蓝色LED照射和未照射葫芦巴籽提取物对小鼠旋毛虫病的改善作用。

IF 1.5 3区 农林科学 Q4 PARASITOLOGY
Zeinab R. Hassan, Eman M. Mahmoud, Yasmeen M. Shaaban, Shiamaa Zakaria Elshora, Doaa E. A. Salama, Ranya M. Abdelgalil, Mona T. Koullah, Nora Seliem, Marwa H. Sedira, Shimaa A. Mohamed, Mai Ali Mohammad Etewa, Sara Nagdy Mahmoud Mousa, Ahmed Shaban Abdelmonsef Abdelmaksoud, Shimaa Attia Atta, Marwa Zakaria, Shimaa R. Emam, M. Hassan, Galal Khamis
{"title":"蓝色LED照射和未照射葫芦巴籽提取物对小鼠旋毛虫病的改善作用。","authors":"Zeinab R. Hassan,&nbsp;Eman M. Mahmoud,&nbsp;Yasmeen M. Shaaban,&nbsp;Shiamaa Zakaria Elshora,&nbsp;Doaa E. A. Salama,&nbsp;Ranya M. Abdelgalil,&nbsp;Mona T. Koullah,&nbsp;Nora Seliem,&nbsp;Marwa H. Sedira,&nbsp;Shimaa A. Mohamed,&nbsp;Mai Ali Mohammad Etewa,&nbsp;Sara Nagdy Mahmoud Mousa,&nbsp;Ahmed Shaban Abdelmonsef Abdelmaksoud,&nbsp;Shimaa Attia Atta,&nbsp;Marwa Zakaria,&nbsp;Shimaa R. Emam,&nbsp;M. Hassan,&nbsp;Galal Khamis","doi":"10.1007/s11686-025-01045-8","DOIUrl":null,"url":null,"abstract":"<div><h3>Background</h3><p>Trichinosis is a severe parasitic disease with a wide distribution and potential to affect humans. Available chemotherapeutic agents exhibit limited efficacy and are associated with numerous side effects. This study evaluated the ameliorative effects of blue LED irradiated and non-irradiated fenugreek seed extracts on experimental trichinosis.</p><h3>Methods</h3><p>Eighty-four mice were divided into seven groups; each further subdivided into intestinal and muscular phases (six mice per subgroup): non-infected non-treated controls, infected non-treated controls, infected albendazole-treated, infected non-irradiated fenugreek extract-treated, infected blue LED irradiated fenugreek extract-treated, infected non-irradiated fenugreek and albendazole-treated, and infected blue LED irradiated fenugreek and albendazole-treated. Mice were sacrificed on the 7th-day post-infection for the intestinal phase and the 40th day for the muscular phase. Small intestine, muscle tissues, and serum samples were collected to assess parasitic load, histopathological changes, TGF-β immunohistochemical expression, serum IFN-γ levels, oxidative stress markers (MDA, nitrate/SOD, and catalase), and <i>BAX</i> gene expression as an apoptotic marker. Metabolomic profiling of extract was pursued to spot differential expression of metabolites.</p><h3>Results</h3><p>Study outcomes demonstrated that blue LED irradiated and non-irradiated fenugreek seed extracts combined with albendazole exhibited superior efficacy in reducing adult and larval burdens, improving pathological changes, decreasing IFN-γ levels, mitigating oxidative stress (reduced MDA and nitrate along with elevated SOD and catalase), and downregulating <i>BAX</i> expression. The observed metabolic differences were primarily driven by the upregulation of steroids, downregulation of most alkaloids, and dysregulation various flavonoids in the irradiated extract.</p><h3>Conclusion</h3><p>Blue LED irradiated and non-irradiated fenugreek seed extracts can enhance albendazole's activity against trichinosis.</p></div>","PeriodicalId":6932,"journal":{"name":"Acta Parasitologica","volume":"70 3","pages":""},"PeriodicalIF":1.5000,"publicationDate":"2025-06-02","publicationTypes":"Journal Article","fieldsOfStudy":null,"isOpenAccess":false,"openAccessPdf":"https://www.ncbi.nlm.nih.gov/pmc/articles/PMC12130083/pdf/","citationCount":"0","resultStr":"{\"title\":\"Ameliorative Effects of Blue LED Irradiated and Non-Irradiated Fenugreek Seed Extracts on Murine Trichinosis\",\"authors\":\"Zeinab R. Hassan,&nbsp;Eman M. Mahmoud,&nbsp;Yasmeen M. Shaaban,&nbsp;Shiamaa Zakaria Elshora,&nbsp;Doaa E. A. Salama,&nbsp;Ranya