局部晚期非小细胞肺癌新辅助免疫检查点抑制剂治疗引发的破坏性甲状腺炎的手术治疗:1例报告。

IF 0.7 Q4 SURGERY
Surgical Case Reports Pub Date : 2025-01-01 Epub Date: 2025-05-28 DOI:10.70352/scrj.cr.25-0104
Sachi Kawagishi, Toru Kimura, Kenji Kimura, Eriko Fukui, Takashi Kanou, Naoko Ose, Yasushi Shintani
{"title":"局部晚期非小细胞肺癌新辅助免疫检查点抑制剂治疗引发的破坏性甲状腺炎的手术治疗:1例报告。","authors":"Sachi Kawagishi, Toru Kimura, Kenji Kimura, Eriko Fukui, Takashi Kanou, Naoko Ose, Yasushi Shintani","doi":"10.70352/scrj.cr.25-0104","DOIUrl":null,"url":null,"abstract":"<p><strong>Introduction: </strong>The use of immune checkpoint inhibitors (ICIs) as neoadjuvant therapies for locally advanced and resectable non-small cell lung cancer is increasing. As a result, immune-related adverse events (irAEs) may be observed before surgery and may require preoperative intervention. We report the case of a patient with destructive thyroiditis induced by neoadjuvant ICI treatment, in which surgical resection was performed after steroid treatment.</p><p><strong>Case presentation: </strong>A 74-year-old woman was diagnosed with slow-growing squamous cell carcinoma of the right upper lobe during treatment for another disease. Imaging studies revealed a small nodule suggestive of pulmonary metastasis in the right upper lobe and hilar lymph node metastasis. The patient was initially diagnosed with primary lung cancer of the right upper lobe (cT3N1M0, Stage IIIA, TNM Classification, 8th edition), and neoadjuvant nivolumab combined with chemotherapy was planned every 3 weeks for three cycles. After the first cycle, the patient experienced drug-induced kidney injury. Nivolumab and chemotherapy were discontinued, and surgical resection was planned. However, a laboratory analysis on the day before surgery revealed elevated free triiodothyronine and free thyroxine, and decreased thyroid-stimulating hormone. Subsequent examination led to a diagnosis of destructive thyroiditis due to irAEs, and surgery was postponed. Dexamethasone was administered orally for 1 week, and once the thyroid function showed consistent improvement, a thoracoscopic right upper lobectomy was performed. The patient progressed without any other complications after surgery.</p><p><strong>Conclusions: </strong>This report highlights a case of preoperative destructive thyroiditis secondary to irAEs. In patients receiving preoperative ICIs therapy, routine blood tests, including thyroid function tests, are recommended as part of preoperative assessment. In this case, the patient underwent lobectomy safely following steroid administration. The optimal timing of surgery in patients with preoperative ICI-induced destructive thyroiditis requires further investigation.</p>","PeriodicalId":22096,"journal":{"name":"Surgical Case Reports","volume":"11 1","pages":""},"PeriodicalIF":0.7000,"publicationDate":"2025-01-01","publicationTypes":"Journal Article","fieldsOfStudy":null,"isOpenAccess":false,"openAccessPdf":"https://www.ncbi.nlm.nih.gov/pmc/articles/PMC12127077/pdf/","citationCount":"0","resultStr":"{\"title\":\"Surgical Management of Destructive Thyroiditis Triggered by Neoadjuvant Immune Checkpoint Inhibitor Therapy in Locally Advanced Non-Small Cell Lung Cancer: A Case Report.\",\"authors\":\"Sachi Kawagishi, Toru Kimura, Kenji Kimura, Eriko Fukui, Takashi Kanou, Naoko Ose, Yasushi Shintani\",\"doi\":\"10.70352/scrj.cr.25-0104\",\"DOIUrl\":null,\"url\":null,\"abstract\":\"<p><strong>Introduction: </strong>The use of immune checkpoint inhibitors (ICIs) as neoadjuvant therapies for locally advanced and resectable non-small cell lung cancer is increasing. As a result, immune-related adverse events (irAEs) may be observed before surgery and may require preoperative intervention. We report the case of a patient with destructive thyroiditis induced by neoadjuvant ICI treatment, in which surgical resection was performed after steroid treatment.</p><p><strong>Case presentation: </strong>A 74-year-old woman was diagnosed with slow-growing squamous cell carcinoma of the right upper lobe during treatment for another disease. Imaging studies revealed a small nodule suggestive of pulmonary metastasis in the right upper lobe and hilar lymph node metastasis. The patient was initially diagnosed with primary lung cancer of the right upper lobe (cT3N1M0, Stage IIIA, TNM Classification, 8th edition), and neoadjuvant nivolumab combined with chemotherapy was planned every 3 weeks for three cycles. After the first cycle, the patient experienced drug-induced kidney injury. Nivolumab and chemotherapy were discontinued, and surgical resection was planned. However, a laboratory analysis on the day before surgery revealed elevated free triiodothyronine and free thyroxine, and decreased thyroid-stimulating hormone. Subsequent examination led to a diagnosis of destructive thyroiditis due to irAEs, and surgery was postponed. Dexamethasone was administered orally for 1 week, and once the thyroid function showed consistent improvement, a thoracoscopic right upper lobectomy was performed. The patient progressed without any other complications after surgery.</p><p><strong>Conclusions: </strong>This report highlights a case of preoperative destructive thyroiditis secondary to irAEs. In patients receiving preoperative ICIs therapy, routine blood tests, including thyroid function tests, are recommended as part of preoperative assessment. In this case, the patient underwent lobectomy safely following steroid administration. The optimal timing of surgery in patients with preoperative ICI-induced destructive thyroiditis requires further investigation.</p>\",\"PeriodicalId\":22096,\"journal\":{\"name\":\"Surgical Case Reports\",\"volume\":\"11 1\",\"pages\":\"\"},\"PeriodicalIF\":0.7000,\"publicationDate\":\"2025-01-01\",\"publicationTypes\":\"Journal Article\",\"fieldsOfStudy\":null,\"isOpenAccess\":false,\"openAccessPdf\":\"https://www.ncbi.nlm.nih.gov/pmc/articles/PMC12127077/pdf/\",\"citationCount\":\"0\",\"resultStr\":null,\"platform\":\"Semanticscholar\",\"paperid\":null,\"PeriodicalName\":\"Surgical Case Reports\",\"FirstCategoryId\":\"1085\",\"ListUrlMain\":\"https://doi.org/10.70352/scrj.cr.25-0104\",\"RegionNum\":0,\"RegionCategory\":null,\"ArticlePicture\":[],\"TitleCN\":null,\"AbstractTextCN\":null,\"PMCID\":null,\"EPubDate\":\"2025/5/28 0:00:00\",\"PubModel\":\"Epub\",\"JCR\":\"Q4\",\"JCRName\":\"SURGERY\",\"Score\":null,\"Total\":0}","platform":"Semanticscholar","paperid":null,"PeriodicalName":"Surgical Case Reports","FirstCategoryId":"1085","ListUrlMain":"https://doi.org/10.70352/scrj.cr.25-0104","RegionNum":0,"RegionCategory":null,"ArticlePicture":[],"TitleCN":null,"AbstractTextCN":null,"PMCID":null,"EPubDate":"2025/5/28 0:00:00","PubModel":"Epub","JCR":"Q4","JCRName":"SURGERY","Score":null,"Total":0}
引用次数: 0

