特发性继发性嗜酸性粒细胞增多症:揭示脑动脉瘤是一种血管并发症。

IF 0.8 Q3 MEDICINE, GENERAL & INTERNAL
Rita D Moncayo, Mukhammad B Sultanov, Mojdeh Yadollahikhales, May Thet Hmu Tun, Omar P Azar, Meredith E Pittman, Navjot K Somal
{"title":"特发性继发性嗜酸性粒细胞增多症:揭示脑动脉瘤是一种血管并发症。","authors":"Rita D Moncayo, Mukhammad B Sultanov, Mojdeh Yadollahikhales, May Thet Hmu Tun, Omar P Azar, Meredith E Pittman, Navjot K Somal","doi":"10.1177/23247096251342926","DOIUrl":null,"url":null,"abstract":"<p><p>Secondary eosinophilia has recently gained attention as a potential contributor to vascular pathologies, including aneurysms. This case report delves into the intricate relationship between secondary eosinophilia and cerebral aneurysms, a connection yet to be fully explored in medical literature. The case centers on a 31-year-old female who presented with leg pain, a purpuric rash, and gastrointestinal symptoms following an uncomplicated pregnancy. The skin biopsy revealed perivascular and interstitial dermatitis with a significant eosinophilic infiltration of unclear etiology. Laboratory investigations showed a markedly elevated immunoglobulin E (IgE) level at 8400 kU/L. Her condition escalated to a diffuse subarachnoid hemorrhage and the discovery of a left superior cerebellar artery aneurysm. This unusual presentation, combined with the challenge of differentiating secondary eosinophilia from primary eosinophilic disorders, raises questions about the pathophysiological mechanisms and clinical implications of eosinophils in aneurysm formation. We discuss the potential link between eosinophils and vascular damage and emphasize the need for further research in understanding this association. Clinically, this case underscores the importance of considering vascular complications in patients with unexplained eosinophilia. Sharing such cases contributes to a more informed and nuanced approach to similar future presentations, guiding diagnostic and therapeutic strategies.</p>","PeriodicalId":16198,"journal":{"name":"Journal of investigative medicine high impact case reports","volume":"13 ","pages":"23247096251342926"},"PeriodicalIF":0.8000,"publicationDate":"2025-01-01","publicationTypes":"Journal Article","fieldsOfStudy":null,"isOpenAccess":false,"openAccessPdf":"https://www.ncbi.nlm.nih.gov/pmc/articles/PMC12126640/pdf/","citationCount":"0","resultStr":"{\"title\":\"Idiopathic Secondary Eosinophilia: Revealing Cerebral Aneurysms as a Vascular Complication.\",\"authors\":\"Rita D Moncayo, Mukhammad B Sultanov, Mojdeh Yadollahikhales, May Thet Hmu Tun, Omar P Azar, Meredith E Pittman, Navjot K Somal\",\"doi\":\"10.1177/23247096251342926\",\"DOIUrl\":null,\"url\":null,\"abstract\":\"<p><p>Secondary eosinophilia has recently gained attention as a potential contributor to vascular pathologies, including aneurysms. This case report delves into the intricate relationship between secondary eosinophilia and cerebral aneurysms, a connection yet to be fully explored in medical literature. The case centers on a 31-year-old female who presented with leg pain, a purpuric rash, and gastrointestinal symptoms following an uncomplicated pregnancy. The skin biopsy revealed perivascular and interstitial dermatitis with a significant eosinophilic infiltration of unclear etiology. Laboratory investigations showed a markedly elevated immunoglobulin E (IgE) level at 8400 kU/L. Her condition escalated to a diffuse subarachnoid hemorrhage and the discovery of a left superior cerebellar artery aneurysm. This unusual presentation, combined with the challenge of differentiating secondary eosinophilia from primary eosinophilic disorders, raises questions about the pathophysiological mechanisms and clinical implications of eosinophils in aneurysm formation. We discuss the potential link between eosinophils and vascular damage and emphasize the need for further research in understanding this association. Clinically, this case underscores the importance of considering vascular complications in patients with unexplained eosinophilia. Sharing such cases contributes to a more informed and nuanced approach to similar future presentations, guiding diagnostic and therapeutic strategies.</p>\",\"PeriodicalId\":16198,\"journal\":{\"name\":\"Journal of investigative medicine high impact case reports\",\"volume\":\"13 \",\"pages\":\"23247096251342926\"},\"PeriodicalIF\":0.8000,\"publicationDate\":\"2025-01-01\",\"publicationTypes\":\"Journal Article\",\"fieldsOfStudy\":null,\"isOpenAccess\":false,\"openAccessPdf\":\"https://www.ncbi.nlm.nih.gov/pmc/articles/PMC12126640/pdf/\",\"citationCount\":\"0\",\"resultStr\":null,\"platform\":\"Semanticscholar\",\"paperid\":null,\"PeriodicalName\":\"Journal of investigative medicine high impact case reports\",\"FirstCategoryId\":\"1085\",\"ListUrlMain\":\"https://doi.org/10.1177/23247096251342926\",\"RegionNum\":0,\"RegionCategory\":null,\"ArticlePicture\":[],\"TitleCN\":null,\"AbstractTextCN\":null,\"PMCID\":null,\"EPubDate\":\"2025/5/31 0:00:00\",\"PubModel\":\"Epub\",\"JCR\":\"Q3\",\"JCRName\":\"MEDICINE, GENERAL & INTERNAL\",\"Score\":null,\"Total\":0}","platform":"Semanticscholar","paperid":null,"PeriodicalName":"Journal of investigative medicine high impact case reports","FirstCategoryId":"1085","ListUrlMain":"https://doi.org/10.1177/23247096251342926","RegionNum":0,"RegionCategory":null,"ArticlePicture":[],"TitleCN":null,"AbstractTextCN":null,"PMCID":null,"EPubDate":"2025/5/31 0:00:00","PubModel":"Epub","JCR":"Q3","JCRName":"MEDICINE, GENERAL & INTERNAL","Score":null,"Total":0}
引用次数: 0

