肌肉活检在疑似肌病患者中的临床应用研究。

IF 1.8 4区 医学 Q3 CLINICAL NEUROLOGY
Annals of Indian Academy of Neurology Pub Date : 2025-05-01 Epub Date: 2025-05-30 DOI:10.4103/aian.aian_934_24
Sudhakar Karunakaran, Abraham Kuruvilla, Muralidharan Nair, Sruthi S Nair, Deepti Narasimhaiah
{"title":"肌肉活检在疑似肌病患者中的临床应用研究。","authors":"Sudhakar Karunakaran, Abraham Kuruvilla, Muralidharan Nair, Sruthi S Nair, Deepti Narasimhaiah","doi":"10.4103/aian.aian_934_24","DOIUrl":null,"url":null,"abstract":"<p><strong>Background and objectives: </strong>The role of muscle biopsy needs to be redefined in an era where genetic studies have largely supplanted the need for a pathological diagnosis. The objective of the study was to evaluate the utility of muscle biopsy in suspected myopathies in terms of diagnostic confirmation and modifying therapy in a developing country.</p><p><strong>Methods: </strong>We conducted a retrospective observational study of patients who underwent muscle biopsy in our center between April 2017 and 2019. The diagnostic utility and therapeutic impact of muscle biopsy were assessed descriptively and using an ordinal score. We further analyzed the correlation of the pathological diagnosis with the genetic and immunological data.</p><p><strong>Results: </strong>Among the 70 patients included in the study over a 2-year period, 33 (47.1%) were aged 18 years or less and the mean age was 23.4 (±16.2) years. A specific diagnosis or diagnostic category could be established in 39 (55.7%) of all patients and 21 (63.6%) among pediatric patients by muscle biopsy. The most common categories were muscular dystrophies in 27 (38.6%) patients and inflammatory myopathies in seven (10%) patients. Mitochondrial myopathy was confirmed in two (2.9%), while three (4.3%) had other specific diagnosis and 31 (44.2%) had indeterminate/normal biopsy reports. Muscle biopsy confirmed the pre-biopsy diagnosis in 29 (41.4%) patients and changed the clinical diagnosis in 16 (22.9%) patients. Category-wise, the change in pre-biopsy diagnosis was significant only in suspected mitochondrial myopathies, but not in other categories.</p><p><strong>Conclusions: </strong>Muscle biopsy helped in securing a specific diagnosis in approximately one-half of the patients. This study underscores the enduring relevance of muscle biopsy in settings where resources for advanced genetic testing and data analysis are constrained.</p>","PeriodicalId":8036,"journal":{"name":"Annals of Indian Academy of Neurology","volume":" ","pages":"363-370"},"PeriodicalIF":1.8000,"publicationDate":"2025-05-01","publicationTypes":"Journal Article","fieldsOfStudy":null,"isOpenAccess":false,"openAccessPdf":"https://www.ncbi.nlm.nih.gov/pmc/articles/PMC12192387/pdf/","citationCount":"0","resultStr":"{\"title\":\"A Clinical Study on the Utility of Muscle Biopsy in Patients with Suspected Myopathy.\",\"authors\":\"Sudhakar Karunakaran, Abraham Kuruvilla, Muralidharan Nair, Sruthi S Nair, Deepti Narasimhaiah\",\"doi\":\"10.4103/aian.aian_934_24\",\"DOIUrl\":null,\"url\":null,\"abstract\":\"<p><strong>Background and objectives: </strong>The role of muscle biopsy needs to be redefined in an era where genetic studies have largely supplanted the need for a pathological diagnosis. The objective of the study was to evaluate the utility of muscle biopsy in suspected myopathies in terms of diagnostic confirmation and modifying therapy in a developing country.</p><p><strong>Methods: </strong>We conducted a retrospective observational study of patients who underwent muscle biopsy in our center between April 2017 and 2019. The diagnostic utility and therapeutic impact of muscle biopsy were assessed descriptively and using an ordinal score. We further analyzed the correlation of the pathological diagnosis with the genetic and immunological data.</p><p><strong>Results: </strong>Among the 70 patients included in the study over a 2-year period, 33 (47.1%) were aged 18 years or less and the mean age was 23.4 (±16.2) years. A specific diagnosis or diagnostic category could be established in 39 (55.7%) of all patients and 21 (63.6%) among pediatric patients by muscle biopsy. The most common categories were muscular dystrophies in 27 (38.6%) patients and inflammatory myopathies in seven (10%) patients. Mitochondrial myopathy was confirmed in two (2.9%), while three (4.3%) had other specific diagnosis and 31 (44.2%) had indeterminate/normal biopsy reports. Muscle biopsy confirmed the pre-biopsy diagnosis in 29 (41.4%) patients and changed the clinical diagnosis in 16 (22.9%) patients. Category-wise, the change in pre-biopsy diagnosis was significant only in suspected mitochondrial myopathies, but not in other categories.</p><p><strong>Conclusions: </strong>Muscle biopsy helped in securing a specific diagnosis in approximately one-half of the patients. This study underscores the enduring relevance of muscle biopsy in settings where resources for advanced genetic testing and data analysis are constrained.</p>\",\"PeriodicalId\":8036,\"journal\":{\"name\":\"Annals of Indian Academy of Neurology\",\"volume\":\" \",\"pages\":\"363-370\"},\"PeriodicalIF\":1.8000,\"publicationDate\":\"2025-05-01\",\"publicationTypes\":\"Journal Article\",\"fieldsOfStudy\":null,\"isOpenAccess\":false,\"openAccessPdf\":\"https://www.ncbi.nlm.nih.gov/pmc/articles/PMC12192387/pdf/\",\"citationCount\":\"0\",\"resultStr\":null,\"platform\":\"Semanticscholar\",\"paperid\":null,\"PeriodicalName\":\"Annals of Indian Academy of Neurology\",\"FirstCategoryId\":\"3\",\"ListUrlMain\":\"https://doi.org/10.4103/aian.aian_934_24\",\"RegionNum\":4,\"RegionCategory\":\"医学\",\"ArticlePicture\":[],\"TitleCN\":null,\"AbstractTextCN\":null,\"PMCID\":null,\"EPubDate\":\"2025/5/30 0:00:00\",\"PubModel\":\"Epub\",\"JCR\":\"Q3\",\"JCRName\":\"CLINICAL NEUROLOGY\",\"Score\":null,\"Total\":0}","platform":"Semanticscholar","paperid":null,"PeriodicalName":"Annals of Indian Academy of Neurology","FirstCategoryId":"3","ListUrlMain":"https://doi.org/10.4103/aian.aian_934_24","RegionNum":4,"RegionCategory":"医学","ArticlePicture":[],"TitleCN":null,"AbstractTextCN":null,"PMCID":null,"EPubDate":"2025/5/30 0:00:00","PubModel":"Epub","JCR":"Q3","JCRName":"CLINICAL NEUROLOGY","Score":null,"Total":0}
引用次数: 0

