虚拟玻璃体视网膜诊所:未来的服务提供途径。

IF 2.4 Q2 OPHTHALMOLOGY
Elizabeth Yang, Amelia Rees, Shantelle Ahadzi, Yvonne Kanna, Philipp Schwember, Robert Henderson, Lyndon da Cruz
{"title":"虚拟玻璃体视网膜诊所:未来的服务提供途径。","authors":"Elizabeth Yang, Amelia Rees, Shantelle Ahadzi, Yvonne Kanna, Philipp Schwember, Robert Henderson, Lyndon da Cruz","doi":"10.1186/s40942-025-00684-3","DOIUrl":null,"url":null,"abstract":"<p><strong>Background: </strong>Vitreo-macular interface (VMI) disorders, including epiretinal membrane (ERM) diagnosed on optical coherence tomography (OCT), form a significant proportion of elective referrals to vitreoretinal (VR) surgeons. An in-person visit to a clinician involves travelling, waiting, investigations then an interaction with the surgeon, which entails many inefficiencies in a large institution. We report the pilot studies of a VR virtual service where these patients can be more efficiently reviewed, investigated, listed for surgery or discharged.</p><p><strong>Methods: </strong>This was a prospective observational study comparing the outcomes of a virtual assessment to standard face-to-face clinics. All patients included were referred from optometry practices for ERM diagnosed on macula OCT. A first pilot study comprised 79 patients, who attended a diagnostics centre staffed with ophthalmic-trained technicians. A short history, visual acuity and ocular pressures were recorded. Widefield colour photographs and macular OCT images were acquired. Cases were asynchronously reviewed by trained ophthalmologists and senior nurses within the week, and following a telephone consultation with the patient, a virtual management plan was documented. All patients attended 1 week later for a face-to-face appointment, following which, virtual and face-to-face management plans were compared. A second pilot comprised 65 patients, through the same pathway, to examine consistency. A post-hoc analysis was carried out to identify the cohort of patients who would be suitable for a virtual management decision without a telephone consultation.</p><p><strong>Results: </strong>ERMs comprised 35% of overall elective referrals in this study. In Pilot 1, 42% were virtually assessed for discharge, with high concordance with face-to-face outcomes (positive predictive value = 89%). There were 3 cases of missed retinal tears, and 1 OCT misdiagnosis. In the second pilot, 43% were discharged virtually, with higher concordant discharge rates (positive predictive value = 93%). There were no missed peripheral pathology and no misdiagnoses in this pilot.</p><p><strong>Conclusions: </strong>Our virtual model demonstrates a safe and effective way of managing and discharging patients without a face-to-face clinic. This is especially suitable for low-risk conditions such as ERMs, which comprise a large proportion of referrals.</p>","PeriodicalId":14289,"journal":{"name":"International Journal of Retina and Vitreous","volume":"11 1","pages":"61"},"PeriodicalIF":2.4000,"publicationDate":"2025-06-01","publicationTypes":"Journal Article","fieldsOfStudy":null,"isOpenAccess":false,"openAccessPdf":"https://www.ncbi.nlm.nih.gov/pmc/articles/PMC12128539/pdf/","citationCount":"0","resultStr":"{\"title\":\"Virtual vitreoretinal clinics: a service delivery pathway of the future.\",\"authors\":\"Elizabeth Yang, Amelia Rees, Shantelle Ahadzi, Yvonne Kanna, Philipp Schwember, Robert Henderson, Lyndon da Cruz\",\"doi\":\"10.1186/s40942-025-00684-3\",\"DOIUrl\":null,\"url\":null,\"abstract\":\"<p><strong>Background: </strong>Vitreo-macular interface (VMI) disorders, including epiretinal membrane (ERM) diagnosed on optical coherence tomography (OCT), form a significant proportion of elective referrals to vitreoretinal (VR) surgeons. An in-person visit to a clinician involves travelling, waiting, investigations then an interaction with the surgeon, which entails many inefficiencies in a large institution. We report the pilot studies of a VR virtual service where these patients can be more efficiently reviewed, investigated, listed for surgery or discharged.</p><p><strong>Methods: </strong>This was a prospective observational study comparing the outcomes of a virtual assessment to standard face-to-face clinics. All patients included were referred from optometry practices for ERM diagnosed on macula OCT. A first pilot study comprised 79 patients, who attended a diagnostics centre staffed with ophthalmic-trained technicians. A short history, visual acuity and ocular pressures were recorded. Widefield colour photographs and macular OCT images were acquired. Cases were asynchronously reviewed by trained ophthalmologists and senior nurses within the week, and following a telephone consultation with the patient, a virtual management plan was documented. All patients attended 1 week later for a face-to-face appointment, following which, virtual and face-to-face management plans were compared. A second pilot comprised 65 patients, through the same pathway, to examine consistency. A post-hoc analysis was carried out to identify the cohort of patients who would be suitable for a virtual management decision without a telephone consultation.</p><p><strong>Results: </strong>ERMs comprised 35% of overall elective referrals in this study. In Pilot 1, 42% were virtually assessed for discharge, with high concordance with face-to-face outcomes (positive predictive value = 89%). There were 3 cases of missed retinal tears, and 1 OCT misdiagnosis. In the second pilot, 43% were discharged virtually, with higher concordant discharge rates (positive predictive value = 93%). There were no missed peripheral pathology and no misdiagnoses in this pilot.</p><p><strong>Conclusions: </strong>Our virtual model demonstrates a safe and effective way of managing and discharging patients without a face-to-face clinic. This is especially suitable for low-risk conditions such as ERMs, which comprise a large proportion of referrals.</p>\",\"PeriodicalId\":14289,\"journal\":{\"name\":\"International Journal of Retina and Vitreous\",\"volume\":\"11 1\",\"pages\":\"61\"},\"PeriodicalIF\":2.4000,\"publicationDate\":\"2025-06-01\",\"publicationTypes\":\"Journal Article\",\"fieldsOfStudy\":null,\"isOpenAccess\":false,\"openAccessPdf\":\"https://www.ncbi.nlm.nih.gov/pmc/articles/PMC12128539/pdf/\",\"citationCount\":\"0\",\"resultStr\":null,\"platform\":\"Semanticscholar\",\"paperid\":null,\"PeriodicalName\":\"International Journal of Retina and Vitreous\",\"FirstCategoryId\":\"1085\",\"ListUrlMain\":\"https://doi.org/10.1186/s40942-025-00684-3\",\"RegionNum\":0,\"RegionCategory\":null,\"ArticlePicture\":[],\"TitleCN\":null,\"AbstractTextCN\":null,\"PMCID\":null,\"EPubDate\":\"\",\"PubModel\":\"\",\"JCR\":\"Q2\",\"JCRName\":\"OPHTHALMOLOGY\",\"Score\":null,\"Total\":0}","platform":"Semanticscholar","paperid":null,"PeriodicalName":"International Journal of Retina and Vitreous","FirstCategoryId":"1085","ListUrlMain":"https://doi.org/10.1186/s40942-025-00684-3","RegionNum":0,"RegionCategory":null,"ArticlePicture":[],"TitleCN":null,"AbstractTextCN":null,"PMCID":null,"EPubDate":"","PubModel":"","JCR":"Q2","JCRName":"OPHTHALMOLOGY","Score":null,"Total":0}
引用次数: 0