摘要

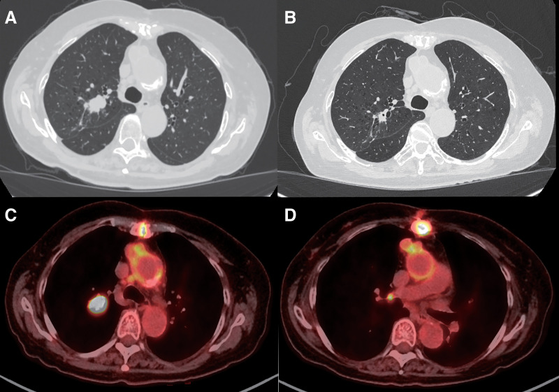
免疫检查点抑制剂(ICIs)作为局部晚期和可切除的非小细胞肺癌的新辅助治疗正在增加。因此,在手术前可以观察到免疫相关不良事件(irAEs),可能需要术前干预。我们报告一例患者的破坏性甲状腺炎由新辅助ICI治疗,其中手术切除后进行类固醇治疗。病例介绍:一名74岁女性在治疗另一种疾病期间被诊断为右上叶缓慢生长的鳞状细胞癌。影像学检查显示右上肺叶小结节提示肺转移及肺门淋巴结转移。患者最初诊断为原发性右上肺肺癌(cT3N1M0, IIIA期,TNM分类,第8版),计划每3周新辅助纳武单抗联合化疗,共3个周期。第一个周期后,患者出现药物性肾损伤。停用纳武单抗和化疗,计划手术切除。然而,手术前一天的实验室分析显示游离三碘甲状腺原氨酸和游离甲状腺素升高,促甲状腺激素降低。随后的检查被诊断为破坏性甲状腺炎,并推迟手术。口服地塞米松1周,甲状腺功能持续改善后行胸腔镜右上肺叶切除术。术后患者病情进展无其他并发症。结论:本报告强调了一例术前继发于irAEs的破坏性甲状腺炎。在术前接受ICIs治疗的患者中,建议常规血液检查,包括甲状腺功能检查,作为术前评估的一部分。在本例中,患者在服用类固醇后安全接受了肺叶切除术。术前ci诱导的破坏性甲状腺炎患者的最佳手术时机需要进一步研究。
本文章由计算机程序翻译,如有差异,请以英文原文为准。