摘要

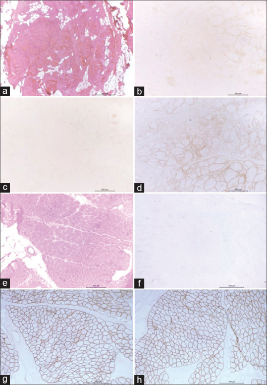
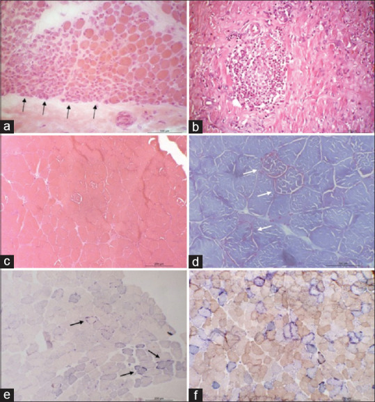
背景和目的:在一个基因研究在很大程度上取代了病理诊断的时代,肌肉活检的作用需要重新定义。该研究的目的是评估肌肉活检在发展中国家疑似肌病诊断确认和修改治疗方面的效用。方法:我们对2017年4月至2019年4月在我们中心接受肌肉活检的患者进行了回顾性观察研究。对肌肉活检的诊断效用和治疗效果进行描述性评估,并使用序数评分。我们进一步分析了病理诊断与遗传和免疫学资料的相关性。结果:在2年内纳入的70例患者中,33例(47.1%)年龄在18岁及以下,平均年龄为23.4(±16.2)岁。39例(55.7%)的患者和21例(63.6%)的儿童患者通过肌肉活检可以确定特定的诊断或诊断类别。最常见的类型是27例(38.6%)患者的肌肉萎缩症和7例(10%)患者的炎性肌病。2例(2.9%)确诊线粒体肌病,3例(4.3%)有其他特殊诊断,31例(44.2%)活检报告不确定/正常。29例(41.4%)患者的肌肉活检证实了活检前诊断,16例(22.9%)患者改变了临床诊断。从类别上看,活检前诊断的变化仅在可疑的线粒体肌病中显著,而在其他类别中则不显著。结论:肌肉活检有助于确保大约一半患者的特定诊断。这项研究强调了肌肉活检在先进基因检测和数据分析资源有限的情况下的持久相关性。
本文章由计算机程序翻译,如有差异,请以英文原文为准。

A Clinical Study on the Utility of Muscle Biopsy in Patients with Suspected Myopathy.