摘要

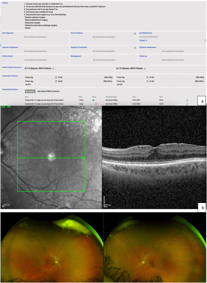
背景:玻璃体-黄斑界面(VMI)疾病,包括光学相干断层扫描(OCT)诊断的视网膜前膜(ERM),在玻璃体视网膜(VR)外科医生的选择性转诊中占很大比例。亲自去看医生需要旅行、等待、调查,然后与外科医生互动,这在大型机构中造成了许多效率低下的问题。我们报告了VR虚拟服务的试点研究,这些患者可以更有效地进行审查,调查,列出手术或出院。方法:这是一项前瞻性观察性研究,比较了虚拟评估和标准面对面诊所的结果。所有纳入的患者都是通过验光检查诊断为黄斑10的ERM患者。第一个试点研究包括79名患者,他们参加了由眼科培训的技术人员组成的诊断中心。记录患者的短期病史、视力和眼压。获取广角彩色照片和黄斑OCT图像。经过培训的眼科医生和高级护士在一周内对病例进行异步复查,并在与患者进行电话咨询后,将虚拟管理计划记录下来。1周后,所有患者都参加了面对面的预约,之后比较了虚拟和面对面的管理方案。第二个试验包括65名患者,通过同样的途径来检验一致性。进行了一项事后分析,以确定适合在没有电话咨询的情况下进行虚拟管理决策的患者队列。结果:在本研究中,erm占全部选择性转诊的35%。在试验1中,42%的人进行了虚拟出院评估,与面对面结果高度一致(阳性预测值= 89%)。遗漏视网膜撕裂3例,OCT误诊1例。在第二次试验中,43%的患者虚拟出院,一致性出院率更高(阳性预测值= 93%)。本试验无外周病理漏诊,无误诊。结论:我们的虚拟模型展示了一种安全有效的方式来管理和出院患者,而无需面对面的诊所。这尤其适用于低风险的情况,如erm,它占转诊的很大比例。
本文章由计算机程序翻译,如有差异,请以英文原文为准。

Virtual vitreoretinal clinics: a service delivery pathway of the future.