M. Abdelgalil,&nbsp;Mona T. Koullah,&nbsp;Nora Seliem,&nbsp;Marwa H. Sedira,&nbsp;Shimaa A. Mohamed,&nbsp;Mai Ali Mohammad Etewa,&nbsp;Sara Nagdy Mahmoud Mousa,&nbsp;Ahmed Shaban Abdelmonsef Abdelmaksoud,&nbsp;Shimaa Attia Atta,&nbsp;Marwa Zakaria,&nbsp;Shimaa R. Emam,&nbsp;M. Hassan,&nbsp;Galal Khamis\",\"doi\":\"10.1007/s11686-025-01045-8\",\"DOIUrl\":null,\"url\":null,\"abstract\":\"<div><h3>Background</h3><p>Trichinosis is a severe parasitic disease with a wide distribution and potential to affect humans. Available chemotherapeutic agents exhibit limited efficacy and are associated with numerous side effects. This study evaluated the ameliorative effects of blue LED irradiated and non-irradiated fenugreek seed extracts on experimental trichinosis.</p><h3>Methods</h3><p>Eighty-four mice were divided into seven groups; each further subdivided into intestinal and muscular phases (six mice per subgroup): non-infected non-treated controls, infected non-treated controls, infected albendazole-treated, infected non-irradiated fenugreek extract-treated, infected blue LED irradiated fenugreek extract-treated, infected non-irradiated fenugreek and albendazole-treated, and infected blue LED irradiated fenugreek and albendazole-treated. Mice were sacrificed on the 7th-day post-infection for the intestinal phase and the 40th day for the muscular phase. Small intestine, muscle tissues, and serum samples were collected to assess parasitic load, histopathological changes, TGF-β immunohistochemical expression, serum IFN-γ levels, oxidative stress markers (MDA, nitrate/SOD, and catalase), and <i>BAX</i> gene expression as an apoptotic marker. Metabolomic profiling of extract was pursued to spot differential expression of metabolites.</p><h3>Results</h3><p>Study outcomes demonstrated that blue LED irradiated and non-irradiated fenugreek seed extracts combined with albendazole exhibited superior efficacy in reducing adult and larval burdens, improving pathological changes, decreasing IFN-γ levels, mitigating oxidative stress (reduced MDA and nitrate along with elevated SOD and catalase), and downregulating <i>BAX</i> expression. The observed metabolic differences were primarily driven by the upregulation of steroids, downregulation of most alkaloids, and dysregulation various flavonoids in the irradiated extract.</p><h3>Conclusion</h3><p>Blue LED irradiated and non-irradiated fenugreek seed extracts can enhance albendazole's activity against trichinosis.</p></div>\",\"PeriodicalId\":6932,\"journal\":{\"name\":\"Acta Parasitologica\",\"volume\":\"70 3\",\"pages\":\"\"},\"PeriodicalIF\":1.5000,\"publicationDate\":\"2025-06-02\",\"publicationTypes\":\"Journal Article\",\"fieldsOfStudy\":null,\"isOpenAccess\":false,\"openAccessPdf\":\"https://www.ncbi.nlm.nih.gov/pmc/articles/PMC12130083/pdf/\",\"citationCount\":\"0\",\"resultStr\":null,\"platform\":\"Semanticscholar\",\"paperid\":null,\"PeriodicalName\":\"Acta Parasitologica\",\"FirstCategoryId\":\"3\",\"ListUrlMain\":\"https://link.springer.com/article/10.1007/s11686-025-01045-8\",\"RegionNum\":3,\"RegionCategory\":\"农林科学\",\"ArticlePicture\":[],\"TitleCN\":null,\"AbstractTextCN\":null,\"PMCID\":null,\"EPubDate\":\"\",\"PubModel\":\"\",\"JCR\":\"Q4\",\"JCRName\":\"PARASITOLOGY\",\"Score\":null,\"Total\":0}","platform":"Semanticscholar","paperid":null,"PeriodicalName":"Acta Parasitologica","FirstCategoryId":"3","ListUrlMain":"https://link.springer.com/article/10.1007/s11686-025-01045-8","RegionNum":3,"RegionCategory":"农林科学","ArticlePicture":[],"TitleCN":null,"AbstractTextCN":null,"PMCID":null,"EPubDate":"","PubModel":"","JCR":"Q4","JCRName":"PARASITOLOGY","Score":null,"Total":0}
引用次数: 0