A Clinical Study on the Utility of Muscle Biopsy in Patients with Suspected Myopathy.

A Clinical Study on the Utility of Muscle Biopsy in Patients with Suspected Myopathy.

Background and objectives: The role of muscle biopsy needs to be redefined in an era where genetic studies have largely supplanted the need for a pathological diagnosis. The objective of the study was to evaluate the utility of muscle biopsy in suspected myopathies in terms of diagnostic confirmation and modifying therapy in a developing country.

Methods: We conducted a retrospective observational study of patients who underwent muscle biopsy in our center between April 2017 and 2019. The diagnostic utility and therapeutic impact of muscle biopsy were assessed descriptively and using an ordinal score. We further analyzed the correlation of the pathological diagnosis with the genetic and immunological data.

Results: Among the 70 patients included in the study over a 2-year period, 33 (47.1%) were aged 18 years or less and the mean age was 23.4 (±16.2) years. A specific diagnosis or diagnostic category could be established in 39 (55.7%) of all patients and 21 (63.6%) among pediatric patients by muscle biopsy. The most common categories were muscular dystrophies in 27 (38.6%) patients and inflammatory myopathies in seven (10%) patients. Mitochondrial myopathy was confirmed in two (2.9%), while three (4.3%) had other specific diagnosis and 31 (44.2%) had indeterminate/normal biopsy reports. Muscle biopsy confirmed the pre-biopsy diagnosis in 29 (41.4%) patients and changed the clinical diagnosis in 16 (22.9%) patients. Category-wise, the change in pre-biopsy diagnosis was significant only in suspected mitochondrial myopathies, but not in other categories.

Conclusions: Muscle biopsy helped in securing a specific diagnosis in approximately one-half of the patients. This study underscores the enduring relevance of muscle biopsy in settings where resources for advanced genetic testing and data analysis are constrained.

求助全文
通过发布文献求助,成功后即可免费获取论文全文。 去求助
来源期刊
Annals of Indian Academy of Neurology
Annals of Indian Academy of Neurology Nervous System Diseases-
CiteScore
2.20
自引率
11.80%
发文量
293
审稿时长
29 weeks
期刊介绍: The journal has a clinical foundation and has been utilized most by clinical neurologists for improving the practice of neurology. While the focus is on neurology in India, the journal publishes manuscripts of high value from all parts of the world. Journal publishes reviews of various types, original articles, short communications, interesting images and case reports. The journal respects the scientific submission of its authors and believes in following an expeditious double-blind peer review process and endeavors to complete the review process within scheduled time frame. A significant effort from the author and the journal perhaps enables to strike an equilibrium to meet the professional expectations of the peers in the world of scientific publication. AIAN believes in safeguarding the privacy rights of human subjects. In order to comply with it, the journal instructs all authors when uploading the manuscript to also add the ethical clearance (human/animals)/ informed consent of subject in the manuscript. This applies to the study/case report that involves animal/human subjects/human specimens e.g. extracted tooth part/soft tissue for biopsy/in vitro analysis.
×
引用
GB/T 7714-2015
复制
MLA
复制
APA
复制
导出至
BibTeX EndNote RefMan NoteFirst NoteExpress
×
提示
您的信息不完整,为了账户安全,请先补充。
现在去补充
×
提示
您因"违规操作"
具体请查看互助需知
我知道了
×
提示
确定
请完成安全验证×
copy
已复制链接
快去分享给好友吧!
我知道了
右上角分享
点击右上角分享
0
联系我们:info@booksci.cn Book学术提供免费学术资源搜索服务,方便国内外学者检索中英文文献。致力于提供最便捷和优质的服务体验。 Copyright © 2023 布克学术 All rights reserved.
京ICP备2023020795号-1
ghs 京公网安备 11010802042870号
Book学术文献互助
Book学术文献互助群
群 号:604180095
Book学术官方微信