同卵双胞胎并发葡萄膜炎的全身性结节病。

IF 2.3 Q1 OPHTHALMOLOGY
Doaa Maamoun Ashour, Reem Mohsen, Rahma A Elziaty, Omnia Bahaa Attia, Haytham Samy Diab, Caroline Atef Tawfik
{"title":"同卵双胞胎并发葡萄膜炎的全身性结节病。","authors":"Doaa Maamoun Ashour, Reem Mohsen, Rahma A Elziaty, Omnia Bahaa Attia, Haytham Samy Diab, Caroline Atef Tawfik","doi":"10.1186/s12348-025-00504-7","DOIUrl":null,"url":null,"abstract":"<p><strong>Purpose: </strong>To report a case of two monozygotic twins presenting with simultaneous onset of bilateral uveitis of variable phenotypic presentations, one of whom was pathologically confirmed to have sarcoidosis.</p><p><strong>Observation: </strong>Two 21-year-old monozygotic male twins (Twin A and Twin B) presented with bilateral red eyes and photophobia of six weeks' duration. Their past medical history included learning difficulties and low IQ since early childhood. Twin A was operated for Celiac Artery Compression Syndrome. Examination and work-up revealed that Twin A had bilateral anterior granulomatous uveitis, and retinal phlebitis in addition to hilar and mediastinal lymphadenopathy. A biopsy was taken, and histopathological examination showed non-caseating granuloma. Twin B had bilateral non-granulomatous anterior uveitis, chorioretinal lesions, and peripheral retinal vasculitis. Genetic testing in the form of a Whole Exome Sequencing was done, and no causal variant was detected for uveitis or sarcoidosis, however, a homozygous likely pathogenic duplication in SYNGAP1 was detected. This mutation is associated with autosomal dominant intellectual developmental disorder.</p><p><strong>Conclusion: </strong>This is the first-reported case of concurrent bilateral uveitis in monozygotic twins, with confirmed sarcoidosis in one. This presentation highlights the role of genetic predisposition and shared environmental factors in disease onset and clinical manifestations. Further research into the genetic-environmental interplay is needed to elucidate the mechanisms underlying simultaneous disease onset and guide personalized monitoring strategies for at-risk families.</p>","PeriodicalId":16600,"journal":{"name":"Journal of Ophthalmic Inflammation and Infection","volume":"15 1","pages":"48"},"PeriodicalIF":2.3000,"publicationDate":"2025-05-30","publicationTypes":"Journal Article","fieldsOfStudy":null,"isOpenAccess":false,"openAccessPdf":"https://www.ncbi.nlm.nih.gov/pmc/articles/PMC12125438/pdf/","citationCount":"0","resultStr":"{\"title\":\"Concurrent uveitis in monozygotic twins in the context of systemic sarcoidosis.\",\"authors\":\"Doaa Maamoun Ashour, Reem Mohsen, Rahma A Elziaty, Omnia Bahaa Attia, Haytham Samy Diab, Caroline Atef Tawfik\",\"doi\":\"10.1186/s12348-025-00504-7\",\"DOIUrl\":null,\"url\":null,\"abstract\":\"<p><strong>Purpose: </strong>To report a case of two monozygotic twins presenting with simultaneous onset of bilateral uveitis of variable phenotypic presentations, one of whom was pathologically confirmed to have sarcoidosis.</p><p><strong>Observation: </strong>Two 21-year-old monozygotic male twins (Twin A and Twin B) presented with bilateral red eyes and photophobia of six weeks' duration. Their past medical history included learning difficulties and low IQ since early childhood. Twin A was operated for Celiac Artery Compression Syndrome. Examination and work-up revealed that Twin A had bilateral anterior granulomatous uveitis, and retinal phlebitis in addition to hilar and mediastinal lymphadenopathy. A biopsy was taken, and histopathological examination showed non-caseating granuloma. Twin B had bilateral non-granulomatous anterior uveitis, chorioretinal lesions, and peripheral retinal vasculitis. Genetic testing in the form of a Whole Exome Sequencing was done, and no causal variant was detected for uveitis or sarcoidosis, however, a homozygous likely pathogenic duplication in SYNGAP1 was detected. This mutation is associated with autosomal dominant intellectual developmental disorder.</p><p><strong>Conclusion: </strong>This is the first-reported case of concurrent bilateral uveitis in monozygotic twins, with confirmed sarcoidosis in one. This presentation highlights the role of genetic predisposition and shared environmental factors in disease onset and clinical manifestations. Further research into the genetic-environmental interplay is needed to elucidate the mechanisms underlying simultaneous disease onset and guide personalized monitoring strategies for at-risk families.</p>\",\"PeriodicalId\":16600,\"journal\":{\"name\":\"Journal of Ophthalmic Inflammation and Infection\",\"volume\":\"15 1\",\"pages\":\"48\"},\"PeriodicalIF\":2.3000,\"publicationDate\":\"2025-05-30\",\"publicationTypes\":\"Journal Article\",\"fieldsOfStudy\":null,\"isOpenAccess\":false,\"openAccessPdf\":\"https://www.ncbi.nlm.nih.gov/pmc/articles/PMC12125438/pdf/\",\"citationCount\":\"0\",\"resultStr\":null,\"platform\":\"Semanticscholar\",\"paperid\":null,\"PeriodicalName\":\"Journal of Ophthalmic Inflammation and Infection\",\"FirstCategoryId\":\"1085\",\"ListUrlMain\":\"https://doi.org/10.1186/s12348-025-00504-7\",\"RegionNum\":0,\"RegionCategory\":null,\"ArticlePicture\":[],\"TitleCN\":null,\"AbstractTextCN\":null,\"PMCID\":null,\"EPubDate\":\"\",\"PubModel\":\"\",\"JCR\":\"Q1\",\"JCRName\":\"OPHTHALMOLOGY\",\"Score\":null,\"Total\":0}","platform":"Semanticscholar","paperid":null,"PeriodicalName":"Journal of Ophthalmic Inflammation and Infection","FirstCategoryId":"1085","ListUrlMain":"https://doi.org/10.1186/s12348-025-00504-7","RegionNum":0,"RegionCategory":null,"ArticlePicture":[],"TitleCN":null,"AbstractTextCN":null,"PMCID":null,"EPubDate":"","PubModel":"","JCR":"Q1","JCRName":"OPHTHALMOLOGY","Score":null,"Total":0}
引用次数: 0

