心血管危险因素影响脑容量和白质高信号:一项多种族队列研究

IF 2.3 4区 医学 Q3 CLINICAL NEUROLOGY
Esther M. C. Vriend, Alexandra de Sitter, Thomas A. Bouwmeester, Oscar H. Franco, Henrike Galenkamp, Eric P. Moll van Charante, Didier Collard, Aart J. Nederveen, Bert-Jan H. van den Born
{"title":"心血管危险因素影响脑容量和白质高信号:一项多种族队列研究","authors":"Esther M. C. Vriend,&nbsp;Alexandra de Sitter,&nbsp;Thomas A. Bouwmeester,&nbsp;Oscar H. Franco,&nbsp;Henrike Galenkamp,&nbsp;Eric P. Moll van Charante,&nbsp;Didier Collard,&nbsp;Aart J. Nederveen,&nbsp;Bert-Jan H. van den Born","doi":"10.1111/jon.70057","DOIUrl":null,"url":null,"abstract":"<div>\n \n \n <section>\n \n <h3> Background and Purpose</h3>\n \n <p>Brain atrophy and white matter hyperintensities (WMHs) are established markers of cerebrovascular disease, yet most evidence comes from older populations of predominantly European descent. We prospectively examined the relationship between cardiovascular risk factors and brain volumes and WMHs in middle-aged participants in a multiethnic cohort and examined ethnic differences in these associations.</p>\n </section>\n \n <section>\n \n <h3> Methods</h3>\n \n <p>Baseline data (2011–2015) were collected from 562 participants of Moroccan, South-Asian Surinamese, and Dutch descent, with 3 Tesla brain MRIs conducted between 2021 and 2022 (median follow-up 8.4 years). Brain and WMH volumes were assessed using automated segmentation of Magnetization Prepared—RApid Gradient Echo and three-dimensional Fluid-Attenuated Inversion Recovery scans. Linear regression analyses examined associations between cardiovascular risk factors and brain volumes and log-transformed WMH volumes. Interaction terms explored ethnic differences in these associations.</p>\n </section>\n \n <section>\n \n <h3> Results</h3>\n \n <p>Median age was 53 years, and 45% were female. Higher body mass index (BMI) and diabetes mellitus were associated with lower brain volumes (−7.6 mL per BMI unit, 95% confidence interval [CI] −12.6, −2.7; 103.4 mL for diabetes, 95% CI −167.4, −39.3). Hypertension and a history of cardiovascular disease were associated with 54.7% (95% CI 25.5, 90.7) and 98.3% (95% CI 30.9, 200.4) higher WMH volumes, respectively. Associations of diabetes with brain volume and hypertension with WMH volume were most pronounced among South-Asian Surinamese participants.</p>\n </section>\n \n <section>\n \n <h3> Conclusions</h3>\n \n <p>Cardiovascular risk factors in midlife were strongly associated with brain volumes and WMHs after 8 years of follow-up. Ethnic differences in the strength of these associations underscore the importance of tailored cerebrovascular risk assessment across diverse populations.</p>\n </section>\n </div>","PeriodicalId":16399,"journal":{"name":"Journal of Neuroimaging","volume":"35 3","pages":""},"PeriodicalIF":2.3000,"publicationDate":"2025-06-01","publicationTypes":"Journal Article","fieldsOfStudy":null,"isOpenAccess":false,"openAccessPdf":"https://onlinelibrary.wiley.com/doi/epdf/10.1111/jon.70057","citationCount":"0","resultStr":"{\"title\":\"Cardiovascular Risk Factors Impact Brain Volume and White Matter Hyperintensities: A Multiethnic Cohort Study\",\"authors\":\"Esther M. C. Vriend,&nbsp;Alexandra de Sitter,&nbsp;Thomas A. Bouwmeester,&nbsp;Oscar H. Franco,&nbsp;Henrike Galenkamp,&nbsp;Eric P. Moll van Charante,&nbsp;Didier Collard,&nbsp;Aart J. Nederveen,&nbsp;Bert-Jan H. van den Born\",\"doi\":\"10.1111/jon.70057\",\"DOIUrl\":null,\"url\":null,\"abstract\":\"<div>\\n \\n \\n <section>\\n \\n <h3> Background and Purpose</h3>\\n \\n <p>Brain atrophy and white matter hyperintensities (WMHs) are established markers of cerebrovascular disease, yet most evidence comes from older populations of predominantly European descent. We prospectively examined the relationship between cardiovascular risk factors and brain volumes and WMHs in middle-aged participants in a multiethnic cohort and examined ethnic differences in these associations.</p>\\n </section>\\n \\n <section>\\n \\n <h3> Methods</h3>\\n \\n <p>Baseline data (2011–2015) were collected from 562 participants of Moroccan, South-Asian Surinamese, and Dutch descent, with 3 Tesla brain MRIs conducted between 2021 and 2022 (median follow-up 8.4 years). Brain and WMH volumes were assessed using automated segmentation of Magnetization Prepared—RApid Gradient Echo and three-dimensional Fluid-Attenuated Inversion Recovery scans. Linear regression analyses examined associations between cardiovascular risk factors and brain volumes and log-transformed WMH volumes. Interaction terms explored ethnic differences in these associations.</p>\\n </section>\\n \\n <section>\\n \\n <h3> Results</h3>\\n \\n <p>Median age was 53 years, and 45% were female. Higher body mass index (BMI) and diabetes mellitus were associated with lower brain volumes (−7.6 mL per BMI unit, 95% confidence interval [CI] −12.6, −2.7; 103.4 mL for diabetes, 95% CI −167.4, −39.3). Hypertension and a history of cardiovascular disease were associated with 54.7% (95% CI 25.5, 90.7) and 98.3% (95% CI 30.9, 200.4) higher WMH volumes, respectively. Associations of diabetes with brain volume and hypertension with WMH volume were most pronounced among South-Asian Surinamese participants.</p>\\n </section>\\n \\n <section>\\n \\n <h3> Conclusions</h3>\\n \\n <p>Cardiovascular risk factors in midlife were strongly associated with brain volumes and WMHs after 8 years of follow-up. Ethnic differences in the strength of these associations underscore the importance of tailored cerebrovascular risk assessment across diverse populations.</p>\\n </section>\\n </div>\",\"PeriodicalId\":16399,\"journal\":{\"name\":\"Journal of Neuroimaging\",\"volume\":\"35 3\",\"pages\":\"\"},\"PeriodicalIF\":2.3000,\"publicationDate\":\"2025-06-01\",\"publicationTypes\":\"Journal Article\",\"fieldsOfStudy\":null,\"isOpenAccess\":false,\"openAccessPdf\":\"https://onlinelibrary.wiley.com/doi/epdf/10.1111/jon.70057\",\"citationCount\":\"0\",\"resultStr\":null,\"platform\":\"Semanticscholar\",\"paperid\":null,\"PeriodicalName\":\"Journal of Neuroimaging\",\"FirstCategoryId\":\"3\",\"ListUrlMain\":\"https://onlinelibrary.wiley.com/doi/10.1111/jon.70057\",\"RegionNum\":4,\"RegionCategory\":\"医学\",\"ArticlePicture\":[],\"TitleCN\":null,\"AbstractTextCN\":null,\"PMCID\":null,\"EPubDate\":\"\",\"PubModel\":\"\",\"JCR\":\"Q3\",\"JCRName\":\"CLINICAL NEUROLOGY\",\"Score\":null,\"Total\":0}","platform":"Semanticscholar","paperid":null,"PeriodicalName":"Journal of Neuroimaging","FirstCategoryId":"3","ListUrlMain":"https://onlinelibrary.wiley.com/doi/10.1111/jon.70057","RegionNum":4,"RegionCategory":"医学","ArticlePicture":[],"TitleCN":null,"AbstractTextCN":null,"PMCID":null,"EPubDate":"","PubModel":"","JCR":"Q3","JCRName":"CLINICAL NEUROLOGY","Score":null,"Total":0}
引用次数: 0