摘要

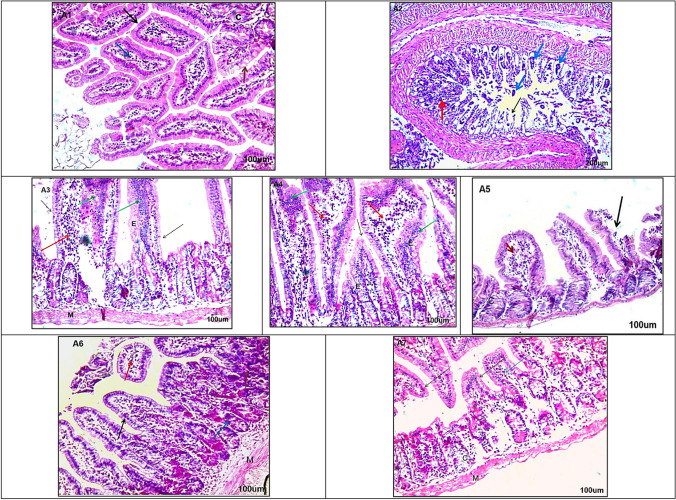
背景:旋毛虫病是一种严重的寄生虫病,分布广泛,有可能影响人类。现有的化疗药物表现出有限的疗效,并伴有许多副作用。本研究评价了蓝色LED照射和未照射葫芦巴籽提取物对实验性旋毛虫病的改善作用。方法:84只小鼠分为7组;每个亚组进一步细分为肠道和肌肉阶段(每亚组6只小鼠):未感染的非治疗对照组、感染的非治疗对照组、感染的阿苯达唑治疗组、感染的非辐照葫芦巴提取物治疗组、感染的非辐照葫芦巴提取物治疗组、感染的非辐照葫芦巴和阿苯达唑治疗组、感染的蓝色LED照射葫芦巴和阿苯达唑治疗组。感染后第7天处死小鼠为肠道期,第40天处死小鼠为肌肉期。收集小肠、肌肉组织和血清样本,评估寄生虫负荷、组织病理学变化、TGF-β免疫组织化学表达、血清IFN-γ水平、氧化应激标志物(MDA、硝酸盐/SOD和过氧化氢酶)和BAX基因表达作为凋亡标志物。对提取物进行代谢组学分析,以发现代谢物的差异表达。结果:研究结果表明,蓝色LED照射和未照射的胡芦巴籽提取物联合阿苯达唑在减轻成虫和幼虫负担、改善病理变化、降低IFN-γ水平、减轻氧化应激(降低MDA和硝酸盐,升高SOD和过氧化氢酶)和下调BAX表达方面均具有显著效果。所观察到的代谢差异主要是由辐照提取物中类固醇的上调、大多数生物碱的下调和各种黄酮类化合物的失调所驱动的。结论:蓝色LED辐照和非辐照葫芦巴籽提取物均能增强阿苯达唑抗旋毛虫病的活性。
本文章由计算机程序翻译,如有差异,请以英文原文为准。

Ameliorative Effects of Blue LED Irradiated and Non-Irradiated Fenugreek Seed Extracts on Murine Trichinosis