摘要

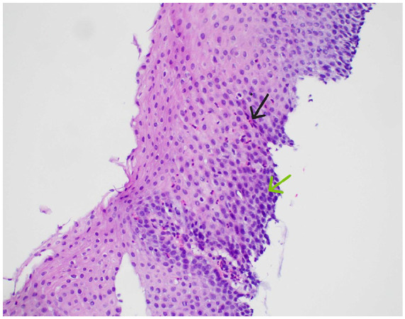
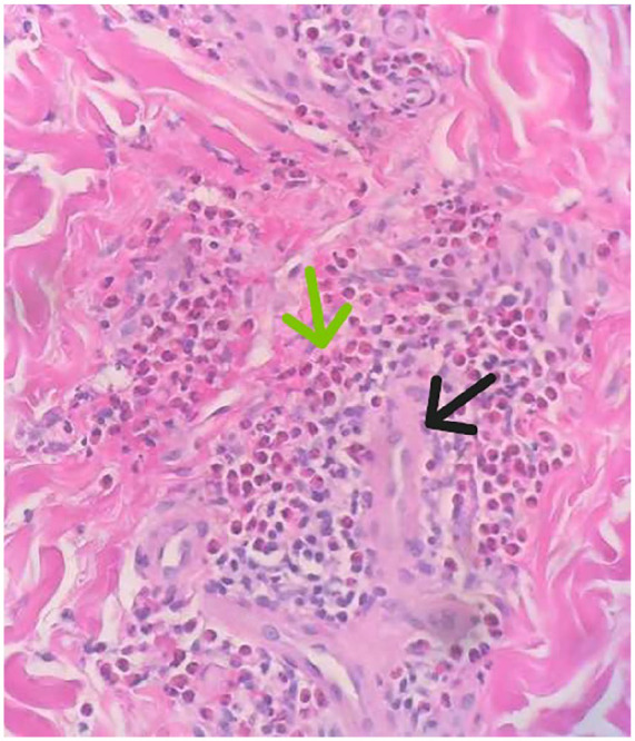
继发性嗜酸性粒细胞增多症最近引起了人们的关注,因为它可能导致血管病变,包括动脉瘤。本病例报告深入探讨继发性嗜酸性粒细胞增多与脑动脉瘤之间的复杂关系,这一联系在医学文献中尚未得到充分探讨。该病例以一名31岁女性为中心,她在无并发症妊娠后出现腿部疼痛、紫癜性皮疹和胃肠道症状。皮肤活检显示血管周围和间质性皮炎伴明显嗜酸性浸润,病因不明。实验室检查显示免疫球蛋白E (IgE)水平显著升高,为8400 kU/L。她的病情升级为弥漫性蛛网膜下腔出血并发现左小脑上动脉瘤。这种不寻常的表现,结合区分继发性嗜酸性粒细胞与原发性嗜酸性粒细胞疾病的挑战,提出了嗜酸性粒细胞在动脉瘤形成中的病理生理机制和临床意义的问题。我们讨论了嗜酸性粒细胞和血管损伤之间的潜在联系,并强调需要进一步研究以了解这种联系。临床上,该病例强调了考虑不明原因嗜酸性粒细胞增多症患者血管并发症的重要性。分享这些病例有助于在未来类似的演讲中更有见地和细致入微的方法,指导诊断和治疗策略。
本文章由计算机程序翻译,如有差异,请以英文原文为准。