摘要

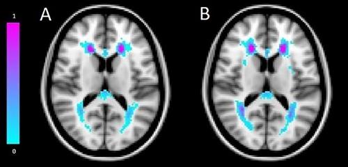
背景和目的脑萎缩和白质高信号(WMHs)是脑血管疾病的确定标志,但大多数证据来自以欧洲血统为主的老年人群。我们在一个多种族队列中前瞻性地研究了心血管危险因素与中年参与者脑容量和WMHs之间的关系,并研究了这些关联的种族差异。方法收集了562名摩洛哥人、南亚苏里南人和荷兰人后裔的基线数据(2011-2015年),并在2021年至2022年期间(中位随访8.4年)进行了3次特斯拉脑mri。使用自动分割磁化准备快速梯度回波和三维流体衰减反演恢复扫描评估脑和WMH体积。线性回归分析检验了心血管危险因素与脑容量和对数转换后的脑mh容量之间的关系。相互作用术语探讨了这些关联中的种族差异。结果中位年龄53岁,女性占45%。较高的身体质量指数(BMI)和糖尿病与较低的脑容量相关(- 7.6 mL / BMI单位,95%可信区间[CI] - 12.6, - 2.7;糖尿病103.4 mL, 95% CI为−167.4,−39.3)。高血压和心血管病史分别与54.7% (95% CI 25.5, 90.7)和98.3% (95% CI 30.9, 200.4)的WMH体积升高相关。糖尿病与脑容量和高血压与WMH容量的关联在南亚苏里南参与者中最为明显。结论经8年随访,中年心血管危险因素与脑容量和WMHs密切相关。这些关联强度的种族差异强调了在不同人群中进行量身定制的脑血管风险评估的重要性。
本文章由计算机程序翻译,如有差异,请以英文原文为准。