Surgical Management of Destructive Thyroiditis Triggered by Neoadjuvant Immune Checkpoint Inhibitor Therapy in Locally Advanced Non-Small Cell Lung Cancer: A Case Report.

Surgical Management of Destructive Thyroiditis Triggered by Neoadjuvant Immune Checkpoint Inhibitor Therapy in Locally Advanced Non-Small Cell Lung Cancer: A Case Report.

Surgical Management of Destructive Thyroiditis Triggered by Neoadjuvant Immune Checkpoint Inhibitor Therapy in Locally Advanced Non-Small Cell Lung Cancer: A Case Report.

Introduction: The use of immune checkpoint inhibitors (ICIs) as neoadjuvant therapies for locally advanced and resectable non-small cell lung cancer is increasing. As a result, immune-related adverse events (irAEs) may be observed before surgery and may require preoperative intervention. We report the case of a patient with destructive thyroiditis induced by neoadjuvant ICI treatment, in which surgical resection was performed after steroid treatment.

Case presentation: A 74-year-old woman was diagnosed with slow-growing squamous cell carcinoma of the right upper lobe during treatment for another disease. Imaging studies revealed a small nodule suggestive of pulmonary metastasis in the right upper lobe and hilar lymph node metastasis. The patient was initially diagnosed with primary lung cancer of the right upper lobe (cT3N1M0, Stage IIIA, TNM Classification, 8th edition), and neoadjuvant nivolumab combined with chemotherapy was planned every 3 weeks for three cycles. After the first cycle, the patient experienced drug-induced kidney injury. Nivolumab and chemotherapy were discontinued, and surgical resection was planned. However, a laboratory analysis on the day before surgery revealed elevated free triiodothyronine and free thyroxine, and decreased thyroid-stimulating hormone. Subsequent examination led to a diagnosis of destructive thyroiditis due to irAEs, and surgery was postponed. Dexamethasone was administered orally for 1 week, and once the thyroid function showed consistent improvement, a thoracoscopic right upper lobectomy was performed. The patient progressed without any other complications after surgery.

Conclusions: This report highlights a case of preoperative destructive thyroiditis secondary to irAEs. In patients receiving preoperative ICIs therapy, routine blood tests, including thyroid function tests, are recommended as part of preoperative assessment. In this case, the patient underwent lobectomy safely following steroid administration. The optimal timing of surgery in patients with preoperative ICI-induced destructive thyroiditis requires further investigation.

求助全文
通过发布文献求助,成功后即可免费获取论文全文。 去求助
来源期刊
自引率
0.00%
发文量
218
审稿时长
13 weeks
×
引用
GB/T 7714-2015
复制
MLA
复制
APA
复制
导出至
BibTeX EndNote RefMan NoteFirst NoteExpress
×
提示
您的信息不完整,为了账户安全,请先补充。
现在去补充
×
提示
您因"违规操作"
具体请查看互助需知
我知道了
×
提示
确定
请完成安全验证×
copy
已复制链接
快去分享给好友吧!
我知道了
右上角分享
点击右上角分享
0
联系我们:info@booksci.cn Book学术提供免费学术资源搜索服务,方便国内外学者检索中英文文献。致力于提供最便捷和优质的服务体验。 Copyright © 2023 布克学术 All rights reserved.
京ICP备2023020795号-1
ghs 京公网安备 11010802042870号
Book学术文献互助
Book学术文献互助群
群 号:604180095
Book学术官方微信