由罕见甲状腺球蛋白基因变异引起的永久性先天性甲状腺功能减退症(p.Cys1476Arg):甲状腺激素生成障碍的延迟诊断。

IF 0.7 Q3 MEDICINE, GENERAL & INTERNAL
Case Reports in Medicine Pub Date : 2025-05-24 eCollection Date: 2025-01-01 DOI:10.1155/carm/5313611
Ghassan Mohamadsalih, Khalid Al Bureshad, Idris Mohammed, Shiga Chirayath, Elwaseila Hamdoun, Khalid Hussain
{"title":"由罕见甲状腺球蛋白基因变异引起的永久性先天性甲状腺功能减退症(p.Cys1476Arg):甲状腺激素生成障碍的延迟诊断。","authors":"Ghassan Mohamadsalih, Khalid Al Bureshad, Idris Mohammed, Shiga Chirayath, Elwaseila Hamdoun, Khalid Hussain","doi":"10.1155/carm/5313611","DOIUrl":null,"url":null,"abstract":"<p><p>Thyroid dyshormonogenesis is an inherited hypothyroidism caused by a monogenic defect, in the vast majority of cases, in thyroid hormone biosynthesis. It is commonly associated with thyroid enlargement which is vulnerable to nodule formation. We present a Qatari patient with an overlooked diagnosis of thyroid dyshormonogenesis due to thyroglobulin gene mutation. A 10.5-year-old boy has been following up for congenital hypothyroidism since the age of 4 years. He was diagnosed by newborn screening that was confirmed by laboratory thyroid function testing; however, no further workup was done to understand the underlying cause. He was born to consanguineous parents with a family history of hypothyroidism. The patient was not adherent to his medication and follow-up visits, and thyroid-stimulating hormone was above 5 mIU/L most of the time. On examination, he had a goiter that developed a few months ago. The father admitted that it was there at birth but disappeared with levothyroxine therapy. Molecular genetics revealed a homozygous c.4426T > C, p.Cys1476Arg variant in the thyroglobulin gene. This variant was only previously reported, in the Middle East region, in five patients. Determination of congenital hypothyroidism underlying etiology is important for family counseling and long-term management.</p>","PeriodicalId":9627,"journal":{"name":"Case Reports in Medicine","volume":"2025 ","pages":"5313611"},"PeriodicalIF":0.7000,"publicationDate":"2025-05-24","publicationTypes":"Journal Article","fieldsOfStudy":null,"isOpenAccess":false,"openAccessPdf":"https://www.ncbi.nlm.nih.gov/pmc/articles/PMC12126254/pdf/","citationCount":"0","resultStr":"{\"title\":\"Permanent Congenital Hypothyroidism due to Rare Thyroglobulin Gene Variant (p.Cys1476Arg): A Delayed Diagnosis of Thyroid Dyshormonogenesis.\",\"authors\":\"Ghassan Mohamadsalih, Khalid Al Bureshad, Idris Mohammed, Shiga Chirayath, Elwaseila Hamdoun, Khalid Hussain\",\"doi\":\"10.1155/carm/5313611\",\"DOIUrl\":null,\"url\":null,\"abstract\":\"<p><p>Thyroid dyshormonogenesis is an inherited hypothyroidism caused by a monogenic defect, in the vast majority of cases, in thyroid hormone biosynthesis. It is commonly associated with thyroid enlargement which is vulnerable to nodule formation. We present a Qatari patient with an overlooked diagnosis of thyroid dyshormonogenesis due to thyroglobulin gene mutation. A 10.5-year-old boy has been following up for congenital hypothyroidism since the age of 4 years. He was diagnosed by newborn screening that was confirmed by laboratory thyroid function testing; however, no further workup was done to understand the underlying cause. He was born to consanguineous parents with a family history of hypothyroidism. The patient was not adherent to his medication and follow-up visits, and thyroid-stimulating hormone was above 5 mIU/L most of the time. On examination, he had a goiter that developed a few months ago. The father admitted that it was there at birth but disappeared with levothyroxine therapy. Molecular genetics revealed a homozygous c.4426T > C, p.Cys1476Arg variant in the thyroglobulin gene. This variant was only previously reported, in the Middle East region, in five patients. Determination of congenital hypothyroidism underlying etiology is important for family counseling and long-term management.</p>\",\"PeriodicalId\":9627,\"journal\":{\"name\":\"Case Reports in Medicine\",\"volume\":\"2025 \",\"pages\":\"5313611\"},\"PeriodicalIF\":0.7000,\"publicationDate\":\"2025-05-24\",\"publicationTypes\":\"Journal Article\",\"fieldsOfStudy\":null,\"isOpenAccess\":false,\"openAccessPdf\":\"https://www.ncbi.nlm.nih.gov/pmc/articles/PMC12126254/pdf/\",\"citationCount\":\"0\",\"resultStr\":null,\"platform\":\"Semanticscholar\",\"paperid\":null,\"PeriodicalName\":\"Case Reports in Medicine\",\"FirstCategoryId\":\"1085\",\"ListUrlMain\":\"https://doi.org/10.1155/carm/5313611\",\"RegionNum\":0,\"RegionCategory\":null,\"ArticlePicture\":[],\"TitleCN\":null,\"AbstractTextCN\":null,\"PMCID\":null,\"EPubDate\":\"2025/1/1 0:00:00\",\"PubModel\":\"eCollection\",\"JCR\":\"Q3\",\"JCRName\":\"MEDICINE, GENERAL & INTERNAL\",\"Score\":null,\"Total\":0}","platform":"Semanticscholar","paperid":null,"PeriodicalName":"Case Reports in Medicine","FirstCategoryId":"1085","ListUrlMain":"https://doi.org/10.1155/carm/5313611","RegionNum":0,"RegionCategory":null,"ArticlePicture":[],"TitleCN":null,"AbstractTextCN":null,"PMCID":null,"EPubDate":"2025/1/1 0:00:00","PubModel":"eCollection","JCR":"Q3","JCRName":"MEDICINE, GENERAL & INTERNAL","Score":null,"Total":0}
引用次数: 0