Cardiovascular Risk Factors Impact Brain Volume and White Matter Hyperintensities: A Multiethnic Cohort Study

Cardiovascular Risk Factors Impact Brain Volume and White Matter Hyperintensities: A Multiethnic Cohort Study

Background and Purpose

Brain atrophy and white matter hyperintensities (WMHs) are established markers of cerebrovascular disease, yet most evidence comes from older populations of predominantly European descent. We prospectively examined the relationship between cardiovascular risk factors and brain volumes and WMHs in middle-aged participants in a multiethnic cohort and examined ethnic differences in these associations.

Methods

Baseline data (2011–2015) were collected from 562 participants of Moroccan, South-Asian Surinamese, and Dutch descent, with 3 Tesla brain MRIs conducted between 2021 and 2022 (median follow-up 8.4 years). Brain and WMH volumes were assessed using automated segmentation of Magnetization Prepared—RApid Gradient Echo and three-dimensional Fluid-Attenuated Inversion Recovery scans. Linear regression analyses examined associations between cardiovascular risk factors and brain volumes and log-transformed WMH volumes. Interaction terms explored ethnic differences in these associations.

Results

Median age was 53 years, and 45% were female. Higher body mass index (BMI) and diabetes mellitus were associated with lower brain volumes (−7.6 mL per BMI unit, 95% confidence interval [CI] −12.6, −2.7; 103.4 mL for diabetes, 95% CI −167.4, −39.3). Hypertension and a history of cardiovascular disease were associated with 54.7% (95% CI 25.5, 90.7) and 98.3% (95% CI 30.9, 200.4) higher WMH volumes, respectively. Associations of diabetes with brain volume and hypertension with WMH volume were most pronounced among South-Asian Surinamese participants.

Conclusions

Cardiovascular risk factors in midlife were strongly associated with brain volumes and WMHs after 8 years of follow-up. Ethnic differences in the strength of these associations underscore the importance of tailored cerebrovascular risk assessment across diverse populations.

求助全文
通过发布文献求助,成功后即可免费获取论文全文。 去求助
来源期刊
Journal of Neuroimaging
Journal of Neuroimaging 医学-核医学
CiteScore
4.70
自引率
0.00%
发文量
117
审稿时长
6-12 weeks
期刊介绍: Start reading the Journal of Neuroimaging to learn the latest neurological imaging techniques. The peer-reviewed research is written in a practical clinical context, giving you the information you need on: MRI CT Carotid Ultrasound and TCD SPECT PET Endovascular Surgical Neuroradiology Functional MRI Xenon CT and other new and upcoming neuroscientific modalities.The Journal of Neuroimaging addresses the full spectrum of human nervous system disease, including stroke, neoplasia, degenerating and demyelinating disease, epilepsy, tumors, lesions, infectious disease, cerebral vascular arterial diseases, toxic-metabolic disease, psychoses, dementias, heredo-familial disease, and trauma.Offering original research, review articles, case reports, neuroimaging CPCs, and evaluations of instruments and technology relevant to the nervous system, the Journal of Neuroimaging focuses on useful clinical developments and applications, tested techniques and interpretations, patient care, diagnostics, and therapeutics. Start reading today!
×
引用
GB/T 7714-2015
复制
MLA
复制
APA
复制
导出至
BibTeX EndNote RefMan NoteFirst NoteExpress
×
提示
您的信息不完整,为了账户安全,请先补充。
现在去补充
×
提示
您因"违规操作"
具体请查看互助需知
我知道了
×
提示
确定
请完成安全验证×
copy
已复制链接
快去分享给好友吧!
我知道了
右上角分享
点击右上角分享
0
联系我们:info@booksci.cn Book学术提供免费学术资源搜索服务,方便国内外学者检索中英文文献。致力于提供最便捷和优质的服务体验。 Copyright © 2023 布克学术 All rights reserved.
京ICP备2023020795号-1
ghs 京公网安备 11010802042870号
Book学术文献互助
Book学术文献互助群
群 号:604180095
Book学术官方微信