Ameliorative Effects of Blue LED Irradiated and Non-Irradiated Fenugreek Seed Extracts on Murine Trichinosis

Ameliorative Effects of Blue LED Irradiated and Non-Irradiated Fenugreek Seed Extracts on Murine Trichinosis

Ameliorative Effects of Blue LED Irradiated and Non-Irradiated Fenugreek Seed Extracts on Murine Trichinosis

Background

Trichinosis is a severe parasitic disease with a wide distribution and potential to affect humans. Available chemotherapeutic agents exhibit limited efficacy and are associated with numerous side effects. This study evaluated the ameliorative effects of blue LED irradiated and non-irradiated fenugreek seed extracts on experimental trichinosis.

Methods

Eighty-four mice were divided into seven groups; each further subdivided into intestinal and muscular phases (six mice per subgroup): non-infected non-treated controls, infected non-treated controls, infected albendazole-treated, infected non-irradiated fenugreek extract-treated, infected blue LED irradiated fenugreek extract-treated, infected non-irradiated fenugreek and albendazole-treated, and infected blue LED irradiated fenugreek and albendazole-treated. Mice were sacrificed on the 7th-day post-infection for the intestinal phase and the 40th day for the muscular phase. Small intestine, muscle tissues, and serum samples were collected to assess parasitic load, histopathological changes, TGF-β immunohistochemical expression, serum IFN-γ levels, oxidative stress markers (MDA, nitrate/SOD, and catalase), and BAX gene expression as an apoptotic marker. Metabolomic profiling of extract was pursued to spot differential expression of metabolites.

Results

Study outcomes demonstrated that blue LED irradiated and non-irradiated fenugreek seed extracts combined with albendazole exhibited superior efficacy in reducing adult and larval burdens, improving pathological changes, decreasing IFN-γ levels, mitigating oxidative stress (reduced MDA and nitrate along with elevated SOD and catalase), and downregulating BAX expression. The observed metabolic differences were primarily driven by the upregulation of steroids, downregulation of most alkaloids, and dysregulation various flavonoids in the irradiated extract.

Conclusion

Blue LED irradiated and non-irradiated fenugreek seed extracts can enhance albendazole's activity against trichinosis.

求助全文
通过发布文献求助,成功后即可免费获取论文全文。 去求助
来源期刊
Acta Parasitologica
Acta Parasitologica 医学-寄生虫学
CiteScore
3.10
自引率
6.70%
发文量
149
审稿时长
6-12 weeks
期刊介绍: Acta Parasitologica is an international journal covering the latest advances in the subject. Acta Parasitologica publishes original papers on all aspects of parasitology and host-parasite relationships, including the latest discoveries in biochemical and molecular biology of parasites, their physiology, morphology, taxonomy and ecology, as well as original research papers on immunology, pathology, and epidemiology of parasitic diseases in the context of medical, veterinary and biological sciences. The journal also publishes short research notes, invited review articles, book reviews. The journal was founded in 1953 as "Acta Parasitologica Polonica" by the Polish Parasitological Society and since 1954 has been published by W. Stefanski Institute of Parasitology of the Polish Academy of Sciences in Warsaw. Since 1992 in has appeared as Acta Parasitologica in four issues per year.
×
引用
GB/T 7714-2015
复制
MLA
复制
APA
复制
导出至
BibTeX EndNote RefMan NoteFirst NoteExpress
×
提示
您的信息不完整,为了账户安全,请先补充。
现在去补充
×
提示
您因"违规操作"
具体请查看互助需知
我知道了
×
提示
确定
请完成安全验证×
copy
已复制链接
快去分享给好友吧!
我知道了
右上角分享
点击右上角分享
0
联系我们:info@booksci.cn Book学术提供免费学术资源搜索服务,方便国内外学者检索中英文文献。致力于提供最便捷和优质的服务体验。 Copyright © 2023 布克学术 All rights reserved.
京ICP备2023020795号-1
ghs 京公网安备 11010802042870号
Book学术文献互助
Book学术文献互助群
群 号:604180095
Book学术官方微信