摘要

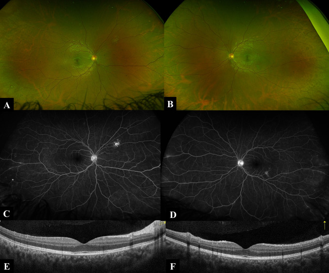
目的:报告两个同卵双胞胎同时发病的双侧葡萄膜炎的不同表型的表现,其中一个病理证实为结节病。观察:2例21岁的同卵男性双胞胎(双胞胎A和双胞胎B)出现双侧红眼和畏光6周。他们过去的病史包括从小学习困难和低智商。双A手术治疗腹腔动脉压迫综合征。检查和检查显示,双胞胎A有双侧前肉芽肿性葡萄膜炎,视网膜静脉炎,以及肺门和纵隔淋巴结病。活检,组织病理学检查显示非干酪化肉芽肿。双胞胎B有双侧非肉芽肿性前葡萄膜炎、绒毛膜视网膜病变和周围视网膜血管炎。以全外显子组测序的形式进行了基因检测,没有检测到葡萄膜炎或结节病的因果变异,然而,检测到SYNGAP1的纯合子可能致病性重复。这种突变与常染色体显性智力发育障碍有关。结论:这是首例报道的同卵双胞胎并发双侧葡萄膜炎的病例,其中一例确诊为结节病。本报告强调遗传易感性和共同环境因素在疾病发病和临床表现中的作用。需要进一步研究遗传-环境相互作用,以阐明疾病同时发病的机制,并指导高危家庭的个性化监测策略。
本文章由计算机程序翻译,如有差异,请以英文原文为准。

Concurrent uveitis in monozygotic twins in the context of systemic sarcoidosis.

Concurrent uveitis in monozygotic twins in the context of systemic sarcoidosis.

Concurrent uveitis in monozygotic twins in the context of systemic sarcoidosis.

Concurrent uveitis in monozygotic twins in the context of systemic sarcoidosis.

Purpose: To report a case of two monozygotic twins presenting with simultaneous onset of bilateral uveitis of variable phenotypic presentations, one of whom was pathologically confirmed to have sarcoidosis.

Observation: Two 21-year-old monozygotic male twins (Twin A and Twin B) presented with bilateral red eyes and photophobia of six weeks' duration. Their past medical history included learning difficulties and low IQ since early childhood. Twin A was operated for Celiac Artery Compression Syndrome. Examination and work-up revealed that Twin A had bilateral anterior granulomatous uveitis, and retinal phlebitis in addition to hilar and mediastinal lymphadenopathy. A biopsy was taken, and histopathological examination showed non-caseating granuloma. Twin B had bilateral non-granulomatous anterior uveitis, chorioretinal lesions, and peripheral retinal vasculitis. Genetic testing in the form of a Whole Exome Sequencing was done, and no causal variant was detected for uveitis or sarcoidosis, however, a homozygous likely pathogenic duplication in SYNGAP1 was detected. This mutation is associated with autosomal dominant intellectual developmental disorder.

Conclusion: This is the first-reported case of concurrent bilateral uveitis in monozygotic twins, with confirmed sarcoidosis in one. This presentation highlights the role of genetic predisposition and shared environmental factors in disease onset and clinical manifestations. Further research into the genetic-environmental interplay is needed to elucidate the mechanisms underlying simultaneous disease onset and guide personalized monitoring strategies for at-risk families.

求助全文
通过发布文献求助,成功后即可免费获取论文全文。 去求助
来源期刊
CiteScore
3.80
自引率
3.40%
发文量
39
审稿时长
13 weeks
×
引用
GB/T 7714-2015
复制
MLA
复制
APA
复制
导出至
BibTeX EndNote RefMan NoteFirst NoteExpress
×
提示
您的信息不完整,为了账户安全,请先补充。
现在去补充
×
提示
您因"违规操作"
具体请查看互助需知
我知道了
×
提示
确定
请完成安全验证×
copy
已复制链接
快去分享给好友吧!
我知道了
右上角分享
点击右上角分享
0
联系我们:info@booksci.cn Book学术提供免费学术资源搜索服务,方便国内外学者检索中英文文献。致力于提供最便捷和优质的服务体验。 Copyright © 2023 布克学术 All rights reserved.
京ICP备2023020795号-1
ghs 京公网安备 11010802042870号
Book学术文献互助
Book学术文献互助群
群 号:604180095
Book学术官方微信