm.ijnm_9_24
Sandesh Voosala, M Sandhya, P S Mathuranath, Rohan R Mahale
{"title":"肌萎缩性侧索硬化症患者的PET-MRI自身免疫性脑炎模式","authors":"Sandesh Voosala, M Sandhya, P S Mathuranath, Rohan R Mahale","doi":"10.4103/ijnm.ijnm_9_24","DOIUrl":null,"url":null,"abstract":"<p><p>Amyotrophic lateral sclerosis (ALS) is a progressive primary motor neuron disorder whose etiology is a subject of debate even today. Interplay between multiple genetic and environmental factors and co-existent/antecedent infection, inflammation, and malignancy have all been hypothesized as potentially causative for this disease. Owing to its hybrid diagnostic capability, fluorodeoxyglucose positron emission tomography-magnetic resonance imaging is highly valuable in detecting varied autoimmune encephalitis patterns, one of which we report in a patient with ALS providing insight into autoimmunity as a potential etiology in the pathogenesis of this disease.</p>","PeriodicalId":45830,"journal":{"name":"Indian Journal of Nuclear Medicine","volume":"40 1","pages":"22-25"},"PeriodicalIF":0.5000,"publicationDate":"2025-01-01","publicationTypes":"Journal Article","fieldsOfStudy":null,"isOpenAccess":false,"openAccessPdf":"https://www.ncbi.nlm.nih.gov/pmc/articles/PMC12121842/pdf/","citationCount":"0","resultStr":"{\"title\":\"Autoimmune Encephalitis Pattern on PET-MRI in a Patient with Amyotrophic Lateral Sclerosis.\",\"authors\":\"Sandesh Voosala, M Sandhya, P S Mathuranath, Rohan R Mahale\",\"doi\":\"10.4103/ijnm.ijnm_9_24\",\"DOIUrl\":null,\"url\":null,\"abstract\":\"<p><p>Amyotrophic lateral sclerosis (ALS) is a progressive primary motor neuron disorder whose etiology is a subject of debate even today. Interplay between multiple genetic and environmental factors and co-existent/antecedent infection, inflammation, and malignancy have all been hypothesized as potentially causative for this disease. Owing to its hybrid diagnostic capability, fluorodeoxyglucose positron emission tomography-magnetic resonance imaging is highly valuable in detecting varied autoimmune encephalitis patterns, one of which we report in a patient with ALS providing insight into autoimmunity as a potential etiology in the pathogenesis of this disease.</p>\",\"PeriodicalId\":45830,\"journal\":{\"name\":\"Indian Journal of Nuclear Medicine\",\"volume\":\"40 1\",\"pages\":\"22-25\"},\"PeriodicalIF\":0.5000,\"publicationDate\":\"2025-01-01\",\"publicationTypes\":\"Journal Article\",\"fieldsOfStudy\":null,\"isOpenAccess\":false,\"openAccessPdf\":\"https://www.ncbi.nlm.nih.gov/pmc/articles/PMC12121842/pdf/\",\"citationCount\":\"0\",\"resultStr\":null,\"platform\":\"Semanticscholar\",\"paperid\":null,\"PeriodicalName\":\"Indian Journal of Nuclear Medicine\",\"FirstCategoryId\":\"1085\",\"ListUrlMain\":\"https://doi.org/10.4103/ijnm.ijnm_9_24\",\"RegionNum\":0,\"RegionCategory\":null,\"ArticlePicture\":[],\"TitleCN\":null,\"AbstractTextCN\":null,\"PMCID\":null,\"EPubDate\":\"2025/5/16 0:00:00\",\"PubModel\":\"Epub\",\"JCR\":\"Q4\",\"JCRName\":\"RADIOLOGY, NUCLEAR MEDICINE & MEDICAL IMAGING\",\"Score\":null,\"Total\":0}","platform":"Semanticscholar","paperid":null,"PeriodicalName":"Indian Journal of Nuclear Medicine","FirstCategoryId":"1085","ListUrlMain":"https://doi.org/10.4103/ijnm.ijnm_9_24","RegionNum":0,"RegionCategory":null,"ArticlePicture":[],"TitleCN":null,"AbstractTextCN":null,"PMCID":null,"EPubDate":"2025/5/16 0:00:00","PubModel":"Epub","JCR":"Q4","JCRName":"RADIOLOGY, NUCLEAR MEDICINE & MEDICAL IMAGING","Score":null,"Total":0}
引用次数: 0

摘要

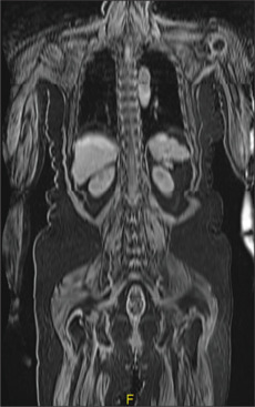
肌萎缩性侧索硬化症(ALS)是一种进行性原发性运动神经元疾病,其病因至今仍有争议。多种遗传和环境因素之间的相互作用以及共存/先行的感染、炎症和恶性肿瘤都被假设为该病的潜在病因。由于其混合诊断能力,氟脱氧葡萄糖正电子发射断层扫描-磁共振成像在检测各种自身免疫性脑炎模式方面具有很高的价值,我们在ALS患者中报道了其中一种,为自身免疫作为该疾病发病机制的潜在病因提供了见解。
本文章由计算机程序翻译,如有差异,请以英文原文为准。

Autoimmune Encephalitis Pattern on PET-MRI in a Patient with Amyotrophic Lateral Sclerosis.

Autoimmune Encephalitis Pattern on PET-MRI in a Patient with Amyotrophic Lateral Sclerosis.

Autoimmune Encephalitis Pattern on PET-MRI in a Patient with Amyotrophic Lateral Sclerosis.

Autoimmune Encephalitis Pattern on PET-MRI in a Patient with Amyotrophic Lateral Sclerosis.

Amyotrophic lateral sclerosis (ALS) is a progressive primary motor neuron disorder whose etiology is a subject of debate even today. Interplay between multiple genetic and environmental factors and co-existent/antecedent infection, inflammation, and malignancy have all been hypothesized as potentially causative for this disease. Owing to its hybrid diagnostic capability, fluorodeoxyglucose positron emission tomography-magnetic resonance imaging is highly valuable in detecting varied autoimmune encephalitis patterns, one of which we report in a patient with ALS providing insight into autoimmunity as a potential etiology in the pathogenesis of this disease.

求助全文
通过发布文献求助,成功后即可免费获取论文全文。 去求助
来源期刊
Indian Journal of Nuclear Medicine
Indian Journal of Nuclear Medicine RADIOLOGY, NUCLEAR MEDICINE & MEDICAL IMAGING-
CiteScore
0.70
自引率
0.00%
发文量
46
×
引用
GB/T 7714-2015
复制
MLA
复制
APA
复制
导出至
BibTeX EndNote RefMan NoteFirst NoteExpress
×
提示
您的信息不完整,为了账户安全,请先补充。
现在去补充
×
提示
您因"违规操作"
具体请查看互助需知
我知道了
×
提示
确定
请完成安全验证×
copy
已复制链接
快去分享给好友吧!
我知道了
右上角分享
点击右上角分享
0
联系我们:info@booksci.cn Book学术提供免费学术资源搜索服务,方便国内外学者检索中英文文献。致力于提供最便捷和优质的服务体验。 Copyright © 2023 布克学术 All rights reserved.
京ICP备2023020795号-1
ghs 京公网安备 11010802042870号
Book学术文献互助
Book学术文献互助群
群 号:604180095
Book学术官方微信