摘要

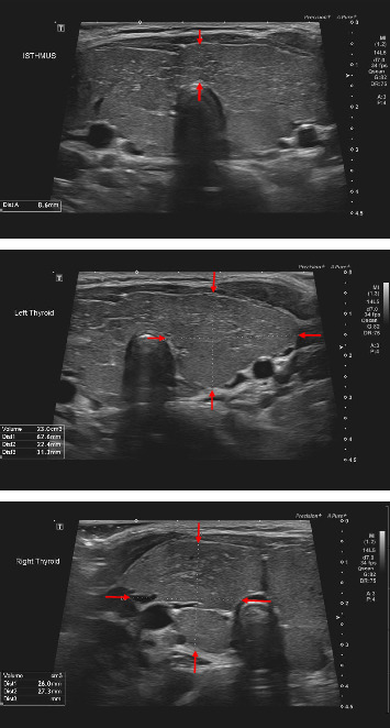
甲状腺单激素生成障碍是由单基因缺陷引起的遗传性甲状腺功能减退症,在绝大多数情况下,在甲状腺激素的生物合成。它通常与甲状腺肿大有关,容易形成结节。我们提出了一个卡塔尔病人忽视诊断甲状腺激素生成障碍由于甲状腺球蛋白基因突变。一名10.5岁男孩自4岁起接受先天性甲状腺功能减退的随访。新生儿筛查确诊,实验室甲状腺功能检查证实;然而,没有做进一步的检查来了解潜在的原因。他的父母是近亲,有甲状腺功能减退的家族史。患者服药及随访不遵医嘱,大部分时间促甲状腺激素在5 mIU/L以上。经检查,他几个月前患了甲状腺肿。父亲承认在出生时就有,但在左旋甲状腺素治疗后消失了。分子遗传学结果显示,在甲状球蛋白基因中存在C . 4426t . b> .C, p.Cys1476Arg纯合子变异。这种变异以前仅在中东地区的5例患者中报道过。确定先天性甲状腺功能减退症的病因对家庭咨询和长期治疗具有重要意义。
本文章由计算机程序翻译,如有差异,请以英文原文为准。

Permanent Congenital Hypothyroidism due to Rare Thyroglobulin Gene Variant (p.Cys1476Arg): A Delayed Diagnosis of Thyroid Dyshormonogenesis.

Permanent Congenital Hypothyroidism due to Rare Thyroglobulin Gene Variant (p.Cys1476Arg): A Delayed Diagnosis of Thyroid Dyshormonogenesis.

Permanent Congenital Hypothyroidism due to Rare Thyroglobulin Gene Variant (p.Cys1476Arg): A Delayed Diagnosis of Thyroid Dyshormonogenesis.

Permanent Congenital Hypothyroidism due to Rare Thyroglobulin Gene Variant (p.Cys1476Arg): A Delayed Diagnosis of Thyroid Dyshormonogenesis.

Thyroid dyshormonogenesis is an inherited hypothyroidism caused by a monogenic defect, in the vast majority of cases, in thyroid hormone biosynthesis. It is commonly associated with thyroid enlargement which is vulnerable to nodule formation. We present a Qatari patient with an overlooked diagnosis of thyroid dyshormonogenesis due to thyroglobulin gene mutation. A 10.5-year-old boy has been following up for congenital hypothyroidism since the age of 4 years. He was diagnosed by newborn screening that was confirmed by laboratory thyroid function testing; however, no further workup was done to understand the underlying cause. He was born to consanguineous parents with a family history of hypothyroidism. The patient was not adherent to his medication and follow-up visits, and thyroid-stimulating hormone was above 5 mIU/L most of the time. On examination, he had a goiter that developed a few months ago. The father admitted that it was there at birth but disappeared with levothyroxine therapy. Molecular genetics revealed a homozygous c.4426T > C, p.Cys1476Arg variant in the thyroglobulin gene. This variant was only previously reported, in the Middle East region, in five patients. Determination of congenital hypothyroidism underlying etiology is important for family counseling and long-term management.

求助全文
通过发布文献求助,成功后即可免费获取论文全文。 去求助
来源期刊
Case Reports in Medicine
Case Reports in Medicine MEDICINE, GENERAL & INTERNAL-
CiteScore
1.70
自引率
0.00%
发文量
53
审稿时长
13 weeks
×
引用
GB/T 7714-2015
复制
MLA
复制
APA
复制
导出至
BibTeX EndNote RefMan NoteFirst NoteExpress
×
提示
您的信息不完整,为了账户安全,请先补充。
现在去补充
×
提示
您因"违规操作"
具体请查看互助需知
我知道了
×
提示
确定
请完成安全验证×
copy
已复制链接
快去分享给好友吧!
我知道了
右上角分享
点击右上角分享
0
联系我们:info@booksci.cn Book学术提供免费学术资源搜索服务,方便国内外学者检索中英文文献。致力于提供最便捷和优质的服务体验。 Copyright © 2023 布克学术 All rights reserved.
京ICP备2023020795号-1
ghs 京公网安备 11010802042870号
Book学术文献互助
Book学术文献互助群
群 号:604180095
Book学术官方微信