Virtual vitreoretinal clinics: a service delivery pathway of the future.

Virtual vitreoretinal clinics: a service delivery pathway of the future.

Virtual vitreoretinal clinics: a service delivery pathway of the future.

Background: Vitreo-macular interface (VMI) disorders, including epiretinal membrane (ERM) diagnosed on optical coherence tomography (OCT), form a significant proportion of elective referrals to vitreoretinal (VR) surgeons. An in-person visit to a clinician involves travelling, waiting, investigations then an interaction with the surgeon, which entails many inefficiencies in a large institution. We report the pilot studies of a VR virtual service where these patients can be more efficiently reviewed, investigated, listed for surgery or discharged.

Methods: This was a prospective observational study comparing the outcomes of a virtual assessment to standard face-to-face clinics. All patients included were referred from optometry practices for ERM diagnosed on macula OCT. A first pilot study comprised 79 patients, who attended a diagnostics centre staffed with ophthalmic-trained technicians. A short history, visual acuity and ocular pressures were recorded. Widefield colour photographs and macular OCT images were acquired. Cases were asynchronously reviewed by trained ophthalmologists and senior nurses within the week, and following a telephone consultation with the patient, a virtual management plan was documented. All patients attended 1 week later for a face-to-face appointment, following which, virtual and face-to-face management plans were compared. A second pilot comprised 65 patients, through the same pathway, to examine consistency. A post-hoc analysis was carried out to identify the cohort of patients who would be suitable for a virtual management decision without a telephone consultation.

Results: ERMs comprised 35% of overall elective referrals in this study. In Pilot 1, 42% were virtually assessed for discharge, with high concordance with face-to-face outcomes (positive predictive value = 89%). There were 3 cases of missed retinal tears, and 1 OCT misdiagnosis. In the second pilot, 43% were discharged virtually, with higher concordant discharge rates (positive predictive value = 93%). There were no missed peripheral pathology and no misdiagnoses in this pilot.

Conclusions: Our virtual model demonstrates a safe and effective way of managing and discharging patients without a face-to-face clinic. This is especially suitable for low-risk conditions such as ERMs, which comprise a large proportion of referrals.

求助全文
通过发布文献求助,成功后即可免费获取论文全文。 去求助
来源期刊
CiteScore
3.50
自引率
4.30%
发文量
81
审稿时长
19 weeks
期刊介绍: International Journal of Retina and Vitreous focuses on the ophthalmic subspecialty of vitreoretinal disorders. The journal presents original articles on new approaches to diagnosis, outcomes of clinical trials, innovations in pharmacological therapy and surgical techniques, as well as basic science advances that impact clinical practice. Topical areas include, but are not limited to: -Imaging of the retina, choroid and vitreous -Innovations in optical coherence tomography (OCT) -Small-gauge vitrectomy, retinal detachment, chromovitrectomy -Electroretinography (ERG), microperimetry, other functional tests -Intraocular tumors -Retinal pharmacotherapy & drug delivery -Diabetic retinopathy & other vascular diseases -Age-related macular degeneration (AMD) & other macular entities
×
引用
GB/T 7714-2015
复制
MLA
复制
APA
复制
导出至
BibTeX EndNote RefMan NoteFirst NoteExpress
×
提示
您的信息不完整,为了账户安全,请先补充。
现在去补充
×
提示
您因"违规操作"
具体请查看互助需知
我知道了
×
提示
确定
请完成安全验证×
copy
已复制链接
快去分享给好友吧!
我知道了
右上角分享
点击右上角分享
0
联系我们:info@booksci.cn Book学术提供免费学术资源搜索服务,方便国内外学者检索中英文文献。致力于提供最便捷和优质的服务体验。 Copyright © 2023 布克学术 All rights reserved.
京ICP备2023020795号-1
ghs 京公网安备 11010802042870号
Book学术文献互助
Book学术文献互助群
群 号:604180095
Book学术官方微信