Idiopathic Secondary Eosinophilia: Revealing Cerebral Aneurysms as a Vascular Complication.

Idiopathic Secondary Eosinophilia: Revealing Cerebral Aneurysms as a Vascular Complication.

Idiopathic Secondary Eosinophilia: Revealing Cerebral Aneurysms as a Vascular Complication.

Idiopathic Secondary Eosinophilia: Revealing Cerebral Aneurysms as a Vascular Complication.

Secondary eosinophilia has recently gained attention as a potential contributor to vascular pathologies, including aneurysms. This case report delves into the intricate relationship between secondary eosinophilia and cerebral aneurysms, a connection yet to be fully explored in medical literature. The case centers on a 31-year-old female who presented with leg pain, a purpuric rash, and gastrointestinal symptoms following an uncomplicated pregnancy. The skin biopsy revealed perivascular and interstitial dermatitis with a significant eosinophilic infiltration of unclear etiology. Laboratory investigations showed a markedly elevated immunoglobulin E (IgE) level at 8400 kU/L. Her condition escalated to a diffuse subarachnoid hemorrhage and the discovery of a left superior cerebellar artery aneurysm. This unusual presentation, combined with the challenge of differentiating secondary eosinophilia from primary eosinophilic disorders, raises questions about the pathophysiological mechanisms and clinical implications of eosinophils in aneurysm formation. We discuss the potential link between eosinophils and vascular damage and emphasize the need for further research in understanding this association. Clinically, this case underscores the importance of considering vascular complications in patients with unexplained eosinophilia. Sharing such cases contributes to a more informed and nuanced approach to similar future presentations, guiding diagnostic and therapeutic strategies.

求助全文
通过发布文献求助,成功后即可免费获取论文全文。 去求助
来源期刊
CiteScore
1.90
自引率
0.00%
发文量
165
审稿时长
12 weeks
期刊介绍: The AFMR is committed to enhancing the training and career development of our members and to furthering its mission to facilitate the conduct of research to improve medical care. Case reports represent an important avenue for trainees (interns, residents, and fellows) and early-stage faculty to demonstrate productive, scholarly activity.
×
引用
GB/T 7714-2015
复制
MLA
复制
APA
复制
导出至
BibTeX EndNote RefMan NoteFirst NoteExpress
×
提示
您的信息不完整,为了账户安全,请先补充。
现在去补充
×
提示
您因"违规操作"
具体请查看互助需知
我知道了
×
提示
确定
请完成安全验证×
copy
已复制链接
快去分享给好友吧!
我知道了
右上角分享
点击右上角分享
0
联系我们:info@booksci.cn Book学术提供免费学术资源搜索服务,方便国内外学者检索中英文文献。致力于提供最便捷和优质的服务体验。 Copyright © 2023 布克学术 All rights reserved.
京ICP备2023020795号-1
ghs 京公网安备 11010802042870号
Book学术文献互助
Book学术文献互助群
群 号:604180095
Book学